Revision 5

#12980

Store at -20C

CST Logo
Orders:

877-616-CELL (2355)

[email protected]

Support:

877-678-TECH (8324)

3 Trask Lane | Danvers | Massachusetts | 01923 | USA

For Research Use Only. Not for Use in Diagnostic Procedures.

Applications:
W, IP, IHC-P, IF-IC

Reactivity:
H

Sensitivity:
Endogenous

MW (kDa):
60

Source/Isotype:
Rabbit IgG

UniProt ID:
#P04040

Entrez-Gene Id:
847

Product Usage Information

Application Dilution
Western Blotting 1:1000
Immunoprecipitation 1:50
Immunohistochemistry (Paraffin) 1:3000 - 1:12000
Immunofluorescence (Immunocytochemistry) 1:400 - 1:1600

Storage

Supplied in 10 mM sodium HEPES (pH 7.5), 150 mM NaCl, 100 µg/ml BSA, 50% glycerol and less than 0.02% sodium azide. Store at –20°C. Do not aliquot the antibody.

For a carrier free (BSA and azide free) version of this product see product #92532.

Specificity/Sensitivity

Catalase (D4P7B) Rabbit Monoclonal Antibody recognizes endogenous levels of total catalase protein.

Source / Purification

Monoclonal antibody is produced by immunizing animals with a synthetic peptide corresponding to residues near the carboxy terminus of human catalase protein.

Background

Catalase catalyzes the conversion of hydrogen peroxide to water and oxygen (1). Research studies show that overexpression of this antioxidant enzyme increases the ability of pancreatic β-cells to scavenge reactive oxygen species (ROS), thereby protecting pancreatic β-cells from oxidative stress (2). The pancreatic β-cells overexpressing this enzyme are also protected from hydrogen peroxide-mediated lipotoxicity, providing further evidence for the importance of catalase in the pathogenesis of diabetes (3).

Species Reactivity

Species reactivity is determined by testing in at least one approved application (e.g., western blot).

Western Blot Buffer

IMPORTANT: For western blots, incubate membrane with diluted primary antibody in 5% w/v nonfat dry milk, 1X TBS, 0.1% Tween® 20 at 4°C with gentle shaking, overnight.

Applications Key

W: Western Blotting IP: Immunoprecipitation IHC-P: Immunohistochemistry (Paraffin) IF-IC: Immunofluorescence (Immunocytochemistry)

Cross-Reactivity Key

H: Human

Trademarks and Patents

Cell Signaling Technology is a trademark of Cell Signaling Technology, Inc.

All other trademarks are the property of their respective owners. Visit cellsignal.com/trademarks for more information.

Limited Uses

Except as otherwise expressly agreed in a writing signed by a legally authorized representative of CST, the following terms apply to Products provided by CST, its affiliates or its distributors. Any Customer's terms and conditions that are in addition to, or different from, those contained herein, unless separately accepted in writing by a legally authorized representative of CST, are rejected and are of no force or effect.

Products are labeled with For Research Use Only or a similar labeling statement and have not been approved, cleared, or licensed by the FDA or other regulatory foreign or domestic entity, for any purpose. Customer shall not use any Product for any diagnostic or therapeutic purpose, or otherwise in any manner that conflicts with its labeling statement. Products sold or licensed by CST are provided for Customer as the end-user and solely for research and development uses. Any use of Product for diagnostic, prophylactic or therapeutic purposes, or any purchase of Product for resale (alone or as a component) or other commercial purpose, requires a separate license from CST. Customer shall (a) not sell, license, loan, donate or otherwise transfer or make available any Product to any third party, whether alone or in combination with other materials, or use the Products to manufacture any commercial products, (b) not copy, modify, reverse engineer, decompile, disassemble or otherwise attempt to discover the underlying structure or technology of the Products, or use the Products for the purpose of developing any products or services that would compete with CST products or services, (c) not alter or remove from the Products any trademarks, trade names, logos, patent or copyright notices or markings, (d) use the Products solely in accordance with CST Product Terms of Sale and any applicable documentation, and (e) comply with any license, terms of service or similar agreement with respect to any third party products or services used by Customer in connection with the Products.

Orders: 877-616-CELL (2355) [email protected] Support: 877-678-TECH (8324) [email protected] Web: cellsignal.com
For Research Use Only. Not for Use in Diagnostic Procedures.

