Revision 1

#12382

Store at -20C

CST Logo
Orders:

877-616-CELL (2355)

[email protected]

Support:

877-678-TECH (8324)

3 Trask Lane | Danvers | Massachusetts | 01923 | USA

For Research Use Only. Not for Use in Diagnostic Procedures.

Applications:
W, IP, IHC-P

Reactivity:
H

Sensitivity:
Endogenous

MW (kDa):
37-48

Source/Isotype:
Rabbit IgG

UniProt ID:
#Q14103

Entrez-Gene Id:
3184

Product Usage Information

Application Dilution
Western Blotting 1:1000
Immunoprecipitation 1:50
Immunohistochemistry (Paraffin) 1:50

Storage

Supplied in 10 mM sodium HEPES (pH 7.5), 150 mM NaCl, 100 µg/ml BSA, 50% glycerol and less than 0.02% sodium azide. Store at –20°C. Do not aliquot the antibody.

Specificity/Sensitivity

AUF1/hnRNP D (D6O4F) Rabbit Monoclonal Antibody recognizes endogenous levels of total AUF1 protein.

Source / Purification

Monoclonal antibody is produced by immunizing animals with a synthetic peptide corresponding to residues near the carboxy terminus of human AUF1 protein.

Background

AU-rich element RNA binding protein 1 (AUF1) is also known as heterogeneous ribonucleoprotein D (hnRNP D). AUF1 binds to the AU rich element (ARE) of target mRNA and regulates mRNA decay (1,2). It has a broad range of target genes including IL-1, IL-2, IL-3, Myc, TNF-α, and cyclin D1 (2). Binding of AUF1 to Myc mRNA also affects translation of Myc (3). Recent studies have provided evidence that AUF1 is also involved in the regulation of transcription. AUF1 binds to the promoters of various genes including complement receptor 2 (4), enkephalin (5), and α-fetoprotein (6). AUF1 also binds to the telomerase catalytic subunit Tert promoter and the G-rich telomeric repeat, thus regulating telomere maintenance and normal aging (7,8). AUF1 has four isoforms produced by alternative splicing of a single transcript: p37, p40, p42, and p45 (9,10). All AUF1 isoforms shuttle between the nucleus and cytoplasm (11, 12). These isoforms have distinct localization and bind to different target mRNAs that contribute to the diversity of AUF1 function (2).

Species Reactivity

Species reactivity is determined by testing in at least one approved application (e.g., western blot).

Western Blot Buffer

IMPORTANT: For western blots, incubate membrane with diluted primary antibody in 5% w/v nonfat dry milk, 1X TBS, 0.1% Tween® 20 at 4°C with gentle shaking, overnight.

Applications Key

W: Western Blotting IP: Immunoprecipitation IHC-P: Immunohistochemistry (Paraffin)

Cross-Reactivity Key

H: Human

Trademarks and Patents

Cell Signaling Technology is a trademark of Cell Signaling Technology, Inc.

All other trademarks are the property of their respective owners. Visit cellsignal.com/trademarks for more information.

Limited Uses

Except as otherwise expressly agreed in a writing signed by a legally authorized representative of CST, the following terms apply to Products provided by CST, its affiliates or its distributors. Any Customer's terms and conditions that are in addition to, or different from, those contained herein, unless separately accepted in writing by a legally authorized representative of CST, are rejected and are of no force or effect.

Products are labeled with For Research Use Only or a similar labeling statement and have not been approved, cleared, or licensed by the FDA or other regulatory foreign or domestic entity, for any purpose. Customer shall not use any Product for any diagnostic or therapeutic purpose, or otherwise in any manner that conflicts with its labeling statement. Products sold or licensed by CST are provided for Customer as the end-user and solely for research and development uses. Any use of Product for diagnostic, prophylactic or therapeutic purposes, or any purchase of Product for resale (alone or as a component) or other commercial purpose, requires a separate license from CST. Customer shall (a) not sell, license, loan, donate or otherwise transfer or make available any Product to any third party, whether alone or in combination with other materials, or use the Products to manufacture any commercial products, (b) not copy, modify, reverse engineer, decompile, disassemble or otherwise attempt to discover the underlying structure or technology of the Products, or use the Products for the purpose of developing any products or services that would compete with CST products or services, (c) not alter or remove from the Products any trademarks, trade names, logos, patent or copyright notices or markings, (d) use the Products solely in accordance with CST Product Terms of Sale and any applicable documentation, and (e) comply with any license, terms of service or similar agreement with respect to any third party products or services used by Customer in connection with the Products.

Orders: 877-616-CELL (2355) [email protected] Support: 877-678-TECH (8324) [email protected] Web: cellsignal.com
For Research Use Only. Not for Use in Diagnostic Procedures.

Revision 1

Cell Signaling Technology Logo
Western blot analysis of extracts from various cells using AUF1/hnRNP D (D6O4F) Rabbit mAb.
Western Blotting Image 1: AUF1/hnRNP D (D6O4F) Rabbit Monoclonal Antibody
Immunoprecipitation of AUF1 from HT-29 cell extracts using Normal Rabbit IgG #2729 (lane 2) or AUF1/hnRNP D (D6O4F) Rabbit mAb (lane 3). Lane 1 is 10% input. Western blot analysis was performed using AUF1/hnRNP D (D6O4F) Rabbit mAb and Mouse Anti-rabbit IgG (Conformation Specific) (L27A9) mAb #3678.
Immunoprecipitation Image 1: AUF1/hnRNP D (D6O4F) Rabbit Monoclonal Antibody
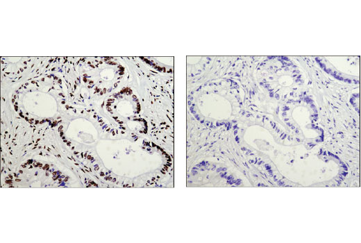
Immunohistochemical analysis of paraffin-embedded human colon carcinoma using AUF1/hnRNP D (D6O4F) Rabbit mAb in the presence of control peptide (left) and antigen-specific peptide (right).
Immunohistochemistry Image 1: AUF1/hnRNP D (D6O4F) Rabbit Monoclonal Antibody
Orders: 877-616-CELL (2355) [email protected] Support: 877-678-TECH (8324) [email protected] Web: cellsignal.com
For Research Use Only. Not for Use in Diagnostic Procedures.

Revision 1

Cell Signaling Technology Logo
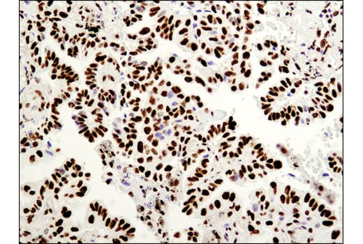
Immunohistochemical analysis of paraffin-embedded human lung carcinoma using AUF1/hnRNP D (D6O4F) Rabbit mAb.
Immunohistochemistry Image 2: AUF1/hnRNP D (D6O4F) Rabbit Monoclonal Antibody
Orders: 877-616-CELL (2355) [email protected] Support: 877-678-TECH (8324) [email protected] Web: cellsignal.com
For Research Use Only. Not for Use in Diagnostic Procedures.