Revision 3

#19230

Store at -20C

CST Logo
Orders:

877-616-CELL (2355)

[email protected]

Support:

877-678-TECH (8324)

3 Trask Lane | Danvers | Massachusetts | 01923 | USA

For Research Use Only. Not for Use in Diagnostic Procedures.

Applications:
W, W-S, IP

Reactivity:
H M R

Sensitivity:
Endogenous

MW (kDa):
31

Source/Isotype:
Rabbit IgG

UniProt ID:
#Q9UJQ1

Entrez-Gene Id:
24141

Product Usage Information

Application Dilution
Western Blotting 1:1000
Simple Western™ 1:10 - 1:50
Immunoprecipitation 1:50

Storage

Supplied in 10 mM sodium HEPES (pH 7.5), 150 mM NaCl, 100 µg/mL BSA, 50% glycerol, and less than 0.02% sodium azide. Store at –20°C. Do not aliquot the antibody.

Specificity/Sensitivity

LAMP5 (F9Q8X) Rabbit Monoclonal Antibody recognizes endogenous levels of total LAMP5 protein.

Source / Purification

Monoclonal antibody is produced by immunizing animals with a synthetic peptide corresponding to residues near the carboxy terminus of human LAMP5 protein.

Background

Lysosome-associated membrane glycoproteins (LAMPs) are a family of proteins present predominantly on the membrane of lysosomes. Five members have been identified so far (LAMP1, LAMP2, LAMP3, CD68/Macrosialin/LAMP4, and BAD-LAMP/LAMP5). LAMP proteins are involved in many different aspects of cell biology and can influence cellular processes, such as phagocytosis, autophagy, lipid transport, and aging. Their expression varies among different tissues (1). Differing from its family members, LAMP5, also called brain and dendritic cell-associated LAMP (BAD-LAMP), is almost exclusively expressed in the central nervous system (CNS). LAMP5 acts as a marker for a subset of GABAergic interneurons where it functions in synaptic transmission and synaptic plasticity, and has been shown to play a role in sensorimotor processing in the brain and spinal cord (2,3). Loss of LAMP5 positive interneurons can be seen in Alzheimer’s disease, potentially implicating these cells in neurodegeneration (4). In addition to its role in the CNS, LAMP5 expression has been implicated in several cancer types, including gastric cancer, where it promotes metastatic potential of gastric cancer cells, and mixed lineage leukemia, where it acts as a suppressor of autophagy (5,6).

Species Reactivity

Species reactivity is determined by testing in at least one approved application (e.g., western blot).

Western Blot Buffer

IMPORTANT: For western blots, incubate membrane with diluted primary antibody in 5% w/v BSA, 1X TBS, 0.1% Tween® 20 at 4°C with gentle shaking, overnight.

Applications Key

W: Western Blotting W-S: Simple Western™ IP: Immunoprecipitation

Cross-Reactivity Key

H: Human M: Mouse R: Rat

Trademarks and Patents

Cell Signaling Technology is a trademark of Cell Signaling Technology, Inc.

All other trademarks are the property of their respective owners. Visit cellsignal.com/trademarks for more information.

Limited Uses

Except as otherwise expressly agreed in a writing signed by a legally authorized representative of CST, the following terms apply to Products provided by CST, its affiliates or its distributors. Any Customer's terms and conditions that are in addition to, or different from, those contained herein, unless separately accepted in writing by a legally authorized representative of CST, are rejected and are of no force or effect.

Products are labeled with For Research Use Only or a similar labeling statement and have not been approved, cleared, or licensed by the FDA or other regulatory foreign or domestic entity, for any purpose. Customer shall not use any Product for any diagnostic or therapeutic purpose, or otherwise in any manner that conflicts with its labeling statement. Products sold or licensed by CST are provided for Customer as the end-user and solely for research and development uses. Any use of Product for diagnostic, prophylactic or therapeutic purposes, or any purchase of Product for resale (alone or as a component) or other commercial purpose, requires a separate license from CST. Customer shall (a) not sell, license, loan, donate or otherwise transfer or make available any Product to any third party, whether alone or in combination with other materials, or use the Products to manufacture any commercial products, (b) not copy, modify, reverse engineer, decompile, disassemble or otherwise attempt to discover the underlying structure or technology of the Products, or use the Products for the purpose of developing any products or services that would compete with CST products or services, (c) not alter or remove from the Products any trademarks, trade names, logos, patent or copyright notices or markings, (d) use the Products solely in accordance with CST Product Terms of Sale and any applicable documentation, and (e) comply with any license, terms of service or similar agreement with respect to any third party products or services used by Customer in connection with the Products.

Orders: 877-616-CELL (2355) [email protected] Support: 877-678-TECH (8324) [email protected] Web: cellsignal.com
For Research Use Only. Not for Use in Diagnostic Procedures.

