Revision 4

#13175

Store at -20C

CST Logo
Orders:

877-616-CELL (2355)

[email protected]

Support:

877-678-TECH (8324)

3 Trask Lane | Danvers | Massachusetts | 01923 | USA

For Research Use Only. Not for Use in Diagnostic Procedures.

Applications:
W, IP, IHC-P

Reactivity:
H M R Mk

Sensitivity:
Endogenous

MW (kDa):
40

Source/Isotype:
Rabbit

UniProt ID:
#Q96B36

Entrez-Gene Id:
84335

Product Usage Information

Application Dilution
Western Blotting 1:1000
Immunoprecipitation 1:50
Immunohistochemistry (Paraffin) 1:200

Storage

Supplied in 10 mM sodium HEPES (pH 7.5), 150 mM NaCl, 100 µg/ml BSA, 50% glycerol and less than 0.02% sodium azide. Store at –20°C. Do not aliquot the antibody.

For a carrier free (BSA and azide free) version of this product see product #32263.

Specificity/Sensitivity

Phospho-PRAS40 (Thr246) (D4D2) Rabbit Monoclonal Antibody recognizes endogenous levels of PRAS40 protein only when phosphorylated at Thr246.

Source / Purification

Monoclonal antibody is produced by immunizing animals with a synthetic phosphopeptide corresponding to the sequence surrounding Thr246 of human PRAS40 protein.

Background

Many growth factors and hormones induce the phosphoinositide 3-kinase signaling pathway, which results in the activation of downstream effector proteins such as the serine/threonine kinase Akt (1,2). One known Akt substrate is a 40 kDa, proline-rich protein (PRAS40) that binds to 14-3-3 proteins (2). PRAS40 also binds mTOR to transduce Akt signals to the mTOR complex. Inhibition of mTOR signaling stimulates PRAS40 binding to mTOR, which in turn inhibits mTOR activity (3). PRAS40 interacts with raptor in mTOR complex 1 (mTORC1) in insulin-deprived cells and inhibits the activation of the mTORC1 pathway mediated by the cell cycle protein Rheb. Phosphorylation of PRAS40 by Akt at Thr246 relieves PRAS40 inhibition of mTORC1 (4). mTORC1 in turn phosphorylates PRAS40 at Ser183 (5).

Species Reactivity

Species reactivity is determined by testing in at least one approved application (e.g., western blot).

Western Blot Buffer

IMPORTANT: For western blots, incubate membrane with diluted primary antibody in 5% w/v nonfat dry milk, 1X TBS, 0.1% Tween® 20 at 4°C with gentle shaking, overnight.

Applications Key

W: Western Blotting IP: Immunoprecipitation IHC-P: Immunohistochemistry (Paraffin)

Cross-Reactivity Key

H: Human M: Mouse R: Rat Mk: Monkey

Trademarks and Patents

Cell Signaling Technology is a trademark of Cell Signaling Technology, Inc.

SignalSlide is a registered trademark of Cell Signaling Technology, Inc.

All other trademarks are the property of their respective owners. Visit cellsignal.com/trademarks for more information.

Limited Uses

Except as otherwise expressly agreed in a writing signed by a legally authorized representative of CST, the following terms apply to Products provided by CST, its affiliates or its distributors. Any Customer's terms and conditions that are in addition to, or different from, those contained herein, unless separately accepted in writing by a legally authorized representative of CST, are rejected and are of no force or effect.

Products are labeled with For Research Use Only or a similar labeling statement and have not been approved, cleared, or licensed by the FDA or other regulatory foreign or domestic entity, for any purpose. Customer shall not use any Product for any diagnostic or therapeutic purpose, or otherwise in any manner that conflicts with its labeling statement. Products sold or licensed by CST are provided for Customer as the end-user and solely for research and development uses. Any use of Product for diagnostic, prophylactic or therapeutic purposes, or any purchase of Product for resale (alone or as a component) or other commercial purpose, requires a separate license from CST. Customer shall (a) not sell, license, loan, donate or otherwise transfer or make available any Product to any third party, whether alone or in combination with other materials, or use the Products to manufacture any commercial products, (b) not copy, modify, reverse engineer, decompile, disassemble or otherwise attempt to discover the underlying structure or technology of the Products, or use the Products for the purpose of developing any products or services that would compete with CST products or services, (c) not alter or remove from the Products any trademarks, trade names, logos, patent or copyright notices or markings, (d) use the Products solely in accordance with CST Product Terms of Sale and any applicable documentation, and (e) comply with any license, terms of service or similar agreement with respect to any third party products or services used by Customer in connection with the Products.

