Revision 4

#14773

Store at -20C

CST Logo
Orders:

877-616-CELL (2355)

[email protected]

Support:

877-678-TECH (8324)

3 Trask Lane | Danvers | Massachusetts | 01923 | USA

For Research Use Only. Not for Use in Diagnostic Procedures.

Applications:
W, IP, IF-IC

Reactivity:
H Mk

Sensitivity:
Endogenous

MW (kDa):
75

Source/Isotype:
Rabbit IgG

UniProt ID:
#Q86TM6

Entrez-Gene Id:
84447

Product Usage Information

Application Dilution
Western Blotting 1:1000
Immunoprecipitation 1:200
Immunofluorescence (Immunocytochemistry) 1:3200 - 1:6400

Storage

Supplied in 10 mM sodium HEPES (pH 7.5), 150 mM NaCl, 100 µg/ml BSA, 50% glycerol and less than 0.02% sodium azide. Store at –20°C. Do not aliquot the antibody.

Specificity/Sensitivity

SYVN1 (D3O2A) Rabbit Monoclonal Antibody recognizes endogenous levels of total SYVN1 protein. This antibody does not cross-react with AMFR protein, but may cross-react with an unidentified protein of 60 kDa.

Source / Purification

Monoclonal antibody is produced by immunizing animals with a synthetic peptide corresponding to residues near the carboxy terminus of human SYVN1 protein.

Background

Synoviolin-1 (SYVN1/HRD1) is a RING-type E3 ubiquitin-protein ligase and major component of the endoplasmic reticulum (ER) quality control system that is involved in the ubiquitin-dependent degradation of misfolded proteins (1). SYVN1 is a multispanning ER membrane protein whose expression is upregulated at the protein level under conditions that promote ER stress (1-4). Research studies have shown that SYVN1 is an anti-apoptotic factor that is implicated in the pathogenesis of arthropathy by promoting synovial hyperplasia (5). Furthermore, gene-targeting studies have demonstrated that SYVN1 expression is indispensable for embryogenesis (6).

Species Reactivity

Species reactivity is determined by testing in at least one approved application (e.g., western blot).

Western Blot Buffer

IMPORTANT: For western blots, incubate membrane with diluted primary antibody in 5% w/v BSA, 1X TBS, 0.1% Tween® 20 at 4°C with gentle shaking, overnight.

Applications Key

W: Western Blotting IP: Immunoprecipitation IF-IC: Immunofluorescence (Immunocytochemistry)

Cross-Reactivity Key

H: Human Mk: Monkey

Trademarks and Patents

Cell Signaling Technology is a trademark of Cell Signaling Technology, Inc.

All other trademarks are the property of their respective owners. Visit cellsignal.com/trademarks for more information.

Limited Uses

Except as otherwise expressly agreed in a writing signed by a legally authorized representative of CST, the following terms apply to Products provided by CST, its affiliates or its distributors. Any Customer's terms and conditions that are in addition to, or different from, those contained herein, unless separately accepted in writing by a legally authorized representative of CST, are rejected and are of no force or effect.

Products are labeled with For Research Use Only or a similar labeling statement and have not been approved, cleared, or licensed by the FDA or other regulatory foreign or domestic entity, for any purpose. Customer shall not use any Product for any diagnostic or therapeutic purpose, or otherwise in any manner that conflicts with its labeling statement. Products sold or licensed by CST are provided for Customer as the end-user and solely for research and development uses. Any use of Product for diagnostic, prophylactic or therapeutic purposes, or any purchase of Product for resale (alone or as a component) or other commercial purpose, requires a separate license from CST. Customer shall (a) not sell, license, loan, donate or otherwise transfer or make available any Product to any third party, whether alone or in combination with other materials, or use the Products to manufacture any commercial products, (b) not copy, modify, reverse engineer, decompile, disassemble or otherwise attempt to discover the underlying structure or technology of the Products, or use the Products for the purpose of developing any products or services that would compete with CST products or services, (c) not alter or remove from the Products any trademarks, trade names, logos, patent or copyright notices or markings, (d) use the Products solely in accordance with CST Product Terms of Sale and any applicable documentation, and (e) comply with any license, terms of service or similar agreement with respect to any third party products or services used by Customer in connection with the Products.

