Revision 3

#13689

Store at -20C

CST Logo
Orders:

877-616-CELL (2355)

[email protected]

Support:

877-678-TECH (8324)

3 Trask Lane | Danvers | Massachusetts | 01923 | USA

For Research Use Only. Not for Use in Diagnostic Procedures.

Applications:
W

Reactivity:
H M R Mk

Sensitivity:
Endogenous

MW (kDa):
58

Source/Isotype:
Rabbit

UniProt ID:
#O95376

Entrez-Gene Id:
10425

Product Usage Information

Application Dilution
Western Blotting 1:1000

Storage

Supplied in 10 mM sodium HEPES (pH 7.5), 150 mM NaCl, 100 µg/ml BSA and 50% glycerol. Store at –20°C. Do not aliquot the antibody.

Specificity/Sensitivity

TRIAD1 Antibody recognizes endogenous levels of total TRIAD1 protein. Based upon sequence alignment, this antibody is not predicted to cross-react with HHARI/ARIH1.

Species predicted to react based on 100% sequence homology

Chicken, Bovine, Dog, Pig, Horse

Source / Purification

Polyclonal antibodies are produced by immunizing animals with a synthetic peptide corresponding to residues near the amino terminus of human TRIAD1 protein. Antibodies are purified by protein A and peptide affinity chromatography.

Background

The E3 ubiquitin-protein ligase ARIH2 (TRIAD1) is an Ariadne subfamily ligase involved in the polyubiquitination of proteins designated for proteasomal degradation. The TRIAD1 nuclear protein contains an amino-terminal acidic region, a pair of RING fingers, two carboxyl-terminal coiled coil domains and a novel C6HC DRIL/IBR domain located between the RING fingers. Together, the paired RING fingers and DRIL/IBR domain form a highly conserved TRIAD (two RING fingers and DRIL) domain (1). Research studies suggest that TRIAD1 mediates both Lys48 and Lys63 protein polyubiquitination and acts as a negative regulator of myelopoiesis. TRIAD1 ubiquitin ligase inhibits myeloid cell proliferation by mediating protein ubiquitination through the ubiquitin-conjugating enzymes UbcH7 and UbcH13 (2,3). Experimental deletion of TRIAD1 in mice has a lethal effect, leading to death at the embryonic stage or later due to a severe, multi-organ inflammatory response. Results indicate that TRIAD1 binds IκBβ in dendritic cells and promotes the degradation of the NF-κB inhibitor (4).

Species Reactivity

Species reactivity is determined by testing in at least one approved application (e.g., western blot).

Western Blot Buffer

IMPORTANT: For western blots, incubate membrane with diluted primary antibody in 5% w/v BSA, 1X TBS, 0.1% Tween® 20 at 4°C with gentle shaking, overnight.

Applications Key

W: Western Blotting

Cross-Reactivity Key

H: Human M: Mouse R: Rat Mk: Monkey

Trademarks and Patents

Cell Signaling Technology is a trademark of Cell Signaling Technology, Inc.

SignalSilence is a registered trademark of Cell Signaling Technology, Inc.

All other trademarks are the property of their respective owners. Visit cellsignal.com/trademarks for more information.

Limited Uses

Except as otherwise expressly agreed in a writing signed by a legally authorized representative of CST, the following terms apply to Products provided by CST, its affiliates or its distributors. Any Customer's terms and conditions that are in addition to, or different from, those contained herein, unless separately accepted in writing by a legally authorized representative of CST, are rejected and are of no force or effect.

Products are labeled with For Research Use Only or a similar labeling statement and have not been approved, cleared, or licensed by the FDA or other regulatory foreign or domestic entity, for any purpose. Customer shall not use any Product for any diagnostic or therapeutic purpose, or otherwise in any manner that conflicts with its labeling statement. Products sold or licensed by CST are provided for Customer as the end-user and solely for research and development uses. Any use of Product for diagnostic, prophylactic or therapeutic purposes, or any purchase of Product for resale (alone or as a component) or other commercial purpose, requires a separate license from CST. Customer shall (a) not sell, license, loan, donate or otherwise transfer or make available any Product to any third party, whether alone or in combination with other materials, or use the Products to manufacture any commercial products, (b) not copy, modify, reverse engineer, decompile, disassemble or otherwise attempt to discover the underlying structure or technology of the Products, or use the Products for the purpose of developing any products or services that would compete with CST products or services, (c) not alter or remove from the Products any trademarks, trade names, logos, patent or copyright notices or markings, (d) use the Products solely in accordance with CST Product Terms of Sale and any applicable documentation, and (e) comply with any license, terms of service or similar agreement with respect to any third party products or services used by Customer in connection with the Products.

Orders: 877-616-CELL (2355) [email protected] Support: 877-678-TECH (8324) [email protected] Web: cellsignal.com
For Research Use Only. Not for Use in Diagnostic Procedures.

Revision 3

Cell Signaling Technology Logo
Western blot analysis of extracts from 293T cells, transfected with 100 nM SignalSilence® Control siRNA (Unconjugated) #6568 (-) or SignalSilence® TRIAD1 siRNA Ι (+), using TRIAD1 Antibody (upper) and GAPDH (D16H11) XP® Rabbit mAb #5174 (lower). The TRIAD Antibody confirms silencing of TRIAD1 expression, while the GAPDH (D16H11) XP® Rabbit mAb is used as a loading control.
Western Blotting Image 1: TRIAD1 Antibody
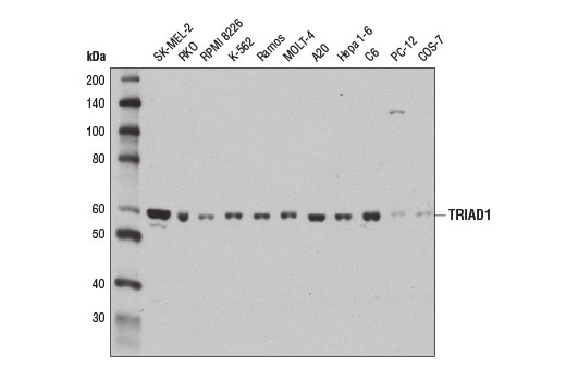
Western blot analysis of extracts from various cell lines using TRIAD1 Antibody.
Western Blotting Image 2: TRIAD1 Antibody
Western blot analysis of extracts from 293T cells, mock transfected (-) or transfected with a construct expressing Myc/DDK-tagged full-length human TRIAD1 (hTRIAD1-Myc/DDK; +), using TRIAD1 Antibody.
Western Blotting Image 3: TRIAD1 Antibody
Orders: 877-616-CELL (2355) [email protected] Support: 877-678-TECH (8324) [email protected] Web: cellsignal.com
For Research Use Only. Not for Use in Diagnostic Procedures.