Revision 1

#13936

Store at -20C

CST Logo
Orders:

877-616-CELL (2355)

[email protected]

Support:

877-678-TECH (8324)

3 Trask Lane | Danvers | Massachusetts | 01923 | USA

For Research Use Only. Not for Use in Diagnostic Procedures.

Applications:
W, IP

Reactivity:
H M R

Sensitivity:
Endogenous

MW (kDa):
78

Source/Isotype:
Rabbit

UniProt ID:
#O00327

Entrez-Gene Id:
406

Product Usage Information

Application Dilution
Western Blotting 1:1000
Immunoprecipitation 1:50

Storage

Supplied in 10 mM sodium HEPES (pH 7.5), 150 mM NaCl, 100 µg/ml BSA and 50% glycerol. Store at –20°C. Do not aliquot the antibody.

Specificity/Sensitivity

Phospho-BMAL1 (Ser42) Antibody recognizes endogenous levels of BMAL1 protein only when phosphorylated at Ser42. This antibody recognizes additional proteins of approximately 40 kDa and 100 kDa in some cells.

Source / Purification

Polyclonal antibodies are produced by immunizing animals with a synthetic phosphopeptide corresponding to residues surrounding Ser42 of mouse BMAL1 protein. Antibodies are purified by protein A and peptide affinity chromatography.

Background

Circadian rhythms govern many key physiological processes that fluctuate with a period of approximately 24 hours. These processes include the sleep-wake cycle, glucose, lipid and drug metabolism, heart rate, hormone secretion, renal blood flow, and body temperature, as well as basic cellular processes such as DNA repair and the timing of the cell division cycle (1,2). The mammalian circadian system consists of many individual tissue-specific clocks (peripheral clocks) that are controlled by a master circadian pacemaker residing in the suprachiasmatic nuclei (SCN) of the brain (1,2). The periodic circadian rhythm is prominently manifested by the light-dark cycle, which is sensed by the visual system and processed by the SCN. The SCN processes the light-dark information and synchronizes peripheral clocks through neural and humoral output signals (1,2).

The cellular circadian clockwork consists of interwoven positive and negative regulatory loops, or limbs (1,2). The positive limb includes the CLOCK and BMAL1 proteins, two basic helix-loop-helix-PAS containing transcription factors that bind E box enhancer elements and activate transcription of their target genes. CLOCK is a histone acetyltransferase (HAT) protein, which acetylates both histone H3 and H4 (3). BMAL1 binds to CLOCK and enhances its HAT activity (3). The CLOCK/BMAL1 dimer exhibits a periodic oscillation in both nuclear/cytoplasmic localization and protein levels, both of which are regulated by phosphorylation (4,5). CLOCK/BMAL1 target genes include the Cry and Per genes, whose proteins form the negative limb of the circadian clockwork system (1,2). CRY and PER proteins (CRY1, CRY2, PER1, PER2 and PER3) form oligomers that also periodically shuttle between the nucleus and cytoplasm. When in the nucleus, CRY/PER proteins inhibit CLOCK/BMAL1-mediated transcriptional activation, thus completing the circadian transcriptional loop (1,2). In tissues, roughly six to eight percent of all genes exhibit a circadian expression pattern (1,2). This 24-hour periodicity in gene expression results from coordination of the positive and negative regulatory limbs of the cellular clockwork system, and is fine-tuned by outside signals received from the SCN.

Species Reactivity

Species reactivity is determined by testing in at least one approved application (e.g., western blot).

Western Blot Buffer

IMPORTANT: For western blots, incubate membrane with diluted primary antibody in 5% w/v nonfat dry milk, 1X TBS, 0.1% Tween® 20 at 4°C with gentle shaking, overnight.

Applications Key

W: Western Blotting IP: Immunoprecipitation

Cross-Reactivity Key

H: Human M: Mouse R: Rat

Trademarks and Patents

Cell Signaling Technology is a trademark of Cell Signaling Technology, Inc.

All other trademarks are the property of their respective owners. Visit cellsignal.com/trademarks for more information.

Limited Uses

Except as otherwise expressly agreed in a writing signed by a legally authorized representative of CST, the following terms apply to Products provided by CST, its affiliates or its distributors. Any Customer's terms and conditions that are in addition to, or different from, those contained herein, unless separately accepted in writing by a legally authorized representative of CST, are rejected and are of no force or effect.

Products are labeled with For Research Use Only or a similar labeling statement and have not been approved, cleared, or licensed by the FDA or other regulatory foreign or domestic entity, for any purpose. Customer shall not use any Product for any diagnostic or therapeutic purpose, or otherwise in any manner that conflicts with its labeling statement. Products sold or licensed by CST are provided for Customer as the end-user and solely for research and development uses. Any use of Product for diagnostic, prophylactic or therapeutic purposes, or any purchase of Product for resale (alone or as a component) or other commercial purpose, requires a separate license from CST. Customer shall (a) not sell, license, loan, donate or otherwise transfer or make available any Product to any third party, whether alone or in combination with other materials, or use the Products to manufacture any commercial products, (b) not copy, modify, reverse engineer, decompile, disassemble or otherwise attempt to discover the underlying structure or technology of the Products, or use the Products for the purpose of developing any products or services that would compete with CST products or services, (c) not alter or remove from the Products any trademarks, trade names, logos, patent or copyright notices or markings, (d) use the Products solely in accordance with CST Product Terms of Sale and any applicable documentation, and (e) comply with any license, terms of service or similar agreement with respect to any third party products or services used by Customer in connection with the Products.

Orders: 877-616-CELL (2355) [email protected] Support: 877-678-TECH (8324) [email protected] Web: cellsignal.com
For Research Use Only. Not for Use in Diagnostic Procedures.

Revision 1

Cell Signaling Technology Logo
Western blot analysis of extracts from mouse brain and rat eye using Phospho-BMAL1 (Ser42) Antibody. The phospho-specificity of Phospho-BMAL1 (Ser42) Antibody was verified by peptide blocking using a phosphopeptide or non-phosphopeptide targeting residue Ser42.
Western Blotting Image 1: Phospho-BMAL1 (Ser42) Antibody
Western blot analysis of extracts from mouse brain, untreated (-) or λ phosphatase-treated (+), using Phospho-BMAL1 (Ser42) Antibody (upper) and α-Actinin (D6F6) XP® Rabbit mAb #6487 (lower).
Western Blotting Image 2: Phospho-BMAL1 (Ser42) Antibody
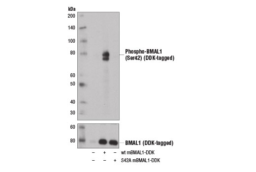
Western blot analysis of extracts from 293T cells, mock transfected (-) or transfected with a construct expressing DDK-tagged full length wild-type mouse BMAL1 protein (wt mBMAL1-DDK, +) or DDK-tagged full length mouse BMAL1 Ser42A site specific mutant (S42A mBMAL1-DDK; +), using Phospho-BMAL1 (Ser42) Antibody (upper) and DYKDDDDK Tag (9A3) Mouse mAb #8146 (lower). Wild-type and S42A site specific mutant BMAL1 constructs were kindly provided by Dr. Jonathan Lipton (Boston Children's Hospital).
Western Blotting Image 3: Phospho-BMAL1 (Ser42) Antibody
Orders: 877-616-CELL (2355) [email protected] Support: 877-678-TECH (8324) [email protected] Web: cellsignal.com
For Research Use Only. Not for Use in Diagnostic Procedures.