Revision 11

#2251

Store at -20C

CST Logo
Orders:

877-616-CELL (2355)

[email protected]

Support:

877-678-TECH (8324)

3 Trask Lane | Danvers | Massachusetts | 01923 | USA

For Research Use Only. Not for Use in Diagnostic Procedures.

Applications:
W, IP, IHC-P, IF-IC, FC-FP, ChIP, C&R

Reactivity:
H M R

Sensitivity:
Endogenous

MW (kDa):
38 FosB2 48 FosB

Source/Isotype:
Rabbit IgG

UniProt ID:
#P53539

Entrez-Gene Id:
2354

Product Usage Information

For optimal ChIP results, use 10 μl of antibody and 10 μg of chromatin (approximately 4 x 106 cells) per IP. This antibody has been validated using SimpleChIP® Enzymatic Chromatin IP Kits.

The CUT&RUN dilution was determined using CUT&RUN Assay Kit #86652.

Application Dilution
Western Blotting 1:1000
Immunoprecipitation 1:50
Immunohistochemistry (Paraffin) 1:50 - 1:200
Immunofluorescence (Immunocytochemistry) 1:800 - 1:1600
Flow Cytometry (Fixed/Permeabilized) 1:100 - 1:400
Chromatin IP 1:50
CUT&RUN 1:50

Storage

Supplied in 10 mM sodium HEPES (pH 7.5), 150 mM NaCl, 100 µg/ml BSA, 50% glycerol and less than 0.02% sodium azide. Store at –20°C. Do not aliquot the antibody.

For a carrier free (BSA and azide free) version of this product see product #32170.

Specificity/Sensitivity

FosB (5G4) Rabbit Monoclonal Antibody detects endogenous levels of total FosB protein (both FosB and FosB2 isoforms). This antibody does not cross-react with other Fos proteins, including c-fos, FRA1 and FRA2.

Source / Purification

Monoclonal antibody is produced by immunizing animals with a synthetic peptide corresponding to residues surrounding Ala140 of human FosB protein.

Background

The Fos family of nuclear oncogenes includes c-Fos, FosB, Fos-related antigen 1 (FRA1), and Fos-related antigen 2 (FRA2) (1). While most Fos proteins exist as a single isoform, the FosB protein exists as two isoforms: full-length FosB and a shorter form, FosB2 (Delta FosB), which lacks the carboxy-terminal 101 amino acids (1-3). The expression of Fos proteins is rapidly and transiently induced by a variety of extracellular stimuli, including growth factors, cytokines, neurotransmitters, polypeptide hormones, and stress. Fos proteins dimerize with Jun proteins (c-Jun, JunB, and JunD) to form Activator Protein-1 (AP-1), a transcription factor that binds to TRE/AP-1 elements and activates transcription. Fos and Jun proteins contain the leucine-zipper motif that mediates dimerization and an adjacent basic domain that binds to DNA. The various Fos/Jun heterodimers differ in their ability to transactivate AP-1 dependent genes. In addition to increased expression, phosphorylation of Fos proteins by Erk kinases in response to extracellular stimuli may further increase transcriptional activity (4-6). Phosphorylation of c-Fos at Ser32 and Thr232 by Erk5 increases protein stability and nuclear localization (5). Phosphorylation of FRA1 at Ser252 and Ser265 by Erk1/2 increases protein stability and leads to overexpression of FRA1 in cancer cells (6). Following growth factor stimulation, expression of FosB and c-Fos in quiescent fibroblasts is immediate, but very short-lived, with protein levels dissipating after several hours (7). FRA1 and FRA2 expression persists longer, and appreciable levels can be detected in asynchronously growing cells (8). Deregulated expression of c-Fos, FosB, or FRA2 can result in neoplastic cellular transformation; however, Delta FosB lacks the ability to transform cells (2,3).

Species Reactivity

Species reactivity is determined by testing in at least one approved application (e.g., western blot).

Western Blot Buffer

IMPORTANT: For western blots, incubate membrane with diluted primary antibody in 5% w/v BSA, 1X TBS, 0.1% Tween® 20 at 4°C with gentle shaking, overnight.

