Revision 4

#23200

Store at -20C

CST Logo
Orders:

877-616-CELL (2355)

[email protected]

Support:

877-678-TECH (8324)

3 Trask Lane | Danvers | Massachusetts | 01923 | USA

For Research Use Only. Not for Use in Diagnostic Procedures.

Applications:
W, W-S, IP, IHC-P, IF-F, IF-IC, FC-FP

Reactivity:
M

Sensitivity:
Endogenous

MW (kDa):
16

Source/Isotype:
Rabbit IgG

UniProt ID:
#P51480

Entrez-Gene Id:
12578

Product Usage Information

Application Dilution
Western Blotting 1:1000
Simple Western™ 1:50 - 1:250
Immunoprecipitation 1:100
Immunohistochemistry (Paraffin) 1:50 - 1:200
Immunofluorescence (Frozen) 1:1600
Immunofluorescence (Immunocytochemistry) 1:1600
Flow Cytometry (Fixed/Permeabilized) 1:100 - 1:400

Storage

Supplied in 10 mM sodium HEPES (pH 7.5), 150 mM NaCl, 100 µg/mL BSA, 50% glycerol, and less than 0.02% sodium azide. Store at –20°C. Do not aliquot the antibody.

For a carrier free (BSA and azide free) version of this product see product #44872.

Specificity/Sensitivity

p16 INK4A (F2T7H) Rabbit Monoclonal Antibody recognizes endogenous levels of total p16 INK4A protein. This antibody does not cross-react with p15 INK4B protein. Non-specific cytoplasmic staining was observed in mouse small intestine epithelium by immunohistochemistry.

Source / Purification

Monoclonal antibody is produced by immunizing animals with recombinant protein specific to full-length mouse p16 INK4A protein. This antibody recognizes residues surrounding Arg156 of mouse p16 INK4A protein.

Background

Members of the INK4 family of cyclin-dependent kinase inhibitors include p16 INK4A, p15 INK4B, p18 INK4C, and p19 INK4D. The INK4 family members inhibit cyclin-dependent kinases 4 and 6 (CDK4 and CDK6), causing cell cycle arrest in G1 phase. The INK4A-ARF-INK4B locus on chromosome 9p21, frequently lost in human cancer, encodes the INK4 family members p16 INK5A and p15 INK4B, as well as the unrelated protein, ARF (1).

p16 INK4A expression, typically repressed in the absence of stress, is thought to drive cells into senescence, and p16 INK4A expression is a commonly used marker of senescent cells (2,3). p16 INK4A protein expression is often altered in human cancer, and high expression is currently used as a predictive biomarker in cervical cancer (3-5).

Species Reactivity

Species reactivity is determined by testing in at least one approved application (e.g., western blot).

Western Blot Buffer

IMPORTANT: For western blots, incubate membrane with diluted primary antibody in 5% w/v BSA, 1X TBS, 0.1% Tween® 20 at 4°C with gentle shaking, overnight.

Applications Key

W: Western Blotting W-S: Simple Western™ IP: Immunoprecipitation IHC-P: Immunohistochemistry (Paraffin) IF-F: Immunofluorescence (Frozen) IF-IC: Immunofluorescence (Immunocytochemistry) FC-FP: Flow Cytometry (Fixed/Permeabilized)

Cross-Reactivity Key

M: Mouse

Trademarks and Patents

Cell Signaling Technology is a trademark of Cell Signaling Technology, Inc.

All other trademarks are the property of their respective owners. Visit cellsignal.com/trademarks for more information.

Limited Uses

Except as otherwise expressly agreed in a writing signed by a legally authorized representative of CST, the following terms apply to Products provided by CST, its affiliates or its distributors. Any Customer's terms and conditions that are in addition to, or different from, those contained herein, unless separately accepted in writing by a legally authorized representative of CST, are rejected and are of no force or effect.

Products are labeled with For Research Use Only or a similar labeling statement and have not been approved, cleared, or licensed by the FDA or other regulatory foreign or domestic entity, for any purpose. Customer shall not use any Product for any diagnostic or therapeutic purpose, or otherwise in any manner that conflicts with its labeling statement. Products sold or licensed by CST are provided for Customer as the end-user and solely for research and development uses. Any use of Product for diagnostic, prophylactic or therapeutic purposes, or any purchase of Product for resale (alone or as a component) or other commercial purpose, requires a separate license from CST. Customer shall (a) not sell, license, loan, donate or otherwise transfer or make available any Product to any third party, whether alone or in combination with other materials, or use the Products to manufacture any commercial products, (b) not copy, modify, reverse engineer, decompile, disassemble or otherwise attempt to discover the underlying structure or technology of the Products, or use the Products for the purpose of developing any products or services that would compete with CST products or services, (c) not alter or remove from the Products any trademarks, trade names, logos, patent or copyright notices or markings, (d) use the Products solely in accordance with CST Product Terms of Sale and any applicable documentation, and (e) comply with any license, terms of service or similar agreement with respect to any third party products or services used by Customer in connection with the Products.

