Revision 1

#14037

Store at -20C

CST Logo
Orders:

877-616-CELL (2355)

[email protected]

Support:

877-678-TECH (8324)

3 Trask Lane | Danvers | Massachusetts | 01923 | USA

For Research Use Only. Not for Use in Diagnostic Procedures.

Applications:
W, IP, IHC-P, IF-F

Reactivity:
H M R

Sensitivity:
Endogenous

MW (kDa):
28

Source/Isotype:
Rabbit IgG

UniProt ID:
#O76038

Entrez-Gene Id:
10590

Product Usage Information

Application Dilution
Western Blotting 1:1000
Immunoprecipitation 1:50
Immunohistochemistry (Paraffin) 1:3200
Immunofluorescence (Frozen) 1:800

Storage

Supplied in 10 mM sodium HEPES (pH 7.5), 150 mM NaCl, 100 µg/ml BSA, 50% glycerol and less than 0.02% sodium azide. Store at –20°C. Do not aliquot the antibody.

Specificity/Sensitivity

Secretagogin (D4V1Y) Rabbit Monoclonal Antibody recognizes endogenous levels of total secretagogin protein.

Source / Purification

Monoclonal antibody is produced by immunizing animals with recombinant protein specific to the carboxy terminus of human secretagogin protein.

Background

Calcium-binding proteins of different subfamilies regulate the second messenger calcium. Calbindin, calmodulin, S-100, parvalbumin, and troponin C are members of the low molecular weight calcium-binding protein family (1). Calbindin is expressed in discrete neuronal populations within the CNS and is thought to act as an intracellular calcium buffering protein. Most Purkinje cells express calbindin, which is expressed when neurons start to migrate and differentiate. In contrast, other calcium buffering proteins, such as parvalbumin, are expressed later during development and in parallel with increasing neuronal activity (2).

Secretagogin (SCGN) is a cytosolic calcium-binding protein with homology to calbindin-D28k (CALB1) and calretinin (CALB2). The secretagogin protein was isolated from pancreatic islets of Langerhans and insulinomas, and shows abundant pancreatic expression and reduced expression in thyroid, adrenal medulla, stomach, small intestine, and colon (3). Cloning and sequence analysis of the secretagogin cDNA indicate that the corresponding protein includes six, EF-hand calcium-binding domain tandem repeats (3). Interaction between secretagogin and vesicle trafficking proteins, including SNAP25, SNAP23, ARFGAP2, and DOC2A, suggests a possible role for SCGN in neurotransmitter and hormone release (4,5). Research studies examining secretagogin expression in fetal and developing brains point to a role for this calcium-binding protein in differentiation, brain wiring, and neuronal development (6).

Species Reactivity

Species reactivity is determined by testing in at least one approved application (e.g., western blot).

Western Blot Buffer

IMPORTANT: For western blots, incubate membrane with diluted primary antibody in 5% w/v BSA, 1X TBS, 0.1% Tween® 20 at 4°C with gentle shaking, overnight.

Applications Key

W: Western Blotting IP: Immunoprecipitation IHC-P: Immunohistochemistry (Paraffin) IF-F: Immunofluorescence (Frozen)

Cross-Reactivity Key

H: Human M: Mouse R: Rat

Trademarks and Patents

Cell Signaling Technology is a trademark of Cell Signaling Technology, Inc.

All other trademarks are the property of their respective owners. Visit cellsignal.com/trademarks for more information.

Limited Uses

Except as otherwise expressly agreed in a writing signed by a legally authorized representative of CST, the following terms apply to Products provided by CST, its affiliates or its distributors. Any Customer's terms and conditions that are in addition to, or different from, those contained herein, unless separately accepted in writing by a legally authorized representative of CST, are rejected and are of no force or effect.

Products are labeled with For Research Use Only or a similar labeling statement and have not been approved, cleared, or licensed by the FDA or other regulatory foreign or domestic entity, for any purpose. Customer shall not use any Product for any diagnostic or therapeutic purpose, or otherwise in any manner that conflicts with its labeling statement. Products sold or licensed by CST are provided for Customer as the end-user and solely for research and development uses. Any use of Product for diagnostic, prophylactic or therapeutic purposes, or any purchase of Product for resale (alone or as a component) or other commercial purpose, requires a separate license from CST. Customer shall (a) not sell, license, loan, donate or otherwise transfer or make available any Product to any third party, whether alone or in combination with other materials, or use the Products to manufacture any commercial products, (b) not copy, modify, reverse engineer, decompile, disassemble or otherwise attempt to discover the underlying structure or technology of the Products, or use the Products for the purpose of developing any products or services that would compete with CST products or services, (c) not alter or remove from the Products any trademarks, trade names, logos, patent or copyright notices or markings, (d) use the Products solely in accordance with CST Product Terms of Sale and any applicable documentation, and (e) comply with any license, terms of service or similar agreement with respect to any third party products or services used by Customer in connection with the Products.

