Revision 1

#12756

Store at -20C

CST Logo
Orders:

877-616-CELL (2355)

[email protected]

Support:

877-678-TECH (8324)

3 Trask Lane | Danvers | Massachusetts | 01923 | USA

For Research Use Only. Not for Use in Diagnostic Procedures.

Applications:
W

Reactivity:
H

Sensitivity:
Endogenous

MW (kDa):
90-105

Source/Isotype:
Rabbit

UniProt ID:
#P51617

Entrez-Gene Id:
3654

Product Usage Information

Application Dilution
Western Blotting 1:1000

Storage

Supplied in 10 mM sodium HEPES (pH 7.5), 150 mM NaCl, 100 µg/ml BSA and 50% glycerol. Store at –20°C. Do not aliquot the antibody.

Specificity/Sensitivity

Phospho-IRAK1 (Thr209) Antibody recognizes endogenous levels of IRAK1 protein only when phosphorylated at Thr209. This antibody does not detect unmodified 75 kDa IRAK1. This antibody cross-reacts with a 35 kDa protein of unknown origin.

Source / Purification

Polyclonal antibodies are produced by immunizing animals with a synthetic phosphopeptide corresponding to residues surrounding Thr209 of human IRAK1 protein.

Background

Interleukin-1 (IL-1) receptor-associated kinase (IRAK) is a serine/threonine-specific kinase that can be coprecipitated in an IL-1-inducible manner with the IL-1 receptor (1). The mammalian family of IRAK molecules contains four members (IRAK1, IRAK2, IRAK3/IRAK-M, and IRAK4). The binding of IL-1 to IL-1 receptor type I (IL-1RI) initiates the formation of a complex that includes IL-1RI, AcP, MyD88, and IRAKs (2). IRAK undergoes autophosphorylation shortly after IL-1 stimulation. The subsequent events involve IRAK dissociation from the IL-1RI complex, its ubiquitination, and its association with two membrane-bound proteins: TAB2 and TRAF6. The resulting IRAK-TRAF6-TAB2 complex is then released into the cytoplasm where it activates protein kinase cascades, including TAK1, IKKs, and the stress-activated kinases (3).
Upon IL-1R/Toll-Like Receptor (TLR) ligation, IRAK1 and IRAK4 are rapidly recruited to the receptor by the adaptor MyD88 (4). IRAK1 is phosphorylated by IRAK4 at Thr209 and Thr387, followed by sequential autohyperphosphorylation in various domains (5).

Species Reactivity

Species reactivity is determined by testing in at least one approved application (e.g., western blot).

Western Blot Buffer

IMPORTANT: For western blots, incubate membrane with diluted primary antibody in 5% w/v BSA, 1X TBS, 0.1% Tween® 20 at 4°C with gentle shaking, overnight.

Applications Key

W: Western Blotting

Cross-Reactivity Key

H: Human

Trademarks and Patents

Cell Signaling Technology is a trademark of Cell Signaling Technology, Inc.

All other trademarks are the property of their respective owners. Visit cellsignal.com/trademarks for more information.

Limited Uses

Except as otherwise expressly agreed in a writing signed by a legally authorized representative of CST, the following terms apply to Products provided by CST, its affiliates or its distributors. Any Customer's terms and conditions that are in addition to, or different from, those contained herein, unless separately accepted in writing by a legally authorized representative of CST, are rejected and are of no force or effect.

Products are labeled with For Research Use Only or a similar labeling statement and have not been approved, cleared, or licensed by the FDA or other regulatory foreign or domestic entity, for any purpose. Customer shall not use any Product for any diagnostic or therapeutic purpose, or otherwise in any manner that conflicts with its labeling statement. Products sold or licensed by CST are provided for Customer as the end-user and solely for research and development uses. Any use of Product for diagnostic, prophylactic or therapeutic purposes, or any purchase of Product for resale (alone or as a component) or other commercial purpose, requires a separate license from CST. Customer shall (a) not sell, license, loan, donate or otherwise transfer or make available any Product to any third party, whether alone or in combination with other materials, or use the Products to manufacture any commercial products, (b) not copy, modify, reverse engineer, decompile, disassemble or otherwise attempt to discover the underlying structure or technology of the Products, or use the Products for the purpose of developing any products or services that would compete with CST products or services, (c) not alter or remove from the Products any trademarks, trade names, logos, patent or copyright notices or markings, (d) use the Products solely in accordance with CST Product Terms of Sale and any applicable documentation, and (e) comply with any license, terms of service or similar agreement with respect to any third party products or services used by Customer in connection with the Products.

Orders: 877-616-CELL (2355) [email protected] Support: 877-678-TECH (8324) [email protected] Web: cellsignal.com
For Research Use Only. Not for Use in Diagnostic Procedures.

Revision 1

Cell Signaling Technology Logo
Western blot analysis of extracts from serum-starved KARPAS-299 cells, untreated (-) or treated with Human Interleukin-1β (hIL-1β) #8900 (50 ng/ml, 15 min; +), using Phospho-IRAK1 (Thr209) Antibody (upper) or IRAK1 (D51G7) XP® Rabbit mAb #4504 (lower). Cell Line Source: Dr Abraham Karpas at the University of Cambridge.
Western Blotting Image 1: Phospho-IRAK1 (Thr209) Antibody
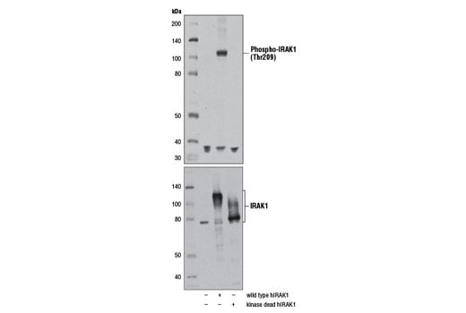
Western blot analysis of extracts from 293T cells, mock transfected, transfected with a construct expressing wild type IRAK1, or transfected with a construct expressing kinase dead IRAK1, using Phospho-IRAK1 (Thr209) Antibody (upper) or IRAK1 (D51G7) XP® Rabbit mAb #4504 (lower).
Western Blotting Image 2: Phospho-IRAK1 (Thr209) Antibody
Orders: 877-616-CELL (2355) [email protected] Support: 877-678-TECH (8324) [email protected] Web: cellsignal.com
For Research Use Only. Not for Use in Diagnostic Procedures.