Revision 3

Cell Signaling Technology Logo
Western blot analysis of extracts from various cell lines using LAMP5 (F9Q8X) Rabbit mAb (upper) or β-Actin (D6A8) Rabbit mAb #8457 (lower). Negative expression of LAMP5 protein in A549 and SK-BR-3 cells is consistent with the predicted expression pattern.
Western Blotting Image 1: LAMP5 (F9Q8X) Rabbit Monoclonal Antibody
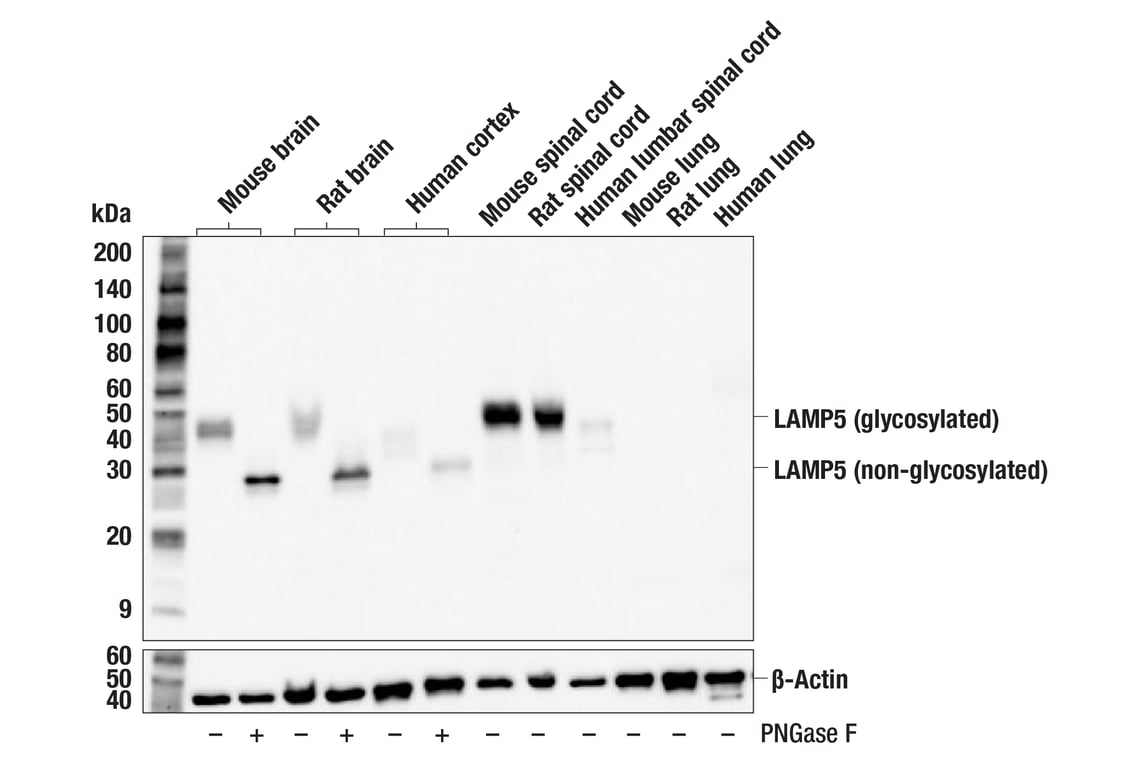
Western blot analysis of extracts from various tissues, untreated (-) or treated with peptide N-glycosidase F (PNGase F; +), using LAMP5 (F9Q8X) Rabbit mAb (upper) or β-Actin (D6A8) Rabbit mAb #8457 (lower). Negative expression of LAMP5 protein in lung tissue is consistent with the predicted expression pattern.
Western Blotting Image 2: LAMP5 (F9Q8X) Rabbit Monoclonal Antibody
Western blot analysis of extracts from 293T cells, mock transfected (-) or transfected with a construct expressing Myc-tagged full-length human LAMP5 (hLAMP5-Myc; +), using LAMP5 (F9Q8X) Rabbit mAb (upper), Myc-Tag (71D10) Rabbit mAb #2278 (middle), or β-Actin (D6A8) Rabbit mAb #8457 (lower).
Western Blotting Image 3: LAMP5 (F9Q8X) Rabbit Monoclonal Antibody
Orders: 877-616-CELL (2355) [email protected] Support: 877-678-TECH (8324) [email protected] Web: cellsignal.com
For Research Use Only. Not for Use in Diagnostic Procedures.

Revision 3

Cell Signaling Technology Logo
Simple WesternTM analysis of lysates (0.1 mg/ml) from U-937 cells using LAMP5 (F9Q8X) Rabbit mAb #19230. The virtual lane view (left) shows the target band (as indicated) at 1:10 and 1:50 dilutions of primary antibody. The corresponding electropherogram view (right) plots chemiluminescence by molecular weight along the capillary at 1:10 (blue line) and 1:50 (green line) dilutions of primary antibody. This experiment was performed under reducing conditions on the JessTM Simple Western instrument from ProteinSimple, a BioTechne brand, using the 12-230kDa separation module.
Western Blotting Image 1: LAMP5 (F9Q8X) Rabbit Monoclonal Antibody
Immunoprecipitation of LAMP5 protein from OCI-AML3 cell extracts. Lane 1 is 10% input, lane 2 is Rabbit (DA1E) mAb IgG XP® Isotype Control #3900, and lane 3 is LAMP5 (F9Q8X) Rabbit mAb. Western blot analysis was performed using LAMP5 (F9Q8X) Rabbit mAb. Mouse Anti-rabbit IgG (Conformation Specific) (L27A9) mAb (HRP Conjugate) #5127 was used as a secondary antibody.
Immunoprecipitation Image 1: LAMP5 (F9Q8X) Rabbit Monoclonal Antibody
Orders: 877-616-CELL (2355) [email protected] Support: 877-678-TECH (8324) [email protected] Web: cellsignal.com
For Research Use Only. Not for Use in Diagnostic Procedures.