Revision 4

#25690

Store at -20C

CST Logo
Orders:

877-616-CELL (2355)

[email protected]

Support:

877-678-TECH (8324)

3 Trask Lane | Danvers | Massachusetts | 01923 | USA

For Research Use Only. Not for Use in Diagnostic Procedures.

MW (kDa):
7

UniProt ID:
#P01344

Entrez-Gene Id:
3481

Background

IGF-II is a potent cellular mitogen that is closely related to IGF-I (1). IGF-II is primarily produced by the liver and is frequently overexpressed in tumors (1,2). IGF-II binds to the IGF-IR, activating the AKT, mTOR, ERK, and JNK pathways (1). IGF-II signaling is regulated by several distinct mechanisms. First, IGF binding proteins (IGFBPs) bind to IGF-II and block interactions with the IGF-IR (1-3). Second, the IGF-IIR binds to and acts as a molecular trap for IGF-II (1-3). Lastly, the IGF2 gene is an imprinted gene, and loss of imprinting leads to increased IGF-II levels (1-3). Aberrant levels of IGF-II are associated with Wilms tumor, Beckwith-Wiedmann syndrome, and colorectal cancer (1,2).

Endotoxin

Less than or equal to 1 EU / 1 μg hIGF-II.

Purity

A greater than 95% purity was determined by SDS-PAGE.

Source / Purification

Recombinant human IGF-II was expressed in E. coli and is supplied in a lyophilized form.

Bioactivity

The bioactivity of recombinant hIGF-II was determined in a cell proliferation assay using FDC-P1 cells. The ED50 of each lot is between 10-20 ng/ml.

Trademarks and Patents

Cell Signaling Technology is a trademark of Cell Signaling Technology, Inc.

All other trademarks are the property of their respective owners. Visit cellsignal.com/trademarks for more information.

Limited Uses

Except as otherwise expressly agreed in a writing signed by a legally authorized representative of CST, the following terms apply to Products provided by CST, its affiliates or its distributors. Any Customer's terms and conditions that are in addition to, or different from, those contained herein, unless separately accepted in writing by a legally authorized representative of CST, are rejected and are of no force or effect.

Products are labeled with For Research Use Only or a similar labeling statement and have not been approved, cleared, or licensed by the FDA or other regulatory foreign or domestic entity, for any purpose. Customer shall not use any Product for any diagnostic or therapeutic purpose, or otherwise in any manner that conflicts with its labeling statement. Products sold or licensed by CST are provided for Customer as the end-user and solely for research and development uses. Any use of Product for diagnostic, prophylactic or therapeutic purposes, or any purchase of Product for resale (alone or as a component) or other commercial purpose, requires a separate license from CST. Customer shall (a) not sell, license, loan, donate or otherwise transfer or make available any Product to any third party, whether alone or in combination with other materials, or use the Products to manufacture any commercial products, (b) not copy, modify, reverse engineer, decompile, disassemble or otherwise attempt to discover the underlying structure or technology of the Products, or use the Products for the purpose of developing any products or services that would compete with CST products or services, (c) not alter or remove from the Products any trademarks, trade names, logos, patent or copyright notices or markings, (d) use the Products solely in accordance with CST Product Terms of Sale and any applicable documentation, and (e) comply with any license, terms of service or similar agreement with respect to any third party products or services used by Customer in connection with the Products.

Orders: 877-616-CELL (2355) [email protected] Support: 877-678-TECH (8324) [email protected] Web: cellsignal.com
For Research Use Only. Not for Use in Diagnostic Procedures.

Revision 4

Cell Signaling Technology Logo
FDC-P1 cells were cultured with 0 to 250 ng/mL of hIGF-II. Cell proliferation was assessed after 48 hours by measuring OD490.
undefined Image 1: Human Insulin-like Growth Factor II (hIGF-II)
The purity of recombinant hIGF-II was determined by SDS-PAGE of 1.5 µg reduced (+) and non-reduced (-) recombinant hIGF-II and staining overnight with Coomassie Blue.
undefined Image 2: Human Insulin-like Growth Factor II (hIGF-II)
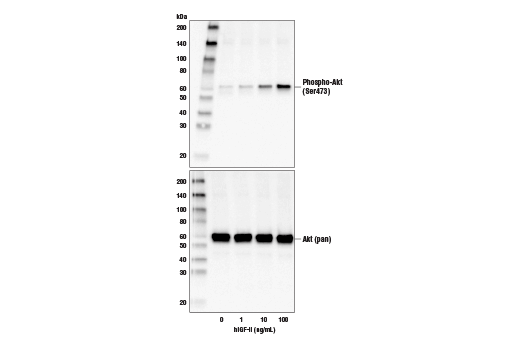
Western blot analysis of extracts from NIH/3T3 cells untreated or treated with hIGF-II for 10 minutes, using Phospho-Akt (Ser473) (D9E) XP® Rabbit mAb #4060 (upper) and Akt (pan) (C67E7) Rabbit mAb #4691 (lower).
undefined Image 3: Human Insulin-like Growth Factor II (hIGF-II)
Orders: 877-616-CELL (2355) [email protected] Support: 877-678-TECH (8324) [email protected] Web: cellsignal.com
For Research Use Only. Not for Use in Diagnostic Procedures.