Revision 4

#15571

Store at -20C

CST Logo
Orders:

877-616-CELL (2355)

[email protected]

Support:

877-678-TECH (8324)

3 Trask Lane | Danvers | Massachusetts | 01923 | USA

For Research Use Only. Not for Use in Diagnostic Procedures.

Applications:
W, IHC-P

Reactivity:
H

Sensitivity:
Endogenous

MW (kDa):
13

Source/Isotype:
Rabbit IgG

UniProt ID:
#P04155

Entrez-Gene Id:
7031

Product Usage Information

Application Dilution
Western Blotting 1:1000
Immunohistochemistry (Paraffin) 1:150

Storage

Supplied in 10 mM sodium HEPES (pH 7.5), 150 mM NaCl, 100 µg/ml BSA, 50% glycerol and less than 0.02% sodium azide. Store at –20°C. Do not aliquot the antibody.

For a carrier free (BSA and azide free) version of this product see product #72033.

Specificity/Sensitivity

TFF1/pS2 (D2Y1J) Rabbit Monoclonal Antibody recognizes endogenous levels of total TFF1/pS2 protein. This antibody does not cross-react with either TFF2 or TFF3 proteins.

Source / Purification

Monoclonal antibody is produced by immunizing animals with a synthetic peptide corresponding to residues surrounding Val33 of human TFF1/pS2 protein.

Background

The trefoil factor (TFF) family of proteins (TFF1/pS2, TFF2, and TFF3) are a group of highly conserved, secreted polypeptides that are expressed by mucus-secreting cells of the gastrointestinal tract. Within the gastrointestinal tract, TFFs display both common and distinct expression patterns (1). Collectively, the TFF family of proteins play a prominant role in the protection and repair of the mucous epithelia lining the gastrointestinal tract through their interactions with mucins (2). TFFs have been shown to regulate a number of cellular processes such as migration, apoptosis, and proliferation. In humans, dysregulated expression of TFFs has been observed in inflammatory bowel diseases as well as tumors of the breast, colon, lung, and stomach (2).
TFF1/pS2 is a gastric peptide that is highly expressed by mucosal goblet cells of the stomach, where it is thought to play a role in maintaining the integrity of the epithelial layer of the mucosa through the regulation of cell-cell adhesion and cell migration (2,3). Research studies have shown that TFF1 functions as a tumor suppressor in the stomach as its expression is frequently lost in gastric carcinomas, largely due to promoter hypermethylation (4-8). Research studies have also demonstrated that TFF1 is a transcriptional target of estrogen receptor-α and that TFF1 expression in breast carcinoma may be used as a predictive biomarker for response to anti-estrogen therapy (9,10).

Species Reactivity

Species reactivity is determined by testing in at least one approved application (e.g., western blot).

Western Blot Buffer

IMPORTANT: For western blots, incubate membrane with diluted primary antibody in 5% w/v BSA, 1X TBS, 0.1% Tween® 20 at 4°C with gentle shaking, overnight.

Applications Key

W: Western Blotting IHC-P: Immunohistochemistry (Paraffin)

Cross-Reactivity Key

H: Human

Trademarks and Patents

Cell Signaling Technology is a trademark of Cell Signaling Technology, Inc.

SignalStain is a registered trademark of Cell Signaling Technology, Inc.

All other trademarks are the property of their respective owners. Visit cellsignal.com/trademarks for more information.

Limited Uses

Except as otherwise expressly agreed in a writing signed by a legally authorized representative of CST, the following terms apply to Products provided by CST, its affiliates or its distributors. Any Customer's terms and conditions that are in addition to, or different from, those contained herein, unless separately accepted in writing by a legally authorized representative of CST, are rejected and are of no force or effect.

