Revision 1

#13610

Store at -20C

CST Logo
Orders:

877-616-CELL (2355)

[email protected]

Support:

877-678-TECH (8324)

3 Trask Lane | Danvers | Massachusetts | 01923 | USA

For Research Use Only. Not for Use in Diagnostic Procedures.

Applications:
W, IP, ChIP

Reactivity:
H M R Mk

Sensitivity:
Endogenous

MW (kDa):
130

Source/Isotype:
Rabbit IgG

UniProt ID:
#Q08999

Entrez-Gene Id:
5934

Product Usage Information

For optimal ChIP results, use 10 μl of antibody and 10 μg of chromatin (approximately 4 x 106 cells) per IP. This antibody has been validated using SimpleChIP® Enzymatic Chromatin IP Kits.
Application Dilution
Western Blotting 1:1000
Immunoprecipitation 1:100
Chromatin IP 1:50

Storage

Supplied in 10 mM sodium HEPES (pH 7.5), 150 mM NaCl, 100 µg/ml BSA, 50% glycerol and less than 0.02% sodium azide. Store at –20°C. Do not aliquot the antibody.

Specificity/Sensitivity

RBL2 (D9T7M) Rabbit Monoclonal Antibody recognizes endogenous levels of total RBL2 protein. This antibody does not cross-react with the Rb or RBL1 proteins.

Source / Purification

Monoclonal antibody is produced by immunizing animals with recombinant protein corresponding to human RBL2 protein.

Background

The retinoblastoma (Rb) tumor suppressor family includes the retinoblastoma protein Rb (p105), retinoblastoma-like protein 1 (RBL1, p107), and retinoblastoma-like protein 2 (RBL2, p130). These Rb family proteins are referred to as ‘pocket proteins’ because they contain a conserved binding pocket region that interacts with critical regulatory proteins, including E2F family transcription factors, c-Abl tyrosine kinase, and proteins containing a conserved LXCXE motif (1,2). In quiescent G0 phase cells, active Rb proteins are hypophosphorylated and bind to E2F transcription factors to repress transcription and inhibit cell cycle progression (1,2). Upon growth factor induction of quiescent cells, Rb proteins become hyperphosphorylated and inactivated by G1-phase cyclinD-cdk4/6, G1/S-phase cyclin E-cdk2, and G1/S-phase cyclin A-cdk2 complexes (1,2). Hyperphosphorylation of Rb proteins results in a loss of E2F binding and allows for transcriptional activation and cell cycle progression (1,2). In addition to regulating the cell cycle, Rb proteins regulate chromosome stability, induction, and maintenance of senescence, apoptosis, cellular differentiation, and angiogenesis (3).

Retinoblastoma-like protein 2 (RBL2, p130) is the most predominant and active Rb family member found in quiescent cells. In these cells, RBL2 interacts with E2F4 and E2F5 to recruit the DP, RB-like, E2F, and MuvB protein (DREAM) complex to E2F target genes to repress transcription of multiple genes required for progression into S phase and mitosis (4-6). Hypophosphorylation of RBL2 during cellular senescence is required for maintenance of senescent cells (7,8).

Species Reactivity

Species reactivity is determined by testing in at least one approved application (e.g., western blot).

Western Blot Buffer

IMPORTANT: For western blots, incubate membrane with diluted primary antibody in 5% w/v nonfat dry milk, 1X TBS, 0.1% Tween® 20 at 4°C with gentle shaking, overnight.

Applications Key

W: Western Blotting IP: Immunoprecipitation ChIP: Chromatin IP

Cross-Reactivity Key

H: Human M: Mouse R: Rat Mk: Monkey

Trademarks and Patents

Cell Signaling Technology is a trademark of Cell Signaling Technology, Inc.

SignalSilence is a registered trademark of Cell Signaling Technology, Inc.

SimpleChIP is a registered trademark of Cell Signaling Technology, Inc.

All other trademarks are the property of their respective owners. Visit cellsignal.com/trademarks for more information.

