Revision 3

#13846

Store at -20C

CST Logo
Orders:

877-616-CELL (2355)

[email protected]

Support:

877-678-TECH (8324)

3 Trask Lane | Danvers | Massachusetts | 01923 | USA

For Research Use Only. Not for Use in Diagnostic Procedures.

Applications:
W, IP, IHC-P, IF-IC, FC-FP

Reactivity:
H M R Mk

Sensitivity:
Endogenous

MW (kDa):
130

Source/Isotype:
Rabbit IgG

UniProt ID:
#P56945

Entrez-Gene Id:
9564

Product Usage Information

Application Dilution
Western Blotting 1:1000
Immunoprecipitation 1:100
Immunohistochemistry (Paraffin) 1:50 - 1:200
Immunofluorescence (Immunocytochemistry) 1:100 - 1:400
Flow Cytometry (Fixed/Permeabilized) 1:100 - 1:400

Storage

Supplied in 10 mM sodium HEPES (pH 7.5), 150 mM NaCl, 100 µg/ml BSA, 50% glycerol and less than 0.02% sodium azide. Store at –20°C. Do not aliquot the antibody.

For a carrier free (BSA and azide free) version of this product see product #43164.

Specificity/Sensitivity

p130 Cas (E1L9H) Rabbit Monoclonal Antibody recognizes endogenous levels of total p130 Cas protein.

Source / Purification

Monoclonal antibody is produced by immunizing animals with a synthetic peptide corresponding to residues surrounding Leu116 in the SH3 domain of human p130 Cas protein.

Background

p130 Cas (Crk-associated substrate) is a docking protein containing multiple protein-protein interaction domains. The amino-terminal SH3 domain may function as a molecular switch regulating CAS tyrosine phosphorylation, as it interacts with focal adhesion kinase (FAK) (1) and the FAK-related kinase PYK2 (2), as well as the tyrosine phosphatases PTP-1B (3) and PTP-PEST (4). The carboxy-terminal Src binding domain (SBD) contains a proline-rich motif that mediates interaction with the SH3 domains of Src-family kinases (SFKs) and a tyrosine phosphorylation site (Tyr668 and/or Tyr670) that can promote interaction with the SH2 domain of SFKs (5). The p130 Cas central substrate domain, the major region of tyrosine phosphorylation, is characterized by 15 tyrosines present in Tyr-X-X-Pro (YXXP) motifs, including Tyr165, 249, and 410. When phosphorylated, most YXXP motifs are able to serve as docking sites for proteins with SH2 or PTB domains including adaptors, C-Crk, Nck, and inositol 5'-phosphatase 2 (SHIP2) (6). The tyrosine phosphorylation of p130 Cas has been implicated as a key signaling step in integrin control of normal cellular behaviors including motility, proliferation, and survival. Aberrant Cas tyrosine phosphorylation may contribute to cell transformation by certain oncoproteins (5).

Species Reactivity

Species reactivity is determined by testing in at least one approved application (e.g., western blot).

Western Blot Buffer

IMPORTANT: For western blots, incubate membrane with diluted primary antibody in 5% w/v BSA, 1X TBS, 0.1% Tween® 20 at 4°C with gentle shaking, overnight.

Applications Key

W: Western Blotting IP: Immunoprecipitation IHC-P: Immunohistochemistry (Paraffin) IF-IC: Immunofluorescence (Immunocytochemistry) FC-FP: Flow Cytometry (Fixed/Permeabilized)

Cross-Reactivity Key

H: Human M: Mouse R: Rat Mk: Monkey

Trademarks and Patents

Cell Signaling Technology is a trademark of Cell Signaling Technology, Inc.

Alexa Fluor is a registered trademark of Life Technologies Corporation.

All other trademarks are the property of their respective owners. Visit cellsignal.com/trademarks for more information.

Limited Uses

Except as otherwise expressly agreed in a writing signed by a legally authorized representative of CST, the following terms apply to Products provided by CST, its affiliates or its distributors. Any Customer's terms and conditions that are in addition to, or different from, those contained herein, unless separately accepted in writing by a legally authorized representative of CST, are rejected and are of no force or effect.

Products are labeled with For Research Use Only or a similar labeling statement and have not been approved, cleared, or licensed by the FDA or other regulatory foreign or domestic entity, for any purpose. Customer shall not use any Product for any diagnostic or therapeutic purpose, or otherwise in any manner that conflicts with its labeling statement. Products sold or licensed by CST are provided for Customer as the end-user and solely for research and development uses. Any use of Product for diagnostic, prophylactic or therapeutic purposes, or any purchase of Product for resale (alone or as a component) or other commercial purpose, requires a separate license from CST. Customer shall (a) not sell, license, loan, donate or otherwise transfer or make available any Product to any third party, whether alone or in combination with other materials, or use the Products to manufacture any commercial products, (b) not copy, modify, reverse engineer, decompile, disassemble or otherwise attempt to discover the underlying structure or technology of the Products, or use the Products for the purpose of developing any products or services that would compete with CST products or services, (c) not alter or remove from the Products any trademarks, trade names, logos, patent or copyright notices or markings, (d) use the Products solely in accordance with CST Product Terms of Sale and any applicable documentation, and (e) comply with any license, terms of service or similar agreement with respect to any third party products or services used by Customer in connection with the Products.

