Revision 9

#12282

Store at -20C

CST Logo
Orders:

877-616-CELL (2355)

[email protected]

Support:

877-678-TECH (8324)

3 Trask Lane | Danvers | Massachusetts | 01923 | USA

For Research Use Only. Not for Use in Diagnostic Procedures.

Applications:
W, W-S, IHC-P, IF-IC, FC-FP

Reactivity:
H M R

Sensitivity:
Endogenous

MW (kDa):
74

Source/Isotype:
Rabbit IgG

UniProt ID:
#P35354

Entrez-Gene Id:
5743

Product Usage Information

Application Dilution
Western Blotting 1:1000
Simple Western™ 1:10 - 1:50
Immunohistochemistry (Paraffin) 1:300 - 1:1200
Immunofluorescence (Immunocytochemistry) 1:400 - 1:800
Flow Cytometry (Fixed/Permeabilized) 1:100 - 1:400

Storage

Supplied in 10 mM sodium HEPES (pH 7.5), 150 mM NaCl, 100 µg/ml BSA, 50% glycerol and less than 0.02% sodium azide. Store at –20°C. Do not aliquot the antibody.

For a carrier free (BSA and azide free) version of this product see product #73315.

Specificity/Sensitivity

Cox2 (D5H5) Rabbit Monoclonal Antibody recognizes endogenous levels of total Cox2 protein. Species cross-reactivity for IF-IC is mouse and rat only. Non-specific labeling of centrioles may be observed by immunofluorescence in human cells.

Source / Purification

Monoclonal antibody is produced by immunizing animals with a synthetic peptide corresponding to residues surrounding His108 of human Cox2 protein.

Background

Cyclooxygenase1 (Cox1) and cyclooxygenase2 (Cox2), family members with 60% homology in humans, catalyze prostaglandin production from arachidonic acid (1,2). While Cox1 expression is constitutive in most tissues, Cox2 expression is induced by lipopolysaccharide (LPS) and peptidoglycan (PGN) (3). PGN activates Ras, leading to phosphorylation of Raf at Ser338 and Erk1/2 at Tyr204. The activation of MAP kinase signaling results in subsequent activation of IKKα/β, phosphorylation of IκBα at Ser32/36, and NF-κB activation. Finally, activation of the transcription factor NF-κB is responsible for the induction of Cox2 expression (4). Investigators have shown that LPS and PGN induce the clinical manifestations of arthritis and bacterial infections, such as inflammation, fever, and septic shock (5). Research studies have indicated that Cox1 and Cox2 may also play a role in the neuropathology of Alzheimer's disease by potentiating γ-secretase activity and β-amyloid generation (6).

Species Reactivity

Species reactivity is determined by testing in at least one approved application (e.g., western blot).

Western Blot Buffer

IMPORTANT: For western blots, incubate membrane with diluted primary antibody in 5% w/v nonfat dry milk, 1X TBS, 0.1% Tween® 20 at 4°C with gentle shaking, overnight.

Applications Key

W: Western Blotting W-S: Simple Western™ IHC-P: Immunohistochemistry (Paraffin) IF-IC: Immunofluorescence (Immunocytochemistry) FC-FP: Flow Cytometry (Fixed/Permeabilized)

Cross-Reactivity Key

H: Human M: Mouse R: Rat

Trademarks and Patents

Cell Signaling Technology is a trademark of Cell Signaling Technology, Inc.

Alexa Fluor is a registered trademark of Life Technologies Corporation.

All other trademarks are the property of their respective owners. Visit cellsignal.com/trademarks for more information.

Limited Uses

Except as otherwise expressly agreed in a writing signed by a legally authorized representative of CST, the following terms apply to Products provided by CST, its affiliates or its distributors. Any Customer's terms and conditions that are in addition to, or different from, those contained herein, unless separately accepted in writing by a legally authorized representative of CST, are rejected and are of no force or effect.

Products are labeled with For Research Use Only or a similar labeling statement and have not been approved, cleared, or licensed by the FDA or other regulatory foreign or domestic entity, for any purpose. Customer shall not use any Product for any diagnostic or therapeutic purpose, or otherwise in any manner that conflicts with its labeling statement. Products sold or licensed by CST are provided for Customer as the end-user and solely for research and development uses. Any use of Product for diagnostic, prophylactic or therapeutic purposes, or any purchase of Product for resale (alone or as a component) or other commercial purpose, requires a separate license from CST. Customer shall (a) not sell, license, loan, donate or otherwise transfer or make available any Product to any third party, whether alone or in combination with other materials, or use the Products to manufacture any commercial products, (b) not copy, modify, reverse engineer, decompile, disassemble or otherwise attempt to discover the underlying structure or technology of the Products, or use the Products for the purpose of developing any products or services that would compete with CST products or services, (c) not alter or remove from the Products any trademarks, trade names, logos, patent or copyright notices or markings, (d) use the Products solely in accordance with CST Product Terms of Sale and any applicable documentation, and (e) comply with any license, terms of service or similar agreement with respect to any third party products or services used by Customer in connection with the Products.