Orders: 877-616-CELL (2355) [email protected] Support: 877-678-TECH (8324) [email protected] Web: cellsignal.com
For Research Use Only. Not for Use in Diagnostic Procedures.

Revision 4

Cell Signaling Technology Logo
Western blot analysis of extracts from various cell lines using p16 INK4A (F2T7H) Rabbit mAb (upper) or GAPDH (D16H11) XP® Rabbit mAb #5174 (lower). Negative expression of p16 INK4A protein in NIH/3T3 cells is consistent with the predicted expression pattern.
Western Blotting Image 1: p16 INK4A (F2T7H) Rabbit Monoclonal Antibody
Western blot analysis of extracts from 293T cells, mock transfected (-) or transfected with constructs expressing full-length mouse p16 INK4A protein (mINK4A-Myc/DDK; +) or full-length mouse p15 INK4B protein (mINK4B-Myc/DDK; +), using p16 INK4A (F2T7H) Rabbit mAb (upper) or Myc-Tag (71D10) Rabbit mAb #2278 (lower).
Western Blotting Image 2: p16 INK4A (F2T7H) Rabbit Monoclonal Antibody
Simple WesternTM analysis of lysates (0.1 mg/mL) from MEF WT cells using p16 INK4A (F2T7H) Rabbit mAb #23200. The virtual lane view (left) shows the target band (as indicated) at 1:50 and 1:250 dilutions of primary antibody.  The corresponding electropherogram view (right) plots chemiluminescence by molecular weight along the capillary at 1:50 (blue line) and 1:250 (green line) dilutions of primary antibody.  This experiment was performed under reducing conditions on the JessTM Simple Western instrument from ProteinSimple, a BioTechne brand, using the 12-230 kDa separation module.
Western Blotting Image 1: p16 INK4A (F2T7H) Rabbit Monoclonal Antibody
Orders: 877-616-CELL (2355) [email protected] Support: 877-678-TECH (8324) [email protected] Web: cellsignal.com
For Research Use Only. Not for Use in Diagnostic Procedures.

Revision 4

Cell Signaling Technology Logo
Immunoprecipitation of p16 INK4A protein from Renca cell extracts. Lane 1 is 10% input, lane 2 is Rabbit (DA1E) mAb IgG XP® Isotype Control #3900, and lane 3 is p16 INK4A (F2T7H) Rabbit mAb. Western blot analysis was performed using p16 INK4A (E5F3Y) Rabbit mAb #29271. Anti-rabbit IgG, HRP-linked Antibody #7074 was used as a secondary antibody.
Immunoprecipitation Image 1: p16 INK4A (F2T7H) Rabbit Monoclonal Antibody

Immunohistochemical analysis of paraffin-embedded GL261 syngeneic tumor using p16 INK4A (F2T7H) Rabbit mAb.

Immunohistochemistry Image 1: p16 INK4A (F2T7H) Rabbit Monoclonal Antibody
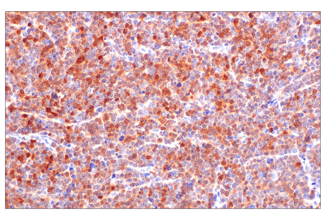
Immunohistochemical analysis of paraffin-embedded A20 syngeneic tumor using p16 INK4A (F2T7H) Rabbit mAb.
Immunohistochemistry Image 2: p16 INK4A (F2T7H) Rabbit Monoclonal Antibody
Orders: 877-616-CELL (2355) [email protected] Support: 877-678-TECH (8324) [email protected] Web: cellsignal.com
For Research Use Only. Not for Use in Diagnostic Procedures.

Revision 4

Cell Signaling Technology Logo

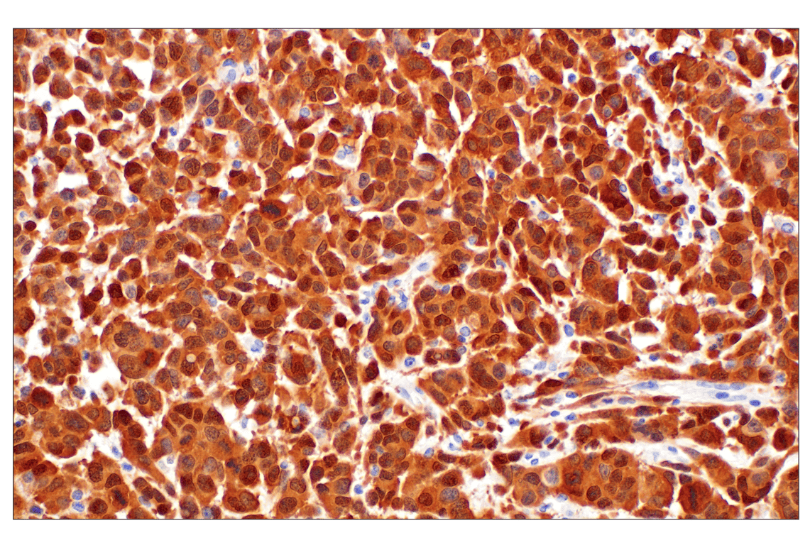
Immunohistochemical analysis of paraffin-embedded 4T1 syngeneic tumor using p16 INK4A (F2T7H) Rabbit mAb.

