Revision 1

#17051

Store at -20C

Prostate Specific Membrane Antigen (D7I8E) & CO-0152-488 SignalStar Oligo-Antibody Pair

1 Kit

(10 slides)

UniProt ID:
#Q04609

Entrez-Gene Id:
#2346

CST Logo
Orders:

877-616-CELL (2355)

[email protected]

Support:

877-678-TECH (8324)

3 Trask Lane | Danvers | Massachusetts | 01923 | USA

For Research Use Only. Not for Use in Diagnostic Procedures.

Product Includes Product # Volume Reactivity Isotype
Prostate Specific Membrane Antigen (D7I8E) XP® Rabbit mAb (SignalStar™ Conjugate 0152)2433150 µlH MRabbit IgG
Complementary Oligo (CO-0152-488)6648430 µl

Storage

SignalStar conjugates are supplied in PBS (pH 7.2), less than 0.1% sodium azide, 2 mM EDTA, 0.05% Triton X-100, 2 mg/mL BSA, and 50% glycerol. Complementary oligos are supplied in nuclease-free water. Store at -20°C. Do not aliquot the antibody. All components in this kit are stable for at least 12 months when stored at the recommended temperature.

Description

SignalStar multiplex immunohistochemistry (IHC) is an advanced technology for labeling multiple proteins simultaneously in tissue samples using specific primary antibodies and fluorescent detection reagents. This technology offers accuracy and reliability in visualizing and analyzing protein expression while maintaining spatial context and tissue architecture.

SignalStar Oligo-Antibody Pairs are compatible with the SignalStar Multiplex IHC Buffer Kits for use in fluorescent multiplex imaging experiments. This product includes the oligo-conjugated antibodies and complementary oligos required for labeling your target protein on up to 10 slides. SignalStar Multiplex IHC Buffer Kits are required to amplify and image the target signal. Multiple oligo-antibody pairs can be conveniently combined into a multiplex panel using the SignalStar Multiplex IHC Panel Builder. SignalStar Multiplex IHC Kits & Reagents are not compatible with all of Cell Signaling Technology® products and protocols that are recommended for use in immunohistochemical assays.

Specificity/Sensitivity

Prostate Specific Membrane Antigen (D7I8E) XP® Rabbit mAb (SignalStar™ Conjugate 0152) recognizes endogenous levels of total prostate specific membrane antigen.

Source / Purification

Monoclonal antibody is produced by immunizing animals with a synthetic peptide corresponding to residues in the extracellular domain of human prostate specific membrane antigen protein.

Background

Prostate specific membrane antigen (PSMA, also known as FOLH1), a type II transmembrane protein of the M28 family, has both folate hydrolase and N-acetylated-alpha-linked acidic dipeptidase activity. PSMA was originally identified in the LNCaP cell line, which was derived from a prostate adenocarcinoma lymph node metastasis (1,2). PSMA is an established prostate cancer marker (3); however, it is expressed in other tissues, including kidney, liver, and urinary bladder (4), and it is associated with tumor neovasculature (5) as well. Research studies suggest that PSMA is both a potential diagnostic readout and therapeutic target (6-8).

Species Reactivity

Species reactivity is determined by testing in at least one approved application (e.g., western blot).

Trademarks and Patents

Cell Signaling Technology is a trademark of Cell Signaling Technology, Inc.

SignalStar is a registered trademark of Cell Signaling Technology, Inc.

U.S. Patent No. 10,781,477, foreign equivalents, and child patents deriving therefrom.

All other trademarks are the property of their respective owners. Visit cellsignal.com/trademarks for more information.

Limited Uses

Except as otherwise expressly agreed in a writing signed by a legally authorized representative of CST, the following terms apply to Products provided by CST, its affiliates or its distributors. Any Customer's terms and conditions that are in addition to, or different from, those contained herein, unless separately accepted in writing by a legally authorized representative of CST, are rejected and are of no force or effect.