Orders: 877-616-CELL (2355) [email protected] Support: 877-678-TECH (8324) [email protected] Web: cellsignal.com
For Research Use Only. Not for Use in Diagnostic Procedures.

Revision 4

Cell Signaling Technology Logo
Western blot analysis of extracts from various cell lines using SYVN1 (D3O2A) Rabbit mAb.
Western Blotting Image 1: SYVN1 (D3O2A) Rabbit Monoclonal Antibody
Western blot analysis of extracts from 293T cells, mock transfected (-) or transfected with constructs expressing Myc/DDK-tagged full-length human AMFR protein (hAMFR-Myc/DDK; +) or Myc/DDK-tagged full-length human SYVN1 protein (hSYVN1-Myc/DDK; +), using SYVN1 (D3O2A) Rabbit mAb (upper) and DYKDDDDK Tag Antibody #2368 (lower).
Western Blotting Image 2: SYVN1 (D3O2A) Rabbit Monoclonal Antibody
Western blot analysis of extracts from HeLa cells, untreated (-) or treated with Thapsigargin #12758 (1 μM, 16 hr; +) or Tunicamycin #12819 (5 μg/ml, 16 hr; +), using SYVN1 (D3O2A) Rabbit mAb (upper) and GAPDH (D16H11) XP® Rabbit mAb #5174 (lower).
Western Blotting Image 3: SYVN1 (D3O2A) Rabbit Monoclonal Antibody
Orders: 877-616-CELL (2355) [email protected] Support: 877-678-TECH (8324) [email protected] Web: cellsignal.com
For Research Use Only. Not for Use in Diagnostic Procedures.

Revision 4

Cell Signaling Technology Logo
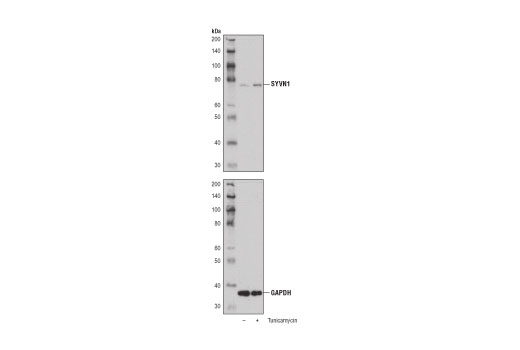
Western blot analysis of extracts from SH-SY5Y cells, untreated (-) or treated with Tunicamycin #12819 (10ug/mL, 16h; +), using SYVN1 (D3O2A) Rabbit mAb (upper) and GAPDH (D16H11) XP® Rabbit mAb #5174 (lower).
Western Blotting Image 4: SYVN1 (D3O2A) Rabbit Monoclonal Antibody
Immunoprecipitation of SYVN1 from 293T cell extracts using Rabbit (DA1E) mAb IgG XP® Isotype Control #3900 (lane 2) or SYVN1 (D3O2A) Rabbit mAb (lane 3). Lane 1 is 10% input. Western blot analysis was performed using SYVN1 (D3O2A) Rabbit mAb.
Immunoprecipitation Image 1: SYVN1 (D3O2A) Rabbit Monoclonal Antibody
Confocal immunofluorescent analysis of SH-SY5Y cells, untreated (left) or treated with Tunicamycin #12819 (10 μg/mL for 16 hrs; center), and HeLa cells (right) using SYVN1 (D3O2A) Rabbit mAb (green) and β-Actin (8H10D10) Mouse mAb #3700 (red). Blue pseudocolor = DRAQ5® #4084 (fluorescent DNA dye).
Immunofluorescence Image 1: SYVN1 (D3O2A) Rabbit Monoclonal Antibody
Orders: 877-616-CELL (2355) [email protected] Support: 877-678-TECH (8324) [email protected] Web: cellsignal.com
For Research Use Only. Not for Use in Diagnostic Procedures.