Revision 1

#25776

Store at -20C

CST Logo
Orders:

877-616-CELL (2355)

[email protected]

Support:

877-678-TECH (8324)

3 Trask Lane | Danvers | Massachusetts | 01923 | USA

For Research Use Only. Not for Use in Diagnostic Procedures.

Applications:
W, IHC-P, FC-FP

Reactivity:
H

Sensitivity:
Endogenous

MW (kDa):
14

Source/Isotype:
Rabbit IgG

UniProt ID:
#P56279

Entrez-Gene Id:
8115

Product Usage Information

Application Dilution
Western Blotting 1:1000
Immunohistochemistry (Paraffin) 1:50
Flow Cytometry (Fixed/Permeabilized) 1:100 - 1:400

Storage

Supplied in 10 mM sodium HEPES (pH 7.5), 150 mM NaCl, 100 µg/mL BSA, 50% glycerol, and less than 0.02% sodium azide. Store at –20°C. Do not aliquot the antibody.

Specificity/Sensitivity

TCL1 (F9R1X) Rabbit Monoclonal Antibody recognizes endogenous levels of total TCL1 protein.

Source / Purification

Monoclonal antibody is produced by immunizing animals with a synthetic peptide corresponding to residues near the carboxy terminus of human TCL1 protein.

Background

T cell leukemia 1 (TCL1), MTCP1, and TCL1b belong to the TCL1 proto-oncogene family, and their products are involved in Akt activation during embryonic development and several types of T-cell leukemias and B-cell lymphomas (1-3). The Akt association domain of TCL1 binds with the PH domain of Akt. The formation of an oligomeric TCL-Akt complex is required for TCL1 coactivator function and results in phosphorylation and activation of Akt. Furthermore, functional analysis indicates that the interaction between TCL1 and Akt promotes translocation of Akt to the nucleus (4-6). These findings are supported by the crystal structure of TCL1, which suggests that TCL1 may participate in molecular transport (7).

Species Reactivity

Species reactivity is determined by testing in at least one approved application (e.g., western blot).

Western Blot Buffer

IMPORTANT: For western blots, incubate membrane with diluted primary antibody in 5% w/v nonfat dry milk, 1X TBS, 0.1% Tween® 20 at 4°C with gentle shaking, overnight.

Applications Key

W: Western Blotting IHC-P: Immunohistochemistry (Paraffin) FC-FP: Flow Cytometry (Fixed/Permeabilized)

Cross-Reactivity Key

H: Human

Trademarks and Patents

Cell Signaling Technology is a trademark of Cell Signaling Technology, Inc.

All other trademarks are the property of their respective owners. Visit cellsignal.com/trademarks for more information.

Limited Uses

Except as otherwise expressly agreed in a writing signed by a legally authorized representative of CST, the following terms apply to Products provided by CST, its affiliates or its distributors. Any Customer's terms and conditions that are in addition to, or different from, those contained herein, unless separately accepted in writing by a legally authorized representative of CST, are rejected and are of no force or effect.

Products are labeled with For Research Use Only or a similar labeling statement and have not been approved, cleared, or licensed by the FDA or other regulatory foreign or domestic entity, for any purpose. Customer shall not use any Product for any diagnostic or therapeutic purpose, or otherwise in any manner that conflicts with its labeling statement. Products sold or licensed by CST are provided for Customer as the end-user and solely for research and development uses. Any use of Product for diagnostic, prophylactic or therapeutic purposes, or any purchase of Product for resale (alone or as a component) or other commercial purpose, requires a separate license from CST. Customer shall (a) not sell, license, loan, donate or otherwise transfer or make available any Product to any third party, whether alone or in combination with other materials, or use the Products to manufacture any commercial products, (b) not copy, modify, reverse engineer, decompile, disassemble or otherwise attempt to discover the underlying structure or technology of the Products, or use the Products for the purpose of developing any products or services that would compete with CST products or services, (c) not alter or remove from the Products any trademarks, trade names, logos, patent or copyright notices or markings, (d) use the Products solely in accordance with CST Product Terms of Sale and any applicable documentation, and (e) comply with any license, terms of service or similar agreement with respect to any third party products or services used by Customer in connection with the Products.

Orders: 877-616-CELL (2355) [email protected] Support: 877-678-TECH (8324) [email protected] Web: cellsignal.com
For Research Use Only. Not for Use in Diagnostic Procedures.

Revision 1

Cell Signaling Technology Logo
Western blot analysis of extracts from various cell lines using TCL1 (F9R1X) Rabbit mAb (upper) or GAPDH (D16H11) XP® Rabbit mAb #5174 (lower). Negative expression of TCL1 protein in HL-60 and HeLa cells is consistent with the predicted expression pattern.
Western Blotting Image 1: TCL1 (F9R1X) Rabbit Monoclonal Antibody
Immunohistochemical analysis of paraffin-embedded human non-Hodgkin lymphoma using TCL1 (F9R1X) Rabbit mAb.
Immunohistochemistry Image 1: TCL1 (F9R1X) Rabbit Monoclonal Antibody
Immunohistochemical analysis of paraffin-embedded human renal cell carcinoma using TCL1 (F9R1X) Rabbit mAb.
Immunohistochemistry Image 2: TCL1 (F9R1X) Rabbit Monoclonal Antibody
Orders: 877-616-CELL (2355) [email protected] Support: 877-678-TECH (8324) [email protected] Web: cellsignal.com
For Research Use Only. Not for Use in Diagnostic Procedures.

