Revision 7

#2211

Store at -20C

CST Logo
Orders:

877-616-CELL (2355)

[email protected]

Support:

877-678-TECH (8324)

3 Trask Lane | Danvers | Massachusetts | 01923 | USA

For Research Use Only. Not for Use in Diagnostic Procedures.

Applications:
W, IP, IHC-P, IF-IC, FC-FP

Reactivity:
H M R Mk Sc

Sensitivity:
Endogenous

MW (kDa):
32

Source/Isotype:
Rabbit

UniProt ID:
#P62753

Entrez-Gene Id:
6194

Product Usage Information

Application Dilution
Western Blotting 1:1000
Immunoprecipitation 1:100
Immunohistochemistry (Paraffin) 1:300 - 1:1200
Immunofluorescence (Immunocytochemistry) 1:800 - 1:3200
Flow Cytometry (Fixed/Permeabilized) 1:50 - 1:200

Storage

Supplied in 10 mM sodium HEPES (pH 7.5), 150 mM NaCl, 100 µg/ml BSA and 50% glycerol. Store at –20°C. Do not aliquot the antibody.

Specificity/Sensitivity

Phospho-S6 Ribosomal Protein (Ser235/236) Antibody detects endogenous levels of ribosomal protein S6 only when phosphorylated at serine 235 and 236. This antibody does not detect ribosomal protein S6 phosphorylated at other sites.

Species predicted to react based on 100% sequence homology

Chicken, Xenopus

Source / Purification

Polyclonal antibodies are produced by immunizing animals with a synthetic phosphopeptide corresponding to residues surrounding Ser235 and Ser236 of human ribosomal protein S6. Antibodies are purified by protein A and peptide affinity chromatography.

Background

One way that growth factors and mitogens effectively promote sustained cell growth and proliferation is by upregulating mRNA translation (1,2). Growth factors and mitogens induce the activation of p70 S6 kinase and the subsequent phosphorylation of S6 ribosomal protein. Phosphorylation of S6 ribosomal protein correlates with an increase in translation of mRNA transcripts that contain an oligopyrimidine tract in their 5' untranslated regions (2). These particular mRNA transcripts (5'TOP) encode proteins involved in cell cycle progression, as well as ribosomal proteins and elongation factors necessary for translation (2,3). Important S6 ribosomal protein phosphorylation sites include several residues (Ser235, Ser236, Ser240, and Ser244) located within a small, carboxy-terminal region of S6 protein (4,5).

Species Reactivity

Species reactivity is determined by testing in at least one approved application (e.g., western blot).

Western Blot Buffer

IMPORTANT: For western blots, incubate membrane with diluted primary antibody in 5% w/v BSA, 1X TBS, 0.1% Tween® 20 at 4°C with gentle shaking, overnight.

Applications Key

W: Western Blotting IP: Immunoprecipitation IHC-P: Immunohistochemistry (Paraffin) IF-IC: Immunofluorescence (Immunocytochemistry) FC-FP: Flow Cytometry (Fixed/Permeabilized)

Cross-Reactivity Key

H: Human M: Mouse R: Rat Mk: Monkey Sc: S. cerevisiae

Trademarks and Patents

Cell Signaling Technology is a trademark of Cell Signaling Technology, Inc.

Alexa Fluor is a registered trademark of Life Technologies Corporation.

All other trademarks are the property of their respective owners. Visit cellsignal.com/trademarks for more information.

Limited Uses

Except as otherwise expressly agreed in a writing signed by a legally authorized representative of CST, the following terms apply to Products provided by CST, its affiliates or its distributors. Any Customer's terms and conditions that are in addition to, or different from, those contained herein, unless separately accepted in writing by a legally authorized representative of CST, are rejected and are of no force or effect.

