Revision 3

#2616

Store at -20C

CST Logo
Orders:

877-616-CELL (2355)

[email protected]

Support:

877-678-TECH (8324)

3 Trask Lane | Danvers | Massachusetts | 01923 | USA

For Research Use Only. Not for Use in Diagnostic Procedures.

Applications:
W, IP, IHC-P, IF-IC, FC-FP, ChIP

Reactivity:
H M R Mk

Sensitivity:
Endogenous

MW (kDa):
25

Source/Isotype:
Rabbit

UniProt ID:
#P45973

Entrez-Gene Id:
23468

Product Usage Information

For optimal ChIP results, use 20 μl of antibody and 10 μg of chromatin (approximately 4 x 106 cells) per IP. This antibody has been validated using SimpleChIP® Enzymatic Chromatin IP Kits.
Application Dilution
Western Blotting 1:1000
Immunoprecipitation 1:25
Immunohistochemistry (Paraffin) 1:200
Immunofluorescence (Immunocytochemistry) 1:200
Flow Cytometry (Fixed/Permeabilized) 1:100
Chromatin IP 1:25

Storage

Supplied in 10 mM sodium HEPES (pH 7.5), 150 mM NaCl, 100 µg/ml BSA and 50% glycerol. Store at –20°C. Do not aliquot the antibody.

Specificity/Sensitivity

HP1 alpha Antibody detects endogenous levels of total HP1alpha protein. This antibody does not cross-react with HP1 beta or HP1 gamma proteins.

Species predicted to react based on 100% sequence homology

Bovine

Source / Purification

Polyclonal antibodies are produced by immunizing animals with a synthetic peptide corresponding to the carboxy terminus of human HP1alpha. Antibodies are purified by protein A and peptide affinity chromatography.

Background

Heterochromatin protein 1 (HP1) is a family of heterochromatic adaptor molecules involved in both gene silencing and higher-order chromatin structure (1). All three HP1 family members (α, β, and γ) are primarily associated with centromeric heterochromatin; however, HP1β and γ also localize to euchromatic sites in the genome (2,3). HP1 proteins are approximately 25 kDa and contain a conserved amino-terminal chromodomain, followed by a variable hinge region and a conserved carboxy-terminal chromoshadow domain. The chromodomain facilitates binding to histone H3 tri-methylated at Lys9, a histone "mark" closely associated with centromeric heterochromatin (4,5). The variable hinge region binds both RNA and DNA in a sequence-independent manner (6). The chromoshadow domain mediates the dimerization of HP1 proteins, in addition to binding multiple proteins implicated in gene silencing and heterochromatin formation, including the SUV39H histone methyltransferase, the DNMT1 and DNMT3a DNA methyltransferases, and the p150 subunit of chromatin assembly factor 1 (CAF-1) (7-9). In addition to contributing to heterochromatin formation and propagation, HP1 and SUV39H1 are also found complexed with retinoblastoma (Rb) and E2F6 proteins, both of which function to repress euchromatic gene transcription in quiescent cells (10,11). HP1 proteins are subject to multiple post-translational modifications, including phosphorylation, acetylation, methylation, ubiquitination, and sumoylation, suggesting various means of regulation (12-14).

Species Reactivity

Species reactivity is determined by testing in at least one approved application (e.g., western blot).

Western Blot Buffer

IMPORTANT: For western blots, incubate membrane with diluted primary antibody in 5% w/v BSA, 1X TBS, 0.1% Tween® 20 at 4°C with gentle shaking, overnight.

Applications Key

W: Western Blotting IP: Immunoprecipitation IHC-P: Immunohistochemistry (Paraffin) IF-IC: Immunofluorescence (Immunocytochemistry) FC-FP: Flow Cytometry (Fixed/Permeabilized) ChIP: Chromatin IP

Cross-Reactivity Key

H: Human M: Mouse R: Rat Mk: Monkey

Trademarks and Patents

Cell Signaling Technology is a trademark of Cell Signaling Technology, Inc.

Alexa Fluor is a registered trademark of Life Technologies Corporation.

All other trademarks are the property of their respective owners. Visit cellsignal.com/trademarks for more information.

