Revision 1

#14981

Store at -20C

CST Logo
Orders:

877-616-CELL (2355)

[email protected]

Support:

877-678-TECH (8324)

3 Trask Lane | Danvers | Massachusetts | 01923 | USA

For Research Use Only. Not for Use in Diagnostic Procedures.

Applications:
W, IP

Reactivity:
H M R Mk

Sensitivity:
Endogenous

MW (kDa):
140

Source/Isotype:
Rabbit

UniProt ID:
#P29144

Entrez-Gene Id:
7174

Product Usage Information

Application Dilution
Western Blotting 1:1000
Immunoprecipitation 1:100

Storage

Supplied in 10 mM sodium HEPES (pH 7.5), 150 mM NaCl, 100 µg/ml BSA and 50% glycerol. Store at –20°C. Do not aliquot the antibody.

Specificity/Sensitivity

TPP2 Antibody recognizes endogenous levels of total TPP2 protein. This antibody cross-reacts with a 35 kDa protein of unknown identity in some lysates.

Source / Purification

Polyclonal antibodies are produced by immunizing animals with a synthetic peptide corresponding to residues near the carboxy terminus of human TPP2 protein. Antibodies are purified by protein A and peptide affinity chromatography.

Background

Tripeptidyl-peptidase 2 (TPP2) is a well-conserved subtilisin-like amino peptidase that is expressed predominantly in the cytoplasmic compartment (1,2). The amino-terminal region of TPP2 harbors a catalytic triad that is characteristic of serine proteases and allows for TPP2 cleavage of tripeptides from the free amino terminus of oligopeptide substrates (3). TPP2 is a large (>5MDa) homooligomeric protease in which proteolytic activity is regulated by subunit oligomerization (4,5). While TPP2 plays a general role in amino acid homeostasis, research studies demonstrate that TPP2 is involved in MHC class I antigen presentation (6,7) and DNA-damage repair (8). TPP2 activity is required for the survival of Burkitt's lymphoma cells, suggesting a possible role for TPP2 in oncogenesis (9). Additional research studies show that TPP2 proteolytic activity is important for regulating lysosome abundance and glycolytic metabolism and that TPP2 deficiency leads to defects in adaptive immunity, innate immunity, and nervous system development (10).

Species Reactivity

Species reactivity is determined by testing in at least one approved application (e.g., western blot).

Western Blot Buffer

IMPORTANT: For western blots, incubate membrane with diluted primary antibody in 5% w/v BSA, 1X TBS, 0.1% Tween® 20 at 4°C with gentle shaking, overnight.

Applications Key

W: Western Blotting IP: Immunoprecipitation

Cross-Reactivity Key

H: Human M: Mouse R: Rat Mk: Monkey

Trademarks and Patents

Cell Signaling Technology is a trademark of Cell Signaling Technology, Inc.

All other trademarks are the property of their respective owners. Visit cellsignal.com/trademarks for more information.

Limited Uses

Except as otherwise expressly agreed in a writing signed by a legally authorized representative of CST, the following terms apply to Products provided by CST, its affiliates or its distributors. Any Customer's terms and conditions that are in addition to, or different from, those contained herein, unless separately accepted in writing by a legally authorized representative of CST, are rejected and are of no force or effect.

Products are labeled with For Research Use Only or a similar labeling statement and have not been approved, cleared, or licensed by the FDA or other regulatory foreign or domestic entity, for any purpose. Customer shall not use any Product for any diagnostic or therapeutic purpose, or otherwise in any manner that conflicts with its labeling statement. Products sold or licensed by CST are provided for Customer as the end-user and solely for research and development uses. Any use of Product for diagnostic, prophylactic or therapeutic purposes, or any purchase of Product for resale (alone or as a component) or other commercial purpose, requires a separate license from CST. Customer shall (a) not sell, license, loan, donate or otherwise transfer or make available any Product to any third party, whether alone or in combination with other materials, or use the Products to manufacture any commercial products, (b) not copy, modify, reverse engineer, decompile, disassemble or otherwise attempt to discover the underlying structure or technology of the Products, or use the Products for the purpose of developing any products or services that would compete with CST products or services, (c) not alter or remove from the Products any trademarks, trade names, logos, patent or copyright notices or markings, (d) use the Products solely in accordance with CST Product Terms of Sale and any applicable documentation, and (e) comply with any license, terms of service or similar agreement with respect to any third party products or services used by Customer in connection with the Products.

Orders: 877-616-CELL (2355) [email protected] Support: 877-678-TECH (8324) [email protected] Web: cellsignal.com
For Research Use Only. Not for Use in Diagnostic Procedures.

Revision 1

Cell Signaling Technology Logo
Western blot analysis of extracts from 293T cells, mock transfected (-) or transfected with a construct expressing Myc/DDK-tagged full-length human TPP2 protein (hTPP2-Myc/DDK; +), using TPP2 Antibody.
Western Blotting Image 1: TPP2 Antibody
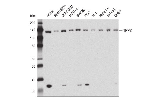
Western blot analysis of extracts from various cell lines using TPP2 Antibody.
Western Blotting Image 2: TPP2 Antibody
Immunoprecipitation of TPP2 from 293T cell extracts using Normal Rabbit IgG #2729 (lane 2) or TPP2 Antibody (lane 3). Lane 1 is 10% input. Western blot was performed using TPP2 Antibody.
Immunoprecipitation Image 1: TPP2 Antibody
Orders: 877-616-CELL (2355) [email protected] Support: 877-678-TECH (8324) [email protected] Web: cellsignal.com
For Research Use Only. Not for Use in Diagnostic Procedures.