Revision 1

#14437

Store at -20C

CST Logo
Orders:

877-616-CELL (2355)

[email protected]

Support:

877-678-TECH (8324)

3 Trask Lane | Danvers | Massachusetts | 01923 | USA

For Research Use Only. Not for Use in Diagnostic Procedures.

Applications:
W, IHC-P

Reactivity:
H M R

Sensitivity:
Endogenous

MW (kDa):
4-12

Source/Isotype:
Rabbit IgG

UniProt ID:
#Q16568

Entrez-Gene Id:
9607

Product Usage Information

Application Dilution
Western Blotting 1:1000
Immunohistochemistry (Paraffin) 1:75

Storage

Supplied in 10 mM sodium HEPES (pH 7.5), 150 mM NaCl, 100 µg/ml BSA, 50% glycerol and less than 0.02% sodium azide. Store at –20°C. Do not aliquot the antibody.

Specificity/Sensitivity

CART (D6M2M) Rabbit Monoclonal Antibody recognizes endogenous levels of total CART protein. Staining has been observed in prostate carcinoma, the specificity of which is unknown.

Source / Purification

Monoclonal antibody is produced by immunizing animals with recombinant protein corresponding to the full-length human CART protein.

Background

Cocaine- and amphetamine-regulated transcript (CART) peptides are neurotransmitters of 39 and 47 amino acids that are involved in a variety of physiological processes. The CART precursor, a polypeptide of 116 residues, requires prohormone/proprotein convertase-mediated endoproteolytic cleavage to produce the two active peptides (1). CART peptides are found in several neuroendocrine tissues such as the brain, pituitary, adrenals, and pancreas (2). Hypothalamic CART is regulated by leptin, and plays a role in appetite and feeding behavior (3). Mesolimbic CART is regulated by CREB and may play a role in drug abuse behaviors by mediating some of CREB effects (4). Pancreatic CART is found in islet endocrine cells and parasympathetic and sensory nerves. It inhibits glucose-stimulated insulin secretion and has been found to be up-regulated in beta cells in animal model of diabetes (5). A missense mutation in the corresponding CART gene can correlate with susceptibility to obesity and reduced resting energy expenditure (6).

Species Reactivity

Species reactivity is determined by testing in at least one approved application (e.g., western blot).

Western Blot Buffer

IMPORTANT: For western blots, incubate membrane with diluted primary antibody in 5% w/v BSA, 1X TBS, 0.1% Tween® 20 at 4°C with gentle shaking, overnight.

Applications Key

W: Western Blotting IHC-P: Immunohistochemistry (Paraffin)

Cross-Reactivity Key

H: Human M: Mouse R: Rat

Trademarks and Patents

Cell Signaling Technology is a trademark of Cell Signaling Technology, Inc.

SignalStain is a registered trademark of Cell Signaling Technology, Inc.

All other trademarks are the property of their respective owners. Visit cellsignal.com/trademarks for more information.

Limited Uses

Except as otherwise expressly agreed in a writing signed by a legally authorized representative of CST, the following terms apply to Products provided by CST, its affiliates or its distributors. Any Customer's terms and conditions that are in addition to, or different from, those contained herein, unless separately accepted in writing by a legally authorized representative of CST, are rejected and are of no force or effect.

Products are labeled with For Research Use Only or a similar labeling statement and have not been approved, cleared, or licensed by the FDA or other regulatory foreign or domestic entity, for any purpose. Customer shall not use any Product for any diagnostic or therapeutic purpose, or otherwise in any manner that conflicts with its labeling statement. Products sold or licensed by CST are provided for Customer as the end-user and solely for research and development uses. Any use of Product for diagnostic, prophylactic or therapeutic purposes, or any purchase of Product for resale (alone or as a component) or other commercial purpose, requires a separate license from CST. Customer shall (a) not sell, license, loan, donate or otherwise transfer or make available any Product to any third party, whether alone or in combination with other materials, or use the Products to manufacture any commercial products, (b) not copy, modify, reverse engineer, decompile, disassemble or otherwise attempt to discover the underlying structure or technology of the Products, or use the Products for the purpose of developing any products or services that would compete with CST products or services, (c) not alter or remove from the Products any trademarks, trade names, logos, patent or copyright notices or markings, (d) use the Products solely in accordance with CST Product Terms of Sale and any applicable documentation, and (e) comply with any license, terms of service or similar agreement with respect to any third party products or services used by Customer in connection with the Products.

Orders: 877-616-CELL (2355) [email protected] Support: 877-678-TECH (8324) [email protected] Web: cellsignal.com
For Research Use Only. Not for Use in Diagnostic Procedures.

Revision 1

Cell Signaling Technology Logo
Western blot analysis of extracts from 293T cells, untransfected (-) or transfected with a construct expressing Myc/DDK-tagged full-length human CART protein (hCART-Myc/DDK; +), and extracts from mouse brain and human hypothalamus, using CART (D6M2M) Rabbit mAb.
Western Blotting Image 1: CART (D6M2M) Rabbit Monoclonal Antibody
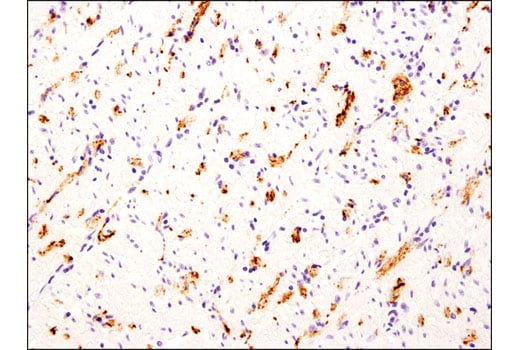
Immunohistochemical analysis of paraffin-embedded human muscularis propria adjacent to colon tumor using CART (D6M2M) Rabbit mAb.
Immunohistochemistry Image 1: CART (D6M2M) Rabbit Monoclonal Antibody
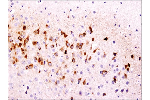
Immunohistochemical analysis of paraffin-embedded mouse brain using CART (D6M2M) Rabbit mAb.
Immunohistochemistry Image 2: CART (D6M2M) Rabbit Monoclonal Antibody
Orders: 877-616-CELL (2355) [email protected] Support: 877-678-TECH (8324) [email protected] Web: cellsignal.com
For Research Use Only. Not for Use in Diagnostic Procedures.

Revision 1

Cell Signaling Technology Logo
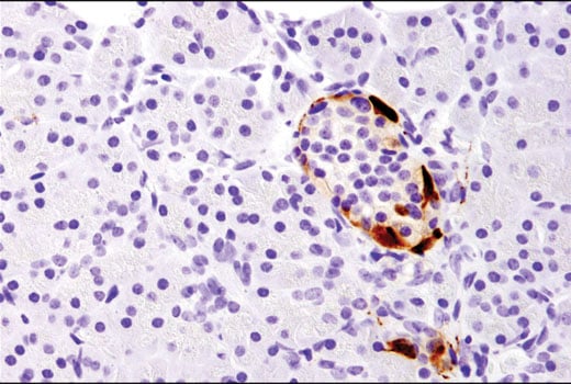
Immunohistochemical analysis of paraffin-embedded human pancreas using CART (D6M2M) Rabbit mAb.
Immunohistochemistry Image 3: CART (D6M2M) Rabbit Monoclonal Antibody
Orders: 877-616-CELL (2355) [email protected] Support: 877-678-TECH (8324) [email protected] Web: cellsignal.com
For Research Use Only. Not for Use in Diagnostic Procedures.