Revision 4

#13140

Store at -20C

CST Logo
Orders:

877-616-CELL (2355)

[email protected]

Support:

877-678-TECH (8324)

3 Trask Lane | Danvers | Massachusetts | 01923 | USA

For Research Use Only. Not for Use in Diagnostic Procedures.

Applications:
W, IP, IHC-P, IF-IC

Reactivity:
H M R Mk

Sensitivity:
Endogenous

MW (kDa):
11

Source/Isotype:
Rabbit IgG

UniProt ID:
#Q0VGL1

Entrez-Gene Id:
389541

Product Usage Information

Application Dilution
Western Blotting 1:1000
Immunoprecipitation 1:50
Immunohistochemistry (Paraffin) 1:1000
Immunofluorescence (Immunocytochemistry) 1:1600

Storage

Supplied in 10 mM sodium HEPES (pH 7.5), 150 mM NaCl, 100 µg/ml BSA, 50% glycerol and less than 0.02% sodium azide. Store at –20°C. Do not aliquot the antibody.

For a carrier free (BSA and azide free) version of this product see product #38635.

Specificity/Sensitivity

LAMTOR4/C7orf59 (D4P6O) Rabbit Monoclonal Antibody recognizes endogenous levels of total LAMTOR4 (C7orf59) protein.

Source / Purification

Monoclonal antibody is produced by immunizing animals with a synthetic peptide corresponding to residues near the carboxy terminus of human LAMTOR4 (C7orf59) protein.

Background

Late endosomal/lysosomal adaptor and MAPK and MTOR activator 4 (LAMTOR4) is an essential component of the ragulator protein complex that is encoded by the C7orf59 gene (1). The ragulator complex also includes LAMTOR1/C11orf59, LAMTOR2/ROBLD3, LAMTOR3/MAPKSP1, and HBXIP (1,2). This pentameric protein complex localizes to the lysosomal membrane and is essential for the lysosomal localization of Rag GTPases and mTORC1 as well as the subsequent activation of mTORC1 in response to amino acid signaling (1-3).

Species Reactivity

Species reactivity is determined by testing in at least one approved application (e.g., western blot).

Western Blot Buffer

IMPORTANT: For western blots, incubate membrane with diluted primary antibody in 5% w/v BSA, 1X TBS, 0.1% Tween® 20 at 4°C with gentle shaking, overnight.

Applications Key

W: Western Blotting IP: Immunoprecipitation IHC-P: Immunohistochemistry (Paraffin) IF-IC: Immunofluorescence (Immunocytochemistry)

Cross-Reactivity Key

H: Human M: Mouse R: Rat Mk: Monkey

Trademarks and Patents

Cell Signaling Technology is a trademark of Cell Signaling Technology, Inc.

SignalStain is a registered trademark of Cell Signaling Technology, Inc.

All other trademarks are the property of their respective owners. Visit cellsignal.com/trademarks for more information.

Limited Uses

Except as otherwise expressly agreed in a writing signed by a legally authorized representative of CST, the following terms apply to Products provided by CST, its affiliates or its distributors. Any Customer's terms and conditions that are in addition to, or different from, those contained herein, unless separately accepted in writing by a legally authorized representative of CST, are rejected and are of no force or effect.

Products are labeled with For Research Use Only or a similar labeling statement and have not been approved, cleared, or licensed by the FDA or other regulatory foreign or domestic entity, for any purpose. Customer shall not use any Product for any diagnostic or therapeutic purpose, or otherwise in any manner that conflicts with its labeling statement. Products sold or licensed by CST are provided for Customer as the end-user and solely for research and development uses. Any use of Product for diagnostic, prophylactic or therapeutic purposes, or any purchase of Product for resale (alone or as a component) or other commercial purpose, requires a separate license from CST. Customer shall (a) not sell, license, loan, donate or otherwise transfer or make available any Product to any third party, whether alone or in combination with other materials, or use the Products to manufacture any commercial products, (b) not copy, modify, reverse engineer, decompile, disassemble or otherwise attempt to discover the underlying structure or technology of the Products, or use the Products for the purpose of developing any products or services that would compete with CST products or services, (c) not alter or remove from the Products any trademarks, trade names, logos, patent or copyright notices or markings, (d) use the Products solely in accordance with CST Product Terms of Sale and any applicable documentation, and (e) comply with any license, terms of service or similar agreement with respect to any third party products or services used by Customer in connection with the Products.