Applications Key

W: Western Blotting IP: Immunoprecipitation IHC-P: Immunohistochemistry (Paraffin) IF-IC: Immunofluorescence (Immunocytochemistry) FC-FP: Flow Cytometry (Fixed/Permeabilized) ChIP: Chromatin IP C&R: CUT&RUN

Cross-Reactivity Key

H: Human M: Mouse R: Rat

Trademarks and Patents

Cell Signaling Technology is a trademark of Cell Signaling Technology, Inc.

Alexa Fluor is a registered trademark of Life Technologies Corporation.

All other trademarks are the property of their respective owners. Visit cellsignal.com/trademarks for more information.

Limited Uses

Except as otherwise expressly agreed in a writing signed by a legally authorized representative of CST, the following terms apply to Products provided by CST, its affiliates or its distributors. Any Customer's terms and conditions that are in addition to, or different from, those contained herein, unless separately accepted in writing by a legally authorized representative of CST, are rejected and are of no force or effect.

Products are labeled with For Research Use Only or a similar labeling statement and have not been approved, cleared, or licensed by the FDA or other regulatory foreign or domestic entity, for any purpose. Customer shall not use any Product for any diagnostic or therapeutic purpose, or otherwise in any manner that conflicts with its labeling statement. Products sold or licensed by CST are provided for Customer as the end-user and solely for research and development uses. Any use of Product for diagnostic, prophylactic or therapeutic purposes, or any purchase of Product for resale (alone or as a component) or other commercial purpose, requires a separate license from CST. Customer shall (a) not sell, license, loan, donate or otherwise transfer or make available any Product to any third party, whether alone or in combination with other materials, or use the Products to manufacture any commercial products, (b) not copy, modify, reverse engineer, decompile, disassemble or otherwise attempt to discover the underlying structure or technology of the Products, or use the Products for the purpose of developing any products or services that would compete with CST products or services, (c) not alter or remove from the Products any trademarks, trade names, logos, patent or copyright notices or markings, (d) use the Products solely in accordance with CST Product Terms of Sale and any applicable documentation, and (e) comply with any license, terms of service or similar agreement with respect to any third party products or services used by Customer in connection with the Products.

Orders: 877-616-CELL (2355) [email protected] Support: 877-678-TECH (8324) [email protected] Web: cellsignal.com
For Research Use Only. Not for Use in Diagnostic Procedures.

Revision 11

Cell Signaling Technology Logo
Western blot analysis of extracts from HeLa cells serum-starved overnight and TPA-stimulated for 4 hours, or NIH/3T3 cells and C6 cells serum-starved overnight and serum-stimulated for 4 hours, using FosB (5G4) Rabbit mAb.
Western Blotting Image 1: FosB (5G4) Rabbit Monoclonal Antibody
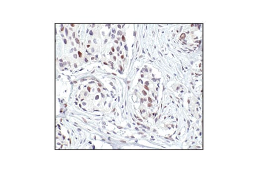
Immunohistochemical analysis of paraffin-embedded human breast carcinoma, using FosB (5G4) Rabbit mAb.
Immunohistochemistry Image 1: FosB (5G4) Rabbit Monoclonal Antibody
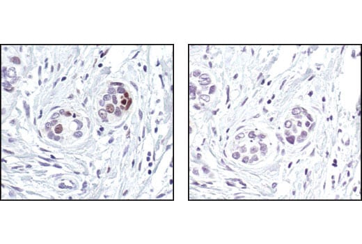
Immunohistochemical analysis of paraffin-embedded human breast carcinoma, using FosB (5G4) Rabbit mAb in the presence of control peptide (left) or FosB Blocking Peptide (right).
Immunohistochemistry Image 2: FosB (5G4) Rabbit Monoclonal Antibody
Orders: 877-616-CELL (2355) [email protected] Support: 877-678-TECH (8324) [email protected] Web: cellsignal.com
For Research Use Only. Not for Use in Diagnostic Procedures.

