Revision 4

#26013

Store at -20C

CST Logo
Orders:

877-616-CELL (2355)

[email protected]

Support:

877-678-TECH (8324)

3 Trask Lane | Danvers | Massachusetts | 01923 | USA

For Research Use Only. Not for Use in Diagnostic Procedures.

Applications:
W, IHC-P

Reactivity:
H

Sensitivity:
Endogenous

MW (kDa):
60-80

Source/Isotype:
Rabbit IgG

UniProt ID:
#P24071

Entrez-Gene Id:
2204

Product Usage Information

Application Dilution
Immunohistochemistry (Paraffin) 1:50 - 1:200

Storage

Supplied in 10 mM sodium HEPES (pH 7.5), 150 mM NaCl, 100 µg/mL BSA, 50% glycerol, and less than 0.02% sodium azide. Store at –20°C. Do not aliquot the antibody.

For a carrier free (BSA and azide free) version of this product see product #85114.

Specificity/Sensitivity

CD89/FCAR (F1T9J) Rabbit Monoclonal Antibody recognizes endogenous levels of total CD89/FCAR protein. Non-specific staining was observed in pancreatic acinar cells and apical membrane of colon epithelium by immunohistochemistry.

Source / Purification

Monoclonal antibody is produced by immunizing animals with recombinant protein specific to the amino terminus of human CD89/FCAR protein.

Background

Immunoglobulin alpha Fc (IgA Fc) receptor (FcαRI), also known as CD89/FCAR, is a member of the Fc receptor superfamily and is expressed as a transmembrane glycoprotein on the surface of immune cells of the myeloid lineage (1-3). Research studies have demonstrated that CD89/FCAR can bind to polymeric IgA-containing immune complexes, which mediates receptor activation, internalization, and signaling (4). Productive signaling by CD89/FCAR requires association with the FcR gamma-chain and subsequent engagement of the tyrosine kinases, Fyn and Syk, to drive activation of pro-inflammatory signaling cascades (1,5).

Species Reactivity

Species reactivity is determined by testing in at least one approved application (e.g., western blot).

Western Blot Buffer

IMPORTANT: For western blots, incubate membrane with diluted primary antibody in 5% w/v BSA, 1X TBS, 0.1% Tween® 20 at 4°C with gentle shaking, overnight.

Applications Key

W: Western Blotting IHC-P: Immunohistochemistry (Paraffin)

Cross-Reactivity Key

H: Human

Trademarks and Patents

Cell Signaling Technology is a trademark of Cell Signaling Technology, Inc.

All other trademarks are the property of their respective owners. Visit cellsignal.com/trademarks for more information.

Limited Uses

Except as otherwise expressly agreed in a writing signed by a legally authorized representative of CST, the following terms apply to Products provided by CST, its affiliates or its distributors. Any Customer's terms and conditions that are in addition to, or different from, those contained herein, unless separately accepted in writing by a legally authorized representative of CST, are rejected and are of no force or effect.

Products are labeled with For Research Use Only or a similar labeling statement and have not been approved, cleared, or licensed by the FDA or other regulatory foreign or domestic entity, for any purpose. Customer shall not use any Product for any diagnostic or therapeutic purpose, or otherwise in any manner that conflicts with its labeling statement. Products sold or licensed by CST are provided for Customer as the end-user and solely for research and development uses. Any use of Product for diagnostic, prophylactic or therapeutic purposes, or any purchase of Product for resale (alone or as a component) or other commercial purpose, requires a separate license from CST. Customer shall (a) not sell, license, loan, donate or otherwise transfer or make available any Product to any third party, whether alone or in combination with other materials, or use the Products to manufacture any commercial products, (b) not copy, modify, reverse engineer, decompile, disassemble or otherwise attempt to discover the underlying structure or technology of the Products, or use the Products for the purpose of developing any products or services that would compete with CST products or services, (c) not alter or remove from the Products any trademarks, trade names, logos, patent or copyright notices or markings, (d) use the Products solely in accordance with CST Product Terms of Sale and any applicable documentation, and (e) comply with any license, terms of service or similar agreement with respect to any third party products or services used by Customer in connection with the Products.

