Revision 1

#13848

Store at -20C

CST Logo
Orders:

877-616-CELL (2355)

[email protected]

Support:

877-678-TECH (8324)

3 Trask Lane | Danvers | Massachusetts | 01923 | USA

For Research Use Only. Not for Use in Diagnostic Procedures.

Applications:
W

Reactivity:
H

Sensitivity:
Endogenous

MW (kDa):
80

Source/Isotype:
Rabbit IgG

UniProt ID:
#Q9Y253

Entrez-Gene Id:
5429

Product Usage Information

Application Dilution
Western Blotting 1:1000

Storage

Supplied in 10 mM sodium HEPES (pH 7.5), 150 mM NaCl, 100 µg/ml BSA, 50% glycerol and less than 0.02% sodium azide. Store at –20°C. Do not aliquot the antibody.

Specificity/Sensitivity

DNA Polymerase eta (E1I7T) Rabbit Monoclonal Antibody recognizes endogenous levels of total POLH protein. This antibody recognizes a 40 kDa background band of unknown origin. In some cell lines, this antibody recognizes a 60 kDa band of unknown origin. This band does not correspond to the expected size of truncated POLH in GM03617 cells.

Source / Purification

Monoclonal antibody is produced by immunizing animals with a synthetic peptide corresponding to residues surrounding Pro309 of human POLH protein.

Background

A total of fifteen mammalian DNA polymerase enzymes catalyze the synthesis of nascent DNA during DNA replication and repair (1). DNA polymerase eta (POL η, POLH, Rad30) is one of a specialized type of DNA polymerases that function in DNA repair and translesion synthesis (TLS). POLH can accommodate and read through bulky DNA lesions such as pyrimidine dimers, which allows for continued DNA synthesis past lesions and limited stalling of replication forks (2,3). Damage inducing conditions, such as exposure to UV light or cisplatin, recruit POLH to sites of bulky DNA lesions where the polymerase interacts with PCNA (4,5). Mutations in the human POLH gene can result in a form of xeroderma pigmentosum (XPV), an autosomal recessive disorder characterized by hypersensitivity to light and susceptibility to skin cancer (6).

Species Reactivity

Species reactivity is determined by testing in at least one approved application (e.g., western blot).

Western Blot Buffer

IMPORTANT: For western blots, incubate membrane with diluted primary antibody in 5% w/v nonfat dry milk, 1X TBS, 0.1% Tween® 20 at 4°C with gentle shaking, overnight.

Applications Key

W: Western Blotting

Cross-Reactivity Key

H: Human

Trademarks and Patents

Cell Signaling Technology is a trademark of Cell Signaling Technology, Inc.

All other trademarks are the property of their respective owners. Visit cellsignal.com/trademarks for more information.

Limited Uses

Except as otherwise expressly agreed in a writing signed by a legally authorized representative of CST, the following terms apply to Products provided by CST, its affiliates or its distributors. Any Customer's terms and conditions that are in addition to, or different from, those contained herein, unless separately accepted in writing by a legally authorized representative of CST, are rejected and are of no force or effect.

Products are labeled with For Research Use Only or a similar labeling statement and have not been approved, cleared, or licensed by the FDA or other regulatory foreign or domestic entity, for any purpose. Customer shall not use any Product for any diagnostic or therapeutic purpose, or otherwise in any manner that conflicts with its labeling statement. Products sold or licensed by CST are provided for Customer as the end-user and solely for research and development uses. Any use of Product for diagnostic, prophylactic or therapeutic purposes, or any purchase of Product for resale (alone or as a component) or other commercial purpose, requires a separate license from CST. Customer shall (a) not sell, license, loan, donate or otherwise transfer or make available any Product to any third party, whether alone or in combination with other materials, or use the Products to manufacture any commercial products, (b) not copy, modify, reverse engineer, decompile, disassemble or otherwise attempt to discover the underlying structure or technology of the Products, or use the Products for the purpose of developing any products or services that would compete with CST products or services, (c) not alter or remove from the Products any trademarks, trade names, logos, patent or copyright notices or markings, (d) use the Products solely in accordance with CST Product Terms of Sale and any applicable documentation, and (e) comply with any license, terms of service or similar agreement with respect to any third party products or services used by Customer in connection with the Products.

Orders: 877-616-CELL (2355) [email protected] Support: 877-678-TECH (8324) [email protected] Web: cellsignal.com
For Research Use Only. Not for Use in Diagnostic Procedures.

Revision 1

Cell Signaling Technology Logo
Western blot analysis of extracts from 293T cells, mock transfected (-) or transfected with a construct expressing Myc/DDK-tagged full-length human POLH protein (hPOLH-Myc/DDK; +), using DNA Polymerase η (E1I7T) Rabbit mAb (upper) and Myc-Tag (71D10) Rabbit mAb #2278 (lower).
Western Blotting Image 1: DNA Polymerase eta (E1I7T) Rabbit Monoclonal Antibody
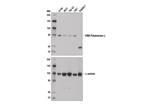
Western blot analysis of extracts from various cell lines, including POLH-negative GM03617 cells, using DNA Polymerase η (E1I7T) Rabbit mAb (upper) and α-Actinin (D6F6) XP® Rabbit mAb #6487 (lower).
Western Blotting Image 2: DNA Polymerase eta (E1I7T) Rabbit Monoclonal Antibody
Orders: 877-616-CELL (2355) [email protected] Support: 877-678-TECH (8324) [email protected] Web: cellsignal.com
For Research Use Only. Not for Use in Diagnostic Procedures.