Revision 1

#13873

Store at -20C

CST Logo
Orders:

877-616-CELL (2355)

[email protected]

Support:

877-678-TECH (8324)

3 Trask Lane | Danvers | Massachusetts | 01923 | USA

For Research Use Only. Not for Use in Diagnostic Procedures.

Applications:
W

Reactivity:
H

Sensitivity:
Endogenous

MW (kDa):
90

Source/Isotype:
Rabbit

UniProt ID:
#Q8TE77

Entrez-Gene Id:
54961

Product Usage Information

Application Dilution
Western Blotting 1:1000

Storage

Supplied in 10 mM sodium HEPES (pH 7.5), 150 mM NaCl, 100 µg/ml BSA and 50% glycerol. Store at –20°C. Do not aliquot the antibody.

Specificity/Sensitivity

Phospho-SSH3 (Ser37) Antibody recognizes endogenous levels of SSH3 protein only when phosphorylated at Ser37.

Source / Purification

Polyclonal antibodies are produced by immunizing animals with a synthetic phosphopeptide corresponding to residues surrounding Ser37 of human SSH3 protein. Antibodies are purified by protein A and peptide affinity chromatography.

Background

Slingshot homolog 3 (SSH3) is a protein phosphatase that modifies actin cytoskeleton dynamics via cofilin dephosphorylation. Cofilin is an evolutionarily conserved, actin-binding protein that severs actin filaments during processes that rely on actin filament dynamics, including cytokinesis, cell migration, invasion, and neuronal development. Actin severing and filament depolymerization are regulated through the controlled cycling of cofilin between the phosphorylated and dephosphorylated forms (1). The kinases LIMK and TESK inactivate cofilin by phosphorylating it at Ser3 (2,3). The slingshot homologs (SSH1, SSH2, and, to a lesser extent, SSH3) and chronophin/PDXP phosphatases remove phosphate from cofilin at Ser3, enabling cofilin binding to actin and filament depolymerization (3). SSH3 is widely expressed in epithelial tissues, and has been found to be non-essential for viability and fertility in knockout mice (4). While its biological function remains elusive, phosphorylation at Ser37 of SSH3 has been identified in several phosphoproteomic studies (5-7).

Species Reactivity

Species reactivity is determined by testing in at least one approved application (e.g., western blot).

Western Blot Buffer

IMPORTANT: For western blots, incubate membrane with diluted primary antibody in 5% w/v nonfat dry milk, 1X TBS, 0.1% Tween® 20 at 4°C with gentle shaking, overnight.

Applications Key

W: Western Blotting

Cross-Reactivity Key

H: Human

Trademarks and Patents

Cell Signaling Technology is a trademark of Cell Signaling Technology, Inc.

All other trademarks are the property of their respective owners. Visit cellsignal.com/trademarks for more information.

Limited Uses

Except as otherwise expressly agreed in a writing signed by a legally authorized representative of CST, the following terms apply to Products provided by CST, its affiliates or its distributors. Any Customer's terms and conditions that are in addition to, or different from, those contained herein, unless separately accepted in writing by a legally authorized representative of CST, are rejected and are of no force or effect.

Products are labeled with For Research Use Only or a similar labeling statement and have not been approved, cleared, or licensed by the FDA or other regulatory foreign or domestic entity, for any purpose. Customer shall not use any Product for any diagnostic or therapeutic purpose, or otherwise in any manner that conflicts with its labeling statement. Products sold or licensed by CST are provided for Customer as the end-user and solely for research and development uses. Any use of Product for diagnostic, prophylactic or therapeutic purposes, or any purchase of Product for resale (alone or as a component) or other commercial purpose, requires a separate license from CST. Customer shall (a) not sell, license, loan, donate or otherwise transfer or make available any Product to any third party, whether alone or in combination with other materials, or use the Products to manufacture any commercial products, (b) not copy, modify, reverse engineer, decompile, disassemble or otherwise attempt to discover the underlying structure or technology of the Products, or use the Products for the purpose of developing any products or services that would compete with CST products or services, (c) not alter or remove from the Products any trademarks, trade names, logos, patent or copyright notices or markings, (d) use the Products solely in accordance with CST Product Terms of Sale and any applicable documentation, and (e) comply with any license, terms of service or similar agreement with respect to any third party products or services used by Customer in connection with the Products.

Orders: 877-616-CELL (2355) [email protected] Support: 877-678-TECH (8324) [email protected] Web: cellsignal.com
For Research Use Only. Not for Use in Diagnostic Procedures.

Revision 1

Cell Signaling Technology Logo
Western blot analysis of extracts from ZR-75-1 cells, untreated or λ phosphatase and CIP-treated, using Phospho-SSH3 (Ser37) Antibody (upper) or α-Actinin (D6F6) XP® Rabbit mAb #6487 (lower).
Western Blotting Image 1: Phospho-SSH3 (Ser37) Antibody
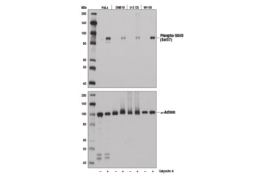
Western blot analysis of extracts from various cell lines, untreated or Calyculin A #9902-treated, using Phospho-SSH3 (Ser37) Antibody (upper) or α-Actinin (D6F6) XP® Rabbit mAb #6487 (lower).
Western Blotting Image 2: Phospho-SSH3 (Ser37) Antibody
Western blot analysis of extracts from 293T cells, untransfected or transfected with a construct expressing Myc/DDK-tagged full-length human SSH3 protein, using Phospho-SSH3 (Ser37) Antibody (upper) and Myc-Tag (71D10) Rabbit mAb #2278 (lower).
Western Blotting Image 3: Phospho-SSH3 (Ser37) Antibody
Orders: 877-616-CELL (2355) [email protected] Support: 877-678-TECH (8324) [email protected] Web: cellsignal.com
For Research Use Only. Not for Use in Diagnostic Procedures.