Orders: 877-616-CELL (2355) [email protected] Support: 877-678-TECH (8324) [email protected] Web: cellsignal.com
For Research Use Only. Not for Use in Diagnostic Procedures.

Revision 9

Cell Signaling Technology Logo
Western blot analysis of extracts from Raw 264.7 cells, untreated (-) or LPS-treated (1 μg/ml, 24 hr; +), using Cox2 (D5H5) XP® Rabbit mAb or β-Actin (D6A8) Rabbit mAb #8457.
Western Blotting Image 1: Cox2 (D5H5) Rabbit Monoclonal Antibody
Simple Western™ analysis of lysates (0.05 mg/mL) from Raw264,7 cells treated with LPS (1ug/mL, 6 hr) using Cox2 (D5H5) XP® Rabbit mAb #12282. The virtual lane view (left) shows the target band (as indicated) at 1:10 and 1:50 dilutions of primary antibody. The corresponding electropherogram view (right) plots chemiluminescence by molecular weight along the capillary at 1:10 (blue line) and 1:50 (green line) dilutions of primary antibody. This experiment was performed under reducing conditions on the Jess™ Simple Western instrument from ProteinSimple, a BioTechne brand, using the 12-230 kDa separation module.
Western Blotting Image 1: Cox2 (D5H5) Rabbit Monoclonal Antibody
Immunohistochemical analysis of paraffin-embedded human hepatocellular carcinoma using Cox2 (D5H5) XP® Rabbit mAb.
Immunohistochemistry Image 1: Cox2 (D5H5) Rabbit Monoclonal Antibody
Orders: 877-616-CELL (2355) [email protected] Support: 877-678-TECH (8324) [email protected] Web: cellsignal.com
For Research Use Only. Not for Use in Diagnostic Procedures.

Revision 9

Cell Signaling Technology Logo
Immunohistochemical analysis of paraffin-embedded human colon carcinoma using Cox2 (D5H5) XP® Rabbit mAb.
Immunohistochemistry Image 2: Cox2 (D5H5) Rabbit Monoclonal Antibody
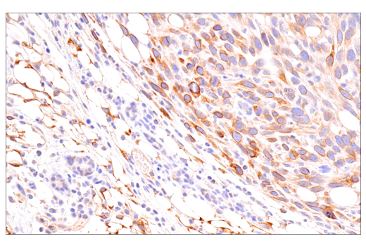
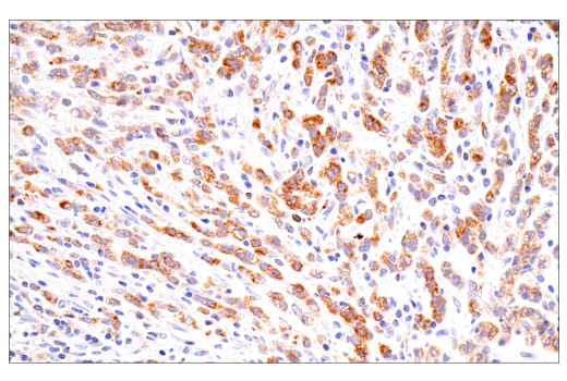
Immunohistochemical analysis of paraffin-embedded human renal cell carcinoma using Cox2 (D5H5) XP® Rabbit mAb.
Immunohistochemistry Image 3: Cox2 (D5H5) Rabbit Monoclonal Antibody
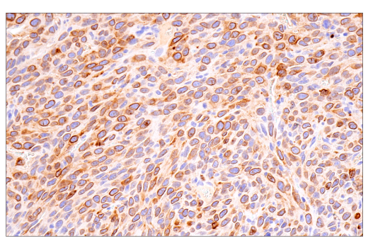
Immunohistochemical analysis of paraffin-embedded human esophageal adenocarcinoma using Cox2 (D5H5) XP® Rabbit mAb.
Immunohistochemistry Image 4: Cox2 (D5H5) Rabbit Monoclonal Antibody
Orders: 877-616-CELL (2355) [email protected] Support: 877-678-TECH (8324) [email protected] Web: cellsignal.com
For Research Use Only. Not for Use in Diagnostic Procedures.

