Revision 3

#23920

Store at -20C

CST Logo
Orders:

877-616-CELL (2355)

[email protected]

Support:

877-678-TECH (8324)

3 Trask Lane | Danvers | Massachusetts | 01923 | USA

For Research Use Only. Not for Use in Diagnostic Procedures.

Applications:
W, W-S

Reactivity:
H

Sensitivity:
Endogenous

MW (kDa):
136, 118

Source/Isotype:
Rabbit IgG

UniProt ID:
#Q14432

Entrez-Gene Id:
5139

Product Usage Information

Application Dilution
Western Blotting 1:1000
Simple Western™ 1:10 - 1:50

Storage

Supplied in 10 mM sodium HEPES (pH 7.5), 150 mM NaCl, 100 µg/mL BSA, 50% glycerol, and less than 0.02% sodium azide. Store at –20°C. Do not aliquot the antibody.

Specificity/Sensitivity

PDE3A (F7I6O) Rabbit Monoclonal Antibody recognizes endogenous levels of total PDE3A protein. This antibody recognizes PDE3A1 and PDE3A2 isoforms but does not recognize PDE3A3 isoform.

Source / Purification

Monoclonal antibody is produced by immunizing animals with a synthetic peptide corresponding to residues surrounding Val395 of human PDE3A1 protein.

Background

PDE3A is a member of the cyclic nucleotide phosphodiesterase (PDE) superfamily (1). The protein is a cAMP phosphodiesterase inhibited by cGMP. PDE3A regulates cAMP-activated signaling pathways through hydrolysis of cAMP (2). There are three isoforms of PDE3A: PDE3A1 (136 kDa), PDE3A2 (118 kDa), and PDE3A3 (94 kDa). They are generated by alternative splicing of the PDE3A gene. All PDE3A isoforms share the same catalytic domain and promote cAMP hydrolysis in distinct but overlapped intracellular compartments (3). PDE3A has been shown to promote platelet aggregation, pulmonary thrombosis, and increased heart rate (4). The elevated phosphodiesterase activity from gain-of-function mutations in the PDE3A gene leads to hypertension without cardiac damage (5). The compound DNMDP and synthetic molecular glue molecules promote PDE3A/Schlafen 12 (SLFN12) heterotetrameric complex formation, leading to a cytotoxic response in cancer cells that express high levels of these two proteins. Inducing this complex formation poses a potential therapeutic treatment in human cancer (6-8).

Species Reactivity

Species reactivity is determined by testing in at least one approved application (e.g., western blot).

Western Blot Buffer

IMPORTANT: For western blots, incubate membrane with diluted primary antibody in 5% w/v BSA, 1X TBS, 0.1% Tween® 20 at 4°C with gentle shaking, overnight.

Applications Key

W: Western Blotting W-S: Simple Western™

Cross-Reactivity Key

H: Human

Trademarks and Patents

Cell Signaling Technology is a trademark of Cell Signaling Technology, Inc.

All other trademarks are the property of their respective owners. Visit cellsignal.com/trademarks for more information.

Limited Uses

Except as otherwise expressly agreed in a writing signed by a legally authorized representative of CST, the following terms apply to Products provided by CST, its affiliates or its distributors. Any Customer's terms and conditions that are in addition to, or different from, those contained herein, unless separately accepted in writing by a legally authorized representative of CST, are rejected and are of no force or effect.

Products are labeled with For Research Use Only or a similar labeling statement and have not been approved, cleared, or licensed by the FDA or other regulatory foreign or domestic entity, for any purpose. Customer shall not use any Product for any diagnostic or therapeutic purpose, or otherwise in any manner that conflicts with its labeling statement. Products sold or licensed by CST are provided for Customer as the end-user and solely for research and development uses. Any use of Product for diagnostic, prophylactic or therapeutic purposes, or any purchase of Product for resale (alone or as a component) or other commercial purpose, requires a separate license from CST. Customer shall (a) not sell, license, loan, donate or otherwise transfer or make available any Product to any third party, whether alone or in combination with other materials, or use the Products to manufacture any commercial products, (b) not copy, modify, reverse engineer, decompile, disassemble or otherwise attempt to discover the underlying structure or technology of the Products, or use the Products for the purpose of developing any products or services that would compete with CST products or services, (c) not alter or remove from the Products any trademarks, trade names, logos, patent or copyright notices or markings, (d) use the Products solely in accordance with CST Product Terms of Sale and any applicable documentation, and (e) comply with any license, terms of service or similar agreement with respect to any third party products or services used by Customer in connection with the Products.

Orders: 877-616-CELL (2355) [email protected] Support: 877-678-TECH (8324) [email protected] Web: cellsignal.com
For Research Use Only. Not for Use in Diagnostic Procedures.

Revision 3

Cell Signaling Technology Logo
Western blot analysis of extracts from 293T cells, mock transfected (-) or transfected with a construct expressing Myc/DDK-tagged full-length human PDE3A (hPDE3A-Myc/DDK; +), using PDE3A (F7I6O) Rabbit mAb (upper), Myc-Tag (71D10) Rabbit mAb #2278 (middle), or GAPDH (D16H11) XP® Rabbit mAb #5174 (lower).
Western Blotting Image 1: PDE3A (F7I6O) Rabbit Monoclonal Antibody
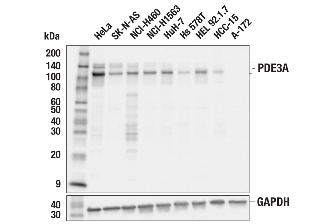
Western blot analysis of extracts from various cell lines using PDE3A (F7I6O) Rabbit mAb (upper) or GAPDH (D16H11) XP® Rabbit mAb #5174 (lower). Negative expression of PDE3A protein in A-172 cells is consistent with the predicted expression pattern.
Western Blotting Image 2: PDE3A (F7I6O) Rabbit Monoclonal Antibody
Simple WesternTM analysis of lysates (0.1 mg/mL) from HeLa cells using PDE3A (F7I6O) Rabbit mAb, #23920. The virtual lane view (left) shows the target band (as indicated) at 1:10 and 1:50 dilutions of primary antibody. The corresponding electropherogram view (right) plots chemiluminescence by molecular weight along the capillary at 1:10 (blue line) and 1:50 (green line) dilutions of primary antibody. This experiment was performed under reducing conditions on the JessTM Simple Western instrument from ProteinSimple, a BioTechne brand, using the 12-230 kDa separation module.
Western Blotting Image 1: PDE3A (F7I6O) Rabbit Monoclonal Antibody
Orders: 877-616-CELL (2355) [email protected] Support: 877-678-TECH (8324) [email protected] Web: cellsignal.com
For Research Use Only. Not for Use in Diagnostic Procedures.