Immunohistochemistry Image 3: p16 INK4A (F2T7H) Rabbit Monoclonal Antibody

Immunohistochemical analysis of paraffin-embedded mouse spleen using p16 INK4A (F2T7H) Rabbit mAb.

Immunohistochemistry Image 4: p16 INK4A (F2T7H) Rabbit Monoclonal Antibody

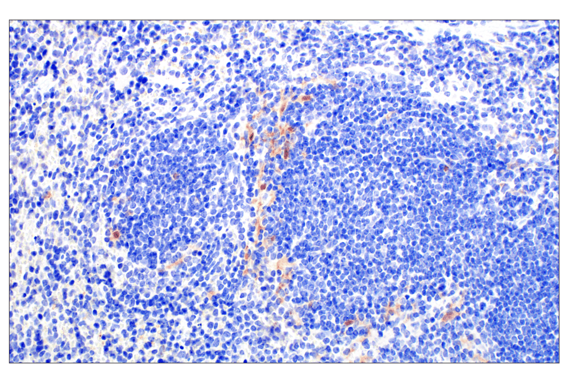
Immunohistochemical analysis of paraffin-embedded mouse thymus using p16 INK4A (F2T7H) Rabbit mAb.

Immunohistochemistry Image 5: p16 INK4A (F2T7H) Rabbit Monoclonal Antibody
Orders: 877-616-CELL (2355) [email protected] Support: 877-678-TECH (8324) [email protected] Web: cellsignal.com
For Research Use Only. Not for Use in Diagnostic Procedures.

Revision 4

Cell Signaling Technology Logo
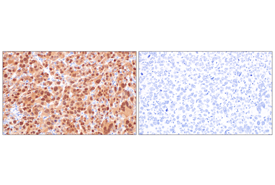
Immunohistochemical analysis of paraffin-embedded Renca syngeneic tumor using p16 INK4A (F2T7H) Rabbit mAb (left) compared to concentration-matched Rabbit (DA1E) mAb IgG XP® Isotype Control #3900 (right).
Immunohistochemistry Image 6: p16 INK4A (F2T7H) Rabbit Monoclonal Antibody
Immunohistochemical analysis of paraffin-embedded Renca cell pellet (left, positive) or NIH/3T3 cell pellet (right, negative) using p16 INK4A (F2T7H) Rabbit mAb.
Immunohistochemistry Image 7: p16 INK4A (F2T7H) Rabbit Monoclonal Antibody
Confocal immunofluorescent analysis of fixed frozen GL261 syngeneic tumor using p16 INK4A (F2T7H) Rabbit mAb (left) or no primary antibody (right) followed by detection with Anti-rabbit IgG (H+L), F(ab')2 Fragment (Alexa Fluor® 488 Conjugate) #4412 (green). Sections were mounted in ProLong Gold Antifade Reagent with DAPI #8961 (blue).
Immunofluorescence Image 1: p16 INK4A (F2T7H) Rabbit Monoclonal Antibody
Orders: 877-616-CELL (2355) [email protected] Support: 877-678-TECH (8324) [email protected] Web: cellsignal.com
For Research Use Only. Not for Use in Diagnostic Procedures.

Revision 4

Cell Signaling Technology Logo
Confocal immunofluorescent analysis of Renca cells (left, positive) and C2C12 cells (right, negative) using p16 INK4A (F2T7H) Rabbit mAb (green), DyLight 554 Phalloidin #13054 (red), and DAPI #4083 (blue).
Immunofluorescence Image 1: p16 INK4A (F2T7H) Rabbit Monoclonal Antibody
Flow cytometric analysis of NIH/3T3 cells (blue, negative) and MEF cells (green, positive) using p16 INK4A (F2T7H) Rabbit mAb (solid lines) or concentration matched Rabbit (DA1E) mAb IgG XP® Isotype Control #3900 (dashed lines). Anti-rabbit IgG (H+L), F(ab')2 Fragment (Alexa Fluor® 488 Conjugate) #4412 was used as a secondary antibody.
Flow Cytometry Image 1: p16 INK4A (F2T7H) Rabbit Monoclonal Antibody
Orders: 877-616-CELL (2355) [email protected] Support: 877-678-TECH (8324) [email protected] Web: cellsignal.com
For Research Use Only. Not for Use in Diagnostic Procedures.