Products are labeled with For Research Use Only or a similar labeling statement and have not been approved, cleared, or licensed by the FDA or other regulatory foreign or domestic entity, for any purpose. Customer shall not use any Product for any diagnostic or therapeutic purpose, or otherwise in any manner that conflicts with its labeling statement. Products sold or licensed by CST are provided for Customer as the end-user and solely for research and development uses. Any use of Product for diagnostic, prophylactic or therapeutic purposes, or any purchase of Product for resale (alone or as a component) or other commercial purpose, requires a separate license from CST. Customer shall (a) not sell, license, loan, donate or otherwise transfer or make available any Product to any third party, whether alone or in combination with other materials, or use the Products to manufacture any commercial products, (b) not copy, modify, reverse engineer, decompile, disassemble or otherwise attempt to discover the underlying structure or technology of the Products, or use the Products for the purpose of developing any products or services that would compete with CST products or services, (c) not alter or remove from the Products any trademarks, trade names, logos, patent or copyright notices or markings, (d) use the Products solely in accordance with CST Product Terms of Sale and any applicable documentation, and (e) comply with any license, terms of service or similar agreement with respect to any third party products or services used by Customer in connection with the Products.

Orders: 877-616-CELL (2355) [email protected] Support: 877-678-TECH (8324) [email protected] Web: cellsignal.com
For Research Use Only. Not for Use in Diagnostic Procedures.

Revision 7

Cell Signaling Technology Logo
Western blot analysis of extracts from 293 cells, untreated or treated with 20% FBS for the indicated time, using , Phospho-S6 Ribosomal Protein (Ser235/236) Antibody (upper) or Phospho-S6 Ribosomal Protein (Ser240/244) Antibody #2215 (lower).
Western Blotting Image 1: Phospho-S6 Ribosomal Protein (Ser235/236) Antibody
Immunohistochemical staining of paraffin-embedded human melanoma, showing cytoplasmic localization of phosphorylated S6 ribosomal protein, using Phospho-S6 Ribosomal Protein (Ser235/236) Antibody.
Immunohistochemistry Image 1: Phospho-S6 Ribosomal Protein (Ser235/236) Antibody
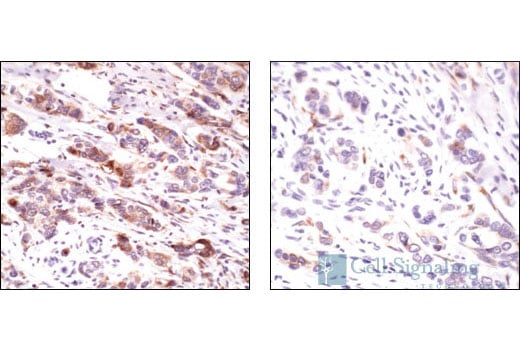
Immunohistochemical analysis of paraffin-embedded human breast carcinoma, untreated (left) or calf-intestinal phosphatase (CIP) treated (right), using Phospho-S6 Ribosomal Protein (Ser235/236) Antibody.
Immunohistochemistry Image 2: Phospho-S6 Ribosomal Protein (Ser235/236) Antibody
Orders: 877-616-CELL (2355) [email protected] Support: 877-678-TECH (8324) [email protected] Web: cellsignal.com
For Research Use Only. Not for Use in Diagnostic Procedures.

Revision 7

Cell Signaling Technology Logo
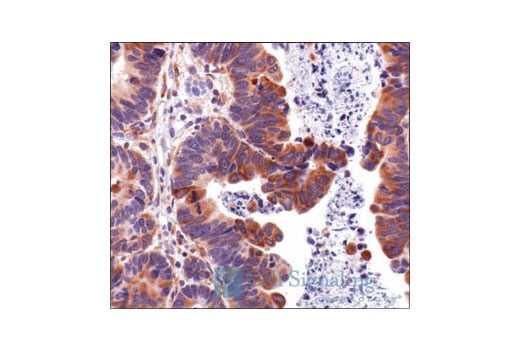
Immunohistochemical analysis of paraffin-embedded human colon carcinoma, using Phospho-S6 Ribosomal Protein (Ser235/236) Antibody.
Immunohistochemistry Image 3: Phospho-S6 Ribosomal Protein (Ser235/236) Antibody
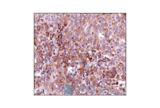
Immunohistochemical analysis of paraffin-embedded human renal cell carcinoma, using Phospho-S6 Ribosomal Protein (Ser235/236) Antibody.
Immunohistochemistry Image 4: Phospho-S6 Ribosomal Protein (Ser235/236) Antibody
Immunohistochemical analysis of paraffin-embedded LNCaP cells, untreated (left) or rapamycin-treated (right), using Phospho-S6 Ribosomal Protein (Ser235/236) Antibody.
Immunohistochemistry Image 5: Phospho-S6 Ribosomal Protein (Ser235/236) Antibody
Orders: 877-616-CELL (2355) [email protected] Support: 877-678-TECH (8324) [email protected] Web: cellsignal.com
For Research Use Only. Not for Use in Diagnostic Procedures.