Products are labeled with For Research Use Only or a similar labeling statement and have not been approved, cleared, or licensed by the FDA or other regulatory foreign or domestic entity, for any purpose. Customer shall not use any Product for any diagnostic or therapeutic purpose, or otherwise in any manner that conflicts with its labeling statement. Products sold or licensed by CST are provided for Customer as the end-user and solely for research and development uses. Any use of Product for diagnostic, prophylactic or therapeutic purposes, or any purchase of Product for resale (alone or as a component) or other commercial purpose, requires a separate license from CST. Customer shall (a) not sell, license, loan, donate or otherwise transfer or make available any Product to any third party, whether alone or in combination with other materials, or use the Products to manufacture any commercial products, (b) not copy, modify, reverse engineer, decompile, disassemble or otherwise attempt to discover the underlying structure or technology of the Products, or use the Products for the purpose of developing any products or services that would compete with CST products or services, (c) not alter or remove from the Products any trademarks, trade names, logos, patent or copyright notices or markings, (d) use the Products solely in accordance with CST Product Terms of Sale and any applicable documentation, and (e) comply with any license, terms of service or similar agreement with respect to any third party products or services used by Customer in connection with the Products.

Orders: 877-616-CELL (2355) [email protected] Support: 877-678-TECH (8324) [email protected] Web: cellsignal.com
For Research Use Only. Not for Use in Diagnostic Procedures.

Revision 4

Cell Signaling Technology Logo
Western blot analysis of extracts from normal human stomach, liver, and kidney using TFF1/pS2 (D2Y1J) Rabbit mAb (upper) and GAPDH (D16H11) XP® Rabbit mAb #5174 (lower). Normal human liver and kidney tissues are reported to be deficient in TFF1/pS2 protein expression (1).
Western Blotting Image 1: TFF1/pS2 (D2Y1J) Rabbit Monoclonal Antibody
Western blot analysis of extracts from various cell lines using TFF1/pS2 (D2Y1J) Rabbit mAb (upper) and GAPDH (D16H11) XP® Rabbit mAb #5174 (lower). Note that MDA-MB-231 cells are deficient in TFF1 protein expression.
Western Blotting Image 2: TFF1/pS2 (D2Y1J) Rabbit Monoclonal Antibody
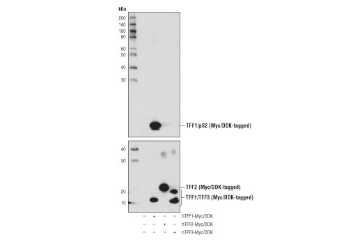
Western blot analysis of extracts from 293T cells, mock transfected (-) or transfected with constructs expressing Myc/DDK-tagged full-length human TFF1 protein (hTFF1-Myc/DDK; +), Myc/DDK-tagged full-length human TFF2 protein (hTFF2-Myc/DDK; +) and Myc/DDK-tagged full-length human TFF3 protein (hTFF3-Myc/DDK; +), using TFF1/pS2 (D2Y1J) Rabbit mAb (upper) and DYKDDDDK Tag Antibody #2368 (lower).
Western Blotting Image 3: TFF1/pS2 (D2Y1J) Rabbit Monoclonal Antibody
Orders: 877-616-CELL (2355) [email protected] Support: 877-678-TECH (8324) [email protected] Web: cellsignal.com
For Research Use Only. Not for Use in Diagnostic Procedures.

Revision 4

Cell Signaling Technology Logo
Immunohistochemical analysis of paraffin-embedded human lung carcinoma using TFF1/pS2 (D2Y1J) Rabbit mAb.
Immunohistochemistry Image 1: TFF1/pS2 (D2Y1J) Rabbit Monoclonal Antibody
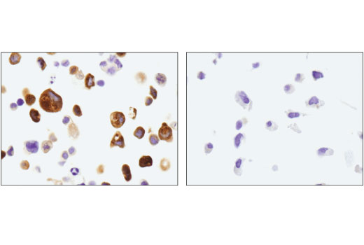
Immunohistochemical analysis of paraffin-embedded KATO III (left) and MDA-MB-231 (right) cell pellets using TFF1/pS2 (D2Y1J) Rabbit mAb.
Immunohistochemistry Image 2: TFF1/pS2 (D2Y1J) Rabbit Monoclonal Antibody
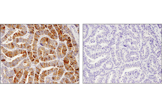
Immunohistochemical analysis of paraffin-embedded human colon carcinoma using TFF1/pS2 (D2Y1J) Rabbit mAb in the presence of control peptide (left) or antigen-specific peptide (right).
Immunohistochemistry Image 3: TFF1/pS2 (D2Y1J) Rabbit Monoclonal Antibody
Orders: 877-616-CELL (2355) [email protected] Support: 877-678-TECH (8324) [email protected] Web: cellsignal.com
For Research Use Only. Not for Use in Diagnostic Procedures.