Revision 1

Cell Signaling Technology Logo
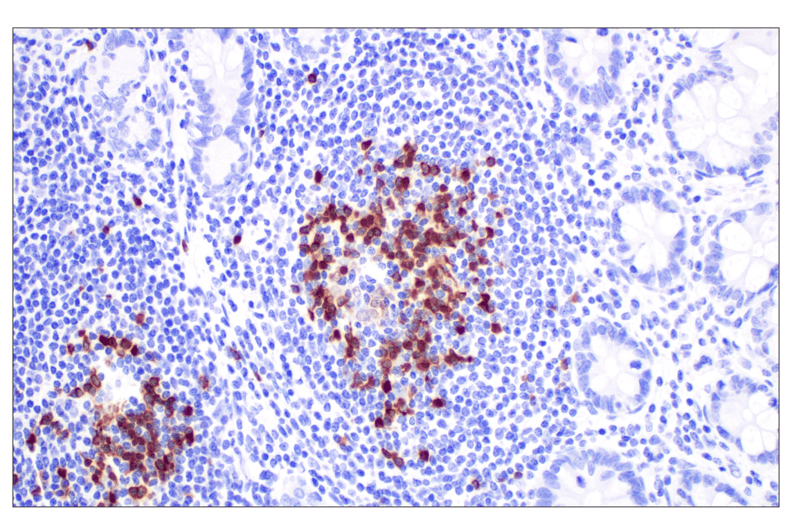
Immunohistochemical analysis of Peyer's patch within paraffin-embedded normal human small intestine using TCL1 (F9R1X) Rabbit mAb.
Immunohistochemistry Image 3: TCL1 (F9R1X) Rabbit Monoclonal Antibody
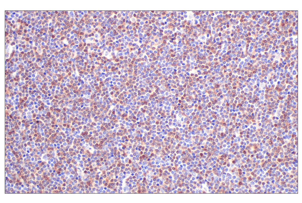
Immunohistochemical analysis of paraffin-embedded normal human lymph node using TCL1 (F9R1X) Rabbit mAb.
Immunohistochemistry Image 4: TCL1 (F9R1X) Rabbit Monoclonal Antibody

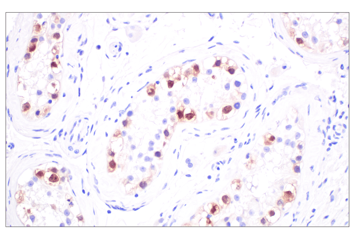
Immunohistochemical analysis of paraffin-embedded normal human testis using TCL1 (F9R1X) Rabbit mAb.

Immunohistochemistry Image 5: TCL1 (F9R1X) Rabbit Monoclonal Antibody
Orders: 877-616-CELL (2355) [email protected] Support: 877-678-TECH (8324) [email protected] Web: cellsignal.com
For Research Use Only. Not for Use in Diagnostic Procedures.

Revision 1

Cell Signaling Technology Logo
Immunohistochemical analysis of paraffin-embedded normal human thymus using TCL1 (F9R1X) Rabbit mAb (left) or a TCL1 Rabbit mAb (right). These two antibodies detect unique, non-overlapping epitopes on human TCL1. The similar staining patterns obtained with both antibodies help to confirm the specificity of the staining.
Immunohistochemistry Image 6: TCL1 (F9R1X) Rabbit Monoclonal Antibody
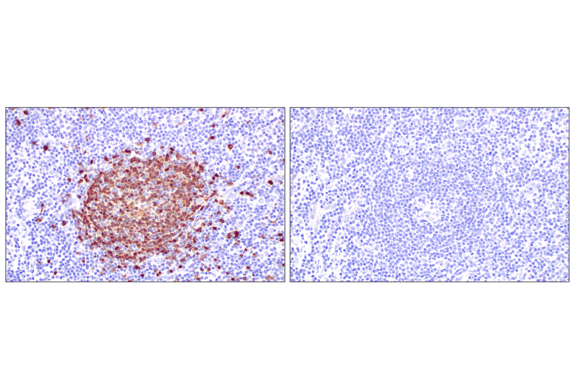
Immunohistochemical analysis of paraffin-embedded human tonsil using TCL1 (F9R1X) Rabbit mAb (left) compared to concentration-matched Rabbit (DA1E) mAb IgG XP® Isotype Control #3900 (right).
Immunohistochemistry Image 7: TCL1 (F9R1X) Rabbit Monoclonal Antibody
Immunohistochemical analysis of paraffin-embedded Ramos cell pellet (left, positive) or HL-60 cell pellet (right, negative) using TCL1 (F9R1X) Rabbit mAb.
Immunohistochemistry Image 8: TCL1 (F9R1X) Rabbit Monoclonal Antibody
Orders: 877-616-CELL (2355) [email protected] Support: 877-678-TECH (8324) [email protected] Web: cellsignal.com
For Research Use Only. Not for Use in Diagnostic Procedures.

Revision 1

Cell Signaling Technology Logo
Flow cytometric analysis of HL-60 cells (blue, negative) and Ramos cells (green, positive) using TCL1 (F9R1X) Rabbit mAb (solid lines) or concentration-matched Rabbit (DA1E) mAb IgG XP® Isotype Control #3900 (dashed lines). Anti-rabbit IgG (H+L), F(ab')2 Fragment (Alexa Fluor® 488 Conjugate) #4412 was used as a secondary antibody.
Flow Cytometry Image 1: TCL1 (F9R1X) Rabbit Monoclonal Antibody
Orders: 877-616-CELL (2355) [email protected] Support: 877-678-TECH (8324) [email protected] Web: cellsignal.com
For Research Use Only. Not for Use in Diagnostic Procedures.