Revision 8

#12041

Store at -20C

CST Logo
Orders:

877-616-CELL (2355)

[email protected]

Support:

877-678-TECH (8324)

3 Trask Lane | Danvers | Massachusetts | 01923 | USA

For Research Use Only. Not for Use in Diagnostic Procedures.

Applications:
W, IP, IHC-P, IF-IC, FC-FP, ChIP, ChIP-seq, C&R

Reactivity:
H M R Mk

Sensitivity:
Endogenous

MW (kDa):
94, 91

Source/Isotype:
Rabbit IgG

UniProt ID:
#P04150

Entrez-Gene Id:
2908

Product Usage Information

For optimal ChIP and ChIP-seq results, use 10 μl of antibody and 10 μg of chromatin (approximately 4 x 106 cells) per IP. This antibody has been validated using SimpleChIP® Enzymatic Chromatin IP Kits.

The CUT&RUN dilution was determined using CUT&RUN Assay Kit #86652.
Application Dilution
Western Blotting 1:1000
Immunoprecipitation 1:100
Immunohistochemistry (Paraffin) 1:200 - 1:800
Immunofluorescence (Immunocytochemistry) 1:800 - 1:1600
Flow Cytometry (Fixed/Permeabilized) 1:50 - 1:200
Chromatin IP 1:50
Chromatin IP-seq 1:50
CUT&RUN 1:50

Storage

Supplied in 10 mM sodium HEPES (pH 7.5), 150 mM NaCl, 100 µg/ml BSA, 50% glycerol and less than 0.02% sodium azide. Store at –20°C. Do not aliquot the antibody.

For a carrier free (BSA and azide free) version of this product see product #42394.

Specificity/Sensitivity

Glucocorticoid Receptor (D6H2L) Rabbit Monoclonal Antibody recognizes endogenous levels of total GR protein. This antibody reacts with GR-α and GR-β but does not cross-react with mineralocorticoid receptor.

Source / Purification

Monoclonal antibody is produced by immunizing animals with a recombinant protein specific to the amino terminus of human GR protein.

Background

Glucocorticoid hormones control cellular proliferation, inflammation, and metabolism through their association with the glucocorticoid receptor (GR)/NR3C1, a member of the nuclear hormone receptor superfamily of transcription factors (1). GR is composed of several conserved structural elements, including a carboxy-terminal ligand-binding domain (which also contains residues critical for receptor dimerization and hormone-dependent gene transactivation), a neighboring hinge region containing nuclear localization signals, a central zinc-finger-containing DNA-binding domain, and an amino-terminal variable region that participates in ligand-independent gene transcription. In the absence of hormone, a significant population of GR is localized to the cytoplasm in an inactive form via its association with regulatory chaperone proteins, such as HSP90, HSP70, and FKBP52. On hormone binding, GR is released from the chaperone complex and translocates to the nucleus as a dimer to associate with specific DNA sequences termed glucocorticoid response elements (GREs), thereby enhancing or repressing transcription of specific target genes (2). It was demonstrated that GR-mediated transcriptional activation is modulated by phosphorylation (3-5). Although GR can be basally phosphorylated in the absence of hormone, it becomes hyperphosphorylated upon binding receptor agonists. It has been suggested that hormone-dependent phosphorylation of GR may determine target promoter specificity, cofactor interaction, strength and duration of receptor signaling, receptor stability, and receptor subcellular localization (3).

Species Reactivity

Species reactivity is determined by testing in at least one approved application (e.g., western blot).

Western Blot Buffer

IMPORTANT: For western blots, incubate membrane with diluted primary antibody in 5% w/v BSA, 1X TBS, 0.1% Tween® 20 at 4°C with gentle shaking, overnight.

Applications Key

W: Western Blotting IP: Immunoprecipitation IHC-P: Immunohistochemistry (Paraffin) IF-IC: Immunofluorescence (Immunocytochemistry) FC-FP: Flow Cytometry (Fixed/Permeabilized) ChIP: Chromatin IP ChIP-seq: Chromatin IP-seq C&R: CUT&RUN

Cross-Reactivity Key

H: Human M: Mouse R: Rat Mk: Monkey

Trademarks and Patents

Cell Signaling Technology is a trademark of Cell Signaling Technology, Inc.

Alexa Fluor is a registered trademark of Life Technologies Corporation.

All other trademarks are the property of their respective owners. Visit cellsignal.com/trademarks for more information.