Revision 5

Cell Signaling Technology Logo
Western blot analysis of extracts from Hep G2, HeLa, and 293 cells using Catalase (D4P7B) XP® Rabbit mAb.
Western Blotting Image 1: Catalase (D4P7B) Rabbit Monoclonal Antibody
Immunoprecipitation of catalase from extracts of HeLa cells using Rabbit (DA1E) mAb IgG XP® Isotype Control #3900 (lane 2) or Catalase (D4P7B) XP® Rabbit mAb (lane 3). Lane 1 is 10% input. Western blot analysis was performed using Catalase (D4P7B) XP® Rabbit mAb.
Immunoprecipitation Image 1: Catalase (D4P7B) Rabbit Monoclonal Antibody
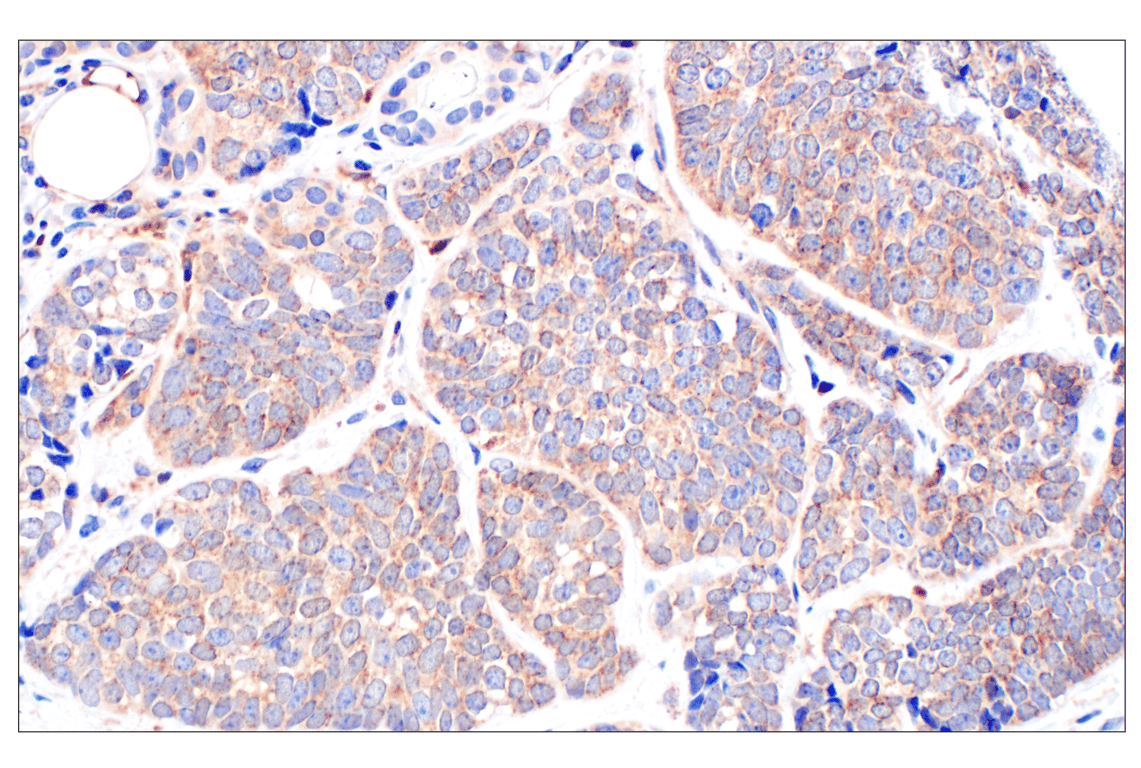
Immunohistochemical analysis of paraffin-embedded human ductal breast carcinoma using Catalase (D4P7B) XP® Rabbit mAb.
Immunohistochemistry Image 1: Catalase (D4P7B) Rabbit Monoclonal Antibody
Orders: 877-616-CELL (2355) [email protected] Support: 877-678-TECH (8324) [email protected] Web: cellsignal.com
For Research Use Only. Not for Use in Diagnostic Procedures.

Revision 5

Cell Signaling Technology Logo
Immunohistochemical analysis of paraffin-embedded human adenoid cystic carcinoma of the salivary gland using Catalase (D4P7B) XP® Rabbit mAb.
Immunohistochemistry Image 2: Catalase (D4P7B) Rabbit Monoclonal Antibody
Immunohistochemical analysis of paraffin-embedded human urothelial carcinoma using Catalase (D4P7B) XP® Rabbit mAb.
Immunohistochemistry Image 3: Catalase (D4P7B) Rabbit Monoclonal Antibody
Immunohistochemical analysis of paraffin-embedded normal human lymph node using Catalase (D4P7B) XP® Rabbit mAb.
Immunohistochemistry Image 4: Catalase (D4P7B) Rabbit Monoclonal Antibody
Orders: 877-616-CELL (2355) [email protected] Support: 877-678-TECH (8324) [email protected] Web: cellsignal.com
For Research Use Only. Not for Use in Diagnostic Procedures.

