Revision 1

#20085

Store at -20C

CST Logo
Orders:

877-616-CELL (2355)

[email protected]

Support:

877-678-TECH (8324)

3 Trask Lane | Danvers | Massachusetts | 01923 | USA

For Research Use Only. Not for Use in Diagnostic Procedures.

Applications:
W, IHC-P

Reactivity:
M R

Sensitivity:
Endogenous

MW (kDa):
50-60

Source/Isotype:
Rabbit IgG

UniProt ID:
#Q61559

Entrez-Gene Id:
14132

Product Usage Information

Application Dilution
Western Blotting 1:1000
Immunohistochemistry (Paraffin) 1:50 - 1:200

Storage

Supplied in 10 mM sodium HEPES (pH 7.5), 150 mM NaCl, 100 µg/mL BSA, 50% glycerol, and less than 0.02% sodium azide. Store at –20°C. Do not aliquot the antibody.

Specificity/Sensitivity

FcRn (E4D5I) Rabbit Monoclonal Antibody recognizes endogenous levels of total FcRn protein. Non-specific staining was observed in mouse stomach by immunohistochemistry.

Source / Purification

Monoclonal antibody is produced by immunizing animals with mouse FcRn recombinant protein.

Background

The neonatal Fc receptor, FcRn, is an atypical Fc gamma receptor that bears homology to class I MHC (major histocompatibility complex) and associates with β2-microglobulin (1). FcRn is expressed by the vascular endothelium, several epithelial cell types, and hematopoietic cells including several innate immune cell types and B cells (2). FcRn mediates recycling and transcytosis of IgG, resulting in protection of IgG from catabolism and an extended serum half-life of IgG relative to other antibody isotypes (3). In addition, FcRn transports IgG across the placenta and also mediates uptake of maternal IgG from milk, resulting in enhanced humoral immunity in the fetus and neonates (1,4,5). FcRn also plays an important role in initiation of adaptive immunity by transporting immune complexes to intracellular dendritic cell compartments for antigen processing and presentation to T cells (6-8). In addition to IgG, FcRn also binds albumin and similarly protects it from catabolism, leading to extended half-life and high plasma concentrations (9).

Species Reactivity

Species reactivity is determined by testing in at least one approved application (e.g., western blot).

Western Blot Buffer

IMPORTANT: For western blots, incubate membrane with diluted primary antibody in 5% w/v BSA, 1X TBS, 0.1% Tween® 20 at 4°C with gentle shaking, overnight.

Applications Key

W: Western Blotting IHC-P: Immunohistochemistry (Paraffin)

Cross-Reactivity Key

M: Mouse R: Rat

Trademarks and Patents

Cell Signaling Technology is a trademark of Cell Signaling Technology, Inc.

SignalStain is a registered trademark of Cell Signaling Technology, Inc.

All other trademarks are the property of their respective owners. Visit cellsignal.com/trademarks for more information.

Limited Uses

Except as otherwise expressly agreed in a writing signed by a legally authorized representative of CST, the following terms apply to Products provided by CST, its affiliates or its distributors. Any Customer's terms and conditions that are in addition to, or different from, those contained herein, unless separately accepted in writing by a legally authorized representative of CST, are rejected and are of no force or effect.

Products are labeled with For Research Use Only or a similar labeling statement and have not been approved, cleared, or licensed by the FDA or other regulatory foreign or domestic entity, for any purpose. Customer shall not use any Product for any diagnostic or therapeutic purpose, or otherwise in any manner that conflicts with its labeling statement. Products sold or licensed by CST are provided for Customer as the end-user and solely for research and development uses. Any use of Product for diagnostic, prophylactic or therapeutic purposes, or any purchase of Product for resale (alone or as a component) or other commercial purpose, requires a separate license from CST. Customer shall (a) not sell, license, loan, donate or otherwise transfer or make available any Product to any third party, whether alone or in combination with other materials, or use the Products to manufacture any commercial products, (b) not copy, modify, reverse engineer, decompile, disassemble or otherwise attempt to discover the underlying structure or technology of the Products, or use the Products for the purpose of developing any products or services that would compete with CST products or services, (c) not alter or remove from the Products any trademarks, trade names, logos, patent or copyright notices or markings, (d) use the Products solely in accordance with CST Product Terms of Sale and any applicable documentation, and (e) comply with any license, terms of service or similar agreement with respect to any third party products or services used by Customer in connection with the Products.

Orders: 877-616-CELL (2355) [email protected] Support: 877-678-TECH (8324) [email protected] Web: cellsignal.com
For Research Use Only. Not for Use in Diagnostic Procedures.