Orders: 877-616-CELL (2355) [email protected] Support: 877-678-TECH (8324) [email protected] Web: cellsignal.com
For Research Use Only. Not for Use in Diagnostic Procedures.

Revision 4

Cell Signaling Technology Logo
Western blot analysis of extracts from various human cell lines and CD14+ monocytes using CD89/FCAR (F1T9J) Rabbit mAb (upper) or β-Actin (D6A8) Rabbit mAb #8457 (lower). Negative expression of CD89/FCAR protein in 293T cells is consistent with published observations.
Western Blotting Image 1: CD89/FCAR (F1T9J) Rabbit Monoclonal Antibody
Western blot analysis of extracts from 293T cells, mock transfected (-) or transfected with a construct expressing Myc/DDK-tagged full-length human CD89/FCAR (hCD89/FCAR-Myc/DDK; +), using CD89/FCAR (F1T9J) Rabbit mAb (upper), Myc-Tag (71D10) Rabbit mAb #2278 (middle), or β-Actin (D6A8) Rabbit mAb #8457 (lower).
Western Blotting Image 2: CD89/FCAR (F1T9J) Rabbit Monoclonal Antibody
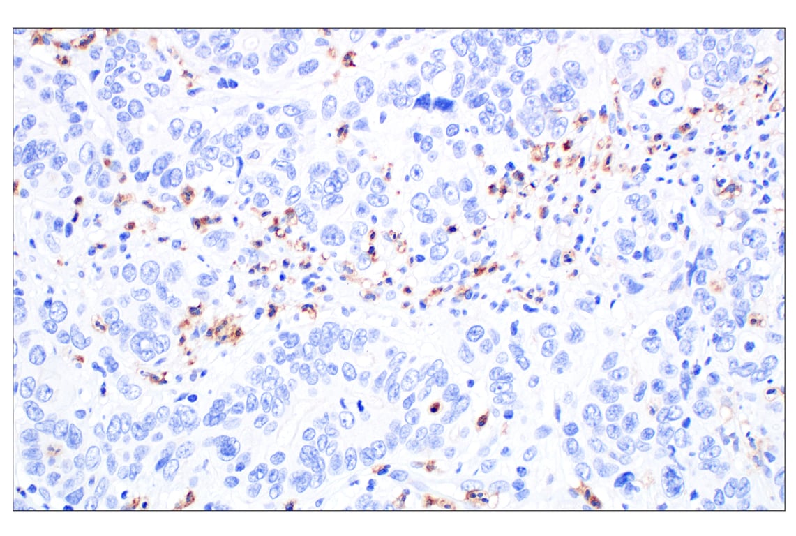
Immunohistochemical analysis of paraffin-embedded human renal cell carcinoma using CD89/FCAR (F1T9J) Rabbit mAb.
Immunohistochemistry Image 1: CD89/FCAR (F1T9J) Rabbit Monoclonal Antibody
Orders: 877-616-CELL (2355) [email protected] Support: 877-678-TECH (8324) [email protected] Web: cellsignal.com
For Research Use Only. Not for Use in Diagnostic Procedures.