Limited Uses

Except as otherwise expressly agreed in a writing signed by a legally authorized representative of CST, the following terms apply to Products provided by CST, its affiliates or its distributors. Any Customer's terms and conditions that are in addition to, or different from, those contained herein, unless separately accepted in writing by a legally authorized representative of CST, are rejected and are of no force or effect.

Products are labeled with For Research Use Only or a similar labeling statement and have not been approved, cleared, or licensed by the FDA or other regulatory foreign or domestic entity, for any purpose. Customer shall not use any Product for any diagnostic or therapeutic purpose, or otherwise in any manner that conflicts with its labeling statement. Products sold or licensed by CST are provided for Customer as the end-user and solely for research and development uses. Any use of Product for diagnostic, prophylactic or therapeutic purposes, or any purchase of Product for resale (alone or as a component) or other commercial purpose, requires a separate license from CST. Customer shall (a) not sell, license, loan, donate or otherwise transfer or make available any Product to any third party, whether alone or in combination with other materials, or use the Products to manufacture any commercial products, (b) not copy, modify, reverse engineer, decompile, disassemble or otherwise attempt to discover the underlying structure or technology of the Products, or use the Products for the purpose of developing any products or services that would compete with CST products or services, (c) not alter or remove from the Products any trademarks, trade names, logos, patent or copyright notices or markings, (d) use the Products solely in accordance with CST Product Terms of Sale and any applicable documentation, and (e) comply with any license, terms of service or similar agreement with respect to any third party products or services used by Customer in connection with the Products.

Orders: 877-616-CELL (2355) [email protected] Support: 877-678-TECH (8324) [email protected] Web: cellsignal.com
For Research Use Only. Not for Use in Diagnostic Procedures.

Revision 8

Cell Signaling Technology Logo
Western blot analysis of extracts from various cell lines using Glucocorticoid Receptor (D6H2L) XP® Rabbit mAb.
Western Blotting Image 1: Glucocorticoid Receptor (D6H2L) Rabbit Monoclonal Antibody
Western blot analysis of extracts from 293T cells, either mock transfected (-) or transfected with constructs expressing Myc/DDK-tagged full-length human glucocorticoid receptor-α (hGRα-Myc/DDK; +) or Myc/DDK-tagged full-length human mineralocorticoid receptor (hMR-Myc/DDK; +), using Glucocorticoid Receptor (D6H2L) XP® Rabbit mAb (upper) or DYKDDDDK Tag Antibody #2368 (lower).
Western Blotting Image 2: Glucocorticoid Receptor (D6H2L) Rabbit Monoclonal Antibody
Western blot analysis of extracts from control HeLa cells (lane 1), or Glucocorticoid Receptor knockout HeLa cells (lane 2) using Glucocorticoid Receptor (D6H2L) XP® Rabbit mAb #12041 (upper) or GAPDH (D16H11) XP® Rabbit mAb #5174 (lower). The absence of signal in Glucocorticoid Receptor-knockout HeLa cells confirms specificity of the antibody for Glucocorticoid Receptor.
Western Blotting Image 3: Glucocorticoid Receptor (D6H2L) Rabbit Monoclonal Antibody
Orders: 877-616-CELL (2355) [email protected] Support: 877-678-TECH (8324) [email protected] Web: cellsignal.com
For Research Use Only. Not for Use in Diagnostic Procedures.

Revision 8

Cell Signaling Technology Logo
Immunoprecipitation of glucocorticoid receptor from HeLa cell extracts using Rabbit (DA1E) mAb IgG XP® Isotype Control #3900 (lane 2) or Glucocorticoid Receptor (D6H2L) XP® Rabbit mAb (lane 3). Lane 1 is 10% input. Western blot analysis was performed using Glucocorticoid Receptor (D6H2L) XP® Rabbit mAb.
Immunoprecipitation Image 1: Glucocorticoid Receptor (D6H2L) Rabbit Monoclonal Antibody
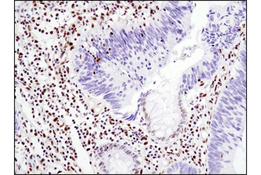
Immunohistochemical analysis of paraffin-embedded human colon carcinoma using Glucocorticoid Receptor (D6H2L) XP® Rabbit mAb.
Immunohistochemistry Image 1: Glucocorticoid Receptor (D6H2L) Rabbit Monoclonal Antibody
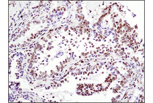
Immunohistochemical analysis of paraffin-embedded human lung carcinoma using Glucocorticoid Receptor (D6H2L) XP® Rabbit mAb.
Immunohistochemistry Image 2: Glucocorticoid Receptor (D6H2L) Rabbit Monoclonal Antibody
Orders: 877-616-CELL (2355) [email protected] Support: 877-678-TECH (8324) [email protected] Web: cellsignal.com
For Research Use Only. Not for Use in Diagnostic Procedures.

