Revision 5

#23303

Store at -20C

CST Logo
Orders:

877-616-CELL (2355)

[email protected]

Support:

877-678-TECH (8324)

3 Trask Lane | Danvers | Massachusetts | 01923 | USA

For Research Use Only. Not for Use in Diagnostic Procedures.

Applications:
W, IP, IHC-P, eCLIP

Reactivity:
H M R Mk

Sensitivity:
Endogenous

MW (kDa):
65

Source/Isotype:
Rabbit IgG

UniProt ID:
#Q53GS9

Entrez-Gene Id:
10713

Product Usage Information

Application Dilution
Western Blotting 1:1000
Immunoprecipitation 1:50
Immunohistochemistry (Paraffin) 1:100 - 1:400
eCLIP 1:200
For more information about the RBP-eCLIP service please visit Eclipsebio.

Storage

Supplied in 10 mM sodium HEPES (pH 7.5), 150 mM NaCl, 100 µg/ml BSA, 50% glycerol and less than 0.02% sodium azide. Store at –20°C. Do not aliquot the antibody.

Specificity/Sensitivity

USP39 (E8U2M) Rabbit Monoclonal Antibody recognizes endogenous levels of total USP39 protein. This antibody may detect an 80 kDa band of unknown origin by western blotting. Cytoplasmic staining of uncertain specificity was observed in human brain by immunohistochemistry.

Source / Purification

Monoclonal antibody is produced by immunizing animals with a synthetic peptide corresponding to residues surrounding Ala367 of human USP39 protein.

Background

Ubiquitin specific protease 39 (USP39) is a 65 kDa protein that plays an important role in pre-mRNA splicing, as well as mitotic spindle formation. It displays significant homology with ubiquitin C-terminal hydrolase proteins (UCHs), containing both an N-terminal zinc finger domain as well as UCH-1 and UCH-2-like domains also observed in the UCH2 family of proteins (1). However, USP39 lacks a catalytic cysteine residue found in UCHs and has been shown experimentally to lack peptidase activity (2). USP39 associates with the U4/U6-U5 tri-small nuclear ribonucleoprotein (U4/U6-U5 tri-snRNP) complex and is necessary for the formation of the mature spliceosome. Silencing of USP39 has been shown to adversely affect chromosome segregation and cytokinesis in U-2 OS cells, likely due to improper splicing of Aurora B and other mRNAs necessary for mitotic spindle formation and checkpoint function (2). In addition, USP39 has been found to be overexpressed in many types of cancers, and in most cases is associated with tumor progression and poor prognosis. Overexpression has been observed in pancreatic (3), prostate (4), colorectal (5,6), lung (6,7), gastric (8), and triple negative breast cancers (9), as well as melanoma (10) and hepatocellular carcinoma (11,12).

Species Reactivity

Species reactivity is determined by testing in at least one approved application (e.g., western blot).

Western Blot Buffer

IMPORTANT: For western blots, incubate membrane with diluted primary antibody in 5% w/v nonfat dry milk, 1X TBS, 0.1% Tween® 20 at 4°C with gentle shaking, overnight.

Applications Key

W: Western Blotting IP: Immunoprecipitation IHC-P: Immunohistochemistry (Paraffin) eCLIP: eCLIP

Cross-Reactivity Key

H: Human M: Mouse R: Rat Mk: Monkey

Trademarks and Patents

Cell Signaling Technology is a trademark of Cell Signaling Technology, Inc.

SignalStain is a registered trademark of Cell Signaling Technology, Inc.

All other trademarks are the property of their respective owners. Visit cellsignal.com/trademarks for more information.

Limited Uses

Except as otherwise expressly agreed in a writing signed by a legally authorized representative of CST, the following terms apply to Products provided by CST, its affiliates or its distributors. Any Customer's terms and conditions that are in addition to, or different from, those contained herein, unless separately accepted in writing by a legally authorized representative of CST, are rejected and are of no force or effect.

Products are labeled with For Research Use Only or a similar labeling statement and have not been approved, cleared, or licensed by the FDA or other regulatory foreign or domestic entity, for any purpose. Customer shall not use any Product for any diagnostic or therapeutic purpose, or otherwise in any manner that conflicts with its labeling statement. Products sold or licensed by CST are provided for Customer as the end-user and solely for research and development uses. Any use of Product for diagnostic, prophylactic or therapeutic purposes, or any purchase of Product for resale (alone or as a component) or other commercial purpose, requires a separate license from CST. Customer shall (a) not sell, license, loan, donate or otherwise transfer or make available any Product to any third party, whether alone or in combination with other materials, or use the Products to manufacture any commercial products, (b) not copy, modify, reverse engineer, decompile, disassemble or otherwise attempt to discover the underlying structure or technology of the Products, or use the Products for the purpose of developing any products or services that would compete with CST products or services, (c) not alter or remove from the Products any trademarks, trade names, logos, patent or copyright notices or markings, (d) use the Products solely in accordance with CST Product Terms of Sale and any applicable documentation, and (e) comply with any license, terms of service or similar agreement with respect to any third party products or services used by Customer in connection with the Products.

