Revision 6

#2794

Store at -20C

CST Logo
Orders:

877-616-CELL (2355)

[email protected]

Support:

877-678-TECH (8324)

3 Trask Lane | Danvers | Massachusetts | 01923 | USA

For Research Use Only. Not for Use in Diagnostic Procedures.

Applications:
W, IP, IHC-P, IF-F, IF-IC

Reactivity:
H M

Sensitivity:
Endogenous

MW (kDa):
37

Source/Isotype:
Rabbit IgG

UniProt ID:
#O00767

Entrez-Gene Id:
6319

Product Usage Information

Application Dilution
Western Blotting 1:1000
Immunoprecipitation 1:50
Immunohistochemistry (Paraffin) 1:100 - 1:400
Immunofluorescence (Frozen) 1:100
Immunofluorescence (Immunocytochemistry) 1:100 - 1:200

Storage

Supplied in 10 mM sodium HEPES (pH 7.5), 150 mM NaCl, 100 µg/ml BSA, 50% glycerol and less than 0.02% sodium azide. Store at –20°C. Do not aliquot the antibody.

For a carrier free (BSA and azide free) version of this product see product #38672.

Specificity/Sensitivity

SCD1 (C12H5) Rabbit Monoclonal Antibody detects endogenous levels of total SCD1 protein. Species cross-reactivity for IHC-P is mouse only.

Source / Purification

Monoclonal antibody is produced by immunizing animals with a synthetic peptide corresponding to residues surrounding Leu35 of mouse SCD1.

Background

Stearoyl-CoA desaturase 1 (SCD1) is a key lipogenic enzyme found in the endoplasmic reticulum that catalyzes the conversion of palmitoyl–CoA and stearoyl–CoA to palmitoleoyl–CoA (16:1) and oleoyl–CoA (18:1) (1-3). Palmitoleate and oleate are the major components of triglycerides, membrane phospholipids, and cholesterol esters (1). SCD1-knockout mice show improved insulin sensitivity and reduced body fat (1). Disruption of SCD1 in mouse brown adipose tissue strengthens insulin signaling and results in increased translocation of Glut4 to the plasma membrane and enhanced uptake of glucose (4). Furthermore, SCD1 is essential for the onset of diet-induced body weight gain (1) and insulin resistance in the liver (5).

Species Reactivity

Species reactivity is determined by testing in at least one approved application (e.g., western blot).

Western Blot Buffer

IMPORTANT: For western blots, incubate membrane with diluted primary antibody in 5% w/v BSA, 1X TBS, 0.1% Tween® 20 at 4°C with gentle shaking, overnight.

Applications Key

W: Western Blotting IP: Immunoprecipitation IHC-P: Immunohistochemistry (Paraffin) IF-F: Immunofluorescence (Frozen) IF-IC: Immunofluorescence (Immunocytochemistry)

Cross-Reactivity Key

H: Human M: Mouse

Trademarks and Patents

Cell Signaling Technology is a trademark of Cell Signaling Technology, Inc.

U.S. Patent No. 7,429,487, foreign equivalents, and child patents deriving therefrom.

All other trademarks are the property of their respective owners. Visit cellsignal.com/trademarks for more information.

Limited Uses

Except as otherwise expressly agreed in a writing signed by a legally authorized representative of CST, the following terms apply to Products provided by CST, its affiliates or its distributors. Any Customer's terms and conditions that are in addition to, or different from, those contained herein, unless separately accepted in writing by a legally authorized representative of CST, are rejected and are of no force or effect.

Products are labeled with For Research Use Only or a similar labeling statement and have not been approved, cleared, or licensed by the FDA or other regulatory foreign or domestic entity, for any purpose. Customer shall not use any Product for any diagnostic or therapeutic purpose, or otherwise in any manner that conflicts with its labeling statement. Products sold or licensed by CST are provided for Customer as the end-user and solely for research and development uses. Any use of Product for diagnostic, prophylactic or therapeutic purposes, or any purchase of Product for resale (alone or as a component) or other commercial purpose, requires a separate license from CST. Customer shall (a) not sell, license, loan, donate or otherwise transfer or make available any Product to any third party, whether alone or in combination with other materials, or use the Products to manufacture any commercial products, (b) not copy, modify, reverse engineer, decompile, disassemble or otherwise attempt to discover the underlying structure or technology of the Products, or use the Products for the purpose of developing any products or services that would compete with CST products or services, (c) not alter or remove from the Products any trademarks, trade names, logos, patent or copyright notices or markings, (d) use the Products solely in accordance with CST Product Terms of Sale and any applicable documentation, and (e) comply with any license, terms of service or similar agreement with respect to any third party products or services used by Customer in connection with the Products.

Orders: 877-616-CELL (2355) [email protected] Support: 877-678-TECH (8324) [email protected] Web: cellsignal.com
For Research Use Only. Not for Use in Diagnostic Procedures.

