Revision 5

#16960

Store at -20C

CST Logo
Orders:

877-616-CELL (2355)

[email protected]

Support:

877-678-TECH (8324)

3 Trask Lane | Danvers | Massachusetts | 01923 | USA

For Research Use Only. Not for Use in Diagnostic Procedures.

Applications:
W, IP, IHC-P, IF-IC

Reactivity:
H M R Mk

Sensitivity:
Endogenous

MW (kDa):
36

Source/Isotype:
Rabbit IgG

UniProt ID:
#Q15475

Entrez-Gene Id:
6495

Product Usage Information

Application Dilution
Western Blotting 1:1000
Immunoprecipitation 1:50
Immunohistochemistry (Paraffin) 1:100
Immunofluorescence (Immunocytochemistry) 1:400

Storage

Supplied in 10 mM sodium HEPES (pH 7.5), 150 mM NaCl, 100 µg/ml BSA, 50% glycerol and less than 0.02% sodium azide. Store at –20°C. Do not aliquot the antibody.

For a carrier free (BSA and azide free) version of this product see product #73583.

Specificity/Sensitivity

SIX1 (D5S2S) Rabbit Monoclonal Antibody recognizes endogenous levels of total SIX1 protein.

Source / Purification

Monoclonal antibody is produced by immunizing animals with a synthetic peptide corresponding to residues surrounding Asp269 of human SIX1 protein.

Background

Sine oculis homeobox (SIX) proteins belong to a family of evolutionarily conserved transcription factors discovered in Drosophila mutant screens for embryonic eye development genes (1-3). The prototypical family member (sine oculis, so) was named for eyeless embryos carrying mutations in a gene highly conserved among vertebrates, including humans (SIX1) (4). A total of six family members (SIX1-6) have been identified in vertebrates. Each SIX protein contains a homeobox nucleic acid recognition domain (HD) with a DNA-binding helix-turn-helix motif and an adjacent SIX domain, which may be involved in regulating protein-protein interactions (5). In addition to their critical functions during embryonic organogenesis, research studies suggest that SIX proteins play additional roles in postnatal cell cycle regulation, with potentially important implications in tumorigenesis (6,7).
In contrast to the Drosophila ortholog, the vertebrate SIX1 gene product does not play a critical role in embryonic eye development. Vertebrate SIX1 is required for development of mesoderm- and neural crest-derived lineages, and male reproductive tissues (8-10). SIX1 has also been shown to regulate transcription of MyoD in adult muscle progenitor cells during postnatal muscle development (11). A mechanistic role for SIX1 in cell cycle regulation is supported by research studies showing increased SIX1 expression in various cancer subtypes, including breast, ovarian, and hepatocellular carcinoma (6,12,13).

Species Reactivity

Species reactivity is determined by testing in at least one approved application (e.g., western blot).

Western Blot Buffer

IMPORTANT: For western blots, incubate membrane with diluted primary antibody in 5% w/v BSA, 1X TBS, 0.1% Tween® 20 at 4°C with gentle shaking, overnight.

Applications Key

W: Western Blotting IP: Immunoprecipitation IHC-P: Immunohistochemistry (Paraffin) IF-IC: Immunofluorescence (Immunocytochemistry)

Cross-Reactivity Key

H: Human M: Mouse R: Rat Mk: Monkey

Trademarks and Patents

Cell Signaling Technology is a trademark of Cell Signaling Technology, Inc.

SignalStain is a registered trademark of Cell Signaling Technology, Inc.

All other trademarks are the property of their respective owners. Visit cellsignal.com/trademarks for more information.

Limited Uses

Except as otherwise expressly agreed in a writing signed by a legally authorized representative of CST, the following terms apply to Products provided by CST, its affiliates or its distributors. Any Customer's terms and conditions that are in addition to, or different from, those contained herein, unless separately accepted in writing by a legally authorized representative of CST, are rejected and are of no force or effect.

Products are labeled with For Research Use Only or a similar labeling statement and have not been approved, cleared, or licensed by the FDA or other regulatory foreign or domestic entity, for any purpose. Customer shall not use any Product for any diagnostic or therapeutic purpose, or otherwise in any manner that conflicts with its labeling statement. Products sold or licensed by CST are provided for Customer as the end-user and solely for research and development uses. Any use of Product for diagnostic, prophylactic or therapeutic purposes, or any purchase of Product for resale (alone or as a component) or other commercial purpose, requires a separate license from CST. Customer shall (a) not sell, license, loan, donate or otherwise transfer or make available any Product to any third party, whether alone or in combination with other materials, or use the Products to manufacture any commercial products, (b) not copy, modify, reverse engineer, decompile, disassemble or otherwise attempt to discover the underlying structure or technology of the Products, or use the Products for the purpose of developing any products or services that would compete with CST products or services, (c) not alter or remove from the Products any trademarks, trade names, logos, patent or copyright notices or markings, (d) use the Products solely in accordance with CST Product Terms of Sale and any applicable documentation, and (e) comply with any license, terms of service or similar agreement with respect to any third party products or services used by Customer in connection with the Products.

