Revision 1

#13562

Store at -20C

CST Logo
Orders:

877-616-CELL (2355)

[email protected]

Support:

877-678-TECH (8324)

3 Trask Lane | Danvers | Massachusetts | 01923 | USA

For Research Use Only. Not for Use in Diagnostic Procedures.

Applications:
W

Reactivity:
H M Mk

Sensitivity:
Endogenous

MW (kDa):
77

Source/Isotype:
Rabbit

UniProt ID:
#Q96AC1

Entrez-Gene Id:
10979

Product Usage Information

Application Dilution
Western Blotting 1:1000

Storage

Supplied in 10 mM sodium HEPES (pH 7.5), 150 mM NaCl, 100 µg/ml BSA and 50% glycerol. Store at –20°C. Do not aliquot the antibody.

Specificity/Sensitivity

Kindlin-2 Antibody recognizes endogenous levels of total kindlin-2 protein. This antibody does not cross-react with kindlin-1 or kindlin-3 proteins.

Source / Purification

Polyclonal antibodies are produced by immunizing animals with a synthetic peptide corresponding to residues surrounding Asn502 of human kindlin-2 protein. Antibodies are purified by protein A and peptide affinity chromatography.

Background

The kindlin family of focal adhesion proteins is involved in multiple biological processes, including integrin signaling, adhesion, migration, angiogenesis, differentiation, and mitotic spindle formation (1,2). Kindlin family members 1, 2, and 3 (FERM1, FERM2, and URP2) are differentially expressed in tissues. Kindlin-1 is primarily expressed in epithelial cells, kindlin-2 is ubiquitously expressed, and kindlin-3 expression is restricted to the hematopoietic system (3).

Kindlin-2 regulates integrin β3 mediated adhesion and migration (4,5) and contributes to Wnt signaling through interaction with β-catenin and activation of Wnt target genes (6).

Research studies indicate that kindlin-2 expression in pancreatic and gastric cancers may be indicative of poor prognosis (7,8) and that kindlin-2 may support invasiveness in breast cancer (9). Additional studies show that expression of kindlin-2 in prostate cancer cells can protect cells from cisplatin-induced cell death (10).

Species Reactivity

Species reactivity is determined by testing in at least one approved application (e.g., western blot).

Western Blot Buffer

IMPORTANT: For western blots, incubate membrane with diluted primary antibody in 5% w/v BSA, 1X TBS, 0.1% Tween® 20 at 4°C with gentle shaking, overnight.

Applications Key

W: Western Blotting

Cross-Reactivity Key

H: Human M: Mouse Mk: Monkey

Trademarks and Patents

Cell Signaling Technology is a trademark of Cell Signaling Technology, Inc.

All other trademarks are the property of their respective owners. Visit cellsignal.com/trademarks for more information.

Limited Uses

Except as otherwise expressly agreed in a writing signed by a legally authorized representative of CST, the following terms apply to Products provided by CST, its affiliates or its distributors. Any Customer's terms and conditions that are in addition to, or different from, those contained herein, unless separately accepted in writing by a legally authorized representative of CST, are rejected and are of no force or effect.

Products are labeled with For Research Use Only or a similar labeling statement and have not been approved, cleared, or licensed by the FDA or other regulatory foreign or domestic entity, for any purpose. Customer shall not use any Product for any diagnostic or therapeutic purpose, or otherwise in any manner that conflicts with its labeling statement. Products sold or licensed by CST are provided for Customer as the end-user and solely for research and development uses. Any use of Product for diagnostic, prophylactic or therapeutic purposes, or any purchase of Product for resale (alone or as a component) or other commercial purpose, requires a separate license from CST. Customer shall (a) not sell, license, loan, donate or otherwise transfer or make available any Product to any third party, whether alone or in combination with other materials, or use the Products to manufacture any commercial products, (b) not copy, modify, reverse engineer, decompile, disassemble or otherwise attempt to discover the underlying structure or technology of the Products, or use the Products for the purpose of developing any products or services that would compete with CST products or services, (c) not alter or remove from the Products any trademarks, trade names, logos, patent or copyright notices or markings, (d) use the Products solely in accordance with CST Product Terms of Sale and any applicable documentation, and (e) comply with any license, terms of service or similar agreement with respect to any third party products or services used by Customer in connection with the Products.

Orders: 877-616-CELL (2355) [email protected] Support: 877-678-TECH (8324) [email protected] Web: cellsignal.com
For Research Use Only. Not for Use in Diagnostic Procedures.

Revision 1

Cell Signaling Technology Logo
Western blot analysis of extracts from HeLa, Saos-2, and MCF7 cells using Kindlin-2 Antibody.
Western Blotting Image 1: Kindlin-2 Antibody
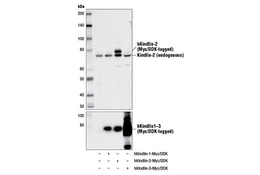
Western blot analysis of extracts from 293T cells, mock transfected (-) or transfected with a construct expressing Myc/DDK-tagged full-length human kindlin-1 protein (hKindlin-1-Myc/DDK; +), kindlin-2 protein (hKindlin-2-Myc/DDK; +) or kindlin-3 protein (hKindlin-3-Myc/DDK; +) protein, using Kindlin-2 Antibody (upper) or Myc-Tag (71D10) Rabbit mAb #2278 (lower).
Western Blotting Image 2: Kindlin-2 Antibody
Orders: 877-616-CELL (2355) [email protected] Support: 877-678-TECH (8324) [email protected] Web: cellsignal.com
For Research Use Only. Not for Use in Diagnostic Procedures.