Revision 1

#15038

Store at -20C

CST Logo
Orders:

877-616-CELL (2355)

[email protected]

Support:

877-678-TECH (8324)

3 Trask Lane | Danvers | Massachusetts | 01923 | USA

For Research Use Only. Not for Use in Diagnostic Procedures.

Applications:
W, IP

Reactivity:
H M

Sensitivity:
Endogenous

MW (kDa):
69, 72

Source/Isotype:
Rabbit

UniProt ID:
#Q9Y3Z3

Entrez-Gene Id:
25939

Product Usage Information

Application Dilution
Western Blotting 1:1000
Immunoprecipitation 1:50

Storage

Supplied in 10 mM sodium HEPES (pH 7.5), 150 mM NaCl, 100 µg/ml BSA and 50% glycerol. Store at –20°C. Do not aliquot the antibody.

Specificity/Sensitivity

Phospho-SAMHD1 (Thr592) Antibody recognizes endogenous levels of SAMHD1 protein only when phosphorylated at Thr592.

Source / Purification

Polyclonal antibodies are produced by immunizing animals with a synthetic phosphopeptide corresponding to residues surrounding Thr592 of human SAMHD1 protein. Antibodies are purified by protein A and peptide affinity chromatography.

Background

SAM domain and HD domain-containing protein 1 (SAMHD1) is a negative regulator of the cell-intrinsic innate immune response (1). Research studies have identified mutations in SAMHD1 as a cause of Aicardi-Goutieres syndrome, an autoimmune disease characterized by elevated production of interferon-α and symptoms resembling congenital viral infection (1). SAMHD1 was identified as the restriction factor that renders most myeloid cells refractory to human immunodeficiency virus (HIV) infection (2-4). Expression of the viral protein Vpx in refractory cells targets SAMHD1 for ubiquitin-mediated degradation and relieves HIV restriction. SAMHD1 prevents autoimmunity and HIV infection by hydrolyzing intracellular deoxynucleoside triphosphates (dNTPs), thereby limiting inappropriate immune activation by self nucleic acid and inhibiting reverse transcription of the HIV genome (4-6).
Phosphorylation of Thr592 by cyclin A2/CDK1 was identified as a regulatory mechanism that controls SAMHD1 activity (7,8). SAMHD1 is phosphorylated in proliferating cells, which inhibits its ability to block HIV infection. In resting cells or in cells treated with PMA (TPA) or IFN-α, SAMHD1 phosphorylation is decreased and cells are refractory to HIV infection (7,8).

Species Reactivity

Species reactivity is determined by testing in at least one approved application (e.g., western blot).

Western Blot Buffer

IMPORTANT: For western blots, incubate membrane with diluted primary antibody in 5% w/v BSA, 1X TBS, 0.1% Tween® 20 at 4°C with gentle shaking, overnight.

Applications Key

W: Western Blotting IP: Immunoprecipitation

Cross-Reactivity Key

H: Human M: Mouse

Trademarks and Patents

Cell Signaling Technology is a trademark of Cell Signaling Technology, Inc.

All other trademarks are the property of their respective owners. Visit cellsignal.com/trademarks for more information.

Limited Uses

Except as otherwise expressly agreed in a writing signed by a legally authorized representative of CST, the following terms apply to Products provided by CST, its affiliates or its distributors. Any Customer's terms and conditions that are in addition to, or different from, those contained herein, unless separately accepted in writing by a legally authorized representative of CST, are rejected and are of no force or effect.

Products are labeled with For Research Use Only or a similar labeling statement and have not been approved, cleared, or licensed by the FDA or other regulatory foreign or domestic entity, for any purpose. Customer shall not use any Product for any diagnostic or therapeutic purpose, or otherwise in any manner that conflicts with its labeling statement. Products sold or licensed by CST are provided for Customer as the end-user and solely for research and development uses. Any use of Product for diagnostic, prophylactic or therapeutic purposes, or any purchase of Product for resale (alone or as a component) or other commercial purpose, requires a separate license from CST. Customer shall (a) not sell, license, loan, donate or otherwise transfer or make available any Product to any third party, whether alone or in combination with other materials, or use the Products to manufacture any commercial products, (b) not copy, modify, reverse engineer, decompile, disassemble or otherwise attempt to discover the underlying structure or technology of the Products, or use the Products for the purpose of developing any products or services that would compete with CST products or services, (c) not alter or remove from the Products any trademarks, trade names, logos, patent or copyright notices or markings, (d) use the Products solely in accordance with CST Product Terms of Sale and any applicable documentation, and (e) comply with any license, terms of service or similar agreement with respect to any third party products or services used by Customer in connection with the Products.

Orders: 877-616-CELL (2355) [email protected] Support: 877-678-TECH (8324) [email protected] Web: cellsignal.com
For Research Use Only. Not for Use in Diagnostic Procedures.

Revision 1

Cell Signaling Technology Logo
Western blot analysis of extracts from THP-1 cells, untreated (-) or treated with TPA #4174 (80 nM, 16 hr; +), using Phospho-SAMHD1 (Thr592) Antibody (upper) and SAMHD1 Antibody #12361 (lower).
Western Blotting Image 1: Phospho-SAMHD1 (Thr592) Antibody
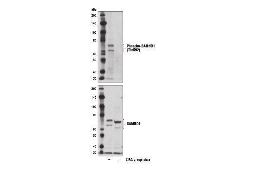
Western blot analysis of extracts from THP-1 cells, untreated (-) or treated with calf intestinal phosphatase (CIP) and λ phosphatase (+), using Phospho-SAMHD1 (Thr592) Antibody (upper) and SAMHD1 Antibody #12361 (lower).
Western Blotting Image 2: Phospho-SAMHD1 (Thr592) Antibody
Immunoprecipitation of phospho-SAMHD1 (Thr592) from THP-1 cell extracts using Normal Rabbit IgG #2729 (lane 2) or Phospho-SAMHD1 (Thr592) Antibody (lane 3). Lane 1 is 10% input. Western blot analysis was performed using Phospho-SAMHD1 (Thr592) Antibody.
Immunoprecipitation Image 1: Phospho-SAMHD1 (Thr592) Antibody
Orders: 877-616-CELL (2355) [email protected] Support: 877-678-TECH (8324) [email protected] Web: cellsignal.com
For Research Use Only. Not for Use in Diagnostic Procedures.