Orders: 877-616-CELL (2355) [email protected] Support: 877-678-TECH (8324) [email protected] Web: cellsignal.com
For Research Use Only. Not for Use in Diagnostic Procedures.

Revision 5

Cell Signaling Technology Logo
Western blot analysis of extracts from various cell lines using SIX1 (D5S2S) Rabbit mAb (upper) and β-Actin (D6A8) Rabbit mAb #8457 (lower).
Western Blotting Image 1: SIX1 (D5S2S) Rabbit Monoclonal Antibody
Immunoprecipitation of SIX1 from A-204 cell extracts. Lane 1 is 10% input, lane 2 is Rabbit (DA1E) mAb XP® Isotype Control #3900, and lane 3 is SIX1 (D5S2S) Rabbit mAb. Western blot analysis was performed using SIX1 (D5S2S) Rabbit mAb.
Immunoprecipitation Image 1: SIX1 (D5S2S) Rabbit Monoclonal Antibody
Immunohistochemical analysis of paraffin-embedded human squamous cell carcinoma of the lung using SIX1 (D5S2S) Rabbit mAb.
Immunohistochemistry Image 1: SIX1 (D5S2S) Rabbit Monoclonal Antibody
Orders: 877-616-CELL (2355) [email protected] Support: 877-678-TECH (8324) [email protected] Web: cellsignal.com
For Research Use Only. Not for Use in Diagnostic Procedures.

Revision 5

Cell Signaling Technology Logo
Immunohistochemical analysis of paraffin-embedded mouse skeletal muscle using SIX1 (D5S2S) Rabbit mAb.
Immunohistochemistry Image 2: SIX1 (D5S2S) Rabbit Monoclonal Antibody
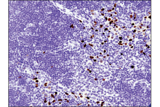
Immunohistochemical analysis of paraffin-embedded mouse thymus using SIX1 (D5S2S) Rabbit mAb.
Immunohistochemistry Image 3: SIX1 (D5S2S) Rabbit Monoclonal Antibody
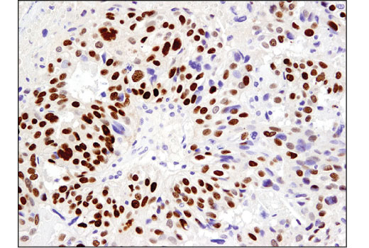
Immunohistochemical analysis of paraffin-embedded human endometrioid adenocarcinoma using SIX1 (D5S2S) Rabbit mAb.
Immunohistochemistry Image 4: SIX1 (D5S2S) Rabbit Monoclonal Antibody
Orders: 877-616-CELL (2355) [email protected] Support: 877-678-TECH (8324) [email protected] Web: cellsignal.com
For Research Use Only. Not for Use in Diagnostic Procedures.

Revision 5

Cell Signaling Technology Logo
Immunohistochemical analysis of paraffin-embedded A-204 (left) and HT-29 (right) cell pellets using SIX1 (D5S2S) Rabbit mAb.
Immunohistochemistry Image 5: SIX1 (D5S2S) Rabbit Monoclonal Antibody
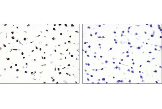
Immunohistochemical analysis of paraffin-embedded human skeletal muscle using SIX1 (D5S2S) Rabbit mAb in the presence of control peptide (left) or antigen-specific peptide (right).
Immunohistochemistry Image 6: SIX1 (D5S2S) Rabbit Monoclonal Antibody
Confocal immunofluorescent analysis of A-204 cells (left) and Caco-2 cells (right) using SIX1 (D5S2S) Rabbit mAb (green). Actin filaments were labeled with DyLight™ Phalloidin 554 #13054 (red).
Immunofluorescence Image 1: SIX1 (D5S2S) Rabbit Monoclonal Antibody
Orders: 877-616-CELL (2355) [email protected] Support: 877-678-TECH (8324) [email protected] Web: cellsignal.com
For Research Use Only. Not for Use in Diagnostic Procedures.