Revision 1

#16685

Store at -20C

CST Logo
Orders:

877-616-CELL (2355)

[email protected]

Support:

877-678-TECH (8324)

3 Trask Lane | Danvers | Massachusetts | 01923 | USA

For Research Use Only. Not for Use in Diagnostic Procedures.

Applications:
W, IHC-P, IF-IC, FC-FP

Reactivity:
H M Mk

Sensitivity:
Endogenous

MW (kDa):
150

Source/Isotype:
Rabbit IgG

UniProt ID:
#P19174

Entrez-Gene Id:
5335

Product Usage Information

This product is the carrier free version of product #8713. All data were generated using the same antibody clone in the standard formulation which contains BSA and glycerol.

This formulation is ideal for use with technologies requiring specialized or custom antibody labeling, including fluorophores, metals, lanthanides, and oligonucleotides. It is not recommended for ChIP, ChIP-seq, CUT&RUN or CUT&Tag assays. If you require a carrier free formulation for chromatin profiling, please contact us. Optimal dilutions/concentrations should be determined by the end user.

BSA and Azide Free antibodies are quality control tested by size exclusion chromatography (SEC) to determine antibody integrity.

Formulation

Supplied in 1X PBS (10 mM Na2HPO4, 3 mM KCl, 2 mM KH2PO4, and 140 mM NaCl (pH 7.8)). BSA and Azide Free.

For standard formulation of this product see product #8713

Storage

Store at -20°C. This product will freeze at -20°C so it is recommended to aliquot into single-use vials to avoid multiple freeze/thaw cycles. A slight precipitate may be present and can be dissolved by gently vortexing. This will not interfere with antibody performance.

Specificity/Sensitivity

Phospho-PLC gamma1 (Ser1248) (D25A9) Rabbit Monoclonal Antibody (BSA and Azide Free) recognizes endogenous levels of PLCγ1 protein only when phosphorylated at Ser1248.

Species predicted to react based on 100% sequence homology

Rat

Source / Purification

Monoclonal antibody is produced by immunizing animals with a synthetic peptide corresponding to residues surrounding Ser1248 of human PLCγ1 protein.

Background

Phosphoinositide-specific phospholipase C (PLC) plays a significant role in transmembrane signaling. In response to extracellular stimuli, such as hormones, growth factors, and neurotransmitters, PLC hydrolyzes phosphatidylinositol 4,5-bisphosphate (PIP2) to generate two secondary messengers: inositol 1,4,5-triphosphate (IP3) and diacylglycerol (DAG) (1). At least four families of PLCs have been identified: PLCβ, PLCγ, PLCδ, and PLCε. Phosphorylation is one of the key mechanisms that regulate the activity of PLC. PLCγ is activated by both receptor and non-receptor tyrosine kinases (2). PLCγ forms a complex with EGF and PDGF receptors, which leads to the phosphorylation of PLCγ at Tyr771, 783, and 1248 (3). Phosphorylation by Syk at Tyr783 activates the enzymatic activity of PLCγ1 (4). PLCγ2 is engaged in antigen-dependent signaling in B cells and collagen-dependent signaling in platelets. Phosphorylation by Btk or Lck at Tyr753, 759, 1197, and 1217 is correlated with PLCγ2 activity (5,6).
Two mammalian PLCγ isoforms (γ1 and γ2) have been cloned and characterized (7,8). Like other PLC-family members, PLCγ1 and PLCγ2 contain calcium-binding (EF-hand, C2) and lipid-interacting (PH, EF-hand) domains necessary for their enzymatic activity and substrate recognition. Uniquely, PLCγ isoforms have additional, conserved SH2 and SH3 domains critical for their functions as signaling molecules and scaffolding proteins. Upon growth factor stimulation, PLCγ1 is recruited (via SH2 domains) to phosphotyrosine residues within the cytoplasmic tail of many RTKs where it serves as a substrate for the RTK and provides docking sites for additional proteins involved in RTK signaling (4-6,9-12). PLCγ1 and γ2 can also be activated downstream of receptors lacking intrinsic tyrosine kinase activity. This has been reported downstream of multiple G protein-coupled receptors and the T cell receptor in which tyrosine kinases of the Src, Syk, and Tec families serve to bind, phosphorylate, and activate PLCγ (reviewed in 13-15). Phosphorylation at tyrosine residues by both receptor and non-receptor tyrosine kinases results in robust activation of PLCγ1 activity, leading to generation of second messengers. In response to agonists, PLCγ1 is phosphorylated on Tyr783, Tyr711, and Tyr1253 (Tyr753, Tyr759, and Tyr1217 in PLCγ2) resulting in robust PI-4,5-P2 hydrolysis (4-6,9-12). Interestingly recent evidence suggests a role for tyrosine kinase-independent regulation of PLCγ in some systems. For example, in response to EGF, proline-rich regions of Akt interact with the SH3 domain of PLCγ1 resulting in association of the two enzymes, phosphorylation of PLCγ1 at Ser1248, and enhanced cellular motility (16). This finding demonstrates that PLCγ1 can function as a "scaffold" between RTKs and Akt, thereby establishing a mechanism by which the Akt signaling pathway cross-talks with tyrosine kinases. However, the mechanism and functional significance of phosphorylation at Ser1248 remains to be fully clarified, as it has also been shown that PKA-mediated phosphorylation at this site is inhibitory to PLCγ1 tyrosine phosphorylation and phospholipase activity in CD3-treated Jurkat cells (17), suggesting that Ser1248 may be an allosteric regulator of PLCγ1 activity.

