Revision 2

#26306

Store at -20C

CST Logo
Orders:

877-616-CELL (2355)

[email protected]

Support:

877-678-TECH (8324)

3 Trask Lane | Danvers | Massachusetts | 01923 | USA

For Research Use Only. Not for Use in Diagnostic Procedures.

Applications:
W, ELISA

Reactivity:
H M R Mk

Sensitivity:
Endogenous

MW (kDa):
45-55

Source/Isotype:
Rabbit IgG

UniProt ID:
#Q14653

Entrez-Gene Id:
3661

Product Usage Information

This product is the carrier free version of product #4302. All data were generated using the same antibody clone in the standard formulation which contains BSA and glycerol.

This formulation is ideal for use with technologies requiring specialized or custom antibody labeling, including fluorophores, metals, lanthanides, and oligonucleotides. It is not recommended for ChIP, ChIP-seq, CUT&RUN or CUT&Tag assays. If you require a carrier free formulation for chromatin profiling, please contact us. Optimal dilutions/concentrations should be determined by the end user.

BSA and Azide Free antibodies are quality control tested by size exclusion chromatography (SEC) to determine antibody integrity.

Formulation

Supplied in 1X PBS (10 mM Na2HPO4, 3 mM KCl, 2 mM KH2PO4, and 140 mM NaCl (pH 7.8)). BSA and Azide Free.

For standard formulation of this product see product #4302

Storage

Store at -20°C. This product will freeze at -20°C so it is recommended to aliquot into single-use vials to avoid multiple freeze/thaw cycles. A slight precipitate may be present and can be dissolved by gently vortexing. This will not interfere with antibody performance.

Specificity/Sensitivity

IRF-3 (D83B9) Rabbit Monoclonal Antibody (BSA and Azide Free) detects endogenous levels of total IRF-3 protein.

Source / Purification

Monoclonal antibody is produced by immunizing animals with a synthetic peptide corresponding to residues near the carboxyl terminus of human IRF-3.

Background

Interferon regulatory factors (IRFs) comprise a family of transcription factors that function within the Jak/Stat pathway to regulate interferon (IFN) and IFN-inducible gene expression in response to viral infection (1). IRFs play an important role in pathogen defense, autoimmunity, lymphocyte development, cell growth, and susceptibility to transformation. The IRF family includes nine members: IRF-1, IRF-2, IRF-9/ISGF3γ, IRF-3, IRF-4 (Pip/LSIRF/ICSAT), IRF-5, IRF-6, IRF-7, and IRF-8/ICSBP. All IRF proteins share homology in their amino-terminal DNA-binding domains. IRF family members regulate transcription through interactions with proteins that share similar DNA-binding motifs, such as IFN-stimulated response elements (ISRE), IFN consensus sequences (ICS), and IFN regulatory elements (IRF-E) (2).

IRF-3 can inhibit cell growth and plays a critical role in controlling the expression of genes in the innate immune response (1-4). In unstimulated cells, IRF-3 is present in the cytoplasm. Viral infection results in phosphorylation of IRF-3 and leads to its translocation to the nucleus where it activates promoters containing IRF-3-binding sites. Phosphorylation of IRF-3 occurs at a cluster of carboxyl-terminal serine and threonine residues (between 385 and 405) leading to its association with the p300/CBP coactivator protein that promotes DNA binding and transcriptional activity (5). During infection, IRF-3 is likely activated through a pathway that includes activation of Toll-like receptors and of a kinase complex that includes IKKε and TBK1 (6,7). IRF-3 is phosphorylated at Ser396 following viral infection, expression of viral nucleocapsid, and double stranded RNA treatment. These events likely play a role in activation of IRF-3 (8).

Species Reactivity

Species reactivity is determined by testing in at least one approved application (e.g., western blot).

Applications Key

W: Western Blotting ELISA: ELISA

Cross-Reactivity Key

H: Human M: Mouse R: Rat Mk: Monkey

Trademarks and Patents

Cell Signaling Technology is a trademark of Cell Signaling Technology, Inc.

All other trademarks are the property of their respective owners. Visit cellsignal.com/trademarks for more information.

Limited Uses

Except as otherwise expressly agreed in a writing signed by a legally authorized representative of CST, the following terms apply to Products provided by CST, its affiliates or its distributors. Any Customer's terms and conditions that are in addition to, or different from, those contained herein, unless separately accepted in writing by a legally authorized representative of CST, are rejected and are of no force or effect.

