Revision 1

#19168

Store at -20C

CST Logo
Orders:

877-616-CELL (2355)

[email protected]

Support:

877-678-TECH (8324)

3 Trask Lane | Danvers | Massachusetts | 01923 | USA

For Research Use Only. Not for Use in Diagnostic Procedures.

Applications:
W, IP

Reactivity:
H M R

Sensitivity:
Endogenous

MW (kDa):
25

Source/Isotype:
Rabbit

UniProt ID:
#Q9NX47

Entrez-Gene Id:
54708

Product Usage Information

Application Dilution
Western Blotting 1:1000
Immunoprecipitation 1:200

Storage

Supplied in 10 mM sodium HEPES (pH 7.5), 150 mM NaCl, 100 µg/ml BSA and 50% glycerol. Store at –20°C. Do not aliquot the antibody.

Specificity/Sensitivity

MARCH5 Antibody recognizes endogenous levels of total MARCH5 protein. A band of unknown origin is detected at 55 kDa.

Source / Purification

Polyclonal antibodies are produced by immunizing animals with a synthetic peptide corresponding to residues near the carboxy terminus of human MARCH5 protein. Antibodies are purified by protein A and peptide affinity chromatography.

Background

Changes in mitochondrial dynamics regulated by environmental cues affect mitochondrial size and shape that regulate metabolism and cell death, and have significant consequences on health and disease (1,2). These processes are largely controlled by mitochondrial dynamin-related GTPases and associated proteins, including mitofusin-1 (MFN1), mitofusin-2 (MFN2), OPA1, MFF, Fis1, and DRP1. DRP1, MFF, and Fis1 regulate mitochondrial fission, while the mitofusins and OPA1 control fusion.
MARCH5/MARCH-V/MITOL is a ubiquitin E3 ligase localized to the mitochondrial outer membrane that affects mitochondrial dynamics (3-5). MARCH5 has been associated with tumorigenesis, innate immunity, autophagy, apoptosis, and senescence (3-9). Mechanistically, MARCH5 associates with MFN2 and also promotes the ubiquitination of fission proteins DRP1, as well as hFis1 and MFN1 (3-6). Dysregulation of MARCH5 through overexpression, mutation, or knockdown can regulate the turnover of fission and fusion proteins and lead to changes in mitochondrial dynamics (3-6). Studies have shown that elevated levels of MARCH5 in ovarian and breast cancers potentially contribute to tumor growth and metastasis (10,11).

Species Reactivity

Species reactivity is determined by testing in at least one approved application (e.g., western blot).

Western Blot Buffer

IMPORTANT: For western blots, incubate membrane with diluted primary antibody in 5% w/v nonfat dry milk, 1X TBS, 0.1% Tween® 20 at 4°C with gentle shaking, overnight.

Applications Key

W: Western Blotting IP: Immunoprecipitation

Cross-Reactivity Key

H: Human M: Mouse R: Rat

Trademarks and Patents

Cell Signaling Technology is a trademark of Cell Signaling Technology, Inc.

All other trademarks are the property of their respective owners. Visit cellsignal.com/trademarks for more information.

Limited Uses

Except as otherwise expressly agreed in a writing signed by a legally authorized representative of CST, the following terms apply to Products provided by CST, its affiliates or its distributors. Any Customer's terms and conditions that are in addition to, or different from, those contained herein, unless separately accepted in writing by a legally authorized representative of CST, are rejected and are of no force or effect.

Products are labeled with For Research Use Only or a similar labeling statement and have not been approved, cleared, or licensed by the FDA or other regulatory foreign or domestic entity, for any purpose. Customer shall not use any Product for any diagnostic or therapeutic purpose, or otherwise in any manner that conflicts with its labeling statement. Products sold or licensed by CST are provided for Customer as the end-user and solely for research and development uses. Any use of Product for diagnostic, prophylactic or therapeutic purposes, or any purchase of Product for resale (alone or as a component) or other commercial purpose, requires a separate license from CST. Customer shall (a) not sell, license, loan, donate or otherwise transfer or make available any Product to any third party, whether alone or in combination with other materials, or use the Products to manufacture any commercial products, (b) not copy, modify, reverse engineer, decompile, disassemble or otherwise attempt to discover the underlying structure or technology of the Products, or use the Products for the purpose of developing any products or services that would compete with CST products or services, (c) not alter or remove from the Products any trademarks, trade names, logos, patent or copyright notices or markings, (d) use the Products solely in accordance with CST Product Terms of Sale and any applicable documentation, and (e) comply with any license, terms of service or similar agreement with respect to any third party products or services used by Customer in connection with the Products.

Orders: 877-616-CELL (2355) [email protected] Support: 877-678-TECH (8324) [email protected] Web: cellsignal.com
For Research Use Only. Not for Use in Diagnostic Procedures.

Revision 1

Cell Signaling Technology Logo
Western blot analysis of extracts from various cell lines using MARCH5 Antibody (upper) or β-Actin (D6A8) Rabbit mAb #8457 (lower).
Western Blotting Image 1: MARCH5 Antibody
Western blot analysis of extracts from 293T cells, mock transfected (-) or transfected with a construct expressing Myc/DDK-tagged full-length human MARCH5 protein (hMARCH5-Myc/DDK; +), using MARCH5 Antibody (upper) or Myc-Tag (71D10) Rabbit mAb #2278 (lower).
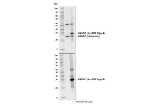
Western Blotting Image 2: MARCH5 Antibody
Immunoprecipitation of MARCH5 protein from MIA PaCa-2 cell extracts. Lane 1 is 10% input, lane 2 is Normal Rabbit IgG #2729, and lane 3 is MARCH5 Antibody. Western blot analysis was performed using MARCH5 Antibody. Mouse Anti-rabbit IgG (Conformation Specific) (L27A9) mAb (HRP Conjugate) #5127 was used as a secondary antibody.
Immunoprecipitation Image 1: MARCH5 Antibody
Orders: 877-616-CELL (2355) [email protected] Support: 877-678-TECH (8324) [email protected] Web: cellsignal.com
For Research Use Only. Not for Use in Diagnostic Procedures.