Products are labeled with For Research Use Only or a similar labeling statement and have not been approved, cleared, or licensed by the FDA or other regulatory foreign or domestic entity, for any purpose. Customer shall not use any Product for any diagnostic or therapeutic purpose, or otherwise in any manner that conflicts with its labeling statement. Products sold or licensed by CST are provided for Customer as the end-user and solely for research and development uses. Any use of Product for diagnostic, prophylactic or therapeutic purposes, or any purchase of Product for resale (alone or as a component) or other commercial purpose, requires a separate license from CST. Customer shall (a) not sell, license, loan, donate or otherwise transfer or make available any Product to any third party, whether alone or in combination with other materials, or use the Products to manufacture any commercial products, (b) not copy, modify, reverse engineer, decompile, disassemble or otherwise attempt to discover the underlying structure or technology of the Products, or use the Products for the purpose of developing any products or services that would compete with CST products or services, (c) not alter or remove from the Products any trademarks, trade names, logos, patent or copyright notices or markings, (d) use the Products solely in accordance with CST Product Terms of Sale and any applicable documentation, and (e) comply with any license, terms of service or similar agreement with respect to any third party products or services used by Customer in connection with the Products.

Orders: 877-616-CELL (2355) [email protected] Support: 877-678-TECH (8324) [email protected] Web: cellsignal.com
For Research Use Only. Not for Use in Diagnostic Procedures.

Revision 1

Cell Signaling Technology Logo
SignalStar® oligo-based multiplex immunohistochemical analysis of paraffin-embedded human endometrioid adenocarcinoma using Prostate Specific Membrane Antigen (D7I8E) XP® Rabbit mAb (488; green) and DAPI #4083 (blue). Staining was performed on the BOND RX autostainer by Leica Biosystems.
Immunohistochemistry Image 1: Prostate Specific Membrane Antigen (D7I8E) & CO-0152-488 SignalStar<sup>™</sup> Oligo-Antibody Pair
SignalStar® oligo-based multiplex immunohistochemical analysis of paraffin-embedded human prostate adenocarcinoma using Prostate Specific Membrane Antigen (D7I8E) XP® Rabbit mAb (594; yellow) and DAPI #4083 (blue). Staining was performed on the BOND RX autostainer by Leica Biosystems.
Immunohistochemistry Image 2: Prostate Specific Membrane Antigen (D7I8E) & CO-0152-488 SignalStar<sup>™</sup> Oligo-Antibody Pair
SignalStar® oligo-based multiplex immunohistochemical analysis of paraffin-embedded human prostate adenocarcinoma using Prostate Specific Membrane Antigen (D7I8E) XP® Rabbit mAb (647; red) and DAPI #4083 (blue). Staining was performed on the BOND RX autostainer by Leica Biosystems.
Immunohistochemistry Image 3: Prostate Specific Membrane Antigen (D7I8E) & CO-0152-488 SignalStar<sup>™</sup> Oligo-Antibody Pair
Orders: 877-616-CELL (2355) [email protected] Support: 877-678-TECH (8324) [email protected] Web: cellsignal.com
For Research Use Only. Not for Use in Diagnostic Procedures.