Orders: 877-616-CELL (2355) [email protected] Support: 877-678-TECH (8324) [email protected] Web: cellsignal.com
For Research Use Only. Not for Use in Diagnostic Procedures.

Revision 4

Cell Signaling Technology Logo
Western blot analysis of extracts from various cell lines using LAMTOR4/C7orf59 (D4P6O) Rabbit mAb.
Western Blotting Image 1: LAMTOR4/C7orf59 (D4P6O) Rabbit Monoclonal Antibody
Immunoprecipitation of LAMTOR4/C7orf59 from HeLa cell extracts using Rabbit (DA1E) mAb IgG XP® Isotype Control #3900 (lane 2) or LAMTOR4/C7orf59 (D4P6O) Rabbit mAb (lane 3). Lane 1 is 10% input. Western blot analysis was performed using LAMTOR4/C7orf59 (D4P6O) Rabbit mAb.
Immunoprecipitation Image 1: LAMTOR4/C7orf59 (D4P6O) Rabbit Monoclonal Antibody
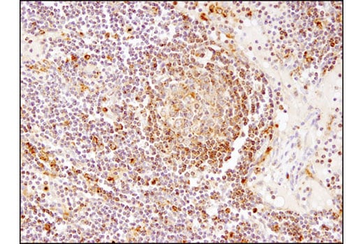
Immunohistochemical analysis of paraffin-embedded human lymph node using LAMTOR4/C7orf59 (D4P6O) Rabbit mAb.
Immunohistochemistry Image 1: LAMTOR4/C7orf59 (D4P6O) Rabbit Monoclonal Antibody
Orders: 877-616-CELL (2355) [email protected] Support: 877-678-TECH (8324) [email protected] Web: cellsignal.com
For Research Use Only. Not for Use in Diagnostic Procedures.

Revision 4

Cell Signaling Technology Logo
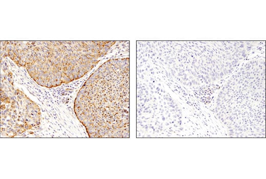
Immunohistochemical analysis of paraffin-embedded squamous cell lung carcinoma using LAMTOR4/C7orf59 (D4P6O) Rabbit mAb in the presence of control peptide (left) or antigen-specific peptide (right).
Immunohistochemistry Image 2: LAMTOR4/C7orf59 (D4P6O) Rabbit Monoclonal Antibody
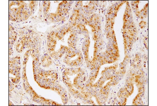
Immunohistochemical analysis of paraffin-embedded human prostate adenocarcinoma using LAMTOR4/C7orf59 (D4P6O) Rabbit mAb.
Immunohistochemistry Image 3: LAMTOR4/C7orf59 (D4P6O) Rabbit Monoclonal Antibody
Confocal immunofluorescent analysis of IGROV-1 cells using LAMTOR4/C7orf59 (D4P6O) Rabbit mAb (green). Actin filaments were labeled with DyLight™ 554 Phalloidin #13054 (red). Blue pseudocolor= DRAQ5® #4084 (fluorescent DNA dye).
Immunofluorescence Image 1: LAMTOR4/C7orf59 (D4P6O) Rabbit Monoclonal Antibody
Orders: 877-616-CELL (2355) [email protected] Support: 877-678-TECH (8324) [email protected] Web: cellsignal.com
For Research Use Only. Not for Use in Diagnostic Procedures.