Revision 3

#14013

Store at -20C

CST Logo
Orders:

877-616-CELL (2355)

[email protected]

Support:

877-678-TECH (8324)

3 Trask Lane | Danvers | Massachusetts | 01923 | USA

For Research Use Only. Not for Use in Diagnostic Procedures.

Applications:
W, IP, IHC-P, IF-F, IF-IC

Reactivity:
H M R

Sensitivity:
Endogenous

MW (kDa):
65-75

Source/Isotype:
Rabbit IgG

UniProt ID:
#P16519

Entrez-Gene Id:
5126

Product Usage Information

Application Dilution
Western Blotting 1:1000
Immunoprecipitation 1:50
Immunohistochemistry (Paraffin) 1:3200
Immunofluorescence (Frozen) 1:800
Immunofluorescence (Immunocytochemistry) 1:800

Storage

Supplied in 10 mM sodium HEPES (pH 7.5), 150 mM NaCl, 100 µg/ml BSA, 50% glycerol and less than 0.02% sodium azide. Store at –20°C. Do not aliquot the antibody.

For a carrier free (BSA and azide free) version of this product see product #33990.

Specificity/Sensitivity

PC2 (D1E1S) Rabbit Monoclonal Antibody recognizes endogenous levels of total PC2 protein.

Species predicted to react based on 100% sequence homology

Xenopus, Bovine, Horse

Source / Purification

Monoclonal antibody is produced by immunizing animals with a synthetic peptide corresponding to residues surrounding Pro194 of human PC2 protein.

Background

The proprotein convertases (PCs) are enzymes that activate precursor proteins through proteolytic cleavage within the secretory pathway. PCs comprise several enzymes that are basic amino acid-specific proteinases (furin, PC1/3, PC2, PC4, PACE4, PC5/6, and PC7), as well as nonbasic amino acid convertases (S1P and PC9) (1). PCs have a common structure that includes an N-terminal signal peptide for secretory pathway targeting; a pro-domain that is thought to act as an intramolecular chaperone; a catalytic domain containing the active site; a P-domain that contributes to the overall folding of the enzyme by regulating stability, calcium-, and pH-dependence; and a C-terminal domain that interacts with the membrane (2). PCs act in a tissue- and substrate-specific fashion to generate an array of bioactive peptides and proteins from precursors, both in the brain and the periphery (3).
Unlike what is observed with furin whose gene invalidation is lethal, inactivation of mouse PC2 by the introduction of a neomycin resistance gene into the third exon of the PCSK2 gene does not alter mouse viability (4). PC2 inactivation leads to alteration of the pancreatic islet cells, in agreement with the involvment of PC2 in the conversion of pro-insulin and pro-glucagon (5). PC2 is also responsible for the processing of several neuroendocrine peptide precursors such as pro-CCK, POMC, and neurotensin (6).

Species Reactivity

Species reactivity is determined by testing in at least one approved application (e.g., western blot).

Western Blot Buffer

IMPORTANT: For western blots, incubate membrane with diluted primary antibody in 5% w/v BSA, 1X TBS, 0.1% Tween® 20 at 4°C with gentle shaking, overnight.

Applications Key

W: Western Blotting IP: Immunoprecipitation IHC-P: Immunohistochemistry (Paraffin) IF-F: Immunofluorescence (Frozen) IF-IC: Immunofluorescence (Immunocytochemistry)

Cross-Reactivity Key

H: Human M: Mouse R: Rat

Trademarks and Patents

Cell Signaling Technology is a trademark of Cell Signaling Technology, Inc.

SignalStain is a registered trademark of Cell Signaling Technology, Inc.

All other trademarks are the property of their respective owners. Visit cellsignal.com/trademarks for more information.

Limited Uses

Except as otherwise expressly agreed in a writing signed by a legally authorized representative of CST, the following terms apply to Products provided by CST, its affiliates or its distributors. Any Customer's terms and conditions that are in addition to, or different from, those contained herein, unless separately accepted in writing by a legally authorized representative of CST, are rejected and are of no force or effect.

Products are labeled with For Research Use Only or a similar labeling statement and have not been approved, cleared, or licensed by the FDA or other regulatory foreign or domestic entity, for any purpose. Customer shall not use any Product for any diagnostic or therapeutic purpose, or otherwise in any manner that conflicts with its labeling statement. Products sold or licensed by CST are provided for Customer as the end-user and solely for research and development uses. Any use of Product for diagnostic, prophylactic or therapeutic purposes, or any purchase of Product for resale (alone or as a component) or other commercial purpose, requires a separate license from CST. Customer shall (a) not sell, license, loan, donate or otherwise transfer or make available any Product to any third party, whether alone or in combination with other materials, or use the Products to manufacture any commercial products, (b) not copy, modify, reverse engineer, decompile, disassemble or otherwise attempt to discover the underlying structure or technology of the Products, or use the Products for the purpose of developing any products or services that would compete with CST products or services, (c) not alter or remove from the Products any trademarks, trade names, logos, patent or copyright notices or markings, (d) use the Products solely in accordance with CST Product Terms of Sale and any applicable documentation, and (e) comply with any license, terms of service or similar agreement with respect to any third party products or services used by Customer in connection with the Products.