Revision 8

Cell Signaling Technology Logo
Immunohistochemical analysis of paraffin-embedded mouse stomach using Glucocorticoid Receptor (D6H2L) XP® Rabbit mAb.
Immunohistochemistry Image 3: Glucocorticoid Receptor (D6H2L) Rabbit Monoclonal Antibody
Immunohistochemical analysis of paraffin-embedded HeLa cell pellets, untreated (left) or dexamethasone-treated (right), using Glucocorticoid Receptor (D6H2L) XP® Rabbit mAb.
Immunohistochemistry Image 4: Glucocorticoid Receptor (D6H2L) Rabbit Monoclonal Antibody
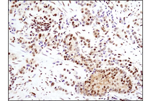
Immunohistochemical analysis of paraffin-embedded human prostate carcinoma using Glucocorticoid Receptor (D6H2L) XP® Rabbit mAb.
Immunohistochemistry Image 5: Glucocorticoid Receptor (D6H2L) Rabbit Monoclonal Antibody
Orders: 877-616-CELL (2355) [email protected] Support: 877-678-TECH (8324) [email protected] Web: cellsignal.com
For Research Use Only. Not for Use in Diagnostic Procedures.

Revision 8

Cell Signaling Technology Logo
Confocal immunofluorescent analysis of HeLa cells (left, positive) or HT-29 cells (right, negative) using Glucocorticoid Receptor (D6H2L) XP® Rabbit mAb #12041 (green), DyLight™ 650 Phalloidin #12956 (red), and DAPI #4083 (blue).
Immunofluorescence Image 1: Glucocorticoid Receptor (D6H2L) Rabbit Monoclonal Antibody
Confocal immunofluorescent analysis of HeLa cells (left, positive) or HT-29 cells (right, negative) using Glucocorticoid Receptor (D6H2L) XP® Rabbit mAb #12041 (green), DyLight™ 650 Phalloidin #12956 (red), and DAPI #4083 (blue).
Immunofluorescence Image 2: Glucocorticoid Receptor (D6H2L) Rabbit Monoclonal Antibody
Flow cytometric analysis of HT-29 cells (blue, negative) and HeLa cells (green, positive) using Glucocorticoid Receptor (D6H2L) XP® Rabbit mAb (solid lines) or a concentration-matched Rabbit (DA1E) mAb IgG XP® Isotype Control #3900 (dashed lines). Anti-rabbit IgG (H+L), F(ab')2 Fragment (Alexa Fluor® 488 Conjugate) #4412 was used as a secondary antibody.
Flow Cytometry Image 1: Glucocorticoid Receptor (D6H2L) Rabbit Monoclonal Antibody
Orders: 877-616-CELL (2355) [email protected] Support: 877-678-TECH (8324) [email protected] Web: cellsignal.com
For Research Use Only. Not for Use in Diagnostic Procedures.

Revision 8

Cell Signaling Technology Logo
Human whole blood was fixed, lysed, and permeabilized as per the Cell Signaling Technology Flow Cytometry (Alternate) Protocol, and stained with CD3-PE, CD19-APC, and Glucocorticoid Receptor (D6H2L) XP® Rabbit mAb. B cell (green) and T cell (blue) population gates (left) were applied to a histogram depicting the mean fluorescence intensity of glucocorticoid receptor, compared to a nonspecific negative control antibody (red; right). Anti-rabbit IgG (H+L), F(ab')2 Fragment (Alexa Fluor® 488 Conjugate) #4412 was used as a secondary antibody.
Flow Cytometry Image 2: Glucocorticoid Receptor (D6H2L) Rabbit Monoclonal Antibody
Chromatin immunoprecipitations were performed with cross-linked chromatin from A549 cells cultured in media with 5% charcoal-stripped FBS for 3 d and then treated with 100 nM dexamethasone for 1 hr and Glucocorticoid Receptor (D6H2L) XP® Rabbit mAb, using SimpleChIP® Enzymatic Chromatin IP Kit (Magnetic Beads) #9003. DNA Libraries were prepared using DNA Library Prep Kit for Illumina (ChIP-seq, CUT&RUN) #56795. The figure shows binding across SLC19A2, a known target gene of GR (see additional figure containing ChIP-qPCR data). For additional ChIP-seq tracks, please download the product datasheet.
Chromatin Immunoprecipitation Image 1: Glucocorticoid Receptor (D6H2L) Rabbit Monoclonal Antibody
Chromatin immunoprecipitations were performed with cross-linked chromatin from A549 cells cultured in media with 5% charcoal-stripped FBS for 3 d and then treated with 100 nM dexamethasone for 1 hr and Glucocorticoid Receptor (D6H2L) XP® Rabbit mAb, using SimpleChIP® Enzymatic Chromatin IP Kit (Magnetic Beads) #9003. DNA Libraries were prepared using DNA Library Prep Kit for Illumina (ChIP-seq, CUT&RUN) #56795. The figure shows binding across chromosome 1 (upper), including SLC19A2 (lower), a known target gene of GR (see additional figure containing ChIP-qPCR data).
Chromatin Immunoprecipitation Image 2: Glucocorticoid Receptor (D6H2L) Rabbit Monoclonal Antibody
Orders: 877-616-CELL (2355) [email protected] Support: 877-678-TECH (8324) [email protected] Web: cellsignal.com
For Research Use Only. Not for Use in Diagnostic Procedures.

