Revision 16

#23192

Store at +4C

CST Logo
Orders:

877-616-CELL (2355)

[email protected]

Support:

877-678-TECH (8324)

3 Trask Lane | Danvers | Massachusetts | 01923 | USA

For Research Use Only. Not for Use in Diagnostic Procedures.

Applications:
IHC-Bond, IHC-P

Reactivity:
H

Sensitivity:
Endogenous

Source/Isotype:
Mouse IgG1

UniProt ID:
#P43699

Entrez-Gene Id:
7080

Product Usage Information

Application Dilution
IHC Leica Bond 1:100 - 1:400
Immunohistochemistry (Paraffin) 1:50 - 1:200

Storage

Supplied as liquid tissue culture supernatant containing sodium azide as a preservative. Stable for 12 months when stored at 4°C. Do not aliquot the antibody.

Note: This product is only available in the format listed above. We are unable to provide this in a carrier free, custom formulation.

Specificity/Sensitivity

Thyroid Transcription Factor 1 (TTF-1) (SPT24) Mouse Monoclonal Antibody recognizes endogenous levels of TTF-1 protein.

Source / Purification

Monoclonal antibody is produced by immunizing animals with a recombinant protein corresponding to a 123 amino acid fragment of the N-terminal region of human TTF-1 protein.

Background

Thyroid Transcription Factor 1 (TTF-1, also known as NKX2-1), a member of the NKX homeobox transcription factor family, was initially discovered in the FRTL-5 rat thyroid cell line (1). Subsequent studies have shown that TTF-1 plays an important role in differentiation and morphogenesis of the developing thyroid, lung, and ventral forebrain (2). TTF-1 controls the expression of several genes, some of which are tissue specific, such as: thyroglobulin, thyroperoxidase, and the thyrotropin receptor in the thyroid; and surfactant proteins and clara cell secretory protein in the lung (2,3). Investigators have found that TTF-1 is expressed in malignant tumors of the thyroid and lung, and it is commonly used as a marker for both primary and malignant lung cancers (4-6).

Species Reactivity

Species reactivity is determined by testing in at least one approved application (e.g., western blot).

Applications Key

IHC-Bond: IHC Leica Bond IHC-P: Immunohistochemistry (Paraffin)

Cross-Reactivity Key

H: Human

Trademarks and Patents

Cell Signaling Technology is a trademark of Cell Signaling Technology, Inc.

SignalStain is a registered trademark of Cell Signaling Technology, Inc.

All other trademarks are the property of their respective owners. Visit cellsignal.com/trademarks for more information.

Limited Uses

Except as otherwise expressly agreed in a writing signed by a legally authorized representative of CST, the following terms apply to Products provided by CST, its affiliates or its distributors. Any Customer's terms and conditions that are in addition to, or different from, those contained herein, unless separately accepted in writing by a legally authorized representative of CST, are rejected and are of no force or effect.

Products are labeled with For Research Use Only or a similar labeling statement and have not been approved, cleared, or licensed by the FDA or other regulatory foreign or domestic entity, for any purpose. Customer shall not use any Product for any diagnostic or therapeutic purpose, or otherwise in any manner that conflicts with its labeling statement. Products sold or licensed by CST are provided for Customer as the end-user and solely for research and development uses. Any use of Product for diagnostic, prophylactic or therapeutic purposes, or any purchase of Product for resale (alone or as a component) or other commercial purpose, requires a separate license from CST. Customer shall (a) not sell, license, loan, donate or otherwise transfer or make available any Product to any third party, whether alone or in combination with other materials, or use the Products to manufacture any commercial products, (b) not copy, modify, reverse engineer, decompile, disassemble or otherwise attempt to discover the underlying structure or technology of the Products, or use the Products for the purpose of developing any products or services that would compete with CST products or services, (c) not alter or remove from the Products any trademarks, trade names, logos, patent or copyright notices or markings, (d) use the Products solely in accordance with CST Product Terms of Sale and any applicable documentation, and (e) comply with any license, terms of service or similar agreement with respect to any third party products or services used by Customer in connection with the Products.