Orders: 877-616-CELL (2355) [email protected] Support: 877-678-TECH (8324) [email protected] Web: cellsignal.com
For Research Use Only. Not for Use in Diagnostic Procedures.

Revision 4

Cell Signaling Technology Logo
Western blot analysis of extracts from serum starved HeLa cells, untreated (-), insulin-treated (1 μM, 30 min; +), or insulin and λ phosphatase-treated (+), using Phospho-PRAS40 (Thr246) (D4D2) XP® Rabbit mAb (upper) or PRAS40 Antibody #2610 (lower).
Western Blotting Image 1: Phospho-PRAS40 (Thr246) (D4D2) Rabbit Monoclonal Antibody
Immunoprecipitation of Phospho-PRAS40 (Thr246) from MCF-7 cell extracts. Cells were treated with hIGF-I (100 ng/mL, 10 min.). Lane 1 is 10% input, lane 2 is Rabbit (DA1E) mAb IgG XP® Isotype Control #3900, and lane 3 is Phospho-PRAS40 (Thr246) (D4D2) XP® Rabbit mAb. Western blot analysis was performed using Phospho-PRAS40 (Thr246) (D4D2) XP® Rabbit mAb. Anti-rabbit IgG, HRP-linked Antibody #7074 was used as a secondary antibody.
Immunoprecipitation Image 1: Phospho-PRAS40 (Thr246) (D4D2) Rabbit Monoclonal Antibody
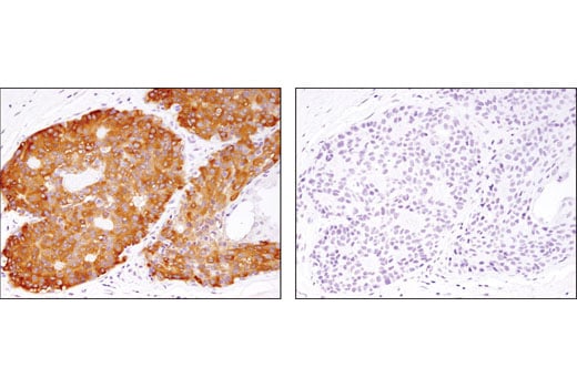
Immunohistochemical analysis of paraffin-embedded human breast carcinoma using Phospho-PRAS40 (Thr246) (D4D2) XP® Rabbit mAb in the presence of control peptide (left) or antigen-specific peptide (right).
Immunohistochemistry Image 1: Phospho-PRAS40 (Thr246) (D4D2) Rabbit Monoclonal Antibody
Orders: 877-616-CELL (2355) [email protected] Support: 877-678-TECH (8324) [email protected] Web: cellsignal.com
For Research Use Only. Not for Use in Diagnostic Procedures.

Revision 4

Cell Signaling Technology Logo
Immunohistochemical analysis of paraffin-embedded LNCaP cells, untreated (left) or LY294002-treated (right) using Phospho-PRAS40 (Thr246) (D4D2) XP® Rabbit mAb. Cells used are from the SignalSlide® Phospho-Akt (Ser473) IHC Controls #8101.
Immunohistochemistry Image 2: Phospho-PRAS40 (Thr246) (D4D2) Rabbit Monoclonal Antibody
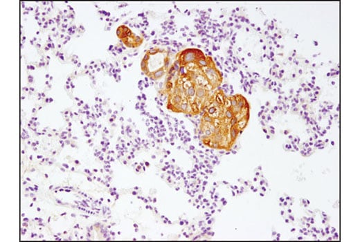
Immunohistochemical analysis of paraffin-embedded metastatic SK-OV-3 tumor in mouse lung using Phospho-PRAS40 (Thr246) (D4D2) XP® Rabbit mAb.
Immunohistochemistry Image 3: Phospho-PRAS40 (Thr246) (D4D2) Rabbit Monoclonal Antibody
Orders: 877-616-CELL (2355) [email protected] Support: 877-678-TECH (8324) [email protected] Web: cellsignal.com
For Research Use Only. Not for Use in Diagnostic Procedures.