Orders: 877-616-CELL (2355) [email protected] Support: 877-678-TECH (8324) [email protected] Web: cellsignal.com
For Research Use Only. Not for Use in Diagnostic Procedures.

Revision 3

Cell Signaling Technology Logo
Western blot analysis of extracts from various cell lines using p130 Cas (E1L9H) Rabbit mAb (upper) and β-Actin (D6A8) Rabbit mAb #8457 (lower).
Western Blotting Image 1: p130 Cas (E1L9H) Rabbit Monoclonal Antibody
Immunoprecipitation of p130 Cas from Hep G2 cell extracts using Rabbit (DA1E) mAb IgG XP® Isotype Control #3900 (lane 2) or p130 Cas (E1L9H) Rabbit mAb (lane 3). Lane 1 is 10% input. Western blot analysis was performed using p130 Cas (E1L9H) Rabbit mAb.
Immunoprecipitation Image 1: p130 Cas (E1L9H) Rabbit Monoclonal Antibody
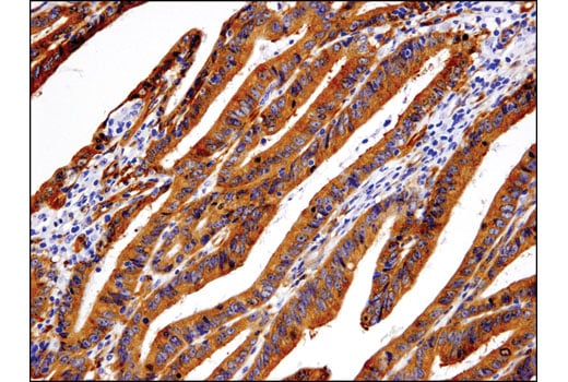
Immunohistochemical analysis of paraffin-embedded human colon carcinoma using p130 Cas (E1L9H) Rabbit mAb.
Immunohistochemistry Image 1: p130 Cas (E1L9H) Rabbit Monoclonal Antibody
Orders: 877-616-CELL (2355) [email protected] Support: 877-678-TECH (8324) [email protected] Web: cellsignal.com
For Research Use Only. Not for Use in Diagnostic Procedures.

Revision 3

Cell Signaling Technology Logo
Immunohistochemical analysis of paraffin-embedded T-47D (left) and Jurkat (right) cell pellets using p130 Cas (E1L9H) Rabbit mAb.
Immunohistochemistry Image 2: p130 Cas (E1L9H) Rabbit Monoclonal Antibody
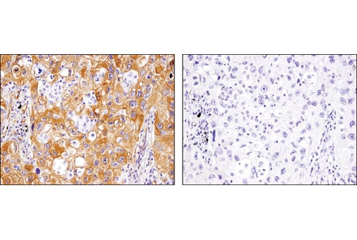
Immunohistochemical analysis of paraffin-embedded human non-small cell lung carcinoma using p130 Cas (E1L9H) Rabbit mAb in the presence of control peptide (left) and antigen-specific peptide (right).
Immunohistochemistry Image 3: p130 Cas (E1L9H) Rabbit Monoclonal Antibody
Confocal immunofluorescent analysis of SNB19 cells either untreated (left) or treated with TPA #9905 (100nM, 1hr; right) using p130 Cas (E1L9H) Rabbit mAb (green). Actin filaments were labeled with DyLight™ 554 Phalloidin #13054 (red). Blue pseudocolor = DRAQ5® #4084 (fluorescent DNA dye).
Immunofluorescence Image 1: p130 Cas (E1L9H) Rabbit Monoclonal Antibody
Orders: 877-616-CELL (2355) [email protected] Support: 877-678-TECH (8324) [email protected] Web: cellsignal.com
For Research Use Only. Not for Use in Diagnostic Procedures.

Revision 3

Cell Signaling Technology Logo
Flow cytometric analysis of Jurkat cells (blue) and HT-1080 cells (green) using p130 Cas (E1L9H) Rabbit mAb (solid lines) or a concentration-matched Rabbit (DA1E) mAb IgG XP® Isotype Control #3900 (dashed lines). Anti-rabbit IgG (H+L), F(ab')2 Fragment (Alexa Fluor® 488 Conjugate) #4412 was used as a secondary antibody.
Flow Cytometry Image 1: p130 Cas (E1L9H) Rabbit Monoclonal Antibody
Orders: 877-616-CELL (2355) [email protected] Support: 877-678-TECH (8324) [email protected] Web: cellsignal.com
For Research Use Only. Not for Use in Diagnostic Procedures.