Revision 9

Cell Signaling Technology Logo
Immunohistochemical analysis of paraffin-embedded normal human kidney using Cox2 (D5H5) XP® Rabbit mAb.
Immunohistochemistry Image 5: Cox2 (D5H5) Rabbit Monoclonal Antibody
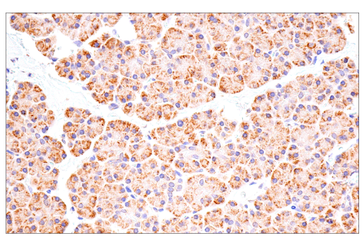
Immunohistochemical analysis of paraffin-embedded normal human pancreas using Cox2 (D5H5) XP® Rabbit mAb.
Immunohistochemistry Image 6: Cox2 (D5H5) Rabbit Monoclonal Antibody
Immunohistochemical analysis of paraffin-embedded 4T1 syngeneic mammary tumor using Cox2 (D5H5) XP® Rabbit mAb.
Immunohistochemistry Image 7: Cox2 (D5H5) Rabbit Monoclonal Antibody
Orders: 877-616-CELL (2355) [email protected] Support: 877-678-TECH (8324) [email protected] Web: cellsignal.com
For Research Use Only. Not for Use in Diagnostic Procedures.

Revision 9

Cell Signaling Technology Logo
Immunohistochemical analysis of paraffin-embedded CT26.WT syngeneic tumor using Cox2 (D5H5) XP® Rabbit mAb.
Immunohistochemistry Image 8: Cox2 (D5H5) Rabbit Monoclonal Antibody
Immunohistochemical analysis of paraffin-embedded mouse small intestine using Cox2 (D5H5) XP® Rabbit mAb.
Immunohistochemistry Image 9: Cox2 (D5H5) Rabbit Monoclonal Antibody
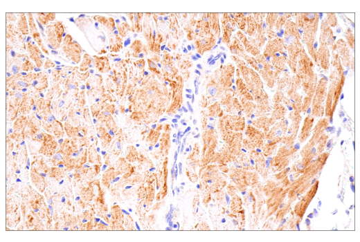
Immunohistochemical analysis of paraffin-embedded mouse heart using Cox2 (D5H5) XP® Rabbit mAb.
Immunohistochemistry Image 10: Cox2 (D5H5) Rabbit Monoclonal Antibody
Orders: 877-616-CELL (2355) [email protected] Support: 877-678-TECH (8324) [email protected] Web: cellsignal.com
For Research Use Only. Not for Use in Diagnostic Procedures.

Revision 9

Cell Signaling Technology Logo
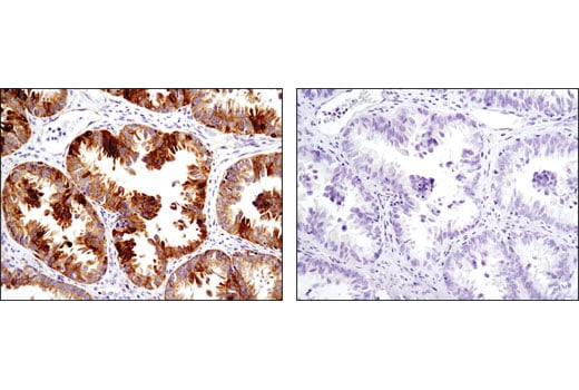
Immunohistochemical analysis of paraffin-embedded human ovarian carcinoma using Cox2 (D5H5) XP® Rabbit mAb in the presence of control peptide (left) or antigen-specific peptide (right).
Immunohistochemistry Image 11: Cox2 (D5H5) Rabbit Monoclonal Antibody
Immunohistochemical analysis of paraffin-embedded RAW 264.7 cell pellets, untreated (left) or treated with Lipopolysaccharides (LPS) #14011 (1 μg/ml, 16 hr, right), using Cox2 (D5H5) XP® Rabbit mAb.
Immunohistochemistry Image 12: Cox2 (D5H5) Rabbit Monoclonal Antibody
Confocal immunofluorescent analysis of Raw 264.7 cells, untreated (left; -) or LPS-treated (right; 1ug/ml, 24 hrs; +), using Cox2 (D5H5) XP® Rabbit mAb (green). Blue pseudocolor = DRAQ5® #4084 (fluorescent DNA dye).
Immunofluorescence Image 1: Cox2 (D5H5) Rabbit Monoclonal Antibody
Orders: 877-616-CELL (2355) [email protected] Support: 877-678-TECH (8324) [email protected] Web: cellsignal.com
For Research Use Only. Not for Use in Diagnostic Procedures.

Revision 9

Cell Signaling Technology Logo
Flow cytometric analysis of Raw264.7 cells, untreated (blue) or treated with LPS #14011 (1 µg/ml, 18 hr; green) using Cox2 (D5H5) XP® Rabbit mAb (solid lines) or concentration matched Rabbit (DA1E) mAb IgG XP® Isotype Control #3900 (dashed lines). Anti-rabbit IgG (H+L), F(ab')2 Fragment (Alexa Fluor® 488 Conjugate) #4412 was used as a secondary antibody.
Flow Cytometry Image 1: Cox2 (D5H5) Rabbit Monoclonal Antibody
Orders: 877-616-CELL (2355) [email protected] Support: 877-678-TECH (8324) [email protected] Web: cellsignal.com
For Research Use Only. Not for Use in Diagnostic Procedures.