Revision 1

#2325

Store at -20C

CST Logo
Orders:

877-616-CELL (2355)

[email protected]

Support:

877-678-TECH (8324)

3 Trask Lane | Danvers | Massachusetts | 01923 | USA

For Research Use Only. Not for Use in Diagnostic Procedures.

Applications:
W, IP, IHC-P, E-P

Reactivity:
All

Sensitivity:
Endogenous

Source/Isotype:
Rabbit IgG

Product Usage Information

Application Dilution
Western Blotting 1:1000
Immunoprecipitation 1:50
Immunohistochemistry (Paraffin) 1:200
Peptide ELISA (DELFIA) 1:1000

Storage

Supplied in 10 mM sodium HEPES (pH 7.5), 150 mM NaCl, 100 µg/ml BSA, 50% glycerol and less than 0.02% sodium azide. Store at –20°C. Do not aliquot the antibody.

Specificity/Sensitivity

Phospho-MAPK/CDK Substrates (PXS*P or S*PXR/K) (34B2) Rabbit Monoclonal Antibody detects phospho-serine in a PXS*P or S*PXR/K motif, as well as a PXS*PXR/K motif. This antibody is phospho-specific, and does not react with phospho-threonine- or phospho-tyrosine-containing peptides/proteins.

Source / Purification

Monoclonal antibody is produced by immunizing animals with synthetic phospho-MAPK/CDK substrate peptides .

Background

The MAPK and CDK families of serine/threonine protein kinases play important roles in proliferation and cell cycle control. These kinases phosphorylate threonine or serine followed by a proline residue (1-3). MAPK phosphorylates substrates with the consensus sequence PX(S/T)P, and CDKs phosphorylate substrates containing the consensus sequence (S/T)PXR/K. Cell Signaling Technology has developed antibodies that bind to phospho-threonine followed by proline, motifs PXS*/T*P and/or S*PXR/K, for use in the study and discovery of new MAPK and CDK substrates (4,5).

Species Reactivity

Species reactivity is determined by testing in at least one approved application (e.g., western blot).

Western Blot Buffer

IMPORTANT: For western blots, incubate membrane with diluted primary antibody in 5% w/v BSA, 1X TBS, 0.1% Tween® 20 at 4°C with gentle shaking, overnight.

Applications Key

W: Western Blotting IP: Immunoprecipitation IHC-P: Immunohistochemistry (Paraffin) E-P: Peptide ELISA (DELFIA)

Cross-Reactivity Key

All: All Species Expected

Trademarks and Patents

Cell Signaling Technology is a trademark of Cell Signaling Technology, Inc.

All other trademarks are the property of their respective owners. Visit cellsignal.com/trademarks for more information.

Limited Uses

Except as otherwise expressly agreed in a writing signed by a legally authorized representative of CST, the following terms apply to Products provided by CST, its affiliates or its distributors. Any Customer's terms and conditions that are in addition to, or different from, those contained herein, unless separately accepted in writing by a legally authorized representative of CST, are rejected and are of no force or effect.

Products are labeled with For Research Use Only or a similar labeling statement and have not been approved, cleared, or licensed by the FDA or other regulatory foreign or domestic entity, for any purpose. Customer shall not use any Product for any diagnostic or therapeutic purpose, or otherwise in any manner that conflicts with its labeling statement. Products sold or licensed by CST are provided for Customer as the end-user and solely for research and development uses. Any use of Product for diagnostic, prophylactic or therapeutic purposes, or any purchase of Product for resale (alone or as a component) or other commercial purpose, requires a separate license from CST. Customer shall (a) not sell, license, loan, donate or otherwise transfer or make available any Product to any third party, whether alone or in combination with other materials, or use the Products to manufacture any commercial products, (b) not copy, modify, reverse engineer, decompile, disassemble or otherwise attempt to discover the underlying structure or technology of the Products, or use the Products for the purpose of developing any products or services that would compete with CST products or services, (c) not alter or remove from the Products any trademarks, trade names, logos, patent or copyright notices or markings, (d) use the Products solely in accordance with CST Product Terms of Sale and any applicable documentation, and (e) comply with any license, terms of service or similar agreement with respect to any third party products or services used by Customer in connection with the Products.

