Revision 10

#2125

Store at -20C

CST Logo
Orders:

877-616-CELL (2355)

[email protected]

Support:

877-678-TECH (8324)

3 Trask Lane | Danvers | Massachusetts | 01923 | USA

For Research Use Only. Not for Use in Diagnostic Procedures.

Applications:
W, W-S, IHC-P, IF-F, IF-IC, FC-FP

Reactivity:
H M R Mk Dm Z B Pg

Sensitivity:
Endogenous

MW (kDa):
52

Source/Isotype:
Rabbit IgG

UniProt ID:
#P68363

Entrez-Gene Id:
10376

Product Usage Information

Application Dilution
Western Blotting 1:1000
Simple Western™ 1:10 - 1:50
Immunohistochemistry (Paraffin) 1:50
Immunofluorescence (Frozen) 1:50
Immunofluorescence (Immunocytochemistry) 1:100 - 1:400
Flow Cytometry (Fixed/Permeabilized) 1:50 - 1:200

Storage

Supplied in 10 mM sodium HEPES (pH 7.5), 150 mM NaCl, 100 µg/ml BSA, 50% glycerol and less than 0.02% sodium azide. Store at –20°C. Do not aliquot the antibody.

For a carrier free (BSA and azide free) version of this product see product #77763.

Specificity/Sensitivity

alpha-Tubulin (11H10) Rabbit Monoclonal Antibody detects endogenous levels of total α-tubulin protein, and does not cross-react with recombinant β-tubulin.

Species predicted to react based on 100% sequence homology

Dog

Source / Purification

Monoclonal antibody is produced by immunizing animals with a synthetic peptide corresponding to the amino terminus of human α-tubulin protein.

Background

The cytoskeleton consists of three types of cytosolic fibers: microtubules, microfilaments (actin filaments), and intermediate filaments. Globular tubulin subunits comprise the microtubule building block, with α/β-tubulin heterodimers forming the tubulin subunit common to all eukaryotic cells. γ-tubulin is required to nucleate polymerization of tubulin subunits to form microtubule polymers. Many cell movements are mediated by microtubule action, including the beating of cilia and flagella, cytoplasmic transport of membrane vesicles, chromosome alignment during meiosis/mitosis, and nerve-cell axon migration. These movements result from competitive microtubule polymerization and depolymerization or through the actions of microtubule motor proteins (1).

Species Reactivity

Species reactivity is determined by testing in at least one approved application (e.g., western blot).

Western Blot Buffer

IMPORTANT: For western blots, incubate membrane with diluted primary antibody in 5% w/v BSA, 1X TBS, 0.1% Tween® 20 at 4°C with gentle shaking, overnight.

Applications Key

W: Western Blotting W-S: Simple Western™ IHC-P: Immunohistochemistry (Paraffin) IF-F: Immunofluorescence (Frozen) IF-IC: Immunofluorescence (Immunocytochemistry) FC-FP: Flow Cytometry (Fixed/Permeabilized)

Cross-Reactivity Key

H: Human M: Mouse R: Rat Mk: Monkey Dm: D. melanogaster Z: Zebrafish B: Bovine Pg: Pig

Trademarks and Patents

Cell Signaling Technology is a trademark of Cell Signaling Technology, Inc.

Alexa Fluor is a registered trademark of Life Technologies Corporation.

All other trademarks are the property of their respective owners. Visit cellsignal.com/trademarks for more information.

Limited Uses

Except as otherwise expressly agreed in a writing signed by a legally authorized representative of CST, the following terms apply to Products provided by CST, its affiliates or its distributors. Any Customer's terms and conditions that are in addition to, or different from, those contained herein, unless separately accepted in writing by a legally authorized representative of CST, are rejected and are of no force or effect.

Products are labeled with For Research Use Only or a similar labeling statement and have not been approved, cleared, or licensed by the FDA or other regulatory foreign or domestic entity, for any purpose. Customer shall not use any Product for any diagnostic or therapeutic purpose, or otherwise in any manner that conflicts with its labeling statement. Products sold or licensed by CST are provided for Customer as the end-user and solely for research and development uses. Any use of Product for diagnostic, prophylactic or therapeutic purposes, or any purchase of Product for resale (alone or as a component) or other commercial purpose, requires a separate license from CST. Customer shall (a) not sell, license, loan, donate or otherwise transfer or make available any Product to any third party, whether alone or in combination with other materials, or use the Products to manufacture any commercial products, (b) not copy, modify, reverse engineer, decompile, disassemble or otherwise attempt to discover the underlying structure or technology of the Products, or use the Products for the purpose of developing any products or services that would compete with CST products or services, (c) not alter or remove from the Products any trademarks, trade names, logos, patent or copyright notices or markings, (d) use the Products solely in accordance with CST Product Terms of Sale and any applicable documentation, and (e) comply with any license, terms of service or similar agreement with respect to any third party products or services used by Customer in connection with the Products.