Orders: 877-616-CELL (2355) [email protected] Support: 877-678-TECH (8324) [email protected] Web: cellsignal.com
For Research Use Only. Not for Use in Diagnostic Procedures.

Revision 3

Cell Signaling Technology Logo
Western blot analysis of extracts from TT and OVCAR8 cells using PC2 (D1E1S) XP® Rabbit mAb (upper) and β-Actin (D6A8) Rabbit mAb #8457 (lower).
Western Blotting Image 1: PC2 (D1E1S) Rabbit Monoclonal Antibody
Western blot analysis of extracts from TT, mouse brain, rat brain, and human hypothalamus, using PC2 (D1E1S) XP® Rabbit mAb.
Western Blotting Image 2: PC2 (D1E1S) Rabbit Monoclonal Antibody
Immunoprecipitation of PC2 from TT cell extracts using Rabbit (DA1E) mAb IgG XP® Isotype Control #3900 (lane 2) or PC2 (D1E1S) XP® Rabbit mAb (lane 3). Lane 1 is 10% input. Western blot analysis was performed using PC2 (D1E1S) XP® Rabbit mAb.
Immunoprecipitation Image 1: PC2 (D1E1S) Rabbit Monoclonal Antibody
Orders: 877-616-CELL (2355) [email protected] Support: 877-678-TECH (8324) [email protected] Web: cellsignal.com
For Research Use Only. Not for Use in Diagnostic Procedures.

Revision 3

Cell Signaling Technology Logo
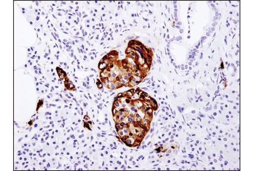
Immunohistochemical analysis of paraffin-embedded mouse pancreas using PC2 (D1E1S) XP® Rabbit mAb.
Immunohistochemistry Image 1: PC2 (D1E1S) Rabbit Monoclonal Antibody
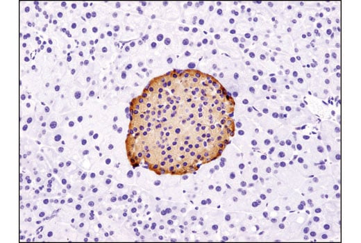
Immunohistochemical analysis of paraffin-embedded human pancreas using PC2 (D1E1S) XP® Rabbit mAb.
Immunohistochemistry Image 2: PC2 (D1E1S) Rabbit Monoclonal Antibody
Immunohistochemical analysis of paraffin-embedded TT (left) and OVCAR8 (right) cell pellets using PC2 (D1E1S) XP® Rabbit mAb.
Immunohistochemistry Image 3: PC2 (D1E1S) Rabbit Monoclonal Antibody
Orders: 877-616-CELL (2355) [email protected] Support: 877-678-TECH (8324) [email protected] Web: cellsignal.com
For Research Use Only. Not for Use in Diagnostic Procedures.

Revision 3

Cell Signaling Technology Logo
Immunohistochemical analysis of paraffin-embedded human stomach using PC2 (D1E1S) XP® Rabbit mAb in the presence of control peptide (left) or antigen-specific peptide (right).
Immunohistochemistry Image 4: PC2 (D1E1S) Rabbit Monoclonal Antibody
Confocal immunofluorescent analysis of normal mouse pancreas using PC2 (D1E1S) XP® Rabbit mAb (green). Actin filaments were labeled with DyLight™ 554 Phalloidin #13054 (red). Blue pseudocolor = DRAQ5® #4084 (fluorescent DNA dye).
Immunofluorescence Image 1: PC2 (D1E1S) Rabbit Monoclonal Antibody
Confocal immunofluorescent analysis of TT cells (left) and OVCAR8 (right) cells using PC2 (D1E1S) XP® Rabbit mAb (green). Actin filaments were labeled with DyLight™ 554 Phalloidin #13054 (red). Blue pseudocolor = DRAQ5® #4084 (fluorescent DNA dye).
Immunofluorescence Image 1: PC2 (D1E1S) Rabbit Monoclonal Antibody
Orders: 877-616-CELL (2355) [email protected] Support: 877-678-TECH (8324) [email protected] Web: cellsignal.com
For Research Use Only. Not for Use in Diagnostic Procedures.