Revision 7

Cell Signaling Technology Logo
Immunohistochemical analysis of paraffin-embedded human lung carcinoma, using Phospho-S6 Ribosomal Protein (Ser235/236) Antibody.
Immunohistochemistry Image 6: Phospho-S6 Ribosomal Protein (Ser235/236) Antibody
Imunohistochemical analysis of paraffin-embedded human ovarian carcinoma, using Phospho-S6 Ribosomal Protein (Ser235/236) Antibody.
Immunohistochemistry Image 7: Phospho-S6 Ribosomal Protein (Ser235/236) Antibody
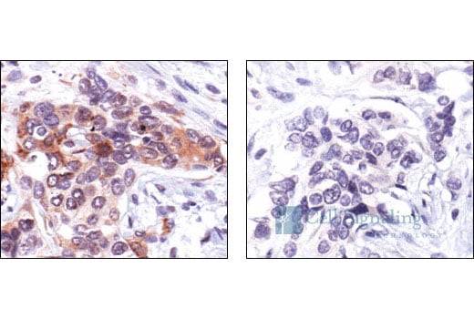
Immunohistochemical analysis of paraffin-embedded human breast carcinoma, using Phospho-S6 Ribosomal Protein (Ser235/236) Antibody preincubated with control peptide (left) or Phospho-S6 Ribosomal Protein (Ser235/236) Blocking Peptide #1220 (right).
Immunohistochemistry Image 8: Phospho-S6 Ribosomal Protein (Ser235/236) Antibody
Orders: 877-616-CELL (2355) [email protected] Support: 877-678-TECH (8324) [email protected] Web: cellsignal.com
For Research Use Only. Not for Use in Diagnostic Procedures.

Revision 7

Cell Signaling Technology Logo
Confocal immunofluorescent analysis of C2C12 cells, either U0126/LY294002/Rapamycin-treated (left) or insulin-treated (right), using Phospho-S6 Ribosomal Protein (Ser235/236) Antibody (green). Actin filaments have been labeled with Alexa Fluor 555 phalloidin (red). Blue pseudocolor = DRAQ5® #4084 (fluorescent DNA dye).
Immunofluorescence Image 1: Phospho-S6 Ribosomal Protein (Ser235/236) Antibody
Flow cytometric analysis of Jurkat cells, untreated (green) or treated with LY294002 #9901, Wortmannin #9951, and U0126 #9903 (50 μM, 1 μM, and 10 μM, 2 hr; blue) using Phospho-S6 Ribosomal Protein (Ser235/236) Antibody (solid lines) or concentration-matched Rabbit (DA1E) mAb IgG XP® Isotype Control #3900 (dashed lines). Anti-rabbit IgG (H+L), F(ab')2 Fragment (Alexa Fluor® 488 Conjugate) #4412 was used as a secondary antibody.
Flow Cytometry Image 1: Phospho-S6 Ribosomal Protein (Ser235/236) Antibody
Orders: 877-616-CELL (2355) [email protected] Support: 877-678-TECH (8324) [email protected] Web: cellsignal.com
For Research Use Only. Not for Use in Diagnostic Procedures.