Products are labeled with For Research Use Only or a similar labeling statement and have not been approved, cleared, or licensed by the FDA or other regulatory foreign or domestic entity, for any purpose. Customer shall not use any Product for any diagnostic or therapeutic purpose, or otherwise in any manner that conflicts with its labeling statement. Products sold or licensed by CST are provided for Customer as the end-user and solely for research and development uses. Any use of Product for diagnostic, prophylactic or therapeutic purposes, or any purchase of Product for resale (alone or as a component) or other commercial purpose, requires a separate license from CST. Customer shall (a) not sell, license, loan, donate or otherwise transfer or make available any Product to any third party, whether alone or in combination with other materials, or use the Products to manufacture any commercial products, (b) not copy, modify, reverse engineer, decompile, disassemble or otherwise attempt to discover the underlying structure or technology of the Products, or use the Products for the purpose of developing any products or services that would compete with CST products or services, (c) not alter or remove from the Products any trademarks, trade names, logos, patent or copyright notices or markings, (d) use the Products solely in accordance with CST Product Terms of Sale and any applicable documentation, and (e) comply with any license, terms of service or similar agreement with respect to any third party products or services used by Customer in connection with the Products.

Orders: 877-616-CELL (2355) [email protected] Support: 877-678-TECH (8324) [email protected] Web: cellsignal.com
For Research Use Only. Not for Use in Diagnostic Procedures.

Revision 2

Cell Signaling Technology Logo
Western blot analysis of extracts from control HeLa cells (lane 1) or IRF-3 knockout HeLa cells (lane 2) using IRF-3 (D83B9) Rabbit mAb, #4302 (upper) or β-actin (13E5) Rabbit mAb, #4970 (lower). The absence of signal in the IRF-3 knockout HeLa cells confirms specificity of the antibody for IRF-3. Data were generated using the standard formulation of this product.
Western Blotting Image 1: IRF-3 (D83B9) Rabbit Monoclonal Antibody (BSA and Azide Free)
Western blot analysis of extracts from COS-7 cells, mock transfected or transfected with human, mouse or rat IRF-3 constructs, using IRF-3 (D83B9) Rabbit mAb. The human and mouse constructs contain epitope tags. Data were generated using the standard formulation of this product.
Western Blotting Image 2: IRF-3 (D83B9) Rabbit Monoclonal Antibody (BSA and Azide Free)
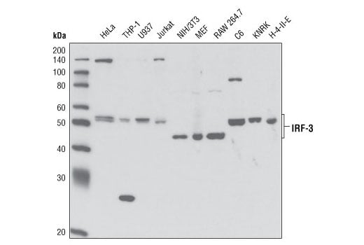
Western blot analysis of extracts from various cell lines using IRF-3 (D83B9) Rabbit mAb. Data were generated using the standard formulation of this product.
Western Blotting Image 3: IRF-3 (D83B9) Rabbit Monoclonal Antibody (BSA and Azide Free)
Orders: 877-616-CELL (2355) [email protected] Support: 877-678-TECH (8324) [email protected] Web: cellsignal.com
For Research Use Only. Not for Use in Diagnostic Procedures.

Revision 2

Cell Signaling Technology Logo
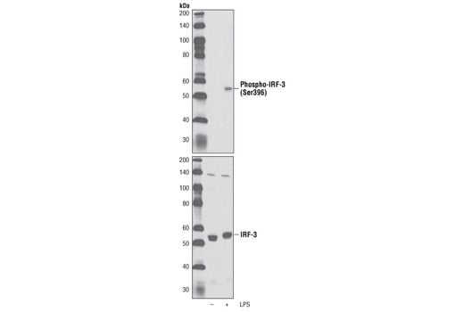
Western blot analysis of extracts from differentiated THP-1 cells, untreated or treated with LPS (1 µg/ml, 1 hour), using Phospho-IRF-3 (Ser396) (4D4G) Rabbit mAb #4947 (upper) or IRF-3 (D83B9) Rabbit mAb (lower). Data were generated using the standard formulation of this product.
Western Blotting Image 4: IRF-3 (D83B9) Rabbit Monoclonal Antibody (BSA and Azide Free)
Data using Total IRF-3 Matched Antibody Pair #58254 are shown. The two antibodies function as a capture-target-detection sandwich (#26306 and #48932, respectively) to detect endogenous protein expression in transfected and untrasfected cells.
ELISA Image 1: IRF-3 (D83B9) Rabbit Monoclonal Antibody (BSA and Azide Free)
Data using Phospho-IRF-3 (Ser379) Matched Antibody Pair #67782 are shown. The two antibodies function as a capture-target-detection sandwich (#25639 and #26306, respectively) to detect endogenous protein expression in positive and negative controls.
ELISA Image 2: IRF-3 (D83B9) Rabbit Monoclonal Antibody (BSA and Azide Free)
Orders: 877-616-CELL (2355) [email protected] Support: 877-678-TECH (8324) [email protected] Web: cellsignal.com
For Research Use Only. Not for Use in Diagnostic Procedures.