Revision 1

#13538

Store at -20C

CST Logo
Orders:

877-616-CELL (2355)

[email protected]

Support:

877-678-TECH (8324)

3 Trask Lane | Danvers | Massachusetts | 01923 | USA

For Research Use Only. Not for Use in Diagnostic Procedures.

Applications:
W, IP, IHC-P, IF-IC

Reactivity:
H

Sensitivity:
Endogenous

MW (kDa):
48

Source/Isotype:
Rabbit IgG

UniProt ID:
#P51843

Entrez-Gene Id:
190

Product Usage Information

Application Dilution
Western Blotting 1:1000
Immunoprecipitation 1:100
Immunohistochemistry (Paraffin) 1:400
Immunofluorescence (Immunocytochemistry) 1:3200

Storage

Supplied in 10 mM sodium HEPES (pH 7.5), 150 mM NaCl, 100 µg/ml BSA, 50% glycerol and less than 0.02% sodium azide. Store at –20°C. Do not aliquot the antibody.

Specificity/Sensitivity

DAX1 (D2F1) Rabbit Monoclonal Antibody recognizes endogenous levels of total DAX1 protein.

Source / Purification

Monoclonal antibody is produced by immunizing animals with a synthetic peptide corresponding to residues surrounding Gly330 of human DAX1 protein.

Background

DSS-AHC critical region on the X chromosome protein 1 (DAX1) is an orphan nuclear receptor encoded by the nuclear receptor subfamily 0 group B member 1 (NR0B1) gene. DAX1 possesses an atypical DNA binding domain that allows it to form heterodimeric complexes with DNA binding partners and repress transcriptional activity (1,2). During development, DAX1 is important for establishment of the hypothalamic-pituitary-adrenal gonadal axis. The receptor is essential for development of several important hormone-producing organs that determine this axis, including the adrenal glands, pituitary, hypothalamus, and the male and female reproductive organs (3,4). Research studies suggest that DAX1 plays a role in maintenance of pluripotency in embryonic stem cells (5,6). Loss of DAX1 function through deletion or mutation results in adrenal insufficiency and hypogonadotropic hypogonadism (7), while duplication of the NR0B1 gene on the X-chromosome causes dosage-sensitive sex reversal (8).

Species Reactivity

Species reactivity is determined by testing in at least one approved application (e.g., western blot).

Western Blot Buffer

IMPORTANT: For western blots, incubate membrane with diluted primary antibody in 5% w/v BSA, 1X TBS, 0.1% Tween® 20 at 4°C with gentle shaking, overnight.

Applications Key

W: Western Blotting IP: Immunoprecipitation IHC-P: Immunohistochemistry (Paraffin) IF-IC: Immunofluorescence (Immunocytochemistry)

Cross-Reactivity Key

H: Human

Trademarks and Patents

Cell Signaling Technology is a trademark of Cell Signaling Technology, Inc.

SignalStain is a registered trademark of Cell Signaling Technology, Inc.

All other trademarks are the property of their respective owners. Visit cellsignal.com/trademarks for more information.

Limited Uses

Except as otherwise expressly agreed in a writing signed by a legally authorized representative of CST, the following terms apply to Products provided by CST, its affiliates or its distributors. Any Customer's terms and conditions that are in addition to, or different from, those contained herein, unless separately accepted in writing by a legally authorized representative of CST, are rejected and are of no force or effect.