Revision 1

Cell Signaling Technology Logo
Western blot analysis of extracts from various cell lines and tissues using FcRn (E4D5I) Rabbit mAb (upper) or GAPDH (D16H11) XP® Rabbit mAb #5174 (lower).
Western Blotting Image 1: FcRn (E4D5I) Rabbit Monoclonal Antibody
Western blot analysis of extracts from 293T cells, mock transfected (-) or transfected with a construct expressing Myc/DDK-tagged full-length mouse FcRn protein (mFcRn-Myc/DDK; +), using FcRn (E4D5I) Rabbit mAb (upper), Myc-Tag (71D10) Rabbit mAb #2278 (middle), or GAPDH (D16H11) XP® Rabbit mAb #5174 (lower).
Western Blotting Image 2: FcRn (E4D5I) Rabbit Monoclonal Antibody
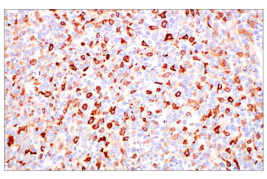
Immunohistochemical analysis of paraffin-embedded 4T1 syngeneic mammary tumor using FcRn (E4D5I) Rabbit mAb.
Immunohistochemistry Image 1: FcRn (E4D5I) Rabbit Monoclonal Antibody
Orders: 877-616-CELL (2355) [email protected] Support: 877-678-TECH (8324) [email protected] Web: cellsignal.com
For Research Use Only. Not for Use in Diagnostic Procedures.

Revision 1

Cell Signaling Technology Logo
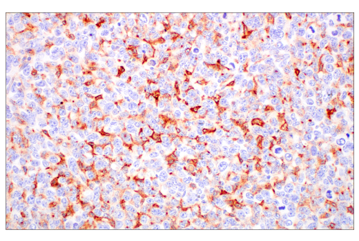
Immunohistochemical analysis of paraffin-embedded CT26.WT syngeneic tumor using FcRn (E4D5I) Rabbit mAb.
Immunohistochemistry Image 2: FcRn (E4D5I) Rabbit Monoclonal Antibody
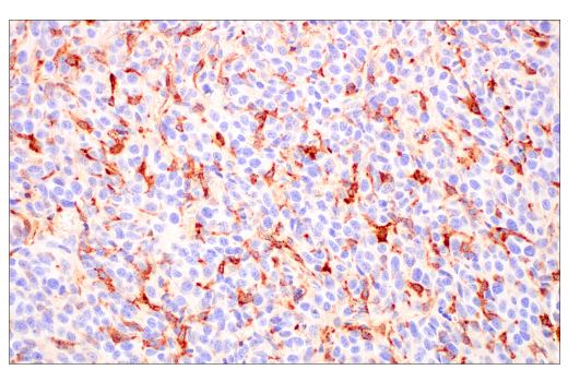
Immunohistochemical analysis of paraffin-embedded LL/2 syngeneic tumor using FcRn (E4D5I) Rabbit mAb.
Immunohistochemistry Image 3: FcRn (E4D5I) Rabbit Monoclonal Antibody
Immunohistochemical analysis of paraffin-embedded mouse spleen using FcRn (E4D5I) Rabbit mAb.
Immunohistochemistry Image 4: FcRn (E4D5I) Rabbit Monoclonal Antibody
Orders: 877-616-CELL (2355) [email protected] Support: 877-678-TECH (8324) [email protected] Web: cellsignal.com
For Research Use Only. Not for Use in Diagnostic Procedures.

Revision 1

Cell Signaling Technology Logo
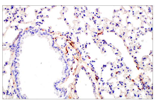
Immunohistochemical analysis of paraffin-embedded mouse lung using FcRn (E4D5I) Rabbit mAb.
Immunohistochemistry Image 5: FcRn (E4D5I) Rabbit Monoclonal Antibody
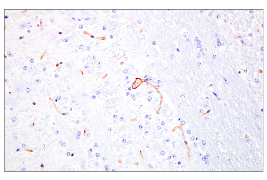
Immunohistochemical analysis of paraffin-embedded mouse brain using FcRn (E4D5I) Rabbit mAb.
Immunohistochemistry Image 6: FcRn (E4D5I) Rabbit Monoclonal Antibody
Immunohistochemical analysis of paraffin-embedded mouse small intestine using FcRn (E4D5I) Rabbit mAb.
Immunohistochemistry Image 7: FcRn (E4D5I) Rabbit Monoclonal Antibody
Orders: 877-616-CELL (2355) [email protected] Support: 877-678-TECH (8324) [email protected] Web: cellsignal.com
For Research Use Only. Not for Use in Diagnostic Procedures.

Revision 1

Cell Signaling Technology Logo
Immunohistochemical analysis of paraffin-embedded mouse liver using FcRn (E4D5I) Rabbit mAb (left) compared to concentration-matched Rabbit (DA1E) mAb IgG XP® Isotype Control #3900 (right).
Immunohistochemistry Image 8: FcRn (E4D5I) Rabbit Monoclonal Antibody
Immunohistochemical analysis of paraffin-embedded Renca syngeneic tumor (left, positive) or EL4 cell pellet (right, negative) using FcRn (E4D5I) Rabbit mAb.
Immunohistochemistry Image 9: FcRn (E4D5I) Rabbit Monoclonal Antibody
Orders: 877-616-CELL (2355) [email protected] Support: 877-678-TECH (8324) [email protected] Web: cellsignal.com
For Research Use Only. Not for Use in Diagnostic Procedures.