Species Reactivity

Species reactivity is determined by testing in at least one approved application (e.g., western blot).

Applications Key

W: Western Blotting IHC-P: Immunohistochemistry (Paraffin) IF-IC: Immunofluorescence (Immunocytochemistry) FC-FP: Flow Cytometry (Fixed/Permeabilized)

Cross-Reactivity Key

H: Human M: Mouse Mk: Monkey

Trademarks and Patents

Cell Signaling Technology is a trademark of Cell Signaling Technology, Inc.

All other trademarks are the property of their respective owners. Visit cellsignal.com/trademarks for more information.

Limited Uses

Except as otherwise expressly agreed in a writing signed by a legally authorized representative of CST, the following terms apply to Products provided by CST, its affiliates or its distributors. Any Customer's terms and conditions that are in addition to, or different from, those contained herein, unless separately accepted in writing by a legally authorized representative of CST, are rejected and are of no force or effect.

Products are labeled with For Research Use Only or a similar labeling statement and have not been approved, cleared, or licensed by the FDA or other regulatory foreign or domestic entity, for any purpose. Customer shall not use any Product for any diagnostic or therapeutic purpose, or otherwise in any manner that conflicts with its labeling statement. Products sold or licensed by CST are provided for Customer as the end-user and solely for research and development uses. Any use of Product for diagnostic, prophylactic or therapeutic purposes, or any purchase of Product for resale (alone or as a component) or other commercial purpose, requires a separate license from CST. Customer shall (a) not sell, license, loan, donate or otherwise transfer or make available any Product to any third party, whether alone or in combination with other materials, or use the Products to manufacture any commercial products, (b) not copy, modify, reverse engineer, decompile, disassemble or otherwise attempt to discover the underlying structure or technology of the Products, or use the Products for the purpose of developing any products or services that would compete with CST products or services, (c) not alter or remove from the Products any trademarks, trade names, logos, patent or copyright notices or markings, (d) use the Products solely in accordance with CST Product Terms of Sale and any applicable documentation, and (e) comply with any license, terms of service or similar agreement with respect to any third party products or services used by Customer in connection with the Products.

Orders: 877-616-CELL (2355) [email protected] Support: 877-678-TECH (8324) [email protected] Web: cellsignal.com
For Research Use Only. Not for Use in Diagnostic Procedures.

