Revision 3

#2401

Store at -20C

CST Logo
Orders:

877-616-CELL (2355)

[email protected]

Support:

877-678-TECH (8324)

3 Trask Lane | Danvers | Massachusetts | 01923 | USA

For Research Use Only. Not for Use in Diagnostic Procedures.

Applications:
W, IHC-P, IF-IC

Reactivity:
H M R Mk

Sensitivity:
Endogenous

MW (kDa):
27

Source/Isotype:
Rabbit

UniProt ID:
#P04792

Entrez-Gene Id:
3315

Product Usage Information

Application Dilution
Western Blotting 1:1000
Immunohistochemistry (Paraffin) 1:50
Immunofluorescence (Immunocytochemistry) 1:25

Storage

Supplied in 10 mM sodium HEPES (pH 7.5), 150 mM NaCl, 100 µg/ml BSA and 50% glycerol. Store at –20°C. Do not aliquot the antibody.

Specificity/Sensitivity

Phospho-HSP27 (Ser82) Antibody detects endogenous HSP27 only when phosphorylated at serine 82. This antibody does not recognize other heat shock proteins.

Source / Purification

Polyclonal antibodies are produced by immunizing animals with a synthetic phospho-peptide corresponding to residues surrounding Ser82 of human HSP27. Antibodies are purified by protein A and peptide affinity chromatography.

Background

Heat shock protein (HSP) 27 is one of the small HSPs that are constitutively expressed at different levels in various cell types and tissues. Like other small HSPs, HSP27 is regulated at both the transcriptional and posttranslational levels (1). In response to stress, the HSP27 expression increases several-fold to confer cellular resistance to the adverse environmental change. HSP27 is phosphorylated at Ser15, Ser78, and Ser82 by MAPKAPK-2 as a result of the activation of the p38 MAP kinase pathway (2,3). Phosphorylation of HSP27 causes a change in its tertiary structure, which shifts from large homotypic multimers to dimers and monomers (4). It has been shown that phosphorylation and increased concentration of HSP27 modulates actin polymerization and reorganization (5,6).

Species Reactivity

Species reactivity is determined by testing in at least one approved application (e.g., western blot).

Western Blot Buffer

IMPORTANT: For western blots, incubate membrane with diluted primary antibody in 5% w/v BSA, 1X TBS, 0.1% Tween® 20 at 4°C with gentle shaking, overnight.

Applications Key

W: Western Blotting IHC-P: Immunohistochemistry (Paraffin) IF-IC: Immunofluorescence (Immunocytochemistry)

Cross-Reactivity Key

H: Human M: Mouse R: Rat Mk: Monkey

Trademarks and Patents

Cell Signaling Technology is a trademark of Cell Signaling Technology, Inc.

Alexa Fluor is a registered trademark of Life Technologies Corporation.

All other trademarks are the property of their respective owners. Visit cellsignal.com/trademarks for more information.

Limited Uses

Except as otherwise expressly agreed in a writing signed by a legally authorized representative of CST, the following terms apply to Products provided by CST, its affiliates or its distributors. Any Customer's terms and conditions that are in addition to, or different from, those contained herein, unless separately accepted in writing by a legally authorized representative of CST, are rejected and are of no force or effect.

Products are labeled with For Research Use Only or a similar labeling statement and have not been approved, cleared, or licensed by the FDA or other regulatory foreign or domestic entity, for any purpose. Customer shall not use any Product for any diagnostic or therapeutic purpose, or otherwise in any manner that conflicts with its labeling statement. Products sold or licensed by CST are provided for Customer as the end-user and solely for research and development uses. Any use of Product for diagnostic, prophylactic or therapeutic purposes, or any purchase of Product for resale (alone or as a component) or other commercial purpose, requires a separate license from CST. Customer shall (a) not sell, license, loan, donate or otherwise transfer or make available any Product to any third party, whether alone or in combination with other materials, or use the Products to manufacture any commercial products, (b) not copy, modify, reverse engineer, decompile, disassemble or otherwise attempt to discover the underlying structure or technology of the Products, or use the Products for the purpose of developing any products or services that would compete with CST products or services, (c) not alter or remove from the Products any trademarks, trade names, logos, patent or copyright notices or markings, (d) use the Products solely in accordance with CST Product Terms of Sale and any applicable documentation, and (e) comply with any license, terms of service or similar agreement with respect to any third party products or services used by Customer in connection with the Products.

Orders: 877-616-CELL (2355) [email protected] Support: 877-678-TECH (8324) [email protected] Web: cellsignal.com
For Research Use Only. Not for Use in Diagnostic Procedures.

Revision 3

Cell Signaling Technology Logo
Western blot analysis of extracts from HeLa cells, using Phospho-HSP27 (Ser82) Antibody (upper) or control HSP27 antibody (lower). HeLa cells were incubated at 42ºC for 0-2 hours as indicated.
Western Blotting Image 1: Phospho-HSP27 (Ser82) Antibody
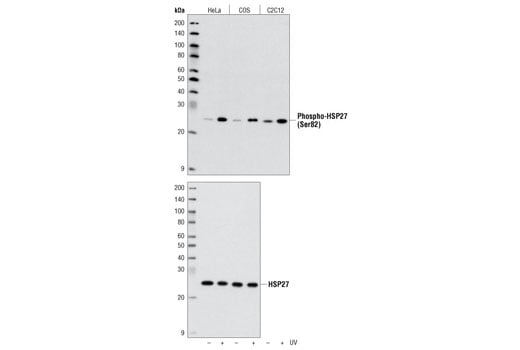
Western blot analysis of extracts of various cell lines, using Phospho-HSP27 (Ser82) Antibody #2401 (upper) or control HSP27 Antibody #2402 (lower).
Western Blotting Image 2: Phospho-HSP27 (Ser82) Antibody
Immunohistochemical analysis of paraffin-embedded human breast carcinoma, untreated (A,C) or lambda phosphatase-treated (B,D), using Phospho-HSP27 (Ser82) Antibody (A,B) or HSP27 (G31) Monoclonal Antibody #2402 (C,D).
Immunohistochemistry Image 1: Phospho-HSP27 (Ser82) Antibody
Orders: 877-616-CELL (2355) [email protected] Support: 877-678-TECH (8324) [email protected] Web: cellsignal.com
For Research Use Only. Not for Use in Diagnostic Procedures.

Revision 3

Cell Signaling Technology Logo
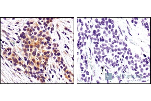
Immunohistochemical analysis of paraffin-embedded human lung carcinoma using Phospho-HSP-27 (Ser82) Antibody in the presence of control peptide (left) or antigen specific peptide (right).
Immunohistochemistry Image 2: Phospho-HSP27 (Ser82) Antibody
Confocal immunofluorescent analysis of HeLa cells, anisomycin-treated (left) or untreated (right), using Phospho-HSP27 (Ser82) Antibody (green). Actin filaments have been labeled with Alexa Fluor® 555 phalloidin (red). Blue pseudocolor = DRAQ5® #4084 (fluorescent DNA dye).
Immunofluorescence Image 1: Phospho-HSP27 (Ser82) Antibody
Orders: 877-616-CELL (2355) [email protected] Support: 877-678-TECH (8324) [email protected] Web: cellsignal.com
For Research Use Only. Not for Use in Diagnostic Procedures.