Orders: 877-616-CELL (2355) [email protected] Support: 877-678-TECH (8324) [email protected] Web: cellsignal.com
For Research Use Only. Not for Use in Diagnostic Procedures.

Revision 5

Cell Signaling Technology Logo
Western blot analysis of extracts from various cell lines using USP39 (E8U2M) Rabbit mAb.
Western Blotting Image 1: USP39 (E8U2M) Rabbit Monoclonal Antibody
Western blot analysis of extracts from various cell lines using USP39 (E8U2M) Rabbit mAb.
Western Blotting Image 2: USP39 (E8U2M) Rabbit Monoclonal Antibody
Immunoprecipitation of USP39 protein from K-562 cell extracts. Lane 1 is 10% input, lane 2 is Rabbit (DA1E) mAb IgG XP® Isotype Control #3900, and lane 3 is USP39 (E8U2M) Rabbit mAb. Western blot analysis was performed using USP39 (E8U2M) Rabbit mAb. Mouse Anti-rabbit IgG (Conformation Specific) (L27A9) mAb (HRP Conjugate) #5127 was used as the secondary antibody.
Immunoprecipitation Image 1: USP39 (E8U2M) Rabbit Monoclonal Antibody
Orders: 877-616-CELL (2355) [email protected] Support: 877-678-TECH (8324) [email protected] Web: cellsignal.com
For Research Use Only. Not for Use in Diagnostic Procedures.

Revision 5

Cell Signaling Technology Logo
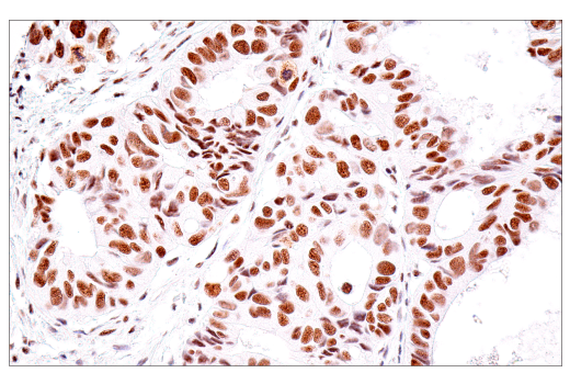
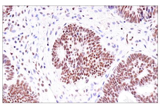
Immunohistochemical analysis of paraffin-embedded human prostate carcinoma using USP39 (E8U2M) Rabbit mAb.
Immunohistochemistry Image 1: USP39 (E8U2M) Rabbit Monoclonal Antibody
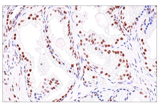
Immunohistochemical analysis of paraffin-embedded human endometrioid adenocarcinoma using USP39 (E8U2M) Rabbit mAb.
Immunohistochemistry Image 2: USP39 (E8U2M) Rabbit Monoclonal Antibody
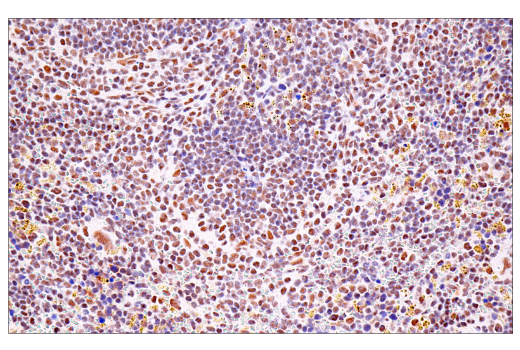
Immunohistochemical analysis of paraffin-embedded human B-cell non-Hodgkin lymphoma using USP39 (E8U2M) Rabbit mAb.
Immunohistochemistry Image 3: USP39 (E8U2M) Rabbit Monoclonal Antibody
Orders: 877-616-CELL (2355) [email protected] Support: 877-678-TECH (8324) [email protected] Web: cellsignal.com
For Research Use Only. Not for Use in Diagnostic Procedures.

Revision 5

Cell Signaling Technology Logo
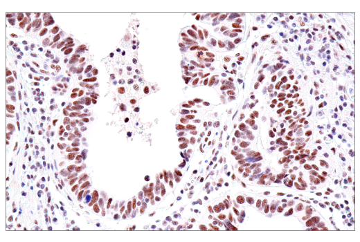
Immunohistochemical analysis of paraffin-embedded human urothelial carcinoma using USP39 (E8U2M) Rabbit mAb.
Immunohistochemistry Image 4: USP39 (E8U2M) Rabbit Monoclonal Antibody
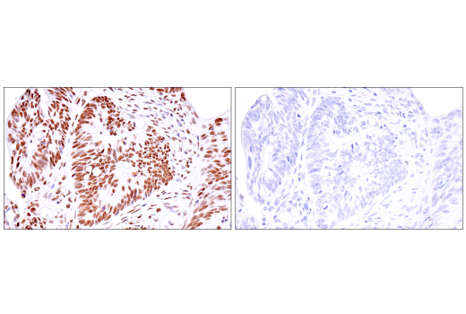
Immunohistochemical analysis of paraffin-embedded human colon carcinoma using USP39 (E8U2M) Rabbit mAb (left) compared to concentration-matched Rabbit (DA1E) mAb IgG XP® Isotype Control #3900 (right).
Immunohistochemistry Image 5: USP39 (E8U2M) Rabbit Monoclonal Antibody
Immunohistochemical analysis of paraffin-embedded human tonsil (left) and skeletal muscle (right) using USP39 (E8U2M) Rabbit mAb.
Immunohistochemistry Image 6: USP39 (E8U2M) Rabbit Monoclonal Antibody
Orders: 877-616-CELL (2355) [email protected] Support: 877-678-TECH (8324) [email protected] Web: cellsignal.com
For Research Use Only. Not for Use in Diagnostic Procedures.