Revision 6

Cell Signaling Technology Logo
Western blot analysis of 3T3-L1 cell lysates (differentiated into adipocytes) using SCD1 (C12H5) Rabbit mAb.
Western Blotting Image 1: SCD1 (C12H5) Rabbit Monoclonal Antibody
Immunohistochemical analysis of paraffin-embedded 3T3-L1 cells undifferentiated (left) or differentiated (right) using SCD1 (C12H5) Rabbit mAb.
Immunohistochemistry Image 1: SCD1 (C12H5) Rabbit Monoclonal Antibody
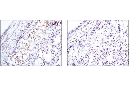
Immunohistochemical analysis of paraffin-embedded mouse lung using SCD1 (C12H5) Rabbit mAb (left) or without primary antibody (right).
Immunohistochemistry Image 2: SCD1 (C12H5) Rabbit Monoclonal Antibody
Orders: 877-616-CELL (2355) [email protected] Support: 877-678-TECH (8324) [email protected] Web: cellsignal.com
For Research Use Only. Not for Use in Diagnostic Procedures.

Revision 6

Cell Signaling Technology Logo
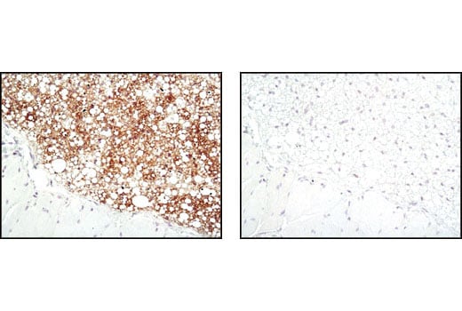
Immunohistochemical analysis of paraffin-embedded mouse brown fat using SCD1 (C12H5) Rabbit mAb in the presence of control peptide (left) or antigen-specific peptide (right).
Immunohistochemistry Image 3: SCD1 (C12H5) Rabbit Monoclonal Antibody
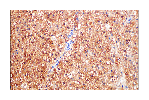
Immunohistochemical analysis of paraffin-embedded mouse brown fat using SCD1 (C12H5) Rabbit mAb.
Immunohistochemistry Image 4: SCD1 (C12H5) Rabbit Monoclonal Antibody
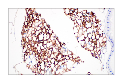
Immunohistochemical analysis of parafin-embedded mouse thymus with staining of adjacent adipose tissue using SCD1 (C12H5) Rabbit mAb.
Immunohistochemistry Image 5: SCD1 (C12H5) Rabbit Monoclonal Antibody
Orders: 877-616-CELL (2355) [email protected] Support: 877-678-TECH (8324) [email protected] Web: cellsignal.com
For Research Use Only. Not for Use in Diagnostic Procedures.

Revision 6

Cell Signaling Technology Logo
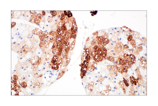
Immunohistochemical analysis of parafin-embedded mouse prostate with staining of adjacent adipose tissue using SCD1 (C12H5) Rabbit mAb.
Immunohistochemistry Image 6: SCD1 (C12H5) Rabbit Monoclonal Antibody
Confocal immunofluorescent analysis of fixed frozen mouse lung labeled with SCD1 (C12H5) Rabbit mAb (left, green). Free secondary binding sites were then blocked with Rabbit (DA1E) mAb IgG XP® Isotype Control #3900 prior to co-labeling with CD45 (D3F8Q) Rabbit mAb (Alexa Fluor® 647 Conjugate) #81143 (right, magenta), and ProLong Gold Antifade Reagent with DAPI #8961 (right, blue).
Immunofluorescence Image 1: SCD1 (C12H5) Rabbit Monoclonal Antibody
Confocal immunofluorescent analysis of fixed frozen mouse liver labeled with SCD1 (C12H5) Rabbit mAb (left, green). Free secondary binding sites were then blocked with Rabbit (DA1E) mAb IgG XP® Isotype Control #3900 prior to co-labeling with CD45 (D3F8Q) Rabbit mAb (Alexa Fluor® 647 Conjugate) #81143 (right, magenta), and ProLong Gold Antifade Reagent with DAPI #8961 (right, blue).
Immunofluorescence Image 2: SCD1 (C12H5) Rabbit Monoclonal Antibody
Orders: 877-616-CELL (2355) [email protected] Support: 877-678-TECH (8324) [email protected] Web: cellsignal.com
For Research Use Only. Not for Use in Diagnostic Procedures.

Revision 6

Cell Signaling Technology Logo
Confocal immunofluorescent analysis of fixed frozen mouse brown adipose tissue labeled with SCD1 (C12H5) Rabbit mAb (left, green). Free secondary binding sites were then blocked with Rabbit (DA1E) mAb IgG XP® Isotype Control #3900 prior to co-labeling with CD45 (D3F8Q) Rabbit mAb (Alexa Fluor® 647 Conjugate) #81143 (right, magenta), and ProLong Gold Antifade Reagent with DAPI #8961 (right, blue).
Immunofluorescence Image 3: SCD1 (C12H5) Rabbit Monoclonal Antibody
Confocal immunofluorescent analysis of NIH/3T3-L1 cells, using SCD1 (C12H5) Antibody (red) showing cytoplasmic localization in differentiated cells. Lipid droplets have been labeled with BODIPY 493/503 (green). Blue pseudocolor = DRAQ5® #4084 (fluorescent DNA dye).
Immunofluorescence Image 1: SCD1 (C12H5) Rabbit Monoclonal Antibody
Orders: 877-616-CELL (2355) [email protected] Support: 877-678-TECH (8324) [email protected] Web: cellsignal.com
For Research Use Only. Not for Use in Diagnostic Procedures.