Revision 1

Cell Signaling Technology Logo
SignalStar® oligo-based multiplex immunohistochemical analysis of paraffin-embedded human renal cell carcinoma using Prostate Specific Membrane Antigen (D7I8E) XP® Rabbit mAb (left, 750; cyan) and DAPI #4083 (left, blue) compared to chromogenic immunohistochemical analysis of a serial section of paraffin-embedded human renal cell carcinoma using Prostate Specific Membrane Antigen (D7I8E) XP® Rabbit mAb #12815 (right). Staining was performed on the BOND RX autostainer by Leica Biosystems.
Immunohistochemistry Image 4: Prostate Specific Membrane Antigen (D7I8E) & CO-0152-488 SignalStar<sup>™</sup> Oligo-Antibody Pair
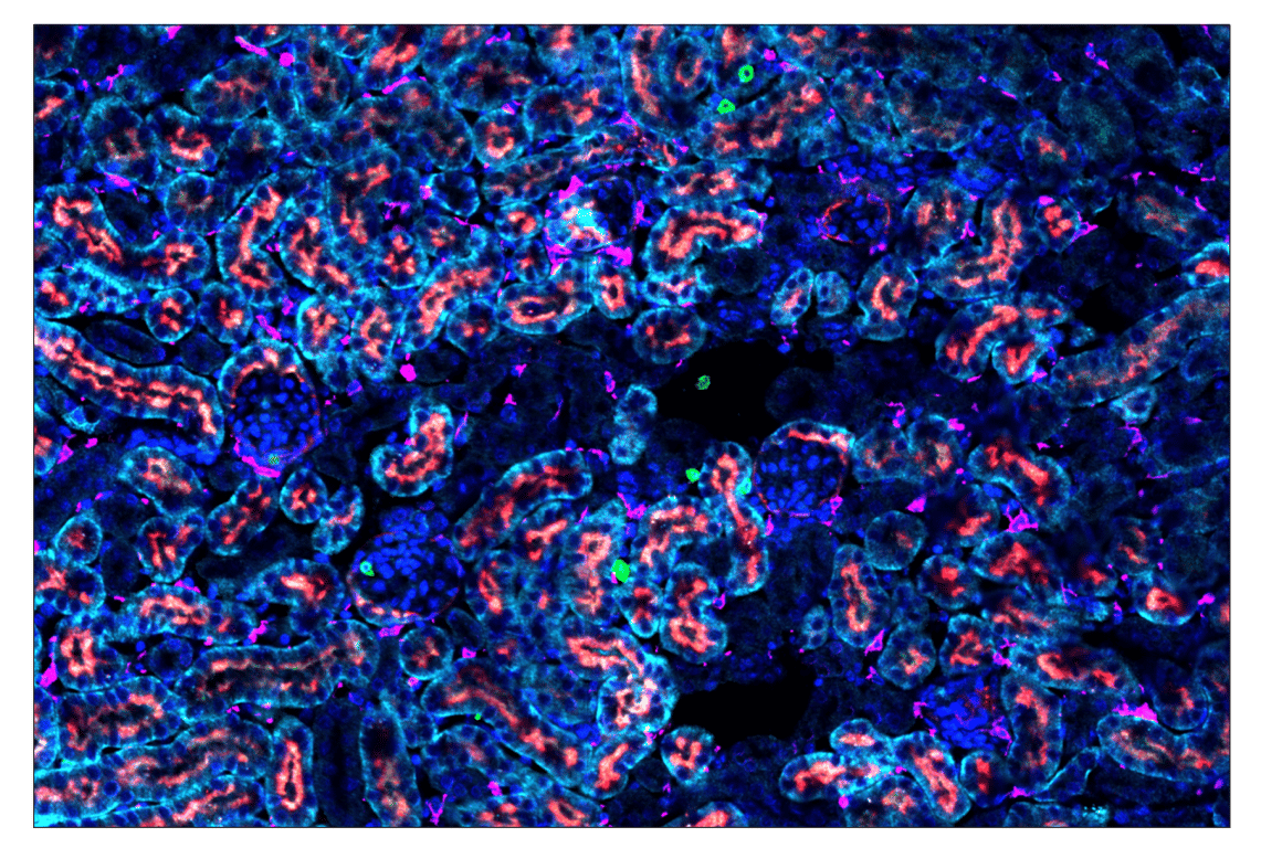
SignalStar® oligo-based multiplex immunohistochemical analysis of paraffin-embedded mouse kidney using Prostate Specific Membrane Antigen (D7I8E) XP® Rabbit mAb (594; red), CD3ε (E4T1B) Rabbit mAb (594; green), EGF Receptor (D38B1) Rabbit mAb (647; cyan), F4/80 (D2S9R) Rabbit mAb (647; magenta), and DAPI #4083 (blue).
Immunohistochemistry Image 1: Prostate Specific Membrane Antigen (D7I8E) & CO-0152-488 SignalStar<sup>™</sup> Oligo-Antibody Pair
Orders: 877-616-CELL (2355) [email protected] Support: 877-678-TECH (8324) [email protected] Web: cellsignal.com
For Research Use Only. Not for Use in Diagnostic Procedures.