Revision 5

Cell Signaling Technology Logo
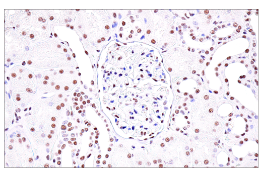
Immunohistochemical analysis of paraffin-embedded normal human kidney using USP39 (E8U2M) Rabbit mAb.
Immunohistochemistry Image 7: USP39 (E8U2M) Rabbit Monoclonal Antibody
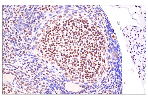
Immunohistochemical analysis of paraffin-embedded normal human testis using USP39 (E8U2M) Rabbit mAb.
Immunohistochemistry Image 8: USP39 (E8U2M) Rabbit Monoclonal Antibody
Immunohistochemical analysis of paraffin-embedded normal human prostate using USP39 (E8U2M) Rabbit mAb.
Immunohistochemistry Image 9: USP39 (E8U2M) Rabbit Monoclonal Antibody
Orders: 877-616-CELL (2355) [email protected] Support: 877-678-TECH (8324) [email protected] Web: cellsignal.com
For Research Use Only. Not for Use in Diagnostic Procedures.

Revision 5

Cell Signaling Technology Logo
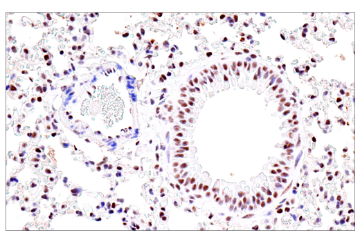
Immunohistochemical analysis of paraffin-embedded mouse lung using USP39 (E8U2M) Rabbit mAb.
Immunohistochemistry Image 10: USP39 (E8U2M) Rabbit Monoclonal Antibody
Immunohistochemical analysis of paraffin-embedded mouse colon using USP39 (E8U2M) Rabbit mAb.
Immunohistochemistry Image 11: USP39 (E8U2M) Rabbit Monoclonal Antibody
Immunohistochemical analysis of paraffin-embedded mouse ovary using USP39 (E8U2M) Rabbit mAb.
Immunohistochemistry Image 12: USP39 (E8U2M) Rabbit Monoclonal Antibody
Orders: 877-616-CELL (2355) [email protected] Support: 877-678-TECH (8324) [email protected] Web: cellsignal.com
For Research Use Only. Not for Use in Diagnostic Procedures.

Revision 5

Cell Signaling Technology Logo
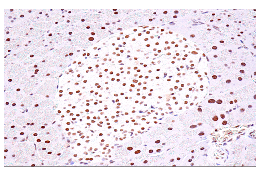
Immunohistochemical analysis of paraffin-embedded mouse pancreas using USP39 (E8U2M) Rabbit mAb.
Immunohistochemistry Image 13: USP39 (E8U2M) Rabbit Monoclonal Antibody
Immunohistochemical analysis of paraffin-embedded mouse spleen using USP39 (E8U2M) Rabbit mAb.
Immunohistochemistry Image 14: USP39 (E8U2M) Rabbit Monoclonal Antibody
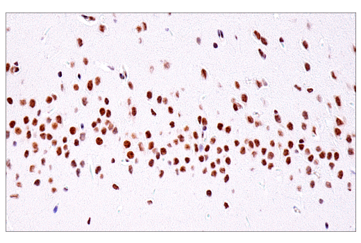
Immunohistochemical analysis of paraffin-embedded mouse brain using USP39 (E8U2M) Rabbit mAb.
Immunohistochemistry Image 15: USP39 (E8U2M) Rabbit Monoclonal Antibody
Orders: 877-616-CELL (2355) [email protected] Support: 877-678-TECH (8324) [email protected] Web: cellsignal.com
For Research Use Only. Not for Use in Diagnostic Procedures.

Revision 5

Cell Signaling Technology Logo
Enhanced cross-linking and immunoprecipitation (eCLIP) was performed with RNA from K-562 cells and USP39 (E8U2M) Rabbit mAb using a protocol based on the RBP-eCLIP method from EclipseBio. The figure shows binding across the PIGQ transcript. Data is kindly provided by the laboratory of Dr. Gene Yeo and used with permission.
eCLIP Image 1: USP39 (E8U2M) Rabbit Monoclonal Antibody
Orders: 877-616-CELL (2355) [email protected] Support: 877-678-TECH (8324) [email protected] Web: cellsignal.com
For Research Use Only. Not for Use in Diagnostic Procedures.