Orders: 877-616-CELL (2355) [email protected] Support: 877-678-TECH (8324) [email protected] Web: cellsignal.com
For Research Use Only. Not for Use in Diagnostic Procedures.

Revision 1

Cell Signaling Technology Logo
Western blot analysis of extracts from TT cells and rat eye using Secretagogin (D4V1Y) XP® Rabbit mAb.
Western Blotting Image 1: Secretagogin (D4V1Y) Rabbit Monoclonal Antibody
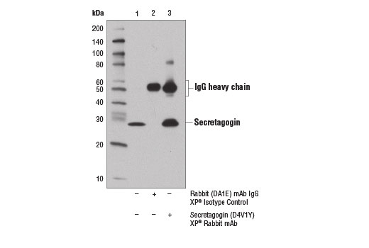
Immunoprecipitation of secretagogin from rat eye extracts using Rabbit (DA1E) mAb IgG XP® Isotype Control #3900 (lane 2) or Secretagogin (D4V1Y) XP® Rabbit mAb (lane 3). Lane 1 is 10% input. Western blot analysis was performed using Secretagogin (D4V1Y) XP® Rabbit mAb.
Immunoprecipitation Image 1: Secretagogin (D4V1Y) Rabbit Monoclonal Antibody
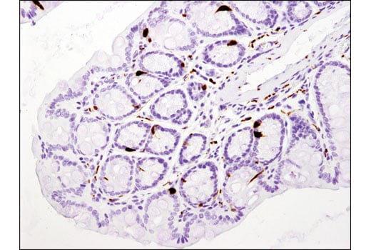
Immunohistochemical analysis of paraffin-embedded mouse colon using Secretagogin (D4V1Y) XP® Rabbit mAb.
Immunohistochemistry Image 1: Secretagogin (D4V1Y) Rabbit Monoclonal Antibody
Orders: 877-616-CELL (2355) [email protected] Support: 877-678-TECH (8324) [email protected] Web: cellsignal.com
For Research Use Only. Not for Use in Diagnostic Procedures.

Revision 1

Cell Signaling Technology Logo
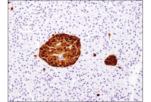
Immunohistochemical analysis of paraffin-embedded normal human pancreas using Secretagogin (D4V1Y) XP® Rabbit mAb.
Immunohistochemistry Image 2: Secretagogin (D4V1Y) Rabbit Monoclonal Antibody
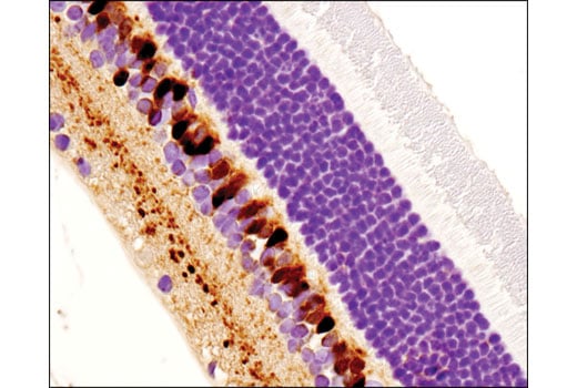
Immunohistochemical analysis of paraffin-embedded rat retina using Secretagogin (D4V1Y) XP® Rabbit mAb.
Immunohistochemistry Image 3: Secretagogin (D4V1Y) Rabbit Monoclonal Antibody
Confocal immunofluorescent analysis of rat retina using Secretagogin (D4V1Y) XP® Rabbit mAb (green). Actin filaments were labeled with Dylight™ 554 Phalloidin #13054 (red). Blue pseudocolor= DRAQ5® #4084 (fluorescent DNA dye).
Immunofluorescence Image 1: Secretagogin (D4V1Y) Rabbit Monoclonal Antibody
Orders: 877-616-CELL (2355) [email protected] Support: 877-678-TECH (8324) [email protected] Web: cellsignal.com
For Research Use Only. Not for Use in Diagnostic Procedures.