Limited Uses

Except as otherwise expressly agreed in a writing signed by a legally authorized representative of CST, the following terms apply to Products provided by CST, its affiliates or its distributors. Any Customer's terms and conditions that are in addition to, or different from, those contained herein, unless separately accepted in writing by a legally authorized representative of CST, are rejected and are of no force or effect.

Products are labeled with For Research Use Only or a similar labeling statement and have not been approved, cleared, or licensed by the FDA or other regulatory foreign or domestic entity, for any purpose. Customer shall not use any Product for any diagnostic or therapeutic purpose, or otherwise in any manner that conflicts with its labeling statement. Products sold or licensed by CST are provided for Customer as the end-user and solely for research and development uses. Any use of Product for diagnostic, prophylactic or therapeutic purposes, or any purchase of Product for resale (alone or as a component) or other commercial purpose, requires a separate license from CST. Customer shall (a) not sell, license, loan, donate or otherwise transfer or make available any Product to any third party, whether alone or in combination with other materials, or use the Products to manufacture any commercial products, (b) not copy, modify, reverse engineer, decompile, disassemble or otherwise attempt to discover the underlying structure or technology of the Products, or use the Products for the purpose of developing any products or services that would compete with CST products or services, (c) not alter or remove from the Products any trademarks, trade names, logos, patent or copyright notices or markings, (d) use the Products solely in accordance with CST Product Terms of Sale and any applicable documentation, and (e) comply with any license, terms of service or similar agreement with respect to any third party products or services used by Customer in connection with the Products.

Orders: 877-616-CELL (2355) [email protected] Support: 877-678-TECH (8324) [email protected] Web: cellsignal.com
For Research Use Only. Not for Use in Diagnostic Procedures.

Revision 1

Cell Signaling Technology Logo
Western blot analysis of extracts from various cell lines using RBL2 (D9T7M) Rabbit mAb.
Western Blotting Image 1: RBL2 (D9T7M) Rabbit Monoclonal Antibody
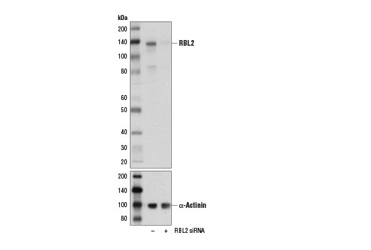
Western blot analysis of extracts from 293 cells, transfected with 100 nM SignalSilence® Control siRNA (Unconjugated) #6568 (-) or SignalSilence® RBL2 siRNA I # 14712 (+), using RBL2 (D9T7M) Rabbit mAb (upper) and α-Actinin (D6F6) XP® Rabbit mAb #6487 (lower). The RBL2 (D9T7M) Rabbit mAb confirms silencing of RBL2 expression, while the α-Actinin (D6F6) XP® Rabbit mAb is used as a loading control.
Western Blotting Image 2: RBL2 (D9T7M) Rabbit Monoclonal Antibody
Chromatin immunoprecipitations were performed with cross-linked chromatin from 3T3 cells and either RBL2 (D9T7M) Rabbit mAb or Normal Rabbit IgG #2729, using SimpleChIP® Enzymatic Chromatin IP Kit (Magnetic Beads) #9003. The enriched DNA was quantified by real-time PCR using mouse CCNE1 promoter primers, mouse CDC2 promoter primers, SimpleChIP® Mouse B-Myb Intron 2 Primers #13707, and SimpleChIP® Mouse RPL30 Intron 2 Primers #7015. The amount of immunoprecipitated DNA in each sample is represented as signal relative to the total amount of input chromatin, which is equivalent to one.
Chromatin Immunoprecipitation Image 1: RBL2 (D9T7M) Rabbit Monoclonal Antibody
Orders: 877-616-CELL (2355) [email protected] Support: 877-678-TECH (8324) [email protected] Web: cellsignal.com
For Research Use Only. Not for Use in Diagnostic Procedures.