Revision 3

#12986

Store at -20C

CST Logo
Orders:

877-616-CELL (2355)

[email protected]

Support:

877-678-TECH (8324)

3 Trask Lane | Danvers | Massachusetts | 01923 | USA

For Research Use Only. Not for Use in Diagnostic Procedures.

Background

Epothilone A and B are taxol-like macrolides originally identified as antifungal, cytotoxic metabolites derived from the myxobacterium Sorangium cellulosum. Research studies demonstrate that epothilone B polymerizes tubulin into microtubules in vitro, which induces mitotic arrest at the G2/M phase and results in inhibition of cell proliferation and cytotoxicity (1-3). Cell cycle arrest at nanomolar IC50 values have been observed in many cell types, including HeLa (IC50 = 32 nM), Hs578T (IC50 = 3 nM) (3), as well as the multiple myeloma cell lines U266 and RPMI 8226 (IC50 = ~1-10 nM) (4). Investigations have shown that both epothilone A and B competitively inhibit binding of taxol to microtubules in vitro (3).

Molecular Formula

C27H41NO6S

Molecular Weight

507.68 g/mol

Purity

>99%

CAS

152044-54-7

Solubility

Soluble in DMSO and EtOH at 40mg/ml.

Storage

Store lyophilized or in solution at -20ºC, desiccated. Protect from light. In lyophilized form, the chemical is stable for 24 months. Once in solution, use within 3 months to prevent loss of potency. Aliquot to avoid multiple freeze/thaw cycles.

Directions for Use

Epothilone B is supplied as a lyophilized powder. For a 1 mM stock, reconstitute the 100 µg in 197 µl DMSO. Working concentrations and length of treatment can vary depending on the desired effect, but it is typically used at 10-1000 nM for 12-48 hr.

Trademarks and Patents

Cell Signaling Technology is a trademark of Cell Signaling Technology, Inc.

All other trademarks are the property of their respective owners. Visit cellsignal.com/trademarks for more information.

Limited Uses

Except as otherwise expressly agreed in a writing signed by a legally authorized representative of CST, the following terms apply to Products provided by CST, its affiliates or its distributors. Any Customer's terms and conditions that are in addition to, or different from, those contained herein, unless separately accepted in writing by a legally authorized representative of CST, are rejected and are of no force or effect.

Products are labeled with For Research Use Only or a similar labeling statement and have not been approved, cleared, or licensed by the FDA or other regulatory foreign or domestic entity, for any purpose. Customer shall not use any Product for any diagnostic or therapeutic purpose, or otherwise in any manner that conflicts with its labeling statement. Products sold or licensed by CST are provided for Customer as the end-user and solely for research and development uses. Any use of Product for diagnostic, prophylactic or therapeutic purposes, or any purchase of Product for resale (alone or as a component) or other commercial purpose, requires a separate license from CST. Customer shall (a) not sell, license, loan, donate or otherwise transfer or make available any Product to any third party, whether alone or in combination with other materials, or use the Products to manufacture any commercial products, (b) not copy, modify, reverse engineer, decompile, disassemble or otherwise attempt to discover the underlying structure or technology of the Products, or use the Products for the purpose of developing any products or services that would compete with CST products or services, (c) not alter or remove from the Products any trademarks, trade names, logos, patent or copyright notices or markings, (d) use the Products solely in accordance with CST Product Terms of Sale and any applicable documentation, and (e) comply with any license, terms of service or similar agreement with respect to any third party products or services used by Customer in connection with the Products.

Orders: 877-616-CELL (2355) [email protected] Support: 877-678-TECH (8324) [email protected] Web: cellsignal.com
For Research Use Only. Not for Use in Diagnostic Procedures.

Revision 3

Cell Signaling Technology Logo
Western blot analysis of extracts from HeLa cells, untreated (-) or treated with Epothilone B (10 nM, 18 hr; +), using Phospho-Histone H3 (Ser10) (D2C8) XP® Rabbit mAb #3377 (upper) or Histone H3 (D1H2) XP® Rabbit mAb #4499 (lower).
undefined Image 1: Epothilone B
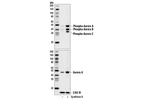
Western blot analysis of extracts from HeLa cells, untreated (-) or treated with Epothilone B (10 nM, 18 hr; +), using Phospho-Aurora A (Thr288)/Aurora B (Thr232)/Aurora C (Thr198) (D13A11) XP® Rabbit mAb #2914 (upper) or Aurora A (1F8) Mouse mAb #12100 and COX IV (3E11) Rabbit mAb #4850 (lower).
undefined Image 2: Epothilone B
Chemical structure of epothilone B.
undefined Image 3: Epothilone B
Orders: 877-616-CELL (2355) [email protected] Support: 877-678-TECH (8324) [email protected] Web: cellsignal.com
For Research Use Only. Not for Use in Diagnostic Procedures.