Orders: 877-616-CELL (2355) [email protected] Support: 877-678-TECH (8324) [email protected] Web: cellsignal.com
For Research Use Only. Not for Use in Diagnostic Procedures.

Revision 1

Cell Signaling Technology Logo
Western blot analysis of extracts from serum-starved A431 cells, untreated or treated in culture with EGF, and HeLa cells, untreated, hydroxyurea-treated (G1/S) or Nocodazole-treated (G2/M), using Phospho-MAPK/CDK Substrate (PXS*P or S*PXR/K) (34B2) Rabbit mAb.
Western Blotting Image 1: Phospho-MAPK/CDK Substrates (PXS*P or S*PXR/K) (34B2) Rabbit Monoclonal Antibody
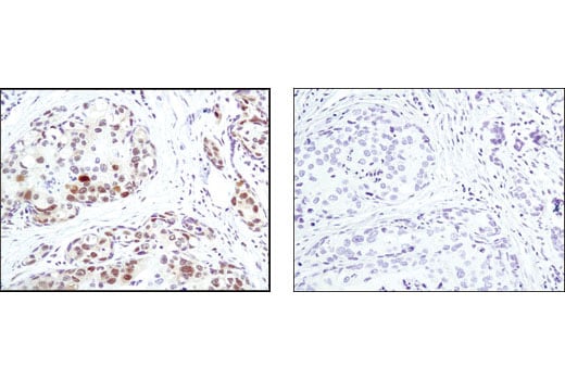
Immunohistochemical analysis of paraffin-embedded human breast carcinoma, control (left) or lambda phosphatase-treated (right), using Phospho-MAPK/CDK Substrates (PXS*P or S*PXR/K) (34B2) Rabbit mAb.
Immunohistochemistry Image 1: Phospho-MAPK/CDK Substrates (PXS*P or S*PXR/K) (34B2) Rabbit Monoclonal Antibody
Immunohistochemical analysis of paraffin-embedded human colon carcinoma, using Phospho-MAPK/CDK Substrate (PXS*P or S*PXR/K) (34B2) Rabbit mAb.
Immunohistochemistry Image 2: Phospho-MAPK/CDK Substrates (PXS*P or S*PXR/K) (34B2) Rabbit Monoclonal Antibody
Orders: 877-616-CELL (2355) [email protected] Support: 877-678-TECH (8324) [email protected] Web: cellsignal.com
For Research Use Only. Not for Use in Diagnostic Procedures.

Revision 1

Cell Signaling Technology Logo
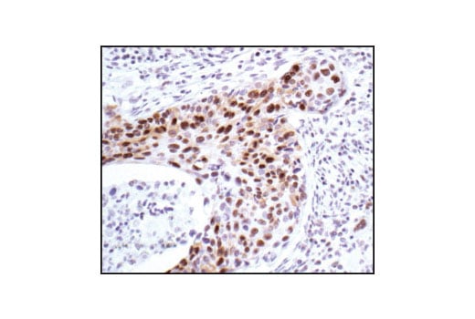
Immunohistochemical analysis of paraffin-embedded human lung carcinoma, using Phospho-MAPK/CDK Substrate (PXS*P or S*PXR/K) (34B2) Rabbit mAb.
Immunohistochemistry Image 3: Phospho-MAPK/CDK Substrates (PXS*P or S*PXR/K) (34B2) Rabbit Monoclonal Antibody
Phospho-MAPK/CDK Substrate (PXS*P or S*PXR/K) (34B2) Rabbit mAb ELISA Assay: Signal-to-noise ratio of phospho- versus nonphospho-peptides. (S* denotes phosphorylated serine.)
E Image 1: Phospho-MAPK/CDK Substrates (PXS*P or S*PXR/K) (34B2) Rabbit Monoclonal Antibody
Orders: 877-616-CELL (2355) [email protected] Support: 877-678-TECH (8324) [email protected] Web: cellsignal.com
For Research Use Only. Not for Use in Diagnostic Procedures.