Limited Uses

Except as otherwise expressly agreed in a writing signed by a legally authorized representative of CST, the following terms apply to Products provided by CST, its affiliates or its distributors. Any Customer's terms and conditions that are in addition to, or different from, those contained herein, unless separately accepted in writing by a legally authorized representative of CST, are rejected and are of no force or effect.

Products are labeled with For Research Use Only or a similar labeling statement and have not been approved, cleared, or licensed by the FDA or other regulatory foreign or domestic entity, for any purpose. Customer shall not use any Product for any diagnostic or therapeutic purpose, or otherwise in any manner that conflicts with its labeling statement. Products sold or licensed by CST are provided for Customer as the end-user and solely for research and development uses. Any use of Product for diagnostic, prophylactic or therapeutic purposes, or any purchase of Product for resale (alone or as a component) or other commercial purpose, requires a separate license from CST. Customer shall (a) not sell, license, loan, donate or otherwise transfer or make available any Product to any third party, whether alone or in combination with other materials, or use the Products to manufacture any commercial products, (b) not copy, modify, reverse engineer, decompile, disassemble or otherwise attempt to discover the underlying structure or technology of the Products, or use the Products for the purpose of developing any products or services that would compete with CST products or services, (c) not alter or remove from the Products any trademarks, trade names, logos, patent or copyright notices or markings, (d) use the Products solely in accordance with CST Product Terms of Sale and any applicable documentation, and (e) comply with any license, terms of service or similar agreement with respect to any third party products or services used by Customer in connection with the Products.

Orders: 877-616-CELL (2355) [email protected] Support: 877-678-TECH (8324) [email protected] Web: cellsignal.com
For Research Use Only. Not for Use in Diagnostic Procedures.

Revision 3

Cell Signaling Technology Logo
Western blot analysis of lysates from HeLa, NIH/3T3, C6 and COS cells, using HP1alpha antibody.
Western Blotting Image 1: HP1 alpha Antibody
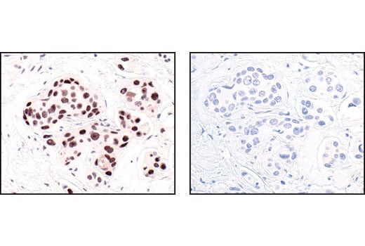
Immunohistochemical analysis of paraffin-embedded human breast carcinoma, using HP1alpha Antibody in the presence of control peptide (left) or HP1 alpha blocking peptide #1004 (right).
Immunohistochemistry Image 1: HP1 alpha Antibody
Confocal immunofluorescent image of HeLa cells labeled with HP1α antibody (green). Actin filaments have been labeled with Alexa Fluor® 555 phalloidin (red).
Immunofluorescence Image 1: HP1 alpha Antibody
Orders: 877-616-CELL (2355) [email protected] Support: 877-678-TECH (8324) [email protected] Web: cellsignal.com
For Research Use Only. Not for Use in Diagnostic Procedures.

Revision 3

Cell Signaling Technology Logo
Flow cytometric analysis of untreated HeLa cells, using HP1alpha antibody (blue) compared to a nonspecific negative control antibody (red).
Flow Cytometry Image 1: HP1 alpha Antibody
Chromatin immunoprecipitations were performed with cross-linked chromatin from mES cells and either HP1α Antibody #2616 or Normal Rabbit IgG #2729, using SimpleChIP® Enzymatic Chromatin IP Kit (Magnetic Beads) #9003. The enriched DNA was quantified by real-time PCR using SimpleChIP® Mouse MEST Intron 1 Primers #12870, SimpleChIP® Mouse MEST Promoter Primers #12928, mouse Intracisternal A-Particle (IAP) LTR promoter primers, and mouse primers specific to a non-genic, non-repetitive region. The amount of immunoprecipitated DNA in each sample is represented as signal relative to the total amount of input chromatin, which is equivalent to one.
Chromatin Immunoprecipitation Image 1: HP1 alpha Antibody
Orders: 877-616-CELL (2355) [email protected] Support: 877-678-TECH (8324) [email protected] Web: cellsignal.com
For Research Use Only. Not for Use in Diagnostic Procedures.