Revision 11

Cell Signaling Technology Logo
Immunohistochemical analysis of paraffin-embedded HeLa cells control (left) or PMA-treated (right), using FosB (5G4) Rabbit mAb.
Immunohistochemistry Image 3: FosB (5G4) Rabbit Monoclonal Antibody
Confocal immunofluorescent analysis of HeLa cells either serum-starved (left) or TPA-treated (right) and labeled with FosB (5G4) Rabbit mAb (green). Actin filaments have been labeled with Alexa Fluor® 555 phalloidin (red).
Immunofluorescence Image 1: FosB (5G4) Rabbit Monoclonal Antibody
Flow cytometric analysis of HeLa cells, untreated (blue) or treated with TPA #4174 (200 nM, 4 hr; green) using FosB (5G4) Rabbit mAb (solid lines) or concentration-matched Rabbit (DA1E) mAb IgG XP® Isotype Control #3900 (dashed lines). Anti-rabbit IgG (H+L), F(ab')2 Fragment (Alexa Fluor® 488 Conjugate) #4412 was used as a secondary antibody.
Flow Cytometry Image 1: FosB (5G4) Rabbit Monoclonal Antibody
Orders: 877-616-CELL (2355) [email protected] Support: 877-678-TECH (8324) [email protected] Web: cellsignal.com
For Research Use Only. Not for Use in Diagnostic Procedures.

Revision 11

Cell Signaling Technology Logo
Chromatin immunoprecipitations were performed with cross-linked chromatin from PC-12 cells starved overnight and treated with β-NGF (50 ng/ml) for 2 hr and either FosB (5G4) Rabbit mAb or Normal Rabbit IgG #2729 using SimpleChIP® Enzymatic Chromatin IP Kit (Magnetic Beads) #9003. The enriched DNA was quantified by real-time PCR SimpleChIP® Rat CCRN4L Promoter Primers #7983, rat DCLK1 promoter primers, and SimpleChIP® Rat GAPDH Promoter Primers #7964. The amount of immunoprecipitated DNA in each sample is represented as signal relative to the total amount of input chromatin, which is equivalent to one.
Chromatin Immunoprecipitation Image 1: FosB (5G4) Rabbit Monoclonal Antibody
CUT&RUN was performed with PC-12 cells starved overnight and treated with β-NGF (50ng/mL) for 2h and FosB (5G4) Rabbit mAb, using CUT&RUN Assay Kit #86652. DNA Library was prepared using DNA Library Prep Kit for Illumina Systems (ChIP-seq, CUT&RUN) #56795. The figure shows binding across the Adck4 gene.
CUT & RUN Image 1: FosB (5G4) Rabbit Monoclonal Antibody
CUT&RUN was performed with PC-12 cells starved overnight and treated with β-NGF (50ng/mL) for 2h and FosB (5G4) Rabbit mAb, using CUT&RUN Assay Kit #86652. DNA Library was prepared using DNA Library Prep Kit for Illumina Systems (ChIP-seq, CUT&RUN) #56795. The figures show binding across chromosome 1 (upper), including the Adck4 gene (lower).
CUT & RUN Image 2: FosB (5G4) Rabbit Monoclonal Antibody
Orders: 877-616-CELL (2355) [email protected] Support: 877-678-TECH (8324) [email protected] Web: cellsignal.com
For Research Use Only. Not for Use in Diagnostic Procedures.

Revision 11

Cell Signaling Technology Logo
CUT&RUN was performed with PC-12 cells starved overnight and treated with β-NGF (50ng/mL) for 2h and FosB (5G4) Rabbit mAb or Rabbit (DA1E) mAb IgG XP® Isotype Control (CUT&RUN) #66362, using CUT&RUN Assay Kit #86652. The enriched DNA was quantified by real-time PCR using rat Adck4 promoter primers, rat Dclk1 promoter primers, and rat Noct downstream primers. The amount of immunoprecipitated DNA in each sample is represented as signal relative to the total amount of input chromatin, which is equivalent to one.
CUT & RUN Image 3: FosB (5G4) Rabbit Monoclonal Antibody
Orders: 877-616-CELL (2355) [email protected] Support: 877-678-TECH (8324) [email protected] Web: cellsignal.com
For Research Use Only. Not for Use in Diagnostic Procedures.