Revision 4

#2753

Store at -20C

CST Logo
Orders:

877-616-CELL (2355)

[email protected]

Support:

877-678-TECH (8324)

3 Trask Lane | Danvers | Massachusetts | 01923 | USA

For Research Use Only. Not for Use in Diagnostic Procedures.

Applications:
W, IP, IHC-P, IF-IC, FC-FP

Reactivity:
H Mk

Sensitivity:
Endogenous

MW (kDa):
86

Source/Isotype:
Rabbit

UniProt ID:
#P13010

Entrez-Gene Id:
7520

Product Usage Information

Application Dilution
Western Blotting 1:1000
Immunoprecipitation 1:25
Immunohistochemistry (Paraffin) 1:150 - 1:600
Immunofluorescence (Immunocytochemistry) 1:100 - 1:400
Flow Cytometry (Fixed/Permeabilized) 1:50 - 1:100

Storage

Supplied in 10 mM sodium HEPES (pH 7.5), 150 mM NaCl, 100 µg/ml BSA and 50% glycerol. Store at –20°C. Do not aliquot the antibody.

Specificity/Sensitivity

Ku80 Antibody detects endogenous levels of total Ku80 protein.

Species predicted to react based on 100% sequence homology

Mouse, Rat

Source / Purification

Polyclonal antibodies are produced by immunizing animals with a synthetic peptide corresponding to the carboxy terminus of mouse Ku80. Antibodies are purified by protein A and peptide affinity chromatography.

Background

Ku is a heterodimeric protein composed of two subunits (Ku70 and Ku80) originally identified by researchers as autoantigens associated with several autoimmune diseases including scleroderma, polymyositis, and systemic lupus erythematosus (1). Ku is an abundant, ubiquitously expressed nuclear protein that binds to and stabilizes the ends of DNA at telomeres or double-stranded DNA breaks (2-5). The Ku70/Ku80 heterodimer has ATP-dependent DNA helicase activity and functions as the DNA-binding regulatory component of DNA-dependent protein kinase (DNA-PK) (6-8). The assembly of the DNA-PK complex at DNA ends is required for nonhomologous end-joining (NHEJ), one mechanism involved in double-stranded DNA break repair and V(D)J recombination (8). DNA-PK has been shown to phosphorylate many proteins, including p53, serum response factor, c-Jun, c-Fos, c-Myc, Oct-1, Sp-1, and RNA polymerase II (1,8). The combined activities of Ku70/Ku80 and DNA-PK implicate Ku in many cellular functions, including cell cycle regulation, DNA replication and repair, telomere maintenance, recombination, and transcriptional activation.

Species Reactivity

Species reactivity is determined by testing in at least one approved application (e.g., western blot).

Western Blot Buffer

IMPORTANT: For western blots, incubate membrane with diluted primary antibody in 5% w/v nonfat dry milk, 1X TBS, 0.1% Tween® 20 at 4°C with gentle shaking, overnight.

Applications Key

W: Western Blotting IP: Immunoprecipitation IHC-P: Immunohistochemistry (Paraffin) IF-IC: Immunofluorescence (Immunocytochemistry) FC-FP: Flow Cytometry (Fixed/Permeabilized)

Cross-Reactivity Key

H: Human Mk: Monkey

Trademarks and Patents

Cell Signaling Technology is a trademark of Cell Signaling Technology, Inc.

All other trademarks are the property of their respective owners. Visit cellsignal.com/trademarks for more information.

Limited Uses

Except as otherwise expressly agreed in a writing signed by a legally authorized representative of CST, the following terms apply to Products provided by CST, its affiliates or its distributors. Any Customer's terms and conditions that are in addition to, or different from, those contained herein, unless separately accepted in writing by a legally authorized representative of CST, are rejected and are of no force or effect.

Products are labeled with For Research Use Only or a similar labeling statement and have not been approved, cleared, or licensed by the FDA or other regulatory foreign or domestic entity, for any purpose. Customer shall not use any Product for any diagnostic or therapeutic purpose, or otherwise in any manner that conflicts with its labeling statement. Products sold or licensed by CST are provided for Customer as the end-user and solely for research and development uses. Any use of Product for diagnostic, prophylactic or therapeutic purposes, or any purchase of Product for resale (alone or as a component) or other commercial purpose, requires a separate license from CST. Customer shall (a) not sell, license, loan, donate or otherwise transfer or make available any Product to any third party, whether alone or in combination with other materials, or use the Products to manufacture any commercial products, (b) not copy, modify, reverse engineer, decompile, disassemble or otherwise attempt to discover the underlying structure or technology of the Products, or use the Products for the purpose of developing any products or services that would compete with CST products or services, (c) not alter or remove from the Products any trademarks, trade names, logos, patent or copyright notices or markings, (d) use the Products solely in accordance with CST Product Terms of Sale and any applicable documentation, and (e) comply with any license, terms of service or similar agreement with respect to any third party products or services used by Customer in connection with the Products.

Orders: 877-616-CELL (2355) [email protected] Support: 877-678-TECH (8324) [email protected] Web: cellsignal.com
For Research Use Only. Not for Use in Diagnostic Procedures.

Revision 4

Cell Signaling Technology Logo
Western blot analysis of lysates from HeLa, A673, A549 and COS cells, using Ku80 antibody.
Western Blotting Image 1: Ku80 Antibody
Immunoprecipitation Ku80 protein from HeLa cell extracts. Lane 1 is 10% input, lane 2 is Normal Rabbit IgG #2729, and lane 3 is Ku80 Antibody. Western blot analysis was performed using Ku80 Antibody.
Immunoprecipitation Image 1: Ku80 Antibody
Immunohistochemical analysis of paraffin-embedded human breast carcinoma, showing nuclear localization, using Ku80 Antibody preincubated with control peptide (left) or antigen-specific peptide (right).
Immunohistochemistry Image 1: Ku80 Antibody
Orders: 877-616-CELL (2355) [email protected] Support: 877-678-TECH (8324) [email protected] Web: cellsignal.com
For Research Use Only. Not for Use in Diagnostic Procedures.

Revision 4

Cell Signaling Technology Logo
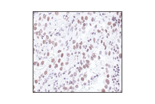
Immunohistsochemical analysis of paraffin-embedded human lung carcinoma, showing nuclear localiztion, using Ku80 Antibody.
Immunohistochemistry Image 2: Ku80 Antibody
Confocal immunofluorescent analysis of HeLa cells using Ku80 Antibody (green). Actin filaments have been labeled with DY-554 phalloidin (red).
Immunofluorescence Image 1: Ku80 Antibody
Flow cytometric analysis of HeLa cells using Ku80 Antibody (solid line) compared to concentration-matched Rabbit (DA1E) mAb IgG XP® Isotype Control #3900 (dashed line). Anti-rabbit IgG (H+L), F(ab')2 Fragment (Alexa Fluor® 488 Conjugate) #4412 was used as a secondary antibody.
Flow Cytometry Image 1: Ku80 Antibody
Orders: 877-616-CELL (2355) [email protected] Support: 877-678-TECH (8324) [email protected] Web: cellsignal.com
For Research Use Only. Not for Use in Diagnostic Procedures.