Revision 1

#14240

Store at -20C

Perifosine

5 mg

CST Logo
Orders:

877-616-CELL (2355)

[email protected]

Support:

877-678-TECH (8324)

3 Trask Lane | Danvers | Massachusetts | 01923 | USA

For Research Use Only. Not for Use in Diagnostic Procedures.

Background

Perifosine, also known as KRX-0401, is a novel synthetic alkylphospholipid with a structure that closely resembles naturally occurring phospholipids. Perifosine inhibits Akt at both Ser473 and Thr308 sites via blocking pleckstrin homology (PH) domain mediated Akt cell membrane recruitment and activation. It does not directly affect PI3 Kinase or PDK1 activity (1). Investigators have shown that perifosine inhibits Akt in a dose dependent manner at concentrations causing cell growth inhibition in numerous cancer cell types including PC-3, multiple myeloma (MM), and malignant pleural mesothelioma (MMe) cells (1-3). Research studies have demonstrated that perifosine blocks cell cycle progression in squamous carcinoma cells by inducing p21WAF1 expression through a p53-independent pathway (4). Perifosine has been shown to possess a synergistic cytotoxicity with many other antineoplastic reagents. For example, investigators have demonstrated that perifosine and etoposide treatment of human leukemia T cells results in more pronounced reduction of Akt and FoxO1 phosphorylation levels, increased mitochondrial injury and caspase activation, and a marked increase in cell death (5).

Molecular Formula

C25H52NO4P

Molecular Weight

461.66 g/mol

Purity

>99%

CAS

157716-52-4

Solubility

Soluble in EtOH at 200mg/ml and H2O at 50mg/ml.

Storage

Store lyophilized or in solution at -20ºC, desiccated. In lyophilized form, the chemical is stable for 24 months. Once in solution, use within 3 months to prevent loss of potency. Aliquot to avoid multiple freeze/thaw cycles.

Directions for Use

Perifosine is supplied as a lyophilized powder. For a 20 mM stock, reconstitute the 5 mg in 541.5 μl ethanol or sterile water. Working concentrations and length of treatment can vary depending on the desired effect, but it is typically used at 5-40 μM for 1-24 hr.

Trademarks and Patents

Cell Signaling Technology is a trademark of Cell Signaling Technology, Inc.

All other trademarks are the property of their respective owners. Visit cellsignal.com/trademarks for more information.

Limited Uses

Except as otherwise expressly agreed in a writing signed by a legally authorized representative of CST, the following terms apply to Products provided by CST, its affiliates or its distributors. Any Customer's terms and conditions that are in addition to, or different from, those contained herein, unless separately accepted in writing by a legally authorized representative of CST, are rejected and are of no force or effect.

Products are labeled with For Research Use Only or a similar labeling statement and have not been approved, cleared, or licensed by the FDA or other regulatory foreign or domestic entity, for any purpose. Customer shall not use any Product for any diagnostic or therapeutic purpose, or otherwise in any manner that conflicts with its labeling statement. Products sold or licensed by CST are provided for Customer as the end-user and solely for research and development uses. Any use of Product for diagnostic, prophylactic or therapeutic purposes, or any purchase of Product for resale (alone or as a component) or other commercial purpose, requires a separate license from CST. Customer shall (a) not sell, license, loan, donate or otherwise transfer or make available any Product to any third party, whether alone or in combination with other materials, or use the Products to manufacture any commercial products, (b) not copy, modify, reverse engineer, decompile, disassemble or otherwise attempt to discover the underlying structure or technology of the Products, or use the Products for the purpose of developing any products or services that would compete with CST products or services, (c) not alter or remove from the Products any trademarks, trade names, logos, patent or copyright notices or markings, (d) use the Products solely in accordance with CST Product Terms of Sale and any applicable documentation, and (e) comply with any license, terms of service or similar agreement with respect to any third party products or services used by Customer in connection with the Products.

Orders: 877-616-CELL (2355) [email protected] Support: 877-678-TECH (8324) [email protected] Web: cellsignal.com
For Research Use Only. Not for Use in Diagnostic Procedures.

Revision 1

#14240

Perifosine

Cell Signaling Technology Logo
Western blot analysis of extracts from PC-3 cells, untreated (-) or treated with Perifosine (1 hr) at the indicated concentrations, using Phospho-Akt (Ser473) (D9E) XP® Rabbit mAb #4060 (upper) or Akt (pan) (C67E7) Rabbit mAb #4691 (lower).
undefined Image 1: Perifosine
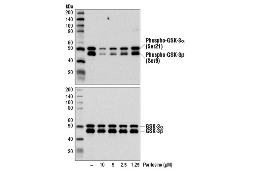
Western blot analysis of extracts from PC-3 cells, untreated (-) or treated with Perifosine (1 hr) at the indicated concentrations, using Phospho-GSK-3α/β (Ser21/9) (D17D2) Rabbit mAb #8566 (upper) or GSK-3α/β (D75D3) XP® Rabbit mAb #5676 (lower).
undefined Image 2: Perifosine
Orders: 877-616-CELL (2355) [email protected] Support: 877-678-TECH (8324) [email protected] Web: cellsignal.com
For Research Use Only. Not for Use in Diagnostic Procedures.