Revision 4

#13726

Store at -20C

CST Logo
Orders:

877-616-CELL (2355)

[email protected]

Support:

877-678-TECH (8324)

3 Trask Lane | Danvers | Massachusetts | 01923 | USA

For Research Use Only. Not for Use in Diagnostic Procedures.

Applications:
W, IF-IC, FC-FP

Reactivity:
H R

Sensitivity:
Endogenous

MW (kDa):
23, 28

Source/Isotype:
Mouse IgG1

UniProt ID:
#P28062

Entrez-Gene Id:
5696

Product Usage Information

Application Dilution
Western Blotting 1:1000
Immunofluorescence (Immunocytochemistry) 1:50
Flow Cytometry (Fixed/Permeabilized) 1:50

Storage

Supplied in 10 mM sodium HEPES (pH 7.5), 150 mM NaCl, 100 µg/ml BSA, 50% glycerol and less than 0.02% sodium azide. Store at –20°C. Do not aliquot the antibody.

For a carrier free (BSA and azide free) version of this product see product #60347.

Specificity/Sensitivity

PSMB8/LMP7 (1A5) Mouse Monoclonal Antibody recognizes endogenous levels of total PSMB8/LMP7 protein. This antibody recognizes both 28 kDa precursor and 23 kDa mature forms of PSMB8/LMP7 and does not cross-react with PSMB5 protein.

Source / Purification

Monoclonal antibody is produced by immunizing animals with recombinant protein encompassing the full-length of human PSMB8/LMP7 protein.

Background

The 26S proteasome is a highly abundant proteolytic complex involved in the degradation of ubiquitinated substrate proteins. It consists largely of two sub-complexes, the 20S catalytic core particle (CP) and the 19S/PA700 regulatory particle (RP) that can cap either end of the CP. The CP consists of two stacked heteroheptameric β-rings (β1-7) that contain three catalytic β-subunits and are flanked on either side by two heteroheptameric α-rings (α1-7). The RP includes a base and a lid, each having multiple subunits. The base, in part, is composed of a heterohexameric ring of ATPase subunits belonging to the AAA (ATPases Associated with diverse cellular Activities) family. The ATPase subunits function to unfold the substrate and open the gate formed by the α-subunits, thus exposing the unfolded substrate to the catalytic β-subunits. The lid consists of ubiquitin receptors and DUBs that function in recruitment of ubiquitinated substrates and modification of ubiquitin chain topology (1,2). Other modulators of proteasome activity, such as PA28/11S REG, can also bind to the end of the 20S CP and activate it (1,2).
Constitutively expressed core particle subunits PSMB5, PSMB7, and PSMB6 provide chymotrypsin-like, trypsin-like, and caspase-like activities, respectively (3). In immune cells involved in antigen presentation, these subunits are replaced by highly homologous, induced β-subunits to form the immunoproteasome (4,5).

Proteasome subunit beta type-8 (PSMB8, LMP7) is expressed as a proenzyme that is cleaved to form the mature PSMB8 (LMP7) immunoproteasome core particle subunit (6). Interferon-γ induces expression of PSMB8, which functionally replaces the PSMB5 core particle subunit in immunoproteasome processing of MHC class I-restricted peptide antigens (7). Research studies suggest that reduced PSMB8 expression or expression of the non-functional LMP7-E1 isoform may impair immunoproteasome assembly, and that PSMB8 deficiency results in reduced MHC class I molecule expression (8-10). Inhibition of PSMB8 in murine rheumatoid arthritis models attenuates disease indicators, suggesting that PSMB8 is a potential therapeutic target in the treatment of some proinflammatory autoimmune diseases (11). Mutations in the corresponding PSMB8 gene can cause an autoinflammatory syndrome known as CANDLE Syndrome (12).

Species Reactivity

Species reactivity is determined by testing in at least one approved application (e.g., western blot).

Western Blot Buffer

IMPORTANT: For western blots, incubate membrane with diluted primary antibody in 5% w/v BSA, 1X TBS, 0.1% Tween® 20 at 4°C with gentle shaking, overnight.

Applications Key

W: Western Blotting IF-IC: Immunofluorescence (Immunocytochemistry) FC-FP: Flow Cytometry (Fixed/Permeabilized)

Cross-Reactivity Key

H: Human R: Rat

Trademarks and Patents

Cell Signaling Technology is a trademark of Cell Signaling Technology, Inc.

Alexa Fluor is a registered trademark of Life Technologies Corporation.

All other trademarks are the property of their respective owners. Visit cellsignal.com/trademarks for more information.