Revision 4

Cell Signaling Technology Logo
Immunohistochemical analysis of paraffin-embedded human squamous cell carcinoma of the cervix using CD89/FCAR (F1T9J) Rabbit mAb.
Immunohistochemistry Image 2: CD89/FCAR (F1T9J) Rabbit Monoclonal Antibody
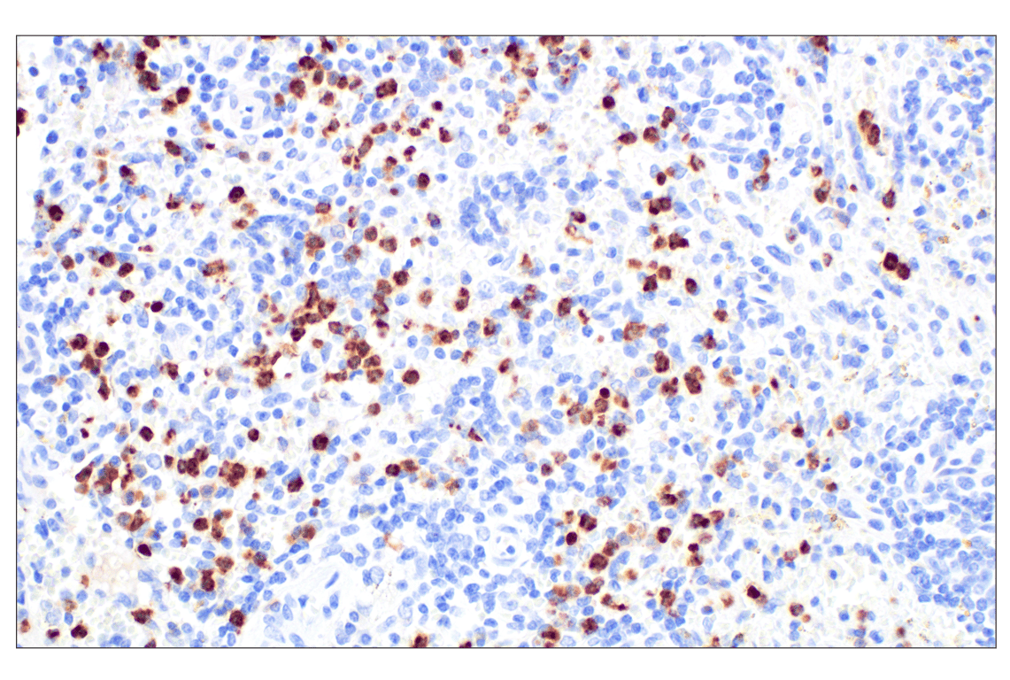
Immunohistochemical analysis of paraffin-embedded human colon adenocarcinoma using CD89/FCAR (F1T9J) Rabbit mAb.
Immunohistochemistry Image 3: CD89/FCAR (F1T9J) Rabbit Monoclonal Antibody
Immunohistochemical analysis of paraffin-embedded human gastric adenocarcinoma using CD89/FCAR (F1T9J) Rabbit mAb.
Immunohistochemistry Image 4: CD89/FCAR (F1T9J) Rabbit Monoclonal Antibody
Orders: 877-616-CELL (2355) [email protected] Support: 877-678-TECH (8324) [email protected] Web: cellsignal.com
For Research Use Only. Not for Use in Diagnostic Procedures.

Revision 4

Cell Signaling Technology Logo
Immunohistochemical analysis of paraffin-embedded normal human spleen using CD89/FCAR (F1T9J) Rabbit mAb.
Immunohistochemistry Image 5: CD89/FCAR (F1T9J) Rabbit Monoclonal Antibody
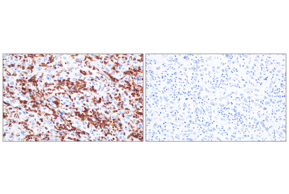
Immunohistochemical analysis of paraffin-embedded human glassy cell carcinoma of the cervix using CD89/FCAR (F1T9J) Rabbit mAb (left) compared to concentration-matched Rabbit (DA1E) mAb IgG XP® Isotype Control #3900 (right).
Immunohistochemistry Image 6: CD89/FCAR (F1T9J) Rabbit Monoclonal Antibody
Immunohistochemical analysis of paraffin-embedded U-937 cell pellet (left, positive) or Raji cell pellet (right, negative) using CD89/FCAR (F1T9J) Rabbit mAb.
Immunohistochemistry Image 7: CD89/FCAR (F1T9J) Rabbit Monoclonal Antibody
Orders: 877-616-CELL (2355) [email protected] Support: 877-678-TECH (8324) [email protected] Web: cellsignal.com
For Research Use Only. Not for Use in Diagnostic Procedures.