Orders: 877-616-CELL (2355) [email protected] Support: 877-678-TECH (8324) [email protected] Web: cellsignal.com
For Research Use Only. Not for Use in Diagnostic Procedures.

Revision 10

Cell Signaling Technology Logo
Western blot analysis of extracts from C6, COS-7, NIH/3T3 and HeLa cells, using α-Tubulin (11H10) Rabbit mAb.
Western Blotting Image 1: alpha-Tubulin (11H10) Rabbit Monoclonal Antibody
Simple Western™ analysis of lysates (0.1 mg/mL) from COS-7 cells using α-Tubulin (11H10) Rabbit mAb #2125. The virtual lane view (left) shows the target band (as indicated) at 1:10 and 1:50 dilutions of primary antibody. The corresponding electropherogram view (right) plots chemiluminescence by molecular weight along the capillary at 1:10 (blue line) and 1:50 (green line) dilutions of primary antibody. This experiment was performed under reducing conditions on the Jess™ ​​​​​​​ Simple Western instrument from ProteinSimple, a BioTechne brand, using the 12-230 kDa separation module.
Western Blotting Image 1: alpha-Tubulin (11H10) Rabbit Monoclonal Antibody
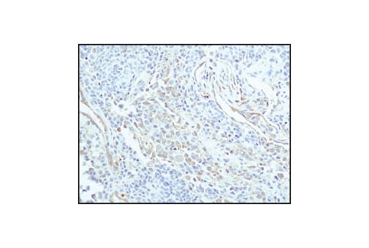
Immunohistochemical analysis of paraffin-embedded human glioblastoma, using α-Tubulin (11H10) Rabbit mAb.
Immunohistochemistry Image 1: alpha-Tubulin (11H10) Rabbit Monoclonal Antibody
Orders: 877-616-CELL (2355) [email protected] Support: 877-678-TECH (8324) [email protected] Web: cellsignal.com
For Research Use Only. Not for Use in Diagnostic Procedures.

Revision 10

Cell Signaling Technology Logo
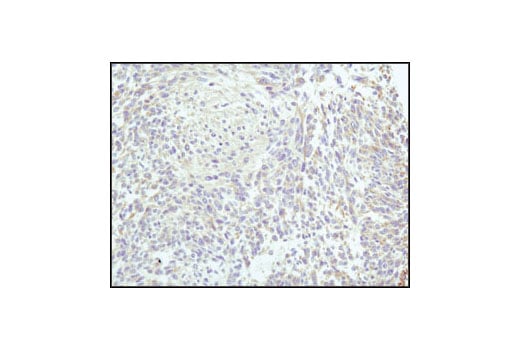
Immunohistochemical analysis of paraffin-embedded human melanoma, using α-Tubulin (11H10) Rabbit mAb.
Immunohistochemistry Image 2: alpha-Tubulin (11H10) Rabbit Monoclonal Antibody
Confocal immunofluorescent analysis of fixed frozen mouse testis using α-Tubulin (11H10) Rabbit mAb (green) and ProLong Gold Antifade Reagent with DAPI #8961 (blue).
Immunofluorescence Image 1: alpha-Tubulin (11H10) Rabbit Monoclonal Antibody
Confocal immunofluorescent analysis of fixed frozen mouse heart using α-Tubulin (11H10) Rabbit mAb (green) and ProLong Gold Antifade Reagent with DAPI #8961 (blue).
Immunofluorescence Image 2: alpha-Tubulin (11H10) Rabbit Monoclonal Antibody
Orders: 877-616-CELL (2355) [email protected] Support: 877-678-TECH (8324) [email protected] Web: cellsignal.com
For Research Use Only. Not for Use in Diagnostic Procedures.

Revision 10

Cell Signaling Technology Logo
Confocal immunofluorescent analysis of HeLa cells, using α-Tubulin (11H10) Rabbit mAb (green). Actin filaments have been labeled with Alexa Fluor® 555 phalloidin (red). Blue pseudocolor = DRAQ5® #4084 (fluorescent DNA dye).
Immunofluorescence Image 1: alpha-Tubulin (11H10) Rabbit Monoclonal Antibody
Flow cytometric analysis of HeLa cells using α-Tubulin (11H10) Rabbit mAb (solid line) or concentration-matched Rabbit (DA1E) mAb IgG XP® Isotype Control #3900 (dashed line). Anti-rabbit IgG (H+L), F(ab')2 Fragment (Alexa Fluor® 488 Conjugate) #4412 was used as a secondary antibody.
Flow Cytometry Image 1: alpha-Tubulin (11H10) Rabbit Monoclonal Antibody
Orders: 877-616-CELL (2355) [email protected] Support: 877-678-TECH (8324) [email protected] Web: cellsignal.com
For Research Use Only. Not for Use in Diagnostic Procedures.