Limited Uses

Except as otherwise expressly agreed in a writing signed by a legally authorized representative of CST, the following terms apply to Products provided by CST, its affiliates or its distributors. Any Customer's terms and conditions that are in addition to, or different from, those contained herein, unless separately accepted in writing by a legally authorized representative of CST, are rejected and are of no force or effect.

Products are labeled with For Research Use Only or a similar labeling statement and have not been approved, cleared, or licensed by the FDA or other regulatory foreign or domestic entity, for any purpose. Customer shall not use any Product for any diagnostic or therapeutic purpose, or otherwise in any manner that conflicts with its labeling statement. Products sold or licensed by CST are provided for Customer as the end-user and solely for research and development uses. Any use of Product for diagnostic, prophylactic or therapeutic purposes, or any purchase of Product for resale (alone or as a component) or other commercial purpose, requires a separate license from CST. Customer shall (a) not sell, license, loan, donate or otherwise transfer or make available any Product to any third party, whether alone or in combination with other materials, or use the Products to manufacture any commercial products, (b) not copy, modify, reverse engineer, decompile, disassemble or otherwise attempt to discover the underlying structure or technology of the Products, or use the Products for the purpose of developing any products or services that would compete with CST products or services, (c) not alter or remove from the Products any trademarks, trade names, logos, patent or copyright notices or markings, (d) use the Products solely in accordance with CST Product Terms of Sale and any applicable documentation, and (e) comply with any license, terms of service or similar agreement with respect to any third party products or services used by Customer in connection with the Products.

Orders: 877-616-CELL (2355) [email protected] Support: 877-678-TECH (8324) [email protected] Web: cellsignal.com
For Research Use Only. Not for Use in Diagnostic Procedures.

Revision 4

Cell Signaling Technology Logo
Western blot analysis of extracts from various cell lines using PSMB8/LMP7 (1A5) Mouse mAb (upper) and GAPDH (D16H11) XP® Rabbit mAb #5174 (lower). (The T2 (13) and RKO (8) cell lines are both deficient in PSMB8/LMP8 protein expression).
Western Blotting Image 1: PSMB8/LMP7 (1A5) Mouse Monoclonal Antibody
Western blot analysis of extracts from HeLa and SW620 cells, untreated (-) or treated with Human Interferon-γ (hIFN-γ) (100 ng/ml, 72 hr; +), using PSMB8/LMP7 (1A5) Mouse mAb (upper) and GAPDH (D16H11) XP® Rabbit mAb #5174 (lower).
Western Blotting Image 2: PSMB8/LMP7 (1A5) Mouse Monoclonal Antibody
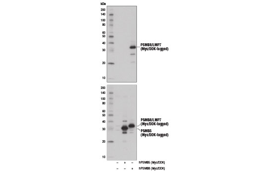
Western blot analysis of extracts from 293T cells, mock transfected (-) or transfected with constructs expressing Myc/DDK-tagged full-length human PSMB5 (hPSMB5-Myc/DDK; +) or Myc/DDK-tagged full-length human PSMB8 (hPSMB8-Myc/DDK; +), using PSMB8/LMP7 (1A5) Mouse mAb (upper) and DYKDDDDK Tag Antibody #2368 (lower).
Western Blotting Image 3: PSMB8/LMP7 (1A5) Mouse Monoclonal Antibody
Orders: 877-616-CELL (2355) [email protected] Support: 877-678-TECH (8324) [email protected] Web: cellsignal.com
For Research Use Only. Not for Use in Diagnostic Procedures.

Revision 4

Cell Signaling Technology Logo
Confocal immunofluorescent analysis of HeLa cells, untreated (upper, left) or treated with hIFN-γ (100 ng/ml, 72 hr; upper, right), or ACHN cells (lower, left) and RKO cells (lower, right), using PSMB8/LMP7 (1A5) Mouse mAb (green) and β-Actin (13E5) Rabbit mAb #4970 (red).
Immunofluorescence Image 1: PSMB8/LMP7 (1A5) Mouse Monoclonal Antibody
Flow cytometric analysis of Raji cells using PSMB8/LMP7 (1A5) Mouse mAb (blue) compared to Mouse (G3A1) mAb IgG1 Isotype Control #5415 (Red). Anti-mouse IgG (H+L), F(ab')2 Fragment (Alexa Fluor® 488 Conjugate) #4408 was used as a secondary antibody.
Flow Cytometry Image 1: PSMB8/LMP7 (1A5) Mouse Monoclonal Antibody
Orders: 877-616-CELL (2355) [email protected] Support: 877-678-TECH (8324) [email protected] Web: cellsignal.com
For Research Use Only. Not for Use in Diagnostic Procedures.