Orders: 877-616-CELL (2355) [email protected] Support: 877-678-TECH (8324) [email protected] Web: cellsignal.com
For Research Use Only. Not for Use in Diagnostic Procedures.

Revision 16

Cell Signaling Technology Logo
Immunohistochemical analysis of paraffin-embedded human non-small cell lung carcinoma using Thyroid Transcription Factor (TTF-1) (SPT24) Mouse mAb performed on the Leica BOND™ Rx.
Immunohistochemistry Image 1: Thyroid Transcription Factor 1 (TTF-1) (SPT24) Mouse Monoclonal Antibody
Immunohistochemical analysis of paraffin-embedded human non-small cell lung carcinoma using Thyroid Transcription Factor (TTF-1) (SPT24) Mouse mAb performed on the Leica BOND™ Rx.
Immunohistochemistry Image 2: Thyroid Transcription Factor 1 (TTF-1) (SPT24) Mouse Monoclonal Antibody
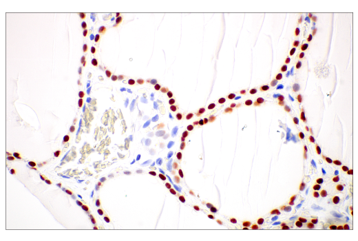
Immunohistochemical analysis of paraffin-embedded normal human thyroid using Thyroid Transcription Factor 1 (TTF-1) (SPT24) Mouse mAb.
Immunohistochemistry Image 1: Thyroid Transcription Factor 1 (TTF-1) (SPT24) Mouse Monoclonal Antibody
Orders: 877-616-CELL (2355) [email protected] Support: 877-678-TECH (8324) [email protected] Web: cellsignal.com
For Research Use Only. Not for Use in Diagnostic Procedures.

Revision 16

Cell Signaling Technology Logo
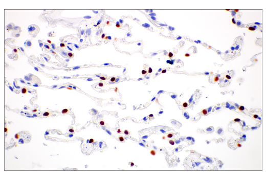
Immunohistochemical analysis of paraffin-embedded normal human lung using Thyroid Transcription Factor 1 (TTF-1) (SPT24) Mouse mAb.
Immunohistochemistry Image 2: Thyroid Transcription Factor 1 (TTF-1) (SPT24) Mouse Monoclonal Antibody
Immunohistochemical analysis of paraffin-embedded human colon carcinoma using Thyroid Transcription Factor 1 (TTF-1) (SPT24) Mouse mAb.
Immunohistochemistry Image 3: Thyroid Transcription Factor 1 (TTF-1) (SPT24) Mouse Monoclonal Antibody
Immunohistochemical analysis of paraffin-embedded human non-small cell lung carcinoma using Thyroid Transcription Factor 1 (TTF-1) (SPT24) Mouse mAb (left) compared to concentration-matched Mouse (G3A1) mAb IgG1 Isotype Control #5415 (right). 
Immunohistochemistry Image 4: Thyroid Transcription Factor 1 (TTF-1) (SPT24) Mouse Monoclonal Antibody
Orders: 877-616-CELL (2355) [email protected] Support: 877-678-TECH (8324) [email protected] Web: cellsignal.com
For Research Use Only. Not for Use in Diagnostic Procedures.

Revision 16

Cell Signaling Technology Logo
Immunohistochemical analysis of paraffin-embedded TT cell pellet (left, positive) or A549 cell pellet (right, negative) using Thyroid Transcription Factor 1 (TTF-1) (SPT24) Mouse mAb.
Immunohistochemistry Image 5: Thyroid Transcription Factor 1 (TTF-1) (SPT24) Mouse Monoclonal Antibody
Orders: 877-616-CELL (2355) [email protected] Support: 877-678-TECH (8324) [email protected] Web: cellsignal.com
For Research Use Only. Not for Use in Diagnostic Procedures.