Revision 1

#14032

Store at -20C

CST Logo
Orders:

877-616-CELL (2355)

[email protected]

Support:

877-678-TECH (8324)

3 Trask Lane | Danvers | Massachusetts | 01923 | USA

For Research Use Only. Not for Use in Diagnostic Procedures.

Applications:
W, IP, IF-IC

Reactivity:
H

Sensitivity:
Endogenous

MW (kDa):
70-75

Source/Isotype:
Rabbit IgG

UniProt ID:
#Q13585

Entrez-Gene Id:
9248

Product Usage Information

Application Dilution
Western Blotting 1:1000
Immunoprecipitation 1:50
Immunofluorescence (Immunocytochemistry) 1:400

Storage

Supplied in 10 mM sodium HEPES (pH 7.5), 150 mM NaCl, 100 µg/ml BSA, 50% glycerol and less than 0.02% sodium azide. Store at –20°C. Do not aliquot the antibody.

Specificity/Sensitivity

GPR50 (D1D6I) Rabbit Monoclonal Antibody recognizes endogenous levels of total GPR50 protein.

Source / Purification

Monoclonal antibody is produced by immunizing animals with a synthetic peptide corresponding to residues surrounding Pro420 of human GPR50 protein.

Background

G-protein coupled receptor 50 (GPR50) is an orphan G-protein coupled receptor with high sequence homology to the melatonin receptors MT1 and MT2. While classified as a member of the melatonin receptor family and also known as melatonin-related receptor, GPR50 does not bind melatonin (1). GPR50 forms heterodimers with MT1 and MT2 and acts as a negative regulator of MT1 agonist binding and G protein coupling; inhibition of melatonin receptor activity is dependent on the long, proline-rich carboxy terminal tail of GPR50 (2). On a physiological level, GPR50 is involved in the regulation of adaptive thermoregulation in mammals and deletion of GPR50 in mice produces a profound effect on the response to fasting and facilitates entry into torpor (3). Polymorphisms in the corresponding GPR50 gene are associated with bipolar affective disorder and major depressive disorder in women, indicating that variation in GPR50 may be an important gender-specific risk factor for certain mental disorders (4,5).

Species Reactivity

Species reactivity is determined by testing in at least one approved application (e.g., western blot).

Western Blot Buffer

IMPORTANT: For western blots, incubate membrane with diluted primary antibody in 5% w/v nonfat dry milk, 1X TBS, 0.1% Tween® 20 at 4°C with gentle shaking, overnight.

Applications Key

W: Western Blotting IP: Immunoprecipitation IF-IC: Immunofluorescence (Immunocytochemistry)

Cross-Reactivity Key

H: Human

Trademarks and Patents

Cell Signaling Technology is a trademark of Cell Signaling Technology, Inc.

All other trademarks are the property of their respective owners. Visit cellsignal.com/trademarks for more information.

Limited Uses

Except as otherwise expressly agreed in a writing signed by a legally authorized representative of CST, the following terms apply to Products provided by CST, its affiliates or its distributors. Any Customer's terms and conditions that are in addition to, or different from, those contained herein, unless separately accepted in writing by a legally authorized representative of CST, are rejected and are of no force or effect.

Products are labeled with For Research Use Only or a similar labeling statement and have not been approved, cleared, or licensed by the FDA or other regulatory foreign or domestic entity, for any purpose. Customer shall not use any Product for any diagnostic or therapeutic purpose, or otherwise in any manner that conflicts with its labeling statement. Products sold or licensed by CST are provided for Customer as the end-user and solely for research and development uses. Any use of Product for diagnostic, prophylactic or therapeutic purposes, or any purchase of Product for resale (alone or as a component) or other commercial purpose, requires a separate license from CST. Customer shall (a) not sell, license, loan, donate or otherwise transfer or make available any Product to any third party, whether alone or in combination with other materials, or use the Products to manufacture any commercial products, (b) not copy, modify, reverse engineer, decompile, disassemble or otherwise attempt to discover the underlying structure or technology of the Products, or use the Products for the purpose of developing any products or services that would compete with CST products or services, (c) not alter or remove from the Products any trademarks, trade names, logos, patent or copyright notices or markings, (d) use the Products solely in accordance with CST Product Terms of Sale and any applicable documentation, and (e) comply with any license, terms of service or similar agreement with respect to any third party products or services used by Customer in connection with the Products.

Orders: 877-616-CELL (2355) [email protected] Support: 877-678-TECH (8324) [email protected] Web: cellsignal.com
For Research Use Only. Not for Use in Diagnostic Procedures.

Revision 1

Cell Signaling Technology Logo
Western blot analysis of extracts from 293T cells, HeLa cells, and human hypothalamus, using GPR50 (D1D6I) Rabbit mAb (upper) and β-Actin (D6A8) Rabbit mAb #8457 (lower).
Western Blotting Image 1: GPR50 (D1D6I) Rabbit Monoclonal Antibody
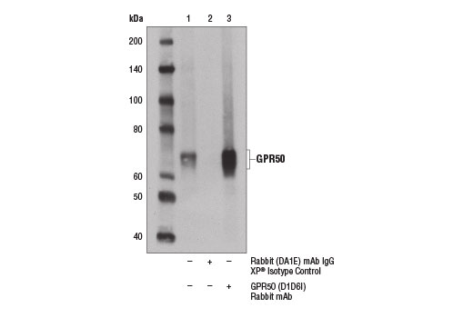
Immunoprecipitation of GPR50 from 293T cell extracts using Rabbit (DA1E) mAb IgG XP® Isotype Control #3900 (lane 2) or GPR50 (D1D6I) Rabbit mAb (lane 3). Lane 1 is 10% input. Western blot analysis was performed using GPR50 (D1D6I) Rabbit mAb.
Immunoprecipitation Image 1: GPR50 (D1D6I) Rabbit Monoclonal Antibody
Confocal immunofluorescent analysis of 293T (left, positive), or HeLa (right, negative) cells using GPR50 (D1D6I) Rabbit mAb (green). Actin filaments were labeled with DyLight™ 554 Phalloidin #13054 (red). Blue pseudocolor = DRAQ5® #4084 (fluorescent DNA dye).
Immunofluorescence Image 1: GPR50 (D1D6I) Rabbit Monoclonal Antibody
Orders: 877-616-CELL (2355) [email protected] Support: 877-678-TECH (8324) [email protected] Web: cellsignal.com
For Research Use Only. Not for Use in Diagnostic Procedures.