Revision 1

Cell Signaling Technology Logo
Western blot analysis of extracts from serum-starved A-431 and A549 cells, untreated (-) or treated (+) with hEGF #8916 (100 ng/mL, 15 min) or serum-starved NIH/3T3 cells, untreated (-) or treated (+) with hPDGF-BB #8912 (50 ng/mL, 15 min), using Phospho-PLCγ1 (Ser1248) (D25A9) Rabbit mAb (upper) or PLCγ1 (D9H10) XP® Rabbit mAb #5690 (lower). Data were generated using the standard formulation of this product.
Western Blotting Image 1: Phospho-PLC gamma1 (Ser1248) (D25A9) Rabbit Monoclonal Antibody (BSA and Azide Free)
Immunohistochemical analysis of paraffin-embedded human colon (normal adjacent to tumor) using Phospho-PLCγ1 (Ser1248) (D25A9) Rabbit mAb in the presence of control peptide (left) or antigen-specific peptide (right). Data were generated using the standard formulation of this product.
Immunohistochemistry Image 1: Phospho-PLC gamma1 (Ser1248) (D25A9) Rabbit Monoclonal Antibody (BSA and Azide Free)
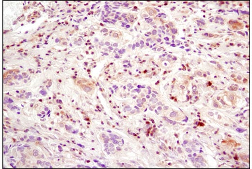
Immunohistochemical analysis of paraffin-embedded human breast carcinoma using Phospho-PLCγ1 (Ser1248) (D25A9) Rabbit mAb. Data were generated using the standard formulation of this product.
Immunohistochemistry Image 2: Phospho-PLC gamma1 (Ser1248) (D25A9) Rabbit Monoclonal Antibody (BSA and Azide Free)
Orders: 877-616-CELL (2355) [email protected] Support: 877-678-TECH (8324) [email protected] Web: cellsignal.com
For Research Use Only. Not for Use in Diagnostic Procedures.

Revision 1

Cell Signaling Technology Logo
Immunohistochemical analysis of SignalSlide® Phospho-EGF Receptor IHC Controls #8102 [paraffin-embedded KYSE450 cell pellets untreated (left) or EGF-treated (right)] using Phospho-PLCγ1 (Ser1248) (D25A9) Rabbit mAb. Data were generated using the standard formulation of this product.
Immunohistochemistry Image 3: Phospho-PLC gamma1 (Ser1248) (D25A9) Rabbit Monoclonal Antibody (BSA and Azide Free)
Confocal immunofluorescent analysis of A-431 cells, serum starved (left) or treated with hEGF #8916 (100 ng/mL for 15 min) using Phospho-PLCγ1 (Ser1248) (D25A9) Rabbit mAb (green). Blue pseudocolor = DRAQ5® #4084 (fluorescent DNA dye). Data were generated using the standard formulation of this product.
Immunofluorescence Image 1: Phospho-PLC gamma1 (Ser1248) (D25A9) Rabbit Monoclonal Antibody (BSA and Azide Free)
Flow cytometric analysis of human peripheral blood mononuclear cells, untreated (left column) or treated with cross-linked anti-CD3 plus anti-CD28 (10ug/ml each, 15 min; right column), using Phospho-PLCγ1 (Ser1248) (D25A9) Rabbit mAb (top row) or concentration-matched Rabbit (DA1E) mAb IgG XP® Isotype Control #3900 (bottom row), and co-stained with CD3 (UCHT1) Mouse mAb (APC Conjugate) #19881. Anti-rabbit IgG (H+L), F(ab')2 Fragment (Alexa Fluor® 488 Conjugate) #4412 was used as a secondary antibody. Data were generated using the standard formulation of this product.
Flow Cytometry Image 1: Phospho-PLC gamma1 (Ser1248) (D25A9) Rabbit Monoclonal Antibody (BSA and Azide Free)
Orders: 877-616-CELL (2355) [email protected] Support: 877-678-TECH (8324) [email protected] Web: cellsignal.com
For Research Use Only. Not for Use in Diagnostic Procedures.

Revision 1

Cell Signaling Technology Logo
Flow cytometric analysis of Jurkat cells, treated with U0126 #9903 (10uM, 2 hr; blue) or TPA #4174 (200nM, 30 min; green) using Phospho-PLCγ1 (Ser1248) (D25A9) Rabbit mAb (solid lines) or concentration-matched Rabbit (DA1E) mAb IgG XP® Isotype Control #3900 (dashed lines). Anti-rabbit IgG (H+L), F(ab')2 Fragment (Alexa Fluor® 488 Conjugate) was used as a secondary antibody. Data were generated using the standard formulation of this product.
Flow Cytometry Image 2: Phospho-PLC gamma1 (Ser1248) (D25A9) Rabbit Monoclonal Antibody (BSA and Azide Free)
Orders: 877-616-CELL (2355) [email protected] Support: 877-678-TECH (8324) [email protected] Web: cellsignal.com
For Research Use Only. Not for Use in Diagnostic Procedures.