Revision 2

#24696

Store at +4C

CST Logo
Orders:

877-616-CELL (2355)

[email protected]

Support:

877-678-TECH (8324)

3 Trask Lane | Danvers | Massachusetts | 01923 | USA

For Research Use Only. Not for Use in Diagnostic Procedures.

Applications:
IHC-P

Reactivity:
H

Sensitivity:
Endogenous

Source/Isotype:
IgG

UniProt ID:
#Q9BT76

Entrez-Gene Id:
105375355

Product Usage Information

Application Dilution
Immunohistochemistry (Paraffin) 1:800 - 1:3200

Storage

Supplied in a PBS-based buffer containing sodium azide as a preservative. Stable for 12 months when stored at 4°C. Do not aliquot the antibody.

Specificity/Sensitivity

UPK3B (DBRRM3.66) Rabbit Monoclonal Antibody recognizes endogenous levels of total UPK3B protein.

Source / Purification

Monoclonal antibody is produced by immunizing animals with recombinant human UPK3B protein.

Background

Uroplakins are a family of apical transmembrane proteins that form specialized plaques localized to the asymmetrical unit membrane (AUM), providing a permeability barrier in the urothelium (1). Urothelial plaques are composed of Uroplakin IIIB/UPK3B and at least four other uroplakins (UPK1A, UPK1B, UPK2, and UPK3) (2). UPK3B is expressed in urothelial carcinomas and other human cancers and has been shown to be useful as a biomarker in mesotheliomas (3,4).

Species Reactivity

Species reactivity is determined by testing in at least one approved application (e.g., western blot).

Applications Key

IHC-P: Immunohistochemistry (Paraffin)

Cross-Reactivity Key

H: Human

Trademarks and Patents

Cell Signaling Technology is a trademark of Cell Signaling Technology, Inc.

All other trademarks are the property of their respective owners. Visit cellsignal.com/trademarks for more information.

Limited Uses

Except as otherwise expressly agreed in a writing signed by a legally authorized representative of CST, the following terms apply to Products provided by CST, its affiliates or its distributors. Any Customer's terms and conditions that are in addition to, or different from, those contained herein, unless separately accepted in writing by a legally authorized representative of CST, are rejected and are of no force or effect.

Products are labeled with For Research Use Only or a similar labeling statement and have not been approved, cleared, or licensed by the FDA or other regulatory foreign or domestic entity, for any purpose. Customer shall not use any Product for any diagnostic or therapeutic purpose, or otherwise in any manner that conflicts with its labeling statement. Products sold or licensed by CST are provided for Customer as the end-user and solely for research and development uses. Any use of Product for diagnostic, prophylactic or therapeutic purposes, or any purchase of Product for resale (alone or as a component) or other commercial purpose, requires a separate license from CST. Customer shall (a) not sell, license, loan, donate or otherwise transfer or make available any Product to any third party, whether alone or in combination with other materials, or use the Products to manufacture any commercial products, (b) not copy, modify, reverse engineer, decompile, disassemble or otherwise attempt to discover the underlying structure or technology of the Products, or use the Products for the purpose of developing any products or services that would compete with CST products or services, (c) not alter or remove from the Products any trademarks, trade names, logos, patent or copyright notices or markings, (d) use the Products solely in accordance with CST Product Terms of Sale and any applicable documentation, and (e) comply with any license, terms of service or similar agreement with respect to any third party products or services used by Customer in connection with the Products.

Orders: 877-616-CELL (2355) [email protected] Support: 877-678-TECH (8324) [email protected] Web: cellsignal.com
For Research Use Only. Not for Use in Diagnostic Procedures.

Revision 2

Cell Signaling Technology Logo
Immunohistochemical analysis of paraffin-embedded human uterine mesothelioma using UPK3B (DBRRM3.66) Rabbit mAb.
Immunohistochemistry Image 1: UPK3B (DBRRM3.66) Rabbit Monoclonal Antibody
Immunohistochemical analysis of paraffin-embedded human pleural mesothelioma using UPK3B (DBRRM3.66) Rabbit mAb.
Immunohistochemistry Image 2: UPK3B (DBRRM3.66) Rabbit Monoclonal Antibody
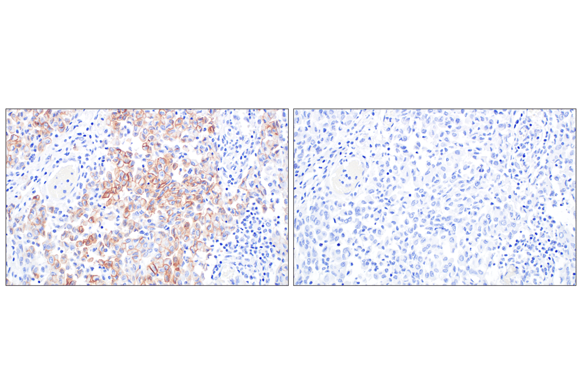
Immunohistochemical analysis of paraffin-embedded human splenic mesothelioma using UPK3B (DBRRM3.66) Rabbit mAb (left) compared to concentration-matched Rabbit (DA1E) mAb IgG XP® Isotype Control #3900 (right).
Immunohistochemistry Image 3: UPK3B (DBRRM3.66) Rabbit Monoclonal Antibody
Orders: 877-616-CELL (2355) [email protected] Support: 877-678-TECH (8324) [email protected] Web: cellsignal.com
For Research Use Only. Not for Use in Diagnostic Procedures.

Revision 2

Cell Signaling Technology Logo
Immunohistochemical analysis of paraffin-embedded NCI-H226 cell pellet (left, positive) or Ramos cell pellet (right, negative) using UPK3B (DBRRM3.66) Rabbit mAb.
Immunohistochemistry Image 4: UPK3B (DBRRM3.66) Rabbit Monoclonal Antibody
Orders: 877-616-CELL (2355) [email protected] Support: 877-678-TECH (8324) [email protected] Web: cellsignal.com
For Research Use Only. Not for Use in Diagnostic Procedures.