Revision 1

#29089

Store at -20C

CST Logo
Orders:

877-616-CELL (2355)

[email protected]

Support:

877-678-TECH (8324)

3 Trask Lane | Danvers | Massachusetts | 01923 | USA

For Research Use Only. Not for Use in Diagnostic Procedures.

Background

SBI-0206965 is a potent, selective and cell permeable inhibitor of the autophagy-promoting serine/threonine kinase ULK1 (1). ULK1 is an essential protein for induction of autophagy by nutrient starvation and mTOR inhibition (2). ULK1 is recripocally regulated by multple phosphorylation sites via AMPK and mTOR, such that ULK1 is activated by AMPK and inhibited by mTOR (3, 4). By in vitro kinase assays, SBI-0206965 inhibits ULK1 with an IC50 of 108 nM and to a lesser extent ULK2 with an IC50 of 711 nM (1). In a panel of 456 kinases, when tested at 10 μM, SBI-0206965 showed remarkable selectivity and only inhibited 10 kinases, including ULK1 and ULK2. Other kinase that were inhibited included FAK, FLT3, Src, and Jak3. Only FLT3 and FAK had an IC50 similar to ULK1 when tested in in vitro kinase assays. SBI-020695 inhibits survival following nutrient deprivation. Furthermore, SBI-0206965 inhibits autophagy induced by mTOR inhibition and converts the cytostatic response to mTOR inhibition to a cytotoxic apoptotic response.

Molecular Formula

C21H21BrN4O5

Molecular Weight

489.3 g/mol

Purity

>98%

CAS

1884220-36-3

Solubility

Soluble in DMSO at 30mg/ml.

Storage

Store lyophilized or in solution at -20ºC, desiccated. In lyophilized form, the chemical is stable for 24 months. Once in solution, use within 3 months to prevent loss of potency. Aliquot to avoid multiple freeze/thaw cycles.

Directions for Use

SBI-0206965 is supplied as a lyophilized powder. For a 10 mM stock, reconstitute 5 mg of powder in 1.02 ml of DMSO. Working concentrations and length of treatment can vary depending on the desired effect, but it is typically at 10-50 μM for 1-72 hours.

Trademarks and Patents

Cell Signaling Technology is a trademark of Cell Signaling Technology, Inc.

All other trademarks are the property of their respective owners. Visit cellsignal.com/trademarks for more information.

Limited Uses

Except as otherwise expressly agreed in a writing signed by a legally authorized representative of CST, the following terms apply to Products provided by CST, its affiliates or its distributors. Any Customer's terms and conditions that are in addition to, or different from, those contained herein, unless separately accepted in writing by a legally authorized representative of CST, are rejected and are of no force or effect.

Products are labeled with For Research Use Only or a similar labeling statement and have not been approved, cleared, or licensed by the FDA or other regulatory foreign or domestic entity, for any purpose. Customer shall not use any Product for any diagnostic or therapeutic purpose, or otherwise in any manner that conflicts with its labeling statement. Products sold or licensed by CST are provided for Customer as the end-user and solely for research and development uses. Any use of Product for diagnostic, prophylactic or therapeutic purposes, or any purchase of Product for resale (alone or as a component) or other commercial purpose, requires a separate license from CST. Customer shall (a) not sell, license, loan, donate or otherwise transfer or make available any Product to any third party, whether alone or in combination with other materials, or use the Products to manufacture any commercial products, (b) not copy, modify, reverse engineer, decompile, disassemble or otherwise attempt to discover the underlying structure or technology of the Products, or use the Products for the purpose of developing any products or services that would compete with CST products or services, (c) not alter or remove from the Products any trademarks, trade names, logos, patent or copyright notices or markings, (d) use the Products solely in accordance with CST Product Terms of Sale and any applicable documentation, and (e) comply with any license, terms of service or similar agreement with respect to any third party products or services used by Customer in connection with the Products.

Orders: 877-616-CELL (2355) [email protected] Support: 877-678-TECH (8324) [email protected] Web: cellsignal.com
For Research Use Only. Not for Use in Diagnostic Procedures.

Revision 1

Cell Signaling Technology Logo
Chemical structure of SBI-0206965
undefined Image 1: SBI-0206965
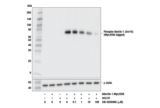
Western blot analysis of extracts from 293T cells, mock transfected (-) or transfected with constructs expressing Myc/DDK-tagged full length human Beclin-1 (hBeclin-1-Myc/DDK; +) and/or mouse ULK1 protein (mULK1; +). Transfected cells were treated with SBI-0206965 (2 hrs, indicated concentrations). Western blot was performed using Phospho-Beclin-1 (Ser15) (D4B7R) Rabbit mAb #84966 (upper) or β-Actin (D6A8) Rabbit mAb #8457 (lower).
undefined Image 2: SBI-0206965
Orders: 877-616-CELL (2355) [email protected] Support: 877-678-TECH (8324) [email protected] Web: cellsignal.com
For Research Use Only. Not for Use in Diagnostic Procedures.