Products are labeled with For Research Use Only or a similar labeling statement and have not been approved, cleared, or licensed by the FDA or other regulatory foreign or domestic entity, for any purpose. Customer shall not use any Product for any diagnostic or therapeutic purpose, or otherwise in any manner that conflicts with its labeling statement. Products sold or licensed by CST are provided for Customer as the end-user and solely for research and development uses. Any use of Product for diagnostic, prophylactic or therapeutic purposes, or any purchase of Product for resale (alone or as a component) or other commercial purpose, requires a separate license from CST. Customer shall (a) not sell, license, loan, donate or otherwise transfer or make available any Product to any third party, whether alone or in combination with other materials, or use the Products to manufacture any commercial products, (b) not copy, modify, reverse engineer, decompile, disassemble or otherwise attempt to discover the underlying structure or technology of the Products, or use the Products for the purpose of developing any products or services that would compete with CST products or services, (c) not alter or remove from the Products any trademarks, trade names, logos, patent or copyright notices or markings, (d) use the Products solely in accordance with CST Product Terms of Sale and any applicable documentation, and (e) comply with any license, terms of service or similar agreement with respect to any third party products or services used by Customer in connection with the Products.

Orders: 877-616-CELL (2355) [email protected] Support: 877-678-TECH (8324) [email protected] Web: cellsignal.com
For Research Use Only. Not for Use in Diagnostic Procedures.

Revision 1

Cell Signaling Technology Logo
Western blot analysis of extracts from U-87 MG, NCI-H460, A431 cells, and human testis using DAX1 (D2F1) Rabbit mAb. A431 extract is negative as expected.
Western Blotting Image 1: DAX1 (D2F1) Rabbit Monoclonal Antibody
Immunoprecipitation of DAX1 from KYSE-450 cell extracts using Rabbit (DA1E) mAb IgG XP® Isotype Control #3900 (lane 2) or DAX1 (D2F1) Rabbit mAb (lane 3). Lane 1 is 10% input. Western blot analysis was performed using DAX1 (D2F1) Rabbit mAb.
Immunoprecipitation Image 1: DAX1 (D2F1) Rabbit Monoclonal Antibody
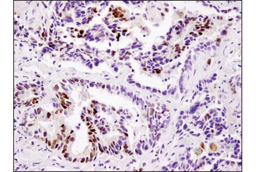
Immunohistochemical analysis of paraffin-embedded human lung carcinoma using DAX1 (D2F1) Rabbit mAb.
Immunohistochemistry Image 1: DAX1 (D2F1) Rabbit Monoclonal Antibody
Orders: 877-616-CELL (2355) [email protected] Support: 877-678-TECH (8324) [email protected] Web: cellsignal.com
For Research Use Only. Not for Use in Diagnostic Procedures.

Revision 1

Cell Signaling Technology Logo
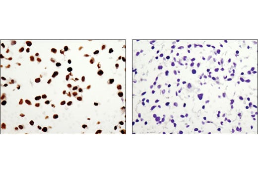
Immunohistochemical analysis of paraffin-embedded NCI-H460 (positive; left) or A431 (negative; right) cell pellets using DAX1 (D2F1) Rabbit mAb.
Immunohistochemistry Image 2: DAX1 (D2F1) Rabbit Monoclonal Antibody
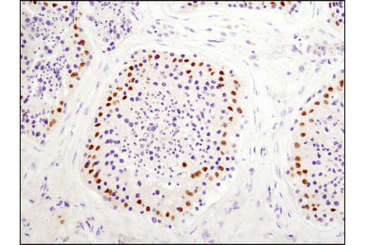
Immunohistochemical analysis of paraffin-embedded human testis using DAX1 (D2F1) Rabbit mAb.
Immunohistochemistry Image 3: DAX1 (D2F1) Rabbit Monoclonal Antibody
Confocal immunofluorescent analysis of NCI-H460 (positive; upper) and A431 (negative; lower) cells, using DAX1 (D2F1) Rabbit mAb (green). Actin filaments were labeled with DyLight™ 554 Phalloidin #13054 (red). Blue pseudocolor = DRAQ5® #4084 (fluorescent DNA dye).
Immunofluorescence Image 1: DAX1 (D2F1) Rabbit Monoclonal Antibody
Orders: 877-616-CELL (2355) [email protected] Support: 877-678-TECH (8324) [email protected] Web: cellsignal.com
For Research Use Only. Not for Use in Diagnostic Procedures.