Revision 5

Cell Signaling Technology Logo
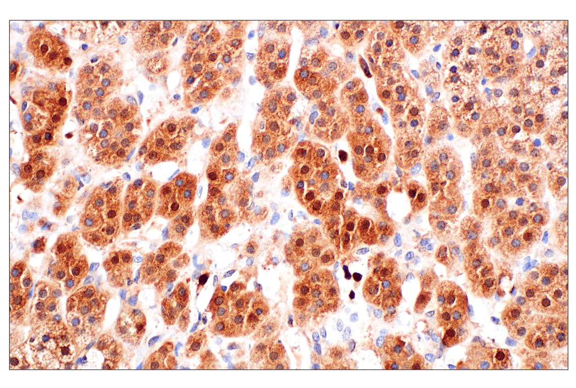
Immunohistochemical analysis of paraffin-embedded normal human adrenal gland using Catalase (D4P7B) XP® Rabbit mAb.
Immunohistochemistry Image 5: Catalase (D4P7B) Rabbit Monoclonal Antibody
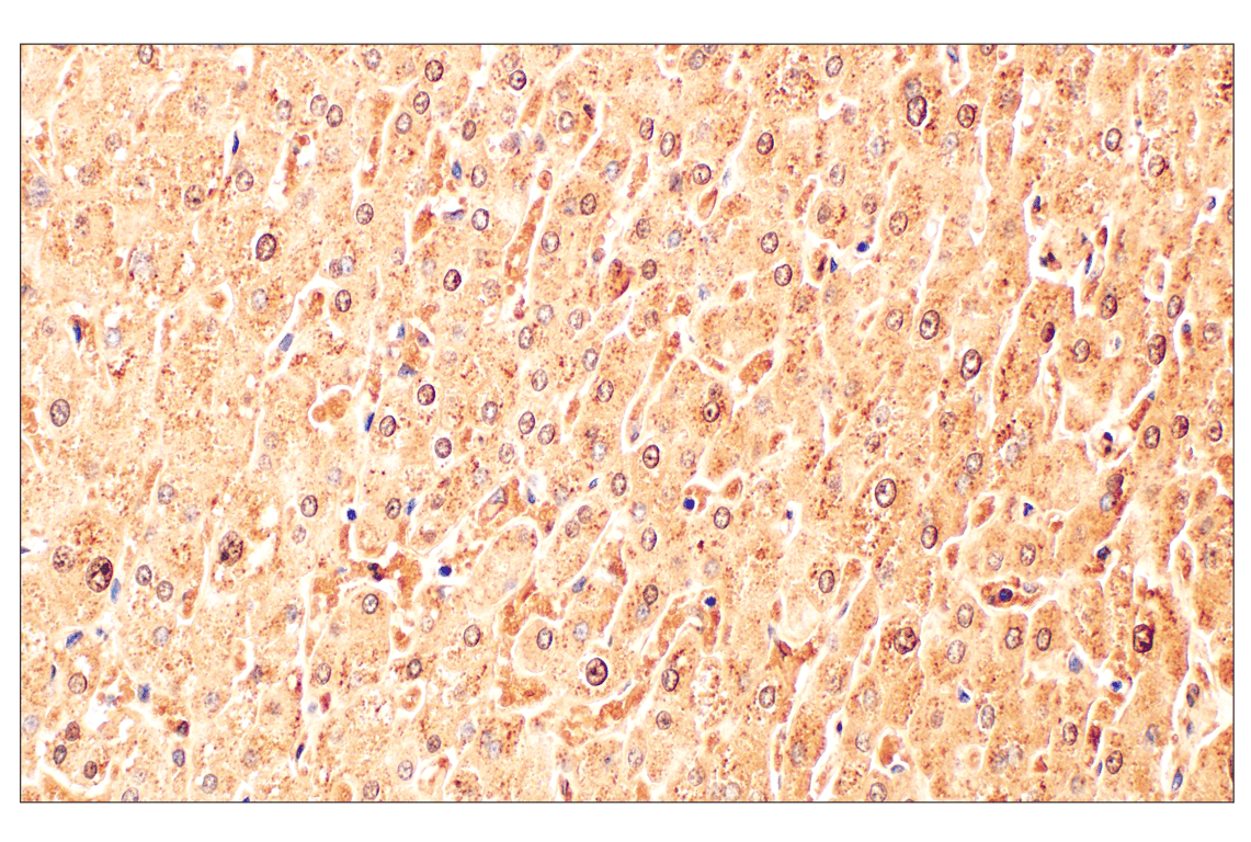
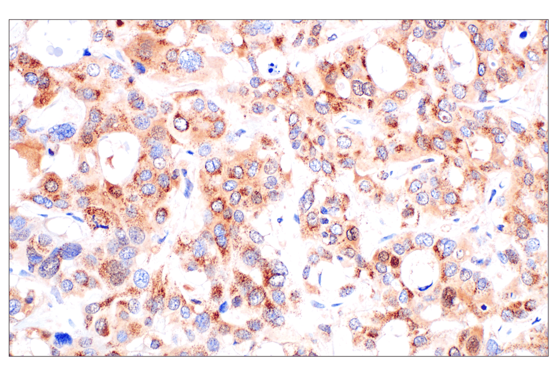
Immunohistochemical analysis of paraffin-embedded normal human liver using Catalase (D4P7B) XP® Rabbit mAb.
Immunohistochemistry Image 6: Catalase (D4P7B) Rabbit Monoclonal Antibody
Immunohistochemical analysis of paraffin-embedded normal human spleen using Catalase (D4P7B) XP® Rabbit mAb.
Immunohistochemistry Image 7: Catalase (D4P7B) Rabbit Monoclonal Antibody
Orders: 877-616-CELL (2355) [email protected] Support: 877-678-TECH (8324) [email protected] Web: cellsignal.com
For Research Use Only. Not for Use in Diagnostic Procedures.