Revision 8

Cell Signaling Technology Logo
A549 cells were cultured in media with 5% charcoal-stripped FBS for 3 d and then either untreated (left panel) or dexamethasone-treated (100 nM, 1 hr; right panel). Chromatin immunoprecipitations were performed with cross-linked chromatin from A549 cells and Glucocorticoid Receptor (D6H2L) XP® Rabbit mAb or Normal Rabbit IgG #2729 using SimpleChIP® Enzymatic Chromatin IP Kit (Magnetic Beads) #9003. The enriched DNA was quantified by real-time PCR using SimpleChIP® Human SLC19A2 Promoter Primers #7681, human MT2A promoter primers, and SimpleChIP® Human α Satellite Repeat Primers #4486. The amount of immunoprecipitated DNA in each sample is represented as signal relative to the total amount of input chromatin, which is equivalent to one.
Chromatin Immunoprecipitation Image 3: Glucocorticoid Receptor (D6H2L) Rabbit Monoclonal Antibody
CUT&RUN was performed with 2.5mg mouse liver tissue fixed with 0.1% formaldehyde for 10 minutes and Glucocorticoid Receptor (D6H2L) XP® Rabbit mAb, using CUT&RUN Assay Kit #86652. DNA Libraries were prepared using DNA Library Prep Kit for Illumina (ChIP-seq, CUT&RUN) #56795. The figures show binding across chromosome 8 (upper), including Chd9 (lower), a known target gene of Glucocorticoid Receptor (see additional figure containing CUT&RUN-qPCR data).
CUT & RUN Image 1: Glucocorticoid Receptor (D6H2L) Rabbit Monoclonal Antibody
CUT&RUN was performed with 2.5mg mouse liver tissue fixed with 0.1% formaldehyde for 10 minutes and Glucocorticoid Receptor (D6H2L) XP® Rabbit mAb, using CUT&RUN Assay Kit #86652. DNA Libraries were prepared using DNA Library Prep Kit for Illumina (ChIP-seq, CUT&RUN) #56795. The figure shows binding across Chd9, a known target gene of Glucocorticoid Receptor (see additional figure containing CUT&RUN-qPCR data).
CUT & RUN Image 2: Glucocorticoid Receptor (D6H2L) Rabbit Monoclonal Antibody
Orders: 877-616-CELL (2355) [email protected] Support: 877-678-TECH (8324) [email protected] Web: cellsignal.com
For Research Use Only. Not for Use in Diagnostic Procedures.

Revision 8

Cell Signaling Technology Logo
CUT&RUN was performed with 2.5 mg mouse liver tissue fixed with 0.1% formaldehyde for 10 minutes and either Glucocorticoid Receptor (D6H2L) XP® Rabbit mAb or Rabbit (DA1E) mAb IgG XP® Isotype Control (CUT&RUN) #66362, using CUT&RUN Assay Kit #86652. The enriched DNA was quantified by real-time PCR using mouse A230028O05Rik promoter primers, mouse Chd9 Intron 2 primers and SimpleChIP® Mouse Intracisternal A-Particle (IAP) LTR Primers #85916. The amount of immunoprecipitated DNA in each sample is represented as signal relative to the total amount of input chromatin, which is equivalent to one.
CUT & RUN Image 3: Glucocorticoid Receptor (D6H2L) Rabbit Monoclonal Antibody
Orders: 877-616-CELL (2355) [email protected] Support: 877-678-TECH (8324) [email protected] Web: cellsignal.com
For Research Use Only. Not for Use in Diagnostic Procedures.