Revision 5

Cell Signaling Technology Logo
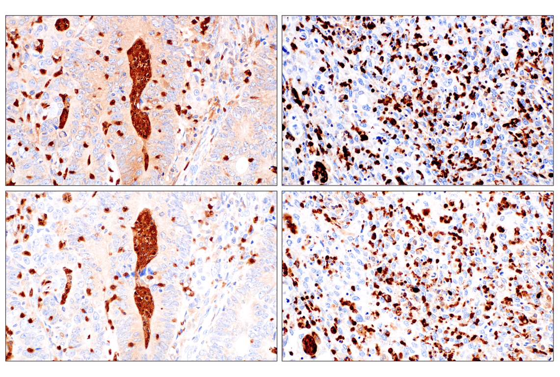
Immunohistochemical analysis of paraffin-embedded human colon adenocarcinoma (left), or squamous cell carcinoma of the cervix (right) using Catalase (D4P7B) XP® Rabbit mAb (top) or a Catalase Rabbit mAb (bottom). These two antibodies detect unique, non-overlapping epitopes on human Catalase. The similar staining patterns obtained with both antibodies help to confirm the specificity of the staining.
Immunohistochemistry Image 8: Catalase (D4P7B) Rabbit Monoclonal Antibody
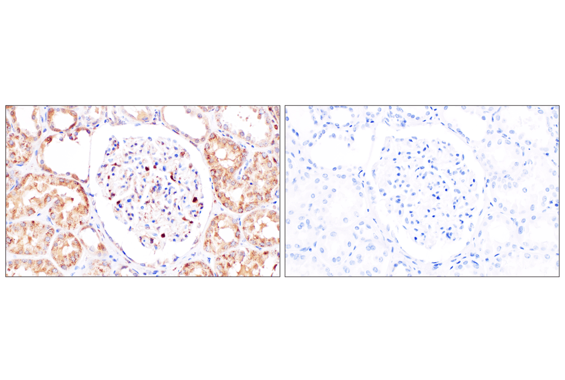
Immunohistochemical analysis of paraffin-embedded normal human kidney using Catalase (D4P7B) XP® Rabbit mAb (left) compared to concentration-matched Rabbit (DA1E) mAb IgG XP® Isotype Control #3900 (right). 
Immunohistochemistry Image 9: Catalase (D4P7B) Rabbit Monoclonal Antibody
Immunohistochemical analysis of paraffin-embedded MUTZ-3 cell pellet (left, positive) or NCCIT cell pellet (right, negative) using Catalase (D4P7B) XP® Rabbit mAb.
Immunohistochemistry Image 10: Catalase (D4P7B) Rabbit Monoclonal Antibody
Orders: 877-616-CELL (2355) [email protected] Support: 877-678-TECH (8324) [email protected] Web: cellsignal.com
For Research Use Only. Not for Use in Diagnostic Procedures.

Revision 5

Cell Signaling Technology Logo
Confocal immunofluorescent analysis of HeLa cells using Catalase (D4P7B) XP® Rabbit mAb (green). Actin filaments were labeled with DyLight™ 554 Phalloidin #13054 (red). Blue pseudocolor = DRAQ5® #4084 (fluorescent DNA dye).
Immunofluorescence Image 1: Catalase (D4P7B) Rabbit Monoclonal Antibody
Orders: 877-616-CELL (2355) [email protected] Support: 877-678-TECH (8324) [email protected] Web: cellsignal.